Search Dental Tribune

Jednoduchá rekonstrukce u problematického případu s omezeným prostorem

Jednoduchá rekonstrukce u problematického případu s omezeným prostorem
Dr. Fernando Rojas-Vizcaya a dr. Jose de San

Dr. Fernando Rojas-Vizcaya a dr. Jose de San

Čt. 1 června 2023

uložit

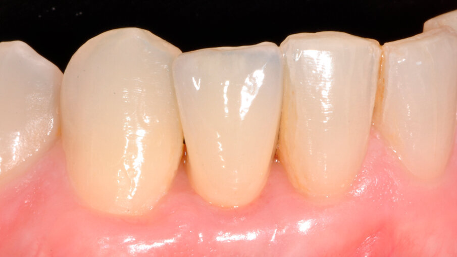
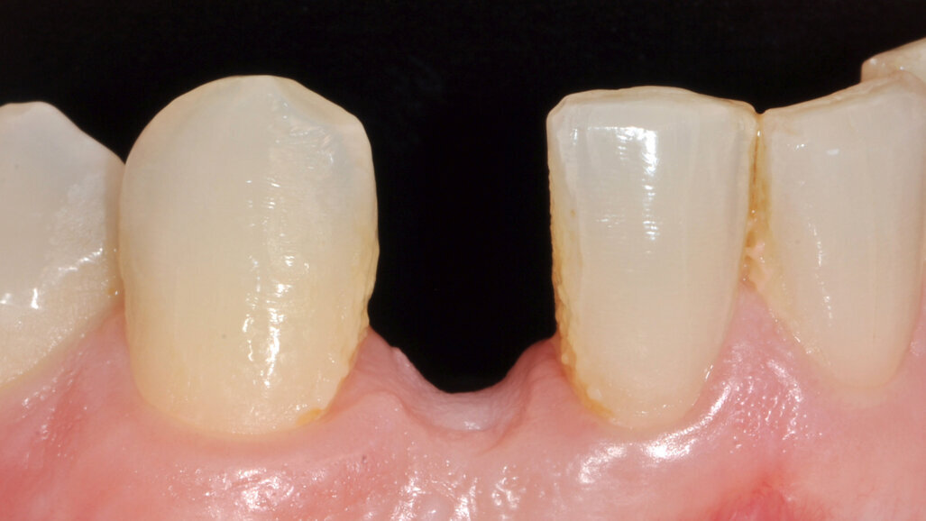
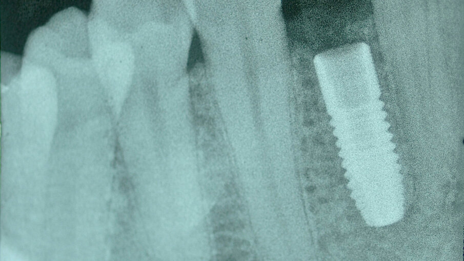
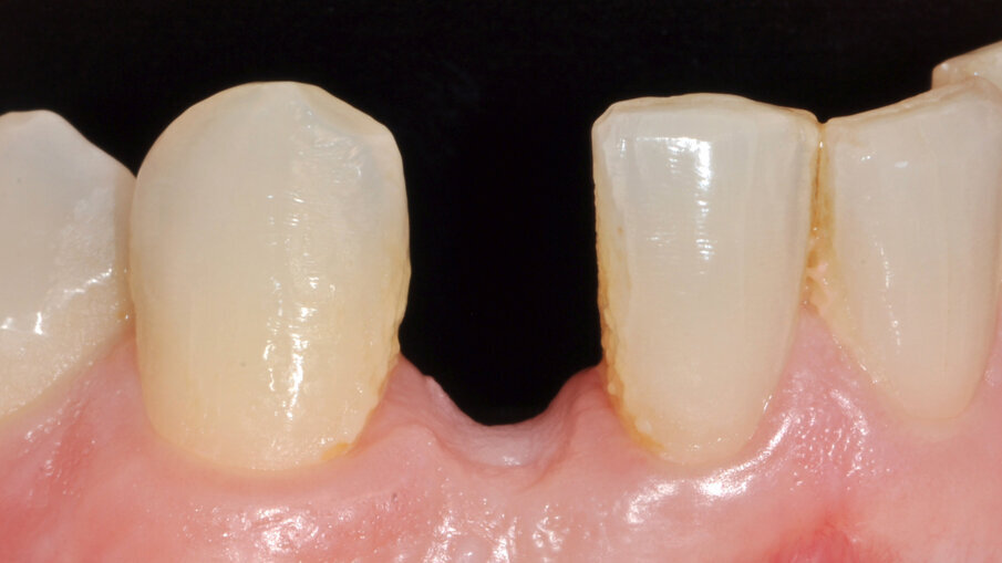
Počáteční situace a plánování ošetření

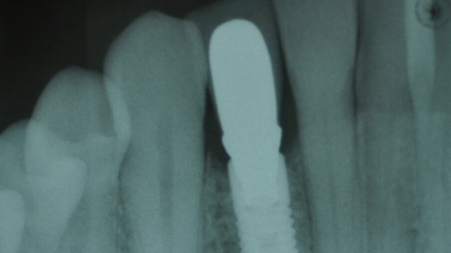
40letý pacient s chybějícím pravým postranním řezákem v dolní čelisti a štěpem transplantovaným do oblasti tohoto chybějícího zubu požádal o rekonstrukci za použití dentálního implantátu. U tohoto typu náhrady je problémem omezený dostupný prostor a blízkost sousedních zubů. Při klinickém vyšetření byl posouzen dostupný prostor (obr. 1) a na periapikálním RTG snímku pořízeném před ošetřením byla vyhodnocena oblast pro zavedení implantátu (obr. 2). Plán ošetření zahrnoval konvenční zavedení implantátu za použití implantátu OsseoSpeed EV (Dentsply Sirona) a bezprostředně po zavedení implantátu byla nasazena provizorní náhrada na abutmentu Temporary Abutment EV (Dentsply Sirona). Pro definitivní náhradu bylo naplánováno použít za účelem obnovy přirozeného vzhledu a funkce chybějícího zubu korunku na abutmentu Atlantis Crown Abutment (Dentsply Sirona).

Zavedení implantátu

V rámci prvního kroku zavádění implantátu byly pomocí chirurgické šablony vyhodnoceny biologické aspekty podle pravidla 3A-2B (obr. 3). První pozice pro vrtání byla vyznačena tak, aby bylo dosaženo 2B a zajištěn úhel osteotomie pomocí vrtáku Precision Drill EV (Dentsply Sirona). Úhel byl potvrzen a osteotomie v hloubce pro implantát byla preparována pomocí vrtáku Twist Drill EV (Dentsply Sirona; obr. 4). Hloubka osteotomie byla zkontrolována pomocí nástroje Implant Depth Gauge EV (Dentsply Sirona (obr. 5). Poté byl zaveden implantát OsseoSpeed EV 3.6 o délce 11 mm (obr. 6). Předpokladem bylo, že zbývající aproximální kost poskytne oporu aproximální papile. Periapikální RTG snímek pořízený bezprostředně po zavedení implantátu potvrdil, že implantát není v kontaktu s žádným ze sousedních kořenů (obr. 7). Poté byl za použití otiskovací kapny Implant Pick-up Design EV (Dentsply Sirona), což je samonaváděcí otiskovací komponenta, která se umisťuje do implantátu, pořízen otisk, jehož účelem bylo získání informací o pozici implantátu (obr. 8). Provizorní abutment Temporary Abutment EV byl upraven v oblasti krčku tak, aby se zabránilo kontaktu s aproximální kostí a bylo možné správné dosednutí (obr. 9). Za použití kofferdamu pak byla pryskyřicí ihned upevněna provizorní náhrada (obr. 10). Poté byla náhrada sejmuta, dokončena, vyleštěna a za lehkého přitlačení opět nasazena.

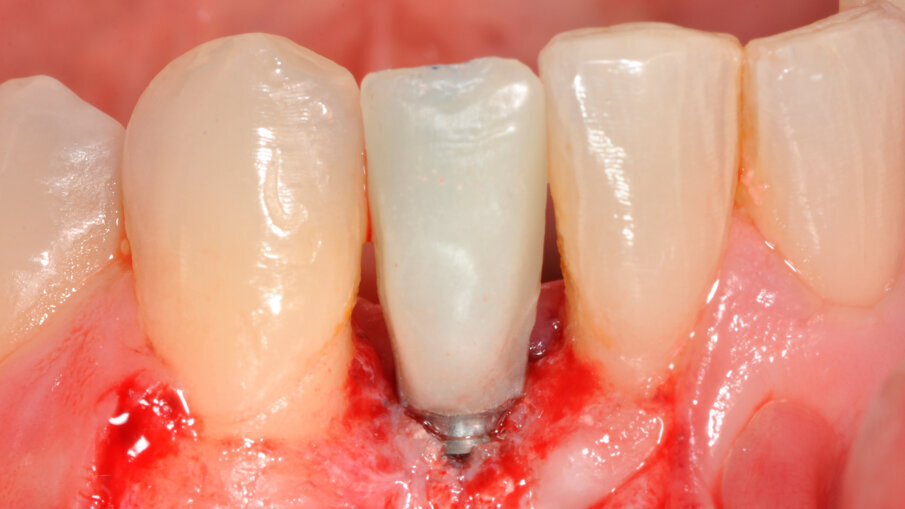
Definitivní náhrada

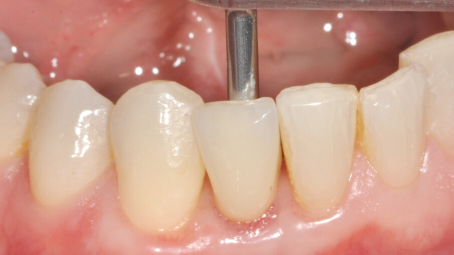
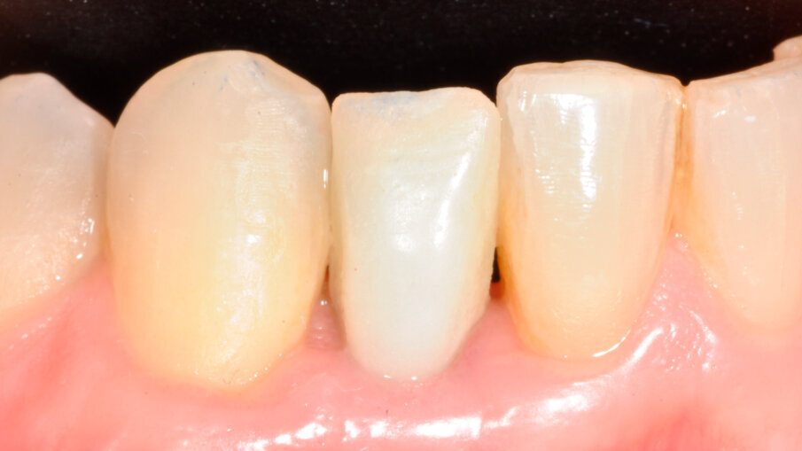
Pacient byl objednán na kontrolu týden po chirurgickém zákroku. V té době bylo dosednutí provizorní náhrady shledáno uspokojivým (obr. 11). Obrázek 12 zachycuje digitální plánování abutmentu Atlantis Crown Abutment ze zirkonu s adekvátním prostorem pro vrstvy keramiky. Definitivní náhrada byla vyrobena v zubní laboratoři s ohledem na dosažení harmonie se sousedními zuby (obr. 13). Byl také vytvořen prostor pro aproximální papilu. Abutment kotvený šroubkem s lingválním přístupem lze vidět na obrázku 14. Provizorní náhrada byla vyměněna za definitivní (obr. 15). Subgingivální část abutmentu poskytla oporu měkkým tkáním a byl zajištěn prostor pro mezizubní papilu. Atlantis Crown Abutment byl dotažen točivým momentem 25 Ncm (obr. 16). Lingvální přístup ke šroubku byl nejprve zakryt výplňovým materiálem (PTFE) a poté kompozitem. Následně byl pořízen další RTG snímek implantátu s upevněným definitivním abutmentem Atlantis Crown Abutment (obr. 17). Na obrázku 18 lze vidět konečný výsledek s definitivní náhradou, na němž je patrný adekvátní obrys měkkých tkání a vyplnění aproximálního prostoru. Keramika rovněž dokonale napodobila odstín sousedních zubů.

Poznámka redakce: Tento článek byl poprvé publikován v časopisu implants – international magazine of oral implantology, svazek 22, vydání 3/2021.

O autorovi:
Fernando Rojas-Vizcaya, DDS, MS, vystudoval University of North Carolina v Chapel Hill, USA, kde absolvoval rovněž tříleté postgraduální studium v oboru protetiky a roční vědecko-výzkumnou stáž v oboru dentálních implantátů v rámci protetického programu. V současné době spolupracuje s univerzitou jako odborný asistent. Vystudoval také orální medicínu a orální implantologii na Complutense University v Madridu ve Španělsku a absolvoval program v oboru orální chirurgie v univerzitní nemocnici Gregorio Marañón v Madridu. Jeho výzkum je zaměřen na vývoj protokolů v oblasti orální implantologie, kompletní rehabilitace a virtuální léčby s využitím nových digitálních technologií. Provozuje soukromou ordinaci ve španělském Castellonu zaměřenou výhradně na protetiku a implantologii.

Dr. Fernando Rojas-Vizcaya

Kontakt
Dr. Fernando Rojas-Vizcaya
Clínica Dental Fernando Rojas Vizcaya, Castellon, Španělsko
+34 964 257200
www.prosthodontics.es

To post a reply please login or register
advertisement
advertisement