Tento článek popisuje případ závažného postižení chrupu, u něhož byla nutná komplexní rekonstrukce. Vzhledem k tomu, že mezi těmito dvěma ošetřeními uplynulo deset let (horní zubní oblouk byl ošetřen v roce 2005 a dolní zubní oblouk pak v roce 2015), došlo k výraznému posunu v přístupu k takovémuto typu ošetření, a to s ohledem na rozsah preparace zubů a stupeň redukce tvrdých zubních tkání.
Kazuistika
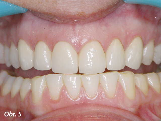
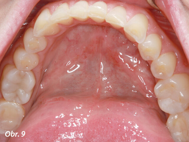
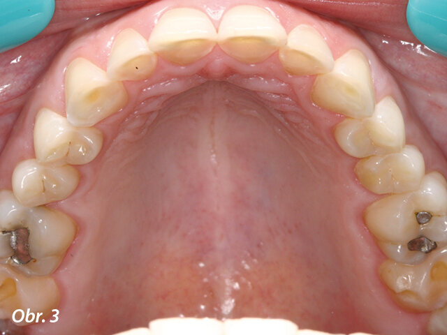
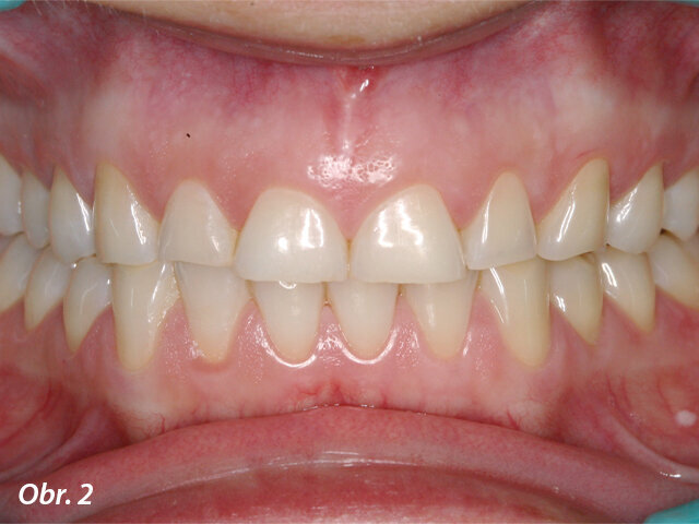
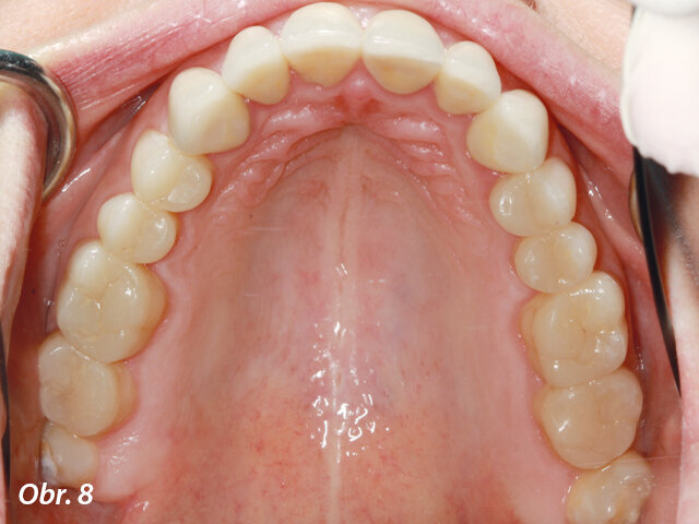
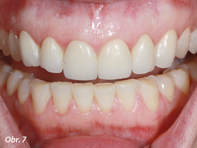
Před 12 lety se do zubní ordinace objednala 25letá pacientka za účelem zdokonalení úsměvu (obr. 1–3). Její frontální horní i dolní zuby byly vážně poškozeny v důsledku dřívější chronické poruchy příjmu potravy. V roce 2005 byla u pacientky naplánována komplexní rehabilitace, která byla započata ošetřením horního zubního oblouku. U horních laterálních zubů byly naplánovány a zhotoveny celokeramické onleje, zatímco u horních frontálních zubů byly zhotoveny celokeramické korunky (obr. 4–6). Před deseti lety to byl standardní postup v obdobném případě strukturálního poškození chrupu. Pacientka, spokojená se vzhledem horních zubů při úsměvu, se k dokončení komplexní rehabilitace dostavila až v roce 2015. V průběhu posledních deseti let došlo u některých celokeramických korunek k drobnému chippingu (obr. 7–9), který byl důsledkem nedokončené rehabilitace. Po dekádě vývoje a pokroku na poli dentálních technologií a plánování léčby jsme mohli pacientce navrhnout novou možnost ošetření, minimálně invazivní a bez nutnosti výrazné redukce tvrdých zubních tkání zubů, tak jak tomu bylo před 10 lety.
Léčebný plán
K registraci centrického vztahu a k zajištění artikulace modelů v této poloze byl použit tzv. Koisův deprogramátor. Na základě estetické analýzy byl zhotoven wax-up dolního zubního oblouku a bylo naplánováno mírné zvýšení skusu, i.e. zvýšení vertikálního rozměru okluze (VRO). Významným přínosem zvýšení VRO bylo získání dostatku místa pro výplňový materiál bez potřeby dodatečné preparace a redukce tvrdých zubních tkání. Dále byl zhotoven mock-up a provedena fonetická analýza. V laterálním úseku byly naplánovány lithium disilikátové onleje, zatímco pro frontální zuby přímé dostavby kompozitní pryskyřicí.
Rekonstrukce laterálních zubů
U dolních laterálních zubů byla provedena minimálně invazivní preparace, a to za účelem vytvoření optimálních podmínek pro přesnou laboratorní práci. Celý povrch preparace byl pečlivě vyleštěn, s výjimkou jejích okrajů. K zajištění dostatečného okluzálního objemu rekonstruovaného prostoru byla na artikulovaných studijních modelech se zvýšeným VRO zhotovena nákusná dlaha z Pattern Resin. Ta byla následně přenesená do úst ke zkoušce (obr. 10). Byly pořízeny otisky situace a v laboratoři zhotoveny lithium disilikátové onleje (IPS e.max, Ivoclar Vivadent) (obr. 11). Při dalším ošetření byla provedena zkouška onlejí za účelem ověření jejich dosedu a okrajového uzávěru.
Zaujala vás ukázka článku?
Celý článek můžete prostudovat v příslušném vydání časopisu Cosmetic Dentistry CZ/SK 1/2021
stáhněte jej ve formátu PDF
O autorovi
Dr. Maciej Żarow (DDS., Ph.D.) pracuje v privátní zubní praxi a rozjíždí dentální edukační centrum v Krakowě v Polsku (www.kursydentist.pl). Můžete jej kontaktovat na e-mailu: maciej.zarow@dentist.com.pl nebo na facebooku: Maciej Zarow.
Redakční poznámka: Článek byl publikován v mezinárodním vydání časopisu cosmetic dentistry beauty & science, Vol. 12, Issue 1/2018.
Splitting alveolární kosti, krestální a vnitřní sinus lift
Dentální implantáty vznikly jako náhrada chybějících zubů a díky své vysoké ...
Dokonalost a přesnost okrajového uzávěru definitivních nepřímých náhrad může být jen tak dobrá, jak dobré jsou modely a otisky, na jejichž ...
Diagnostika v ortodoncii klade tradičně velký důraz na kefalometrii a analýzu modelů zubů. Záměrem rozvoje nových technologií však není ...
V medicíně je široce přijímáno, že lékařské implantáty a zákroky je nutné v průběhu času revidovat. Například v ortopedické chirurgii se ...
WARDHA, Indie: Zatímco většina zubních lékařů je již obeznámena s možnostmi 3D tisku při výrobě modelů, aparátů, chirurgických šablon a ...
Při navrhování zubní soupravy Planmeca Compact™ i5 jsme měli na mysli pět nejdůležitějších prvků – design, dobrý pocit z ošetření, ...
Česká stomatologická komora (ČSK) se stále více zaměřuje na osvětu významu prevence a v rámci této snahy letos vyhlásila na 21. září Den ...
HELSINKI, Finsko / LEIPZIG, Německo: Být sociálně odpovědnou firmou s jasnou vizí je jedna věc. Být více než 40 let ...
Do naší ordinace přišel 42letý muž, který doufal ve vylepšení svého úsměvu. Byl si vědom opotřebení chrupu v předním úseku a také ...
MONTREAL, Kanada: S rostoucím povědomím o obrovském dopadu průmyslových kapitalistických společností na životní prostředí je i dentální ...
Živý webinář
Po. 20 dubna 2026
7:00 (CET) Prague
Dr. Alberto Monje DDS, MS, PhD
Živý webinář
St. 22 dubna 2026
5:00 (CET) Prague
MDT Andreas Chatzimpatzakis
Živý webinář
St. 22 dubna 2026
5:00 (CET) Prague
Živý webinář
St. 22 dubna 2026
6:00 (CET) Prague
Živý webinář
Čt. 23 dubna 2026
5:00 (CET) Prague
Živý webinář
Čt. 23 dubna 2026
6:30 (CET) Prague
Živý webinář
Čt. 23 dubna 2026
7:00 (CET) Prague
To post a reply please login or register