Rekonstrukce v dolní čelisti popsaná v následující kazuistice byla provedena pomocí ASTRA TECH Implant System® EV a konceptu SmartFix® (Dentsply Sirona Implants).
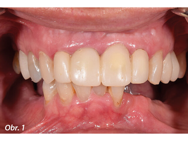
Pacientka si zvolila komplexní rehabilitaci chrupu v dolní čelisti fixní náhradou nesenou implantáty s využitím čtyř implantátů. Zbývajících pět zubů vykazovalo vhodný vertikální rozměr okluze v centrickém vztahu s okluzní rovinou poskytující přijatelnou fonetiku a estetiku (obr. 1). Byl pořízen panoramatický rentgenový snímek pro zaznamenání dentoalveolárního stavu v době, kdy se pacientka dostavila poprvé do ordinace (obr. 2). Předchozí selhávající distální fixní zubní náhrada byla odstraněna ještě před definitivním plánováním léčby.
Následovalo plánování založené na počítačové tomografii (CBCT), zbývající mandibulární zuby pacientky byly extrahovány. Bylo provedeno plánování léčby implantáty v softwaru SimPlant (Dentsply Sirona Implants), který ukázal vhodnou polohu zubů a odhadovanou polohu frontálních implantátů (OsseoSpeed EV) a distálních implantátů (OsseoSpeed Profile EV) v mezích navrhované finální náhrady (obr. 3).
Obr. 1: Intraorální vzhled stavu chrupu před ošetřením
Obr. 2: Panoramatický rentgenový snímek demonstrující počáteční dentoalveolární stav
Obr. 3: Plánování implantace prováděné pomocí softwaru SimPlant (Dentsply Sirona Implants)
Po chirurgickém zavedení čtyř implantátů byla provedena egalizace pomocí pilotního navigovaného postupu. V dalším kroku byly umístěny vhodné angulované abutmenty v anterio-posteriorní konfiguraci pro zvýšení distribuce podle „10 pravidel“ od Coopera a kol. (Cooper, L., Limmer, B. et al. „Rules of 10 – Guidelines for Successful Planning and Treatment of Mandibular Edentulism Using Dental Implants. Compendium May 2012; 33(5):328–34). Abutmenty tak byly utaženy na 25 Ncm. Ve frontálním úseku byly použity přímé abutmenty. Pro svou flexibilitu se byl použit držák abutmentů z polyetheretherketonu (PEEK), abychom se vyhnuli jazyku a tváři a potvrdila se paralelita s ostatními třemi abutmenty.
Zaujala vás ukázka článku?
Celý článek můžete prostudovat v příslušném vydání časopisu Implants CZ/SK 1/2019
stáhněte jej ve formátu PDF
Štítky:
BERLÍN/NĚMECKO: I když moderní koncepce prevence a záchovné stomatologie vede k delšímu zachování ...
Počítačem asistovaná implantologie (PAI) byla představena před více než 25 lety se záměrem usnadnit plánování implantologického ošetření a ...
Rehabilitace bezzubé horní čelisti pomocí implantátů je náročná, mimo jiné s ohledem na anatomii a kvalitu kosti i design zubní náhrady. Velmi ...
Zavádění dentálních implantátů je stále častěji využívanou metodou náhrady chybějících zubů. Náhrady nesené implantáty je možné ...
Estetické a funkční rekonstrukce chrupu na implantátech představují zejména ve frontálním úseku chrupu nesnadný úkol. V tomto příspěvku ...
Fyziologické přechodné diastema v horní čelisti je pozorováno u dětí během erupce horních špičáků – po jejich prořezání se diastema v 96 ...
Kvalita kosti vztahující se k umístění implantátu
V současnosti se technika digitálního plánování a následná řízená implantologie využívá především k přesnému protetickému zavedení ...
Pro frontální úsek chrupu je v estetické a záchovné stomatologii k dispozici mnoho různých materiálů a možností léčby. Konvenční protokol, ...
Pro náhrady jednotlivých zubů máme v současnosti na výběr mnoho adekvátních terapeutických možností, existují však případy, kde se žádné ...
Živý webinář
Po. 11 května 2026
6:00 (CET) Prague
Živý webinář
Po. 11 května 2026
7:00 (CET) Prague
Živý webinář
Út. 12 května 2026
7:00 (CET) Prague
Živý webinář
Čt. 14 května 2026
6:00 (CET) Prague
Živý webinář
Čt. 14 května 2026
8:00 (CET) Prague
Prof. Hani Ounsi DDS PhD FICD
Živý webinář
Út. 19 května 2026
5:00 (CET) Prague
Živý webinář
Út. 19 května 2026
7:00 (CET) Prague
Prof. Dr. med. dent. Ivo Krejci