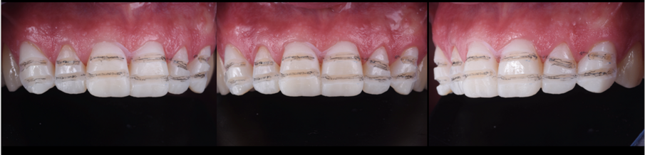
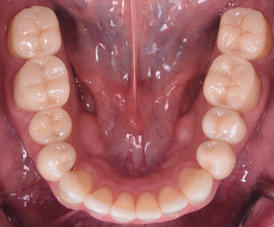
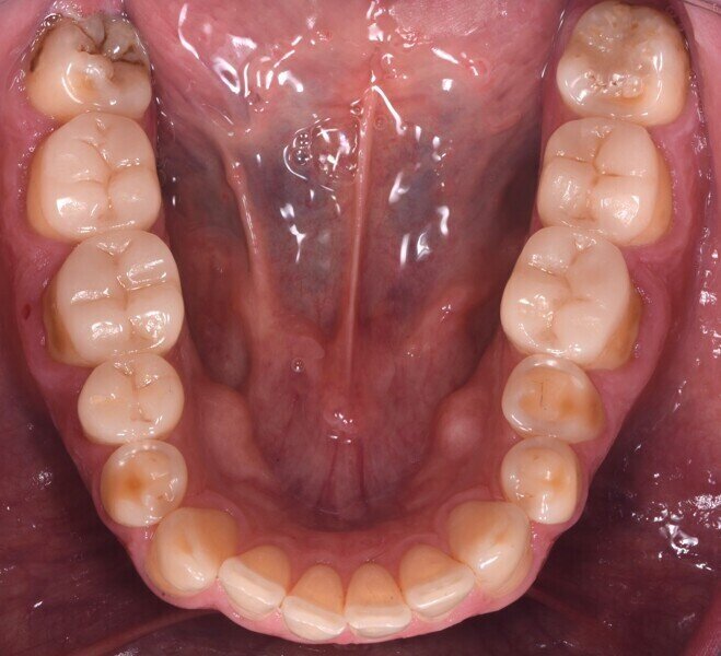
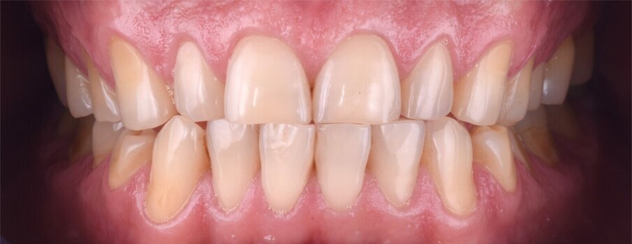
Do naší ordinace přišel 42letý muž, který doufal ve vylepšení svého úsměvu. Byl si vědom opotřebení chrupu v předním úseku a také některých zadních zubů. Tato situace vedla k obnažení značné oblasti dentinu, což způsobilo vysokou citlivost a negativně ovlivnilo estetiku jeho úsměvu (obr. 1). Dále se u něj projevilo určité stěsnání a vztah stoliček III. třídy, což mělo za následek určitou modifikaci okluze, tendenci ke vztahu řezáků III. třídy a skus hrana na hranu (obr. 2).
Pacient podstoupil částečnou rekonstrukci na jiné klinice před dvěma až třemi lety, ale ošetření molárů dolní čelisti, pravého druhého premoláru dolní čelisti a levého prvního premoláru horní čelisti zůstalo nedokončeno. Požadavkem pacienta bylo zachovat již provedené výplně, pokud jsou stále v dobrém stavu.
Ošetření
Prvním krokem bylo zvětšení vertikálního rozměru okluze (VRO) umístěním okluzních dostaveb na abradované a erodované zuby, zejména na zuby č. 17–14, 25–27, 34, 35 a 44. Pomocí intraorálního skeneru DEXIS IS 3800W (Dental Imaging Technologies Corp.) byl pořízen digitální otisk zvýšeného VRO s čelistmi v centrickém vztahu a stabilizačním posteriorním okluzním deprogramátoru (occlusal jig) (obr. 3).
Dostavby byly navrženy v softwaru exocad (obr. 4) a pro jejich výrobu byl zvolen lithium disilikát (obr. 5). Výplně byly adhezivně fixovány v ústech pacienta. Po zvýšení VRO byla incizální okluze pacienta ideální pro rekonstrukci řezákového vedení, pro kterou bylo nutno zajistit pacientovi ortodontickou léčbu (obr. 6). Po ukončení ortodontické léčby byly opotřebené incizální hrany dolních řezáků obnoveny přímou dostavbou kompozitem (obr. 7).
Obr. 4a–f: Návrh laterálních dostaveb v programu exocad.
Obr. 5a, b: Zvýšení vertikálního rozměru okluze.
Obr. 6a, b: Situace před a po ortodontickém ošetření.
Obr. 7a-d: Přímá kompozitní náhrada předního sextantu dolní čelisti.
Následně byl zhotoven digitální wax-up ve frontálním úseku horní čelisti, aby bylo možno ověřit estetiku plánované rekonstrukce a vést minimálně invazivní preparaci zubů na základě zhotoveného mock-upu (obr. 8). Finální preparace (obr. 9) se z větší části omezila na interproximální oblasti (obr. 10). Poté byl proveden finální digitální otisk při aplikaci retrakční niti. (obr. 11).
Obr. 8a, b: Anteriorní wax-up.
Obr. 8c–e: Anteriorní mock-up.
Obr. 9a–f: Vodicí drážky pro preparaci.
Obr. 11a a b: Digitální otisky předních čelistních korunek.
V rámci digitálního designu navržené rekonstrukce byla provedena částečná redukce dolní poloviny bukální plochy plánovaných korunkových náhrad, aby bylo umožněno vrstvení keramiky pro dosažení co nejlepšího estetického výsledku (obr. 12 a 13).
Obr. 12: Kontrola tloušťky.
Obr. 13: Konečná rekonstrukce (s prostorem pro frontální stratifikaci).
Obr. 14a, b: Finální náhrady.
Obr. 15a, b: Adhezivní protokol.
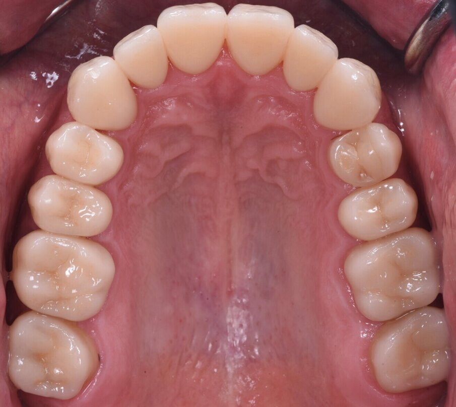
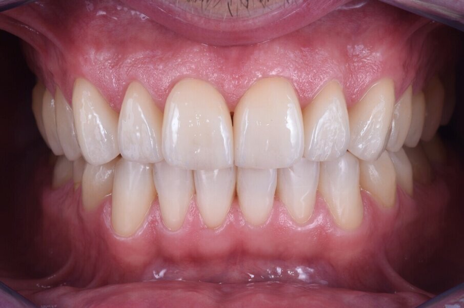
Nakonec byly finální korunkové náhrady (obr. 14) adhezivně fixovány v ústech za izolace kofferdamem (obr. 15). Pacient byl sledován několik týdnů po cementaci náhrad (obr. 16 a 17).
Obr. 16a: Závěrečná extraorální fotografie.
Obr. 16b: Závěrečná extraorální fotografie.
Obr. 17a–c: Finální intraorální fotografie.
Tento článek byl publikován v digital-international magazine of digital dentistry vol. 4, issue 3/2023.
Použité technologie: Pro estetickou a funkční rehabilitaci horního premoláru (zub 24) použil Dr. Nelson TRIOS® intraorální skener a 3Shape Implant...
Splitting alveolární kosti, krestální a vnitřní sinus lift
Dentální implantáty vznikly jako náhrada chybějících zubů a díky své vysoké ...
V tomto článku prezentuji klinický případ managementu periimplantátových měkkých tkání pomocí spojení na míru přizpůsobené kolagenní ...
Estetické a funkční rekonstrukce chrupu na implantátech představují zejména ve frontálním úseku chrupu nesnadný úkol. V tomto příspěvku ...
Fixní rekonstrukce celého oblouku nesené implantáty vyžadují správnou diagnostiku a plánování léčby. Jen tak je možno zhodnotit stávající ...
CHARLOTTE, USA: CEREC na DS Core zjednodušuje práci u křesla pro týmy, které začínají s digitální stomatologií. Cloudový přístup umožňuje ...
Společnost Planmeca je známá nejmodernějšími technickými inovacemi a neustálým vývojem produktů. Výkonná softwarová platforma Planmeca Romexis...
Použití laserů ve stomatologii – a při lékařských zákrocích obecně – zaznamenalo v posledních letech velký pokrok nejen v účinnosti, ale ...
Pro Arch od společnosti Straumann je koncept, který zahrnuje různá léčebná řešení pro zcela bezzubého pacienta. Cílem je poskytnout ...
Živý webinář
Po. 11 května 2026
6:00 (CET) Prague
Živý webinář
Po. 11 května 2026
7:00 (CET) Prague
Živý webinář
Út. 12 května 2026
7:00 (CET) Prague
Živý webinář
Čt. 14 května 2026
6:00 (CET) Prague
Živý webinář
Čt. 14 května 2026
8:00 (CET) Prague
Prof. Hani Ounsi DDS PhD FICD
Živý webinář
Út. 19 května 2026
5:00 (CET) Prague
Živý webinář
Út. 19 května 2026
7:00 (CET) Prague
Prof. Dr. med. dent. Ivo Krejci
To post a reply please login or register