Search Dental Tribune

Celková rekonstrukce chrupu pomocí implantátů Straumann BLX a Pro Arch navigované chirurgie

Ilustrační obrázek (Leandro Soeiro Nunes)
Leandro Soeiro Nunes, Porto Alegre, Brazílie

Leandro Soeiro Nunes, Porto Alegre, Brazílie

Út. 6 července 2021

uložit

Rehabilitace bezzubé horní čelisti pomocí implantátů je náročná, mimo jiné s ohledem na anatomii a kvalitu kosti i design zubní náhrady. Velmi důležitým faktorem pro dlouhodobou úspěšnost je rozložení implantátů v horní čelisti. Kromě toho jsou rozhodujícími předpoklady pro dosažitelnost předvídatelného a uspokojivého výsledku počet implantátů, primární stabilita implantátů a materiál náhrady. Nový implantát BLX má zajímavé vlastnosti, které umožňují vyšší primární stabilitu i v nejistých situacích, což nás v případě níže prezentovaného případu bezzubé pacientky povzbudilo k okamžitému zatížení implantátů.

Počáteční situace

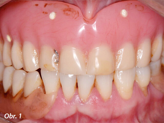
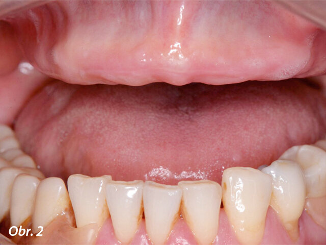
Pacientka se dostavila na naši kliniku se snímatelnou náhradou v horní čelisti (obr. 1), která vykazovala nízkou stabilitu a nevyhovující žvýkací funkci. Pacientka si stěžovala i na estetiku, ale funkční aspekt byl pro ni rozhodující. Po klinickém vyšetření (obr. 2–3) a CBCT analýze jsme naplánovali zavedení šesti implantátů Straumann BLX jako oporu pro fixní můstek v rozsahu celého oblouku (obr. 4). Provizorní můstek byl vyroben před zavedením implantátů. K provedení statické řízené operace byla vytištěna chirurgická šablona.

Plánování ošetření

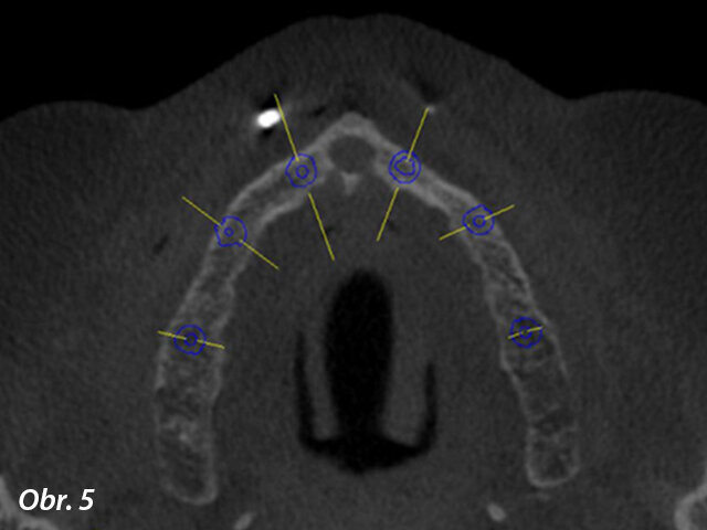
Prostřednictvím softwaru coDiagnostiX jsme zjistili, že je k dispozici dostatek kosti pro zavedení implantátů, kromě dvou oblastí, do nichž bude nutno transplantovat kostní štěp (obr. 5, 6). Bylo naplánováno celkem šest implantátů s adekvátním rozložením po oblouku, které vytvoří podpěru pro žvýkací síly a zabrání jednostranné zátěži (obr. 7). Zavedení implantátů bylo naplánováno za použití chirurgické šablony (obr. 8) a na implantáty měla být hned po chirurgickém zákroku našroubována provizorní náhrada – jednalo se tedy o protokol okamžitého zatížení.

Chirurgická procedura

Pro zavedení implantátů byla naplánována bezlaloková chirurgická procedura a poté byl pouze v oblastech, kde se očekávalo obnažení implantátu, vytvořen malý lalok. Chirurgická šablona perfektně seděla na sliznici (obr. 9) a byla zajištěna pomocí fixačních pinů. Preparace štol pro implantáty vrtákem Velo Drill probíhala hladce a někde byla měkká kost z důvodu dosažení vyhovující primární stability podpreparována.

 

Zaujala vás ukázka článku?

Celý článek můžete prostudovat v příslušném vydání časopisu Digital CZ/SK 1/2021
stáhněte jej ve formátu PDF

 

 

Dr. Leandro Soeiro Nunes promoval na Federální univerzitě Rio Grande do Sul a v roce 2006 se stal specialistou na orální a maxilofaciální chirurgii na ULBRA-RS. Během magisterského studia (Bauru-SP) hodnotil chování biomateriálů při procedurách sinus liftu a během svého doktorátu (PUC-RS) porovnával biologické chování různých povrchů implantátů.

 

To post a reply please login or register
advertisement
advertisement