Lékař může díky softwaru intraorálních skenerů snadno stanovit, zda je redukce tvrdých tkání dostatečná pro zhotovení náhrad v optimální tloušťce plánovaného rekonstrukčního materiálu.
Dokonalost a přesnost okrajového uzávěru definitivních nepřímých náhrad může být jen tak dobrá, jak dobré jsou modely a otisky, na jejichž základě jsou náhrady zhotoveny. Přesnost hlavního otisku nesmí být ničím narušena. Je zcela zásadní, aby zubní lékař kriticky zhodnotil zhotovené otisky a v případě nedokonalostí zhotovil otisky nové.
Tradiční otiskování využívá elastomerní materiál, který se injektuje kolem preparací a poté, co se do dutiny ústní umístí otiskovací lžíce naplněná otiskovacím materiálem jiné barvy či viskozity, materiál ztuhne do pevné konzistence. Ztuhlý otisk se po několika minutách vyjme z dutiny ústní, vydezinfikuje se a odešle do laboratoře s otiskem protilehlé čelisti a skusovým registrátem. Laboratoř tak má k dispozici duplikát úst pacienta, na kterém má zhotovit předepsanou náhradu.
CAD/CAM stomatologie a digitální postupy práce vedly k vývoji technologií a zařízení v podobě intraorálních skenerů, s jejichž pomocí se naskenuje situace v ústech a záznam se odešle do laboratoře e-mailem. Tímto jsou frézovacímu přístroji poskytnuty všechny digitální informace potřebné pro vytvoření přesných hlavních modelů, pahýlů a celých náhrad bez nutnosti použít konvenční otiskovací hmoty. Z klinického hlediska je to výhodné, protože hlavní modely jsou přesnější a otiskování metodou skenování může být pro pacienta pohodlnější než konvenční otiskování (dávivý reflex, torze čelisti atd.). Některým pacientům také nedělá dobře už jen pocit plných úst po dobu několika minut, než otiskovací hmota ztuhne. Následuje diskuze o digitálním skenování a tradičních technikách otiskování.
Umístění okraje náhrady je dáno použitým rekonstrukčním materiálem
Současné estetické rekonstrukční materiály umožňují umístit okraj zubní náhrady supragingiválně (nad gingivální tkáň), paramarginálně (při okraji volné gingivy) nebo subgingiválně (do gingiválního sulku). Metalokeramické korunky jsou obvykle estetičtější, mají-li okraj umístěný subgingiválně. Celokeramické náhrady je často možné zhotovit s okrajem umístěným při volné gingivě nebo v případě kontaktních keramických fazet mírně supragingiválně, což je ideální umístění pro procedury bondování na dentin a sklovinu. Je důležité mít na paměti, že optický skener „nevidí“ skrz gingivální tkáně nebo tekutinu (hemoragii nebo sulkulární tekutinu) v sulku. Optický skener musí jasně vidět okraj pro budoucí náhradu, stejně jako zub nebo povrch kořene na samém okraji, aby bylo možné vytvořit přesný hlavní model. Přesnost digitálního otisku proto vyžaduje vhodný management tkání a retrakci.
Management tkání pro optické skenování je stejný jako pro konvenční otiskování
Postup práce při digitálním skenování umožňuje pohodlně naskenovat protější oblouk, než začne působit anestezie. Podle počtu zubů nebo typů plánovaných náhrad je indikováno naskenování některého kvadrantu nebo celého oblouku. Jakmile se do záznamu pacienta zadají předběžné údaje ohledně preparace, software instruuje obsluhu, jaké snímky jsou nezbytné. Po dokončení paramarginální nebo subgingivální preparace zubu se musí provést retrakce měkkých tkání obklopujících preparaci nebo jejich odtažení od okraje preparace tak, aby před skenováním nedošlo ke kontaminaci sulku jakoukoli tekutinou. Existuje několik způsobů, jak toho dosáhnout.
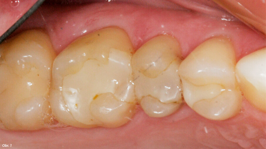
Výchozí situace zubů 16, 15 a 14 před preparací pro nepřímé keramické náhrady v důsledku destrukce recidivujícím kazem.
Pro uvolnění prostoru v měkkých tkáních kolem obvodu preparace za účelem úplného přesného skenu okrajů preparace možno provést žlábkování diodovým laserem (Gemini, Ultradent Products).
Žlábkování kolem preparace provedené diodovým laserem.
Konvenční retrakce měkkých tkání vláknem před pořízením digitálního otisku.
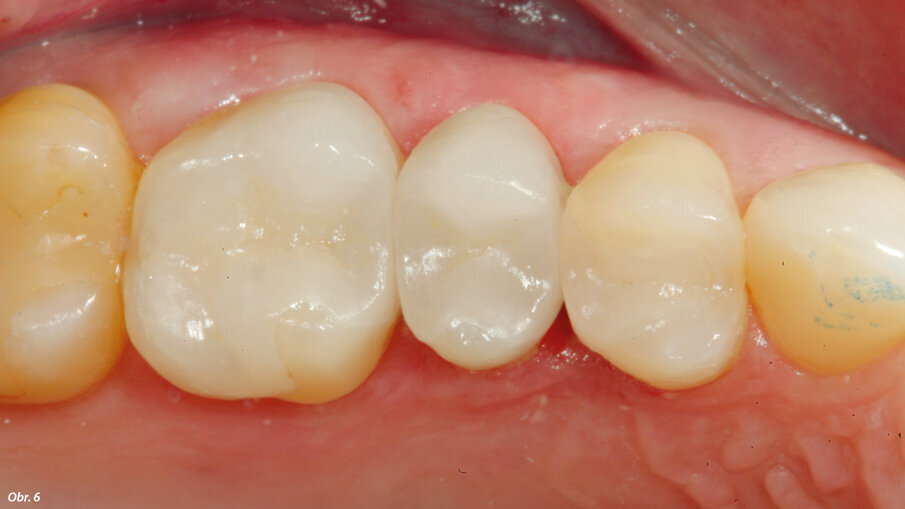
Pracovní model vyrobený na základě polysiloxanového otisku s dokončenými keramickými náhradami.
Keramické náhrady po nacementování.
Retrakce měkkých tkání pomocí dvou vláken
Technika otiskování za retrakce pomocí dvou vláken se používá při zhotovování hlavních otisků pro celoplášťové a labiálně fazetované náhrady (se subgingiválně i paramarginálně umístěnými okraji). Nejprve se při okraji každé preparace, počínaje od lingvální oblasti, přes aproximální až po labiální oblast a pak zpět přes zbývající aproximální oblast po oblast lingvální, zavede vlákno č. 00 (Ultrapak, Ultradent Products). Přebytek vlákna se na obou koncích ustřihne a konce vlákna se zasunou do gingiválního sulku z lingvální strany tak, aby k sobě oba konce přilnuly. V případě potřeby je možné vlákna napustit hemostatickým roztokem a před umístěním je pak osušit kouskem gázy. Poté se na vlákno č. 00 stejným způsobem umístí vlákno č. 1 (Ultrapak). Preparace se očistí prostředkem na znecitlivění dentinu na vatové peletce. Vlákno č. 1 se pak vyjme ze sulku pomocí hrotu sondy, přičemž se začíná u každé preparace z labiální strany, a vyhodnotí se míra retrakce.
Optický otisk by měl zachytit nejen celý okraj budoucí náhrady, ale také zhruba 0,5 mm zubu nebo povrchu kořene apikálně. Pokud marginální gingiva překáží ve viditelnosti okraje preparace, umisťuje se do dotyčné oblasti po dobu další minuty vlákno většího průměru (č. 2) a před skenováním se pak odstraní. Tato dodatečná retrakce by měla stačit pro vytvoření prostoru mezi povrchem zubu a podkladem gingiválního sulku. Cílem retrakce je vytvořit žlábek kolem zubu – prostor, v němž optický skener zřetelně uvidí okraj preparace.
Zaujala vás ukázka článku?
Celý článek můžete prostudovat v příslušném vydání časopisu Digital CZ/SK 1/2022
Redakční poznámka: Tento článek původně vyšel v časopise Oral Health Magazine a se svolením Newcom Media byla jeho upravená verze publikována v mezinárodním vydání časopisu digital – international magazine of digital dentistry, Vol. 1, Issue 3/2020.
Dr. Robert A. Lowe
Dr. Robert A. Lowe absolvoval s vyznamenáním v roce 1982 zubní lékařství na tehdejší Loyola University School of Dentistry v Chicagu v USA. Provozuje soukromou ordinaci v Charlotte v Severní Karolíně v USA a publikuje a přednáší na mezinárodní úrovni na téma estetické a záchovné stomatologie. Dr. Lowe lze kontaktovat na e-mailu boblowedds@aol.com.
To post a reply please login or register