V naší klinické praxi byla hypersenzitivita dentinu (HD) vždy výzvou. Nejlepším přístupem pro nás doposud bylo navrhnout domácí řešení, které představovaly zubní pasty či ústní vody proti přecitlivělosti zubů, avšak pacienti často nezaznamenali výraznou úlevu. V loňském roce jsme se setkali s Richardem Whatleyem, generálním ředitelem společnosti BioMin Technologies, který nám poskytl vzorky zubní pasty BioMin F k úlevě od HD a vysvětlil nám technologii na pozadí účinnosti této nové zubní pasty na bázi bioaktivního skla. Částice bioskla obsažené v zubní pastě BioMin F přilnou k tvrdým zubním tkáním a pak se pomalu rozpouštějí ve slinách, čímž dochází k uvolňování iontů vápníku, fosfátu a fluoridu, které se vysrážejí na nukleačních místech jako krystaly fluorapatitu a uzavírají otevřené dentinové tubuly.
Podle Brännströmovy hydrodynamické teorie způsobuje pohyb tekutiny uvnitř dentinových kanálků v reakci na vyvolávající podněty, jako jsou studené, horké a sladké potraviny a nápoje, stimulaci výběžků odontoblastů a nervových vláken, čímž vzniká krátká a akutní bolest, podobně jako při elektrickém šoku. Tyto příznaky jsou u postižených pacientů označovány jako HD.
Speciální polymer v zubní pastě BioMin F je schopen chemicky navázat vápník z bioskla k hydroxyapatitu ve sklovině. Tato adheze je podobná adhezi skloionomerního cementu k povrchu zubu. Sliny tyto bioskelné částice pomalu rozpouštějí. To umožňuje uvolňování iontů z částic bioskla po dobu osmi až dvanácti hodin po čištění. Díky tomu vznikají nové krystaly fluoroapatitu, které se tvoří na nukleačních místech, a to i na peritubulárním dentinu a vnitřním povrchu dentinových tubulů. Tvorba těchto krystalů fluoroapatitu uzavírá obnažené dentinové kanálky a poskytuje úlevu od bolestivé HD.
Je důležité poznamenat, že koncentrace fluoridů v zubní pastě BioMin F je mnohem nižší než u jiných zubních past na HD nebo prevenci kazu, které často obsahují několik tisíc částic fluoridů na milion (od 1000 po téměř 5000 ppm v některých zemích). BioMin F má koncentraci fluoridů pouze 530 ppm a tato koncentrace je dostatečná pro podporu tvorby krystalů fluoroapatitu na povrchu zubů.
Zubní pasty s rozpustným fluoridem (obvykle obsahující fluorid sodný nebo monofluorofosfát sodný) vyžadují jeho vysokou koncentraci, protože většina dostupného fluoridu je odplavena spolu s tokem slin. Nicméně při vysokých koncentracích na zubních tkáních vytváří amorfní krystalický fluorid vápenatý, a nikoliv fluoroapatitový minerál. Například, co se týče zahájení remineralizace u počínajících kariézních lézí I. a II. třídy podle mezinárodního systému detekce a hodnocení kazu,1 vědecká práce zabývající se výzkumem kazu publikovaná v roce 2013 Hillem a kol. ukazuje, že pouze koncentrace fluoridů ve slinách menší než 45 ppm je účinná v podpoře remineralizace, je-li zkombinována s vápníkem a fosfátem, aby docházelo k tvorbě krystalů fluoroapatitu.2 Právě v krystalické fázi totiž dochází v prostředí dutiny ústní k výměně iontů (rovnováha mezi remineralizací a demineralizací).
Krystalická fáze fluoroapatitu, kterou biosklo umožňuje, je také odolnější vůči kyselinám.3 Dentální produkty s nejvyššími koncentracemi fluoridů, jako jsou zubní pasty a laky, mohou být schopny vytvořit na sklovině amorfní krystalickou fázi, ale jak už bylo uvedeno, není to remineralizace, ale fluorid vápenatý. Fluorid vápenatý není odolný vůči kyselinám jako krystaly fluoroapatitu, ale odolnost vůči kyselinám je velmi důležitou vlastností pro překonání problémů s HD. Ve skutečnosti je amorfní a vůči kyselinám neodolná vrstva při kontaktu s erozivními nápoji nebo potravinami náchylná k rozpouštění, čímž se vlivem opětovného obnažení dentinových kanálků znovu objevuje bolestivá HD.
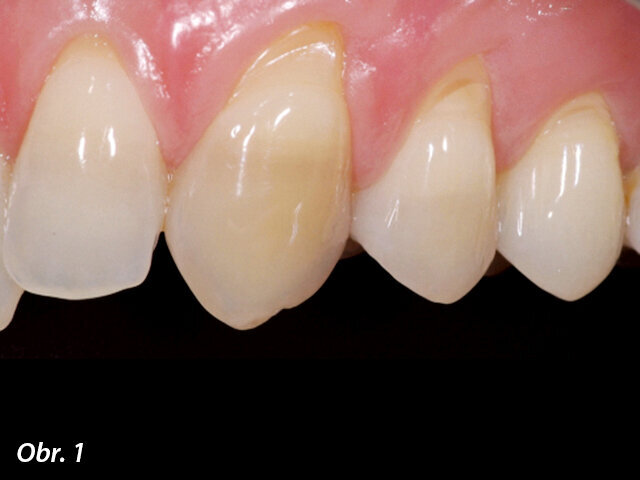
Obr. 1: Malé oblasti s úbytkem skloviny v krčkové části zubů, které vedou k vystavení dentinu iniciačním podnětům, zejména chladu a vzduchu, a tedy k bolestivé hypersenzitivitě dentinu.
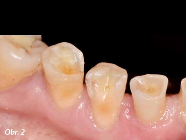
Obr. 2: Velké oblasti úbytku skloviny v krčkové části v důsledku silné abraze a eroze skloviny, jejímž výsledkem byla velmi bolestivá hypersenzitivita dentinu.
Obr. 3: Počty pacientů zahrnutých do klinické studie, kteří odpověděli na dotaz: Pociťujete bolest při čištění zubů nebo po konzumaci horkých/studených nebo kyselých potravin? Ano – 17 pacientů; Ne – 1 pacient; Občas – 11 pacientů.
Obr. 4: 48,27 % pacientů zahrnutých do studie uvedlo, že používá zubní pastu proti citlivosti zubů: Používáte speciální zubní pastu pro léčbu citlivosti zubů? Ano – 14 pacientů; Ne – 13 pacientů; Občas – 2 pacienti.
Obr. 5: Z pacientů ošetřených Biomin F nemělo 27,58 % žádnou další bolestivou hypersenzitivitu dentinu a 52,72 % uvedlo její zmírnění: Po čištění zubní pastou BioMin vaše citlivost: Zcela vymizela – 8 pacientů; Zmírnila se – 15 pacientů; Zhoršila se – 0 pacientů; Zůstala stejná – 6 pacientů.
Obr. 6: Z pacientů zahrnutých do studie uvedlo 73,07 %, že pokud jde o zmírnění bolestivé hypersenzitivity dentinu, je zubní pasta BioMin F účinnější než jiné zubní pasty na citlivost zubů: Je zubní pasta BioMin účinnější než jiné pasty na citlivost zubů, které jste dříve používal/a? Ano – 19 pacientů; Ne – 4 pacienti; Asi stejně – 3 pacienti
Obr. 7: Hodnoticí dotazník pacientky, ve kterém uvádí záchvat zvracení během léčby pomocí BioMin F, přitom úplné vymizení hypersenzitivity dentinu (skóre 9), a to i navzdory této silné kyselé atace.
Obr. 8: Otevřené kanálky na povrchu dentinu (výzkum na Queen Mary University of London).
Obr. 9: Uzavřené kanálky po čištění pastou BioMin F (výzkum na Queen Mary University of London).
Obr. 10: Kanálky zůstaly uzavřené i po vystavení kyselinám (výzkum na Queen Mary University of London).
Klinická studie s BioMin F na hypersenzitivitu dentinu
Studii jsme zahájili v listopadu 2018 a zahrnuli jsme do ní pouze pacienty s výraznou HD středního až závažného stupně. V červenci 2019 jsme shromáždili poslední záznamy z této studie. V rámci studie dostal každý pacient vzorek BioMin F a byl instruován, aby zubní pastu používal dvakrát denně po dobu dvou týdnů před každou kontrolou.
Při kontrole dostali účastníci hodnoticí dotazník s několika obecnými otázkami, které se týkaly jejich zkušeností s příchutí zubní pasty, její strukturou a pěnivostí, a také s několika specifickými otázkami, například ohledně předchozího používání jiných zubních past na HD. Konkrétně dotaz směřoval k hodnocení míry úlevy od HD při používání BioMin F na škále od 0 do 10. Průměrné skóre 9 nebo 10 jsme považovali za úspěšné vyřešení HD díky používání zubní pasty BioMin F po dobu pouhých dvou týdnů.
Na klinických fotografiích (obr. 1, 2) jsou pacienti, kteří uváděli rozptýlenou HD v krčkových oblastech zubů – ta byla léčena BioMin F po dobu dvou týdnů, což podstatně zmírnilo nebo odstranilo bolestivou HD.
Obrázek 3 ukazuje % pacientů zahrnutých do klinické studie, kteří uváděli bolest po konzumaci studených, horkých nebo kyselých potravin a po čištění zubů studenou vodou. Většina pacientů zahrnutých do studie měla rozptýlenou (58,62 %) nebo příležitostnou (37,93 %) HD, a pouze 3,44 % neuvádělo žádnou HD.
Z 29 pacientů zahrnutých do klinické studie uvedlo 48,27 %, že již používali zubní pastu určenou k řešení HD (obr. 4).
Za zmínku stojí i to, kolik pacientů používajících zubní pastu BioMin F dvakrát denně po dobu dvou týdnů zaznamenalo zmírnění bolestivé HD, jak ukazuje obrázek 5. Většina pacientů zjistila, že u nich došlo ke zmírnění bolestivé HD. Konkrétně 27,58 % pacientů léčených BioMin F po dobu dvou týdnů uvedlo odstranění hypersenzitivity, přičemž 52,72 % uvedlo, že došlo k podstatnému zmírnění bolestivé HD. Pouze 20,68 % uvedlo, že po používání BioMin F po dobu dvou týdnů nezaznamenali žádnou zřejmou změnu. Žádný z pacientů nezaznamenal zhoršení bolestivé HD.
Jednou z posledních otázek položených pacientům bylo, zda měli pocit, že byl přínos používání BioMin F větší než u dříve používaných zubních past k řešení HD, a jak je vidět na obrázku 6, velký počet pacientů (73,07 %) uvedl pozitivní odpověď.
Nyní bychom rádi podrobně popsali jeden konkrétní klinický případ ze studie, který prokazuje odolnost krystalů fluoroapatitu vytvářených biosklem v BioMin F vůči kyselinám: 44letá pacientka se silnou HD zahájila v rámci studie podle našich pokynů (dvakrát denně) léčbu pomocí BioMin F a po pouhých několika dnech již zaznamenala úlevu od HD a byla velice spokojená.
Během následujících dnů měla pacientka opakované záchvaty zvracení s refluxem žaludečních kyselin s velmi nízkým pH (pH kolem 1), které jsou schopny odstranit veškerý minerální povlak nebo jakoukoliv strukturu zakrývající ústí dentinových kanálků, což by pravděpodobně způsobily opětovný výskyt bolestivé HD. Pacientka se přirozeně obávala, že se tak stane a kontrolovala bolestivost vyplachováním studenou vodou po čištění zubů a sdělila nám, že účinek používání BioMin F zůstal nezměněn (obr. 7).
To naznačuje, stejně jako důkazy z mikroskopických studií provedených na Queen Mary University of London (Velká Británie), že biosklo obsažené v zubní pastě nevytváří na ústích dentinových kanálků amorfní minerální vrstvu, ale vytváří proces skutečné mineralizace, při němž se tvoří krystaly fluoroapatitu, které se zdají být odolné vůči kyselinám (obr. 8–10).
Redakční poznámka: Seznam použité literatury na vyžádání u vydavatele. Článek byl publikován v mezinárodním vydání časopisu prevention Vol. 4, Issue 1/2020.
Dr. Stefano Daniele je akademickým profesorem záchovné stomatologie na katedře biomedicínských, chirurgických a stomatologických věd na Lékařské a stomatologické fakultě univerzity v Miláně, Nemocnice San Paolo v Miláně (Itálie). Profesuru pro výuku záchovné stomatologie a dentálních materiálů získal na univerzitě Amedeo Avogadro v Novara (Itálie) a má soukromou klinickou praxi v Miláně.
Dr. Andrea Alesandri je postgraduální studentkou na Evropské univerzitě ve Valencii (Španělsko) a pracuje v soukromé praxi v Novara (Itálie).
Štítky:
LONDÝN / MANCHESTER, VB: Od pleťových masek po hamburgerové bulky se ve všech druzích výrobků nachází nejnovější zdravotní trend – aktivní ...
Článek shrnuje osobní zkušenosti s kostní piezochirurgií po 15 letech používání v dentoalveolární chirurgii, implantologii a chirurgii ...
Článek shrnuje osobní zkušenosti s kostní piezochirurgií po 15 letech používání v ...
LONDÝN, Anglie: Průlomová studie z King’s College London odhalila, že keratin – získaný z lidských vlasů nebo vlny – může na zubní ...
V podstatě každý zubní lékař, případně dentální hygienistka, pracující ve své vlastní ordinaci, několikrát za svoji praxi řeší otázku ...
GOTHENBURG, Švédsko: Studie dobře zachovaných zubů a čelistí, které archeologové objevili, je zásadní pro pochopení každodenního života, ...
Nedávné studie ukázaly, že dětské zubní pasty, které obsahují nízké koncentrace fluoridů, ...
DOHA, Katar: Vzhledem k tomu, že je parodontitida i onemocnění COVID-19 spojováno se systémovým zánětem, zkoumali vědci z Katarské univerzity a ...
Zdraví dásní do značné míry závisí na rovnováze ústního mikrobiomu. Ve svém článku publikovaném v British Dental Journal Kilian et al. ...
Dr. Mei Hui Tan, která kombinuje svou odbornost v oboru orální a maxilofaciální chirurgie a spánkové medicíny, nabídla ve své prezentaci na IDEM ...
Živý webinář
Po. 11 května 2026
6:00 (CET) Prague
Živý webinář
Po. 11 května 2026
7:00 (CET) Prague
Živý webinář
Út. 12 května 2026
7:00 (CET) Prague
Živý webinář
Čt. 14 května 2026
6:00 (CET) Prague
Živý webinář
Čt. 14 května 2026
8:00 (CET) Prague
Prof. Hani Ounsi DDS PhD FICD
Živý webinář
Út. 19 května 2026
5:00 (CET) Prague
Živý webinář
Út. 19 května 2026
7:00 (CET) Prague
Prof. Dr. med. dent. Ivo Krejci
To post a reply please login or register