Search Dental Tribune

Články

Filtr

Stěsnání a protruze léčené nestandardními extrakcemi

Abstrakt: Pacientem v prezentovaném případě byl 16letý chlapec se skeletální II. třídou, frontálně otevřeným skusem, stěsnáním a labiální ...

uložit

Rozhovor: „Ortodontisté by se měli na své pacienty dívat očima parodontologa“

Podle Dr. Jeana-Marca Dersota je kontrola plaku často opomíjeným, ale zásadním faktorem úspěšné ortodontické léčby. Dr. Dersot je bývalým ...

uložit

Horizontální augmentace hřebene a implantace: Dvoufázová procedura GBR

V distálních oblastech mandibuly se často vyskytuje atrofie kosti způsobená předčasnou ztrátou zubů v důsledku periodontálních nebo ...

uložit

Nové řešení zmenšující nejistotu ohledně oblasti preparace lůžka implantátu

Pokud jde o inovace ve stomatologické implantologii, zdokonalení oblasti preparace lůžka implantátu zaostává za pokroky v designu implantátů. Prof....

uložit

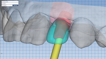
Plně digitální implantologické workflow

Společnost Planmeca je známá nejmodernějšími technickými inovacemi a neustálým vývojem produktů. Výkonná softwarová platforma Planmeca Romexis...

uložit

Practice Pink Programme společnosti Henry Schein podporuje Loonův boj proti rakovině

Společnost Henry Schein pokračuje v České republice v podpoře boje proti rakovině prostřednictvím svého programu Practice Pink™. Společnost ...

uložit
advertisement

Pitts 21 je superauto v kategorii jízdních kol

Ortodontistou jsem se stal v roce 1994 a v roce 2004 jsem objevil pasivní samoligovací léčbu jako alternativu k systémům tradičních zámků, u ...

uložit

Základní principy při projektování prostoru pro čištění a sterilizaci

Bohužel je až příliš časté, že je v již existujících nebo nově projektovaných zubních ordinacích věnována jen velmi malá pozornost ...

uložit

Kolektivní terapeutická inteligence: Sdílení informací, které pomáhají lékařům v odborném růstu

Technologie se rychle vyvíjejí. Téměř každý ortodontista má mobilní zařízení, na kterém každý den sdílí svůj život s ostatními. Ať už ...

uložit

Výhody použití Invisalign First alignerů pro první fázi ortodontické terapie

Od roku 2011 jsem ošetřil mnoho pacientů a vedl semináře o první fázi ortodontické terapie pomocí alignerů Invisalign. Proto jsem měl velká ...

uložit

Bělení zubů a ortodoncie: třešnička na dortu

Bělení zubů je terapeutickou procedurou, která představuje poslední krok ortodontické léčby. Cíle ortodontické léčby jsou jak funkční – ...

uložit

Zkušenosti s hypersenzitivitou dentinu při používání zubní pasty s přidaným biosklem

V naší klinické praxi byla hypersenzitivita dentinu (HD) vždy výzvou. Nejlepším přístupem pro nás doposud bylo navrhnout domácí řešení, ...

uložit
advertisement

Digitální zubní lékařství v každodenní praxi

Jak optimalizovat léčbu pacienta? Jak zvýšit rychlost a efektivitu naší práce bez obětování kvality? Tyto otázky si v našich praxích klademe ...

uložit

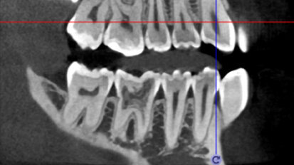
Vědci vyvinuli model pro automatickou lokalizaci mandibulárních kanálků

ESPOO, Finsko: Před zaváděním implantátu musí zubní lékaři nejprve lokalizovat mandibulární kanálek, což se obvykle dělá s pomocí CBCT ...

uložit

Vědci objevili, které znaky zubů odhalují genetické vztahy

TÜBINGEN, Německo: Vzhledem k tomu, že jsou zuby často nejlépe dochovanou částí lidských koster, spoléhají se na ně, při snaze o rekonstrukci ...

uložit

Vědci nalezli v zubech biomarkery neurologických onemocnění

NEW YORK, USA / ANN ARBOR, Michigan, USA: Vědci z Mount Sinai nalezli biologické markery přítomné v dětství, které souvisejí s degenerativním a ...

uložit
advertisement

„Jsme v čele vývoje CAD/CAM softwaru“

Již deset let specializovaný tým společnosti exocad neustále dodává dentálnímu průmyslu nejmodernější inovace. Dne 12. března 2020 se na ...

uložit

Dentapen: Další generace elektronických stříkaček pro anestezii ve stomatologii

Septodont, největší světový výrobce anestetik pro stomatologii, byl vždy v mnoha oblastech v popředí vývoje produktů pro dentální odborníky ...

uložit

Proč jsou ústní vody důležité pro celkové zdraví a prevenci infekcí

KRIENS, Švýcarsko: Stomatologičtí odborníci hrají důležitou roli nejen pokud jde o zdraví dutiny ústní, ale i celkový stav pohody. To dodává ...

uložit

Objev výzkumu by mohl pomoci vytvořit pevnější a odolnější zubní výplně

EDMONTON, Alberta, Kanada / LONDÝN, Velká Británie: Vzhledem k tomu, že zubním kazem trpí dle odhadů více než 2,3 miliardy lidí, mohl by být ...

uložit
advertisement

Rozhovor: Spojení s místní komunitou díky marketingu na sociálních sítích

LEHI, Utah, USA: V dnešním digitálním světě musí být každá firma dobře vidět online, aby si usnadnila komunikaci se zákazníky a urychlila ...

uložit

Kdo v Evropě má nejzdravější zuby?

BERLÍN, Německo: Studie provedená v evropských zemích zjistila, že nejzdravější zuby v Evropě mají lidé v Itálii, Německu a Španělsku. Tyto ...

uložit
advertisement

Čínská nakládaná zelenina může pomoci v prevenci zubního kazu

CHENGDU, Čína: V léčbě zubního kazu se ukazuje být účinný stále větší počet probiotických roztoků. Vědci ze Sečuánské univerzity v ...

uložit

Dosud první digitální vědecké sympozium Invisalign si získalo více než 1500 účastníků ze 75 zemí

Společnost Align Technology s úspěchem pořádala své první digitální vědecké sympozium Invisalign, které bylo přenášeno z profesionálního TV...

uložit

Navigovaný endodontický přístup u kalcifikovaných frontálních zubů: Kazuistika

Obliterace pulpy kanálku (Pulp Canal Obliteration – PCO) nebo kalcifikující metamorfóza je některými autory považována za odpověď pulpy na ...

uložit

SSP/SWEEPS endodoncie se SkyPulse Er:YAG laserem

Cílem endodontické terapie je eliminace patogenních látek v systému kořenových kanálků. Standardní mechanická instrumentace však ponechává ...

uložit
advertisement

3D technologie v diagnostice a léčbě endodontických onemocnění

Technologie spjatá s endodontickou terapií prošla v posledních letech opravdovou revolucí. Po dlouhá léta byly využívány jako základ pro ...

uložit

Jaká je vaše nejoblíbenější barva? Rychlý průvodce eloxováním povrchu.

Povrchové vlastnosti jsou klíčové, pokud jde o reakci na implantát a abutment, který umístíte do těla vašeho pacienta.1, 2 Mohou nakonec ...

uložit

Dezinfikátory a čističe vzduchu. Jsou skutečně účinné?

V poslední době se vyrojilo mnoho prostředků určených k dezinfekci a čištění ovzduší v uzavřených prostorech. Není divu, na hygienu začal ...

uložit

DT Study Club: Přidejte se k největší vzdělávací komunitě v oboru stomatologie!

DT Study Club je e-learningová platforma, která je lokalizována do mnoha jazyků a celosvětově sdružuje největší vzdělávací komunitu ...

uložit
advertisement
advertisement