Jak optimalizovat léčbu pacienta? Jak zvýšit rychlost a efektivitu naší práce bez obětování kvality? Tyto otázky si v našich praxích klademe neustále. Požadavky našich pacientů na estetiku i funkci rekonstrukcí chrupu se zvyšují, pacienti však zároveň mají méně a méně času na ošetření. V současnosti máme k dispozici množství moderních nástrojů k časové optimalizaci naší práce – zejména těch digitálních. Poskytují nám mj. možnost digitalizovat záznamy o pacientech tak, aby bylo možno do zubní laboratoře přenést co možná nejvíce relevantních informací. Jednou z těchto důležitých informací je požadovaný barevný odstín korunkových rekonstrukcí. Klasickým postupem vyhodnocení odstínu přirozených zubů je jejich porovnávání s jedním nebo více barevnými vzorníky, které provádí zubní lékař u pacienta na křesle. Vizuální vyhodnocení je však ovlivněno mnoha faktory působícími z okolního prostředí, zejména světelnými podmínkami v místnosti, což výběr optimální barvy činí značně obtížným.1, 2
Fotografie zubů s přiloženými vzorníky barev jsou považovány za velmi dobrý způsob přenosu informací o barvách. Fotografování však bohužel prodlužuje čas ošetření a analýza fotografií následně také vyžaduje čas. Výsledné fotografie také ovlivňuje mnoho faktorů, především uživatelské nastavení fotoaparátu – variace odstínů závisejících na teplotě barev přednastavených fotoaparátem mohou zachycené barevné nuance snadno zkreslit.3 K překonání tohoto problému a k objektivizaci výsledku jsou v současné době nejlepšími dostupnými nástroji spektrofotometry. Pracují za základě vyzáření kalibrovaného světla, jehož odraz od fotografovaného objektu (zubu) umožňuje přístroji identifikaci jeho barvy bez ovlivnění faktory z prostředí (rtěnka, barevné oblečení, nevhodné osvětlení apod.).4, 5
Některé modely spektrofotometrů umožňují mapování barevného odstínu zubu i z jeho fotografií, což zpřesňuje a zefektivňuje analýzu pořízených snímků. Data získaná spektrofotometrem jsou zpracována a uložena v softwaru a mohou být uchována v kartě pacienta. Přístroj Rayplicker (Borea) je zařízení, které lékaři umožňuje zaznamenat, uložit a zaslat informace do zubní laboratoře – data mohou být zaslána přes zabezpečený portál. Záznam je laboratoří následně označen jako přijatý a zkontrolovaný a lékař tak může sledovat postup práce.
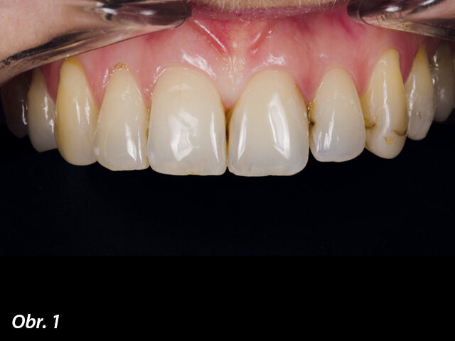
Obr. 1, 2: Původní situace: zuby 22 a 23 vyžadují ošetření.
Obr. 1, 2: Původní situace: zuby 22 a 23 vyžadují ošetření.
Obr. 3: Zmapování barev zubu, který bude ošetřen.
Obr. 4: Zmapování barev kontralaterálního zubu.
Obr. 5: Detailní translucence (pixel po pixelu) a 9 sekcí mapování odstínů.
Obr. 10: Fazeta připravená na fixaci v ústech pacienta.
Obr. 11: Fixace finální náhrady v izolaci kofferdamem.
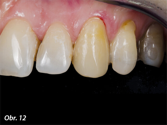
Obr. 12: Výsledek okamžitě po sejmutí kofferdamu.
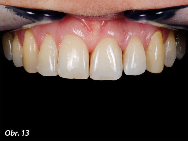
Obr. 13: Kontrola po 4 měsících.
Obr. 14: Spektrofotometr Rayplicker vyvinutý společností Borea.
Klinický případ
Pacientka se dostavila do ordinace s žádostí o výměnu přímé částečné korunkové náhrady zubu 23, kterou považovala za nevzhlednou. Klinické vyšetření odhalilo přítomnost kompozitní dostavby vestibulárního povrchu zubu 23 se zbarveným okrajem a také přítomnost iniciální kazivé léze na vedlejším zubu (obr. 1, 2). Po diskuzi o léčebných možnostech bylo rozhodnuto, že bude zhotovena kompozitní výplň kariézní léze 22 a fazeta na zubu 23. Existovalo však omezení, které učinilo tento případ složitým: pacientka musela odjet na 3 měsíce do zahraničí a potřebovala, aby byla práce dokončena během 10 dní od odsouhlasení léčby.
Prvním krokem léčby bylo zaznamenání barvy pomocí Rayplickeru. Záznam byl proveden na zubu, který se bude léčit i na kontralaterálním zubu (obr. 3, 4). Tento dvojí záznam dá protetikovi informaci nejen o zubu, který bude léčen, ale také o okolí, do kterého je zub nutno opticky integrovat. Záznamy byly odeslány do laboratoře přes zabezpečený server. Důležité informace jsou shrnuty na záznamovém archu: translucence, detailní celkové mapování a hodnoty barevných odstínů (obr. 5).
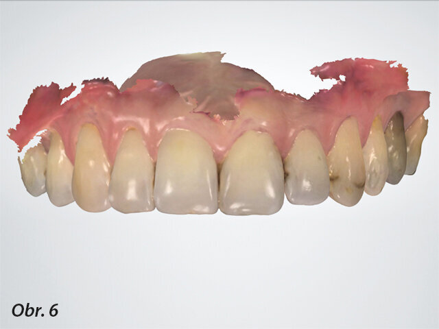
Protože ošetření nevyžadovalo žádnou změnu tvaru zubu, bylo rozhodnuto, že se výchozí situace použije jako reference a byl pořízen digitální otisk, který bude laboratoři sloužit jako vodítko k optimálnímu návrhu fazety (obr. 6). Dále byl vyroben silikonový klíč a zub byl napreparován (obr. 7). Místo pro plánovanou fazetu bylo zkontrolováno pomocí klíče, což umožnilo kontrolu tloušťky keramiky a rovnoměrnosti preparace.
Následně byl pořízen digitální otisk preparace (obr. 8). Ke zjednodušení tohoto procesu byl z původního digitálního otisku výchozí situace vymazán zub 23 a následně byla nasnímána a vložena jen oblast s preparovaným zubem. Všechny informace byly následně odeslány do laboratoře (arch s odstíny a digitální otisk). V obou případech byly soubory odeslány přes zabezpečený portál s možností kontroly jejich doručení zubním lékařem. Fazeta byla následně vymodelována v softwaru Dental System (3Shape) (obr. 9) a poté vytištěna na 3D tiskárně ze spalitelné pryskyřice. Vytištěný model byl dále zpracován konvenčně pomocí presování keramiky, protože malá tloušťka fazety nebyla dobře kompatibilní s frézovací technikou (obr. 10).
Po vyčištění a zapečetění léze na zubu 22 byla fazeta nalepena na zub 23 zkušební try-in pastou (obr. 11). Poté, co pacientka potvrdila, že je s výsledkem spokojena, byla fazeta necementována na čistě světlem tuhnoucí cement (G-CEM veneer, GC) – výhodou tohoto typu cementu je delší pracovní doba a s tím spojená možnost snadnějšího odstranění přebytků. Po důkladném leštění byl odstraněn kofferdam a následovalo ještě závěrečné doleštění (obr. 12).
Pacientku jsme opět viděli až za 4 měsíce, kdy se vrátila ze zahraničí na kontrolu. Zuby byly rehydrovány a parodontální tkáň, která byla odtlačena během aplikace kofferdamu se navrátila do své původní pozice (obr. 13). Je evidentní, že se náhrada dobře integrovala.
Použití digitálních technik umožňuje vytvořit jednoduché a opakovatelné postupy. Pokud se praktikující lékař nebo protetik setká s potížemi, mohou být rychle zanalyzovány a vyřešeny. Zatímco tvar může být dnes lékařem jednoduše kontrolován, je barva jedním ze zásadních aspektů s prostorem ke zlepšení ve všech protetických postupech. Spektrofotometry jako je Rayplicker nyní nabízejí jednoduché, rychlé a efektivní řešení. Zabezpečená platforma usnadňuje interakci mezi ordinací a laboratoří, včetně potvrzování dokumentů, centralizaci informací a nabízí možnost vylepšení záznamu pomocí fotografií, které odhalují charakterizace tvaru a povrchu nutné k integraci protetické náhrady. Takto kombinované záznamy umožňují kvalitní a rychlé výsledky, které dostojí očekávání pacientů.
Redakční poznámka: Seznam použité literatury na vyžádání u vydavatele.
Článek byl publikován v mezinárodním vydání časopisu digital – international magazine of digital dentistry Vol. 1, Issue 1/2020.
Dr. Edouard Lanoiselée promoval na Faculty of Dentistry na University of Nantes ve Francii a později obdržel magisterský titul v lékařských vědách. Pracoval jako asistent v univerzitní nemocnici ve výukovém a výzkumném centru protetického oddělení. Je koordinátor titulu estetických zubních náhrad na University of Nantes a konzultant implantologického oddělení Univerzitní nemocnice Nantes. Dr Lanoiselée je také CAD/CAM specialista a partner v zubní praxi v Nozay ve Francii.
To post a reply please login or register