Strach ze zubního lékaře a stomatologického ošetření je velmi závažným problémem, který zásadně přispívá k vyhýbání se stomatologické péči. Pro nás a náš personál je proto zásadní znát a procvičovat způsoby, jak pomoci úzkostným pacientům jejich strach překonat a nabídnout jim v naší ordinaci příjemnou zkušenost. Následující klinický případ se týká úspěšného obnovení funkce a estetiky zubů u pacienta s fobií ze stomatologického ošetření a s obtížemi při žvýkání, na které si předně stěžoval. Ošetření zahrnovalo můstek nesený implantáty za použití kónických implantátů Straumann na úrovni kosti a keramického vhojovacího abutmentu v kombinaci s horizontální augmentací kosti.
Pro úspěšnost procedury augmentace je důležitá stabilita operační rány a bezproblémové hojení měkkých tkání. Nové keramické vhojovací abutmenty jsou vyrobeny ze zirkonu a poskytují ve své těsné blízkosti příznivé prostředí umožňující vynikající připojení měkkých tkání. Jejich materiál je navíc činí méně náchylnými k tvorbě plaku, což také napomáhá hojení měkkých tkání. Zvolené prostředky ošetření a efektivní komunikace s pacientem umožnily splnit očekávání pacienta účinným a jednoduchým způsobem.
Počáteční situace
59letý pacient se dostavil do naší ordinace především se stížností na potíže se žvýkáním a špatnou estetiku chrupu v důsledku chybějících zubů v dolní čelisti. Celková anamnéza odhalila farmakologickou léčbu a dietu za účelem kontroly hypertenze a hypercholesterolémie. Pacient kromě toho hlásil fobii ze stomatologického ošetření v důsledku mnoha dřívějších problémů.
Klinické vyšetření třetího kvadrantu zjistilo zuby s recesy gingivy, mobilitou i ztrátou zubní hmoty. Pacient pociťoval bolest a nepohodu v oblasti fixního můstku v oblasti zubu 34 až 36. Ve frontálním úseku třetího kvadrantu bylo patrné omezené množství keratinizovaných tkání. Orální hygiena byla vyhodnocena jako vyhovující.
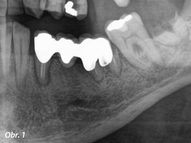
Radiologické vyšetření ukázalo výsledky odpovídající chronické parodontitidě zubů 34 a 36 a zbytky kořene zubu 38 (obr. 1).
Pacient projevil zájem o předvídatelné dlouhodobé řešení, které bude znamenat obnovení funkce a estetiky, ale zároveň půjde o minimálně invazivní přístup s bezproblémovým obdobím hojení.
Plánování ošetření
Při jednání s pacienty s fobií ze stomatologického ošetření se v naší ordinaci snažíme v první fázi zvládnout jejich problémy pomocí psychoterapeutických sezení, farmakologických zásahů (sedace nebo celková anestezie) nebo kombinací obou postupů podle míry úzkosti, charakteru osobnosti pacienta a klinické situace. V tomto konkrétním případě byla klíčem k vzájemné důvěře efektivní komunikace a použití léků poté již nebylo nutné.
Léčba zahrnovala dentální profylaxi, udělení pokynů k orální hygieně a extrakci zbytků zubu 38 a z klinického hlediska beznadějných zubů 34 a 36.
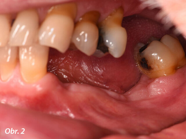
O osm týdnů později zjistilo klinické vyšetření omezené množství keratinizovaných tkání ve vestibulární oblasti zubu 34 a nepravidelný tvar bezzubého hřebene (obr. 2, 3).
V místech zubů 34 a 36 byla naplánována fixní náhrada nesená implantáty. Z tohoto důvodu bylo provedeno vyšetření pomocí CBCT, které mělo pomoci posoudit kvalitu a kvantitu kosti pro zavedení implantátu (obr. 4, 5). Byl shledán dostatek vertikální kosti v obou místech, nicméně v oblasti zubu 34 bylo pro zavedení implantátu nedostatečné horizontální množství kosti. V této lokalitě byla tedy spolu se zavedením implantátu naplánována augmentace kosti pomocí xenoštěpu a kolagenní membrány a keramický vhojovací abutment.
Pro implantát v oblasti zubu 36 byly anatomické podmínky lepší a byl naplánován konvenční chirurgický přístup bez augmentačních procedur a titanový vhojovací abutment.
V oblasti chybějícího zubu 26 byl indikován implantát. S ohledem na fobii ze stomatologického ošetření a úzkost pacienta byla jeho inzerce naplánována až po ošetření dolní čelisti.
Chirurgická procedura
Po aplikaci lokální anestezie (Artikain 4 % s adrenalinem 1 : 100000) byly za použití řezu přes střed hřebene a intrasulkulárních řezů uvolněny mukoperiosteální laloky. Lingvální lalok byl přichycen stehem, aby byla oblast zákroku lépe viditelná (obr. 6, 7).
Meziodistálně byl implantát umístěn nejméně 1,5 mm od sousedního přirozeného zubu a mezi dvěma implantáty byla zachována vzdálenost 3,0 mm. Lůžka implantátů byla preparována podle pokynů výrobce a každý vrtáček byl použit za hojné irigace. Za účelem správné prostorové pozice implantátů byly použity paralelizační piny (obr. 8–10).
Do oblastí zubů 34 a 36 byly zavedeny dva kónické implantáty na úrovni kosti Bone Level Tapered ø 4,1 mm RC SLActive Roxolid v délce 12 mm a 8 mm (obr. 11–14).
Kromě toho byla ve vestibulární oblasti implantátu v oblasti zubu 34 současně provedena augmentace za použití membrány Straumann Jason a kostního štěpu. Důvodem této horizontální augmentace byla tenká (méně než 1,5 mm) zbytková kost ve vestibulární oblasti (obr. 15). Kolagenní membrána byla stabilizována pomocí zirkonového vhojovacího abutmentu (RC ø 4,5 mm, výška 4 mm), zatímco pro implantát v oblasti zubu 36 byl našroubován titanový vhojovací abutment (RC ø 4,5 mm, výška 4 mm). Laloky byly uzavřeny umístěním jednoduchých stehů Vicryl 5/0 (obr. 16–20).
Po chirurgickém zákroku pacient obdržel ústní a písemná doporučení týkající se medikace, udržování ústní hygieny a stravy. Pacient byl instruován, aby si opatrně čistil oblast zákroku a dvakrát denně vyplachoval 15 ml 0,2% chlorhexidinu po dobu 1 minuty až do odstranění stehů (10 dní po zákroku). Předepsané léky zahrnovaly paracetamol 500 mg každých 8 hodin a Amoxicillin 500 mg před a po zákroku (podle doporučujících pokynů AHA).
Po 10 dnech se pacient dostavil na kontrolu a byly odstraněny stehy (obr. 21). Pacient nehlásil žádnou bolest ani komplikace a hojení probíhalo bez obtíží.
Radiologické vyšetření ukázalo výsledky odpovídající chronické parodontitidě zubů 34 a 36 a zbytky kořene zubu 38 (obr. 1).
Pacient projevil zájem o předvídatelné dlouhodobé řešení, které bude znamenat obnovení funkce a estetiky, ale zároveň půjde o minimálně invazivní přístup s bezproblémovým obdobím hojení.
Plánování ošetření
Při jednání s pacienty s fobií ze stomatologického ošetření se v naší ordinaci snažíme v první fázi zvládnout jejich problémy pomocí psychoterapeutických sezení, farmakologických zásahů (sedace nebo celková anestezie) nebo kombinací obou postupů podle míry úzkosti, charakteru osobnosti pacienta a klinické situace. V tomto konkrétním případě byla klíčem k vzájemné důvěře efektivní komunikace a použití léků poté již nebylo nutné.
Léčba zahrnovala dentální profylaxi, udělení pokynů k orální hygieně a extrakci zbytků zubu 38 a z klinického hlediska beznadějných zubů 34 a 36.
O osm týdnů později zjistilo klinické vyšetření omezené množství keratinizovaných tkání ve vestibulární oblasti zubu 34 a nepravidelný tvar bezzubého hřebene (obr. 2, 3).
V místech zubů 34 a 36 byla naplánována fixní náhrada nesená implantáty. Z tohoto důvodu bylo provedeno vyšetření pomocí CBCT, které mělo pomoci posoudit kvalitu a kvantitu kosti pro zavedení implantátu (obr. 4, 5). Byl shledán dostatek vertikální kosti v obou místech, nicméně v oblasti zubu 34 bylo pro zavedení implantátu nedostatečné horizontální množství kosti. V této lokalitě byla tedy spolu se zavedením implantátu naplánována augmentace kosti pomocí xenoštěpu a kolagenní membrány a keramický vhojovací abutment.
Pro implantát v oblasti zubu 36 byly anatomické podmínky lepší a byl naplánován konvenční chirurgický přístup bez augmentačních procedur a titanový vhojovací abutment.
V oblasti chybějícího zubu 26 byl indikován implantát. S ohledem na fobii ze stomatologického ošetření a úzkost pacienta byla jeho inzerce naplánována až po ošetření dolní čelisti.
Chirurgická procedura
Po aplikaci lokální anestezie (Artikain 4 % s adrenalinem 1 : 100000) byly za použití řezu přes střed hřebene a intrasulkulárních řezů uvolněny mukoperiosteální laloky. Lingvální lalok byl přichycen stehem, aby byla oblast zákroku lépe viditelná (obr. 6, 7).
Meziodistálně byl implantát umístěn nejméně 1,5 mm od sousedního přirozeného zubu a mezi dvěma implantáty byla zachována vzdálenost 3,0 mm. Lůžka implantátů byla preparována podle pokynů výrobce a každý vrtáček byl použit za hojné irigace. Za účelem správné prostorové pozice implantátů byly použity paralelizační piny (obr. 8–10).
Do oblastí zubů 34 a 36 byly zavedeny dva kónické implantáty na úrovni kosti Bone Level Tapered ø 4,1 mm RC SLActive Roxolid v délce 12 mm a 8 mm (obr. 11–14).
Kromě toho byla ve vestibulární oblasti implantátu v oblasti zubu 34 současně provedena augmentace za použití membrány Straumann Jason a kostního štěpu. Důvodem této horizontální augmentace byla tenká (méně než 1,5 mm) zbytková kost ve vestibulární oblasti (obr. 15). Kolagenní membrána byla stabilizována pomocí zirkonového vhojovacího abutmentu (RC ø 4,5 mm, výška 4 mm), zatímco pro implantát v oblasti zubu 36 byl našroubován titanový vhojovací abutment (RC ø 4,5 mm, výška 4 mm). Laloky byly uzavřeny umístěním jednoduchých stehů Vicryl 5/0 (obr. 16–20).
Po chirurgickém zákroku pacient obdržel ústní a písemná doporučení týkající se medikace, udržování ústní hygieny a stravy. Pacient byl instruován, aby si opatrně čistil oblast zákroku a dvakrát denně vyplachoval 15 ml 0,2% chlorhexidinu po dobu 1 minuty až do odstranění stehů (10 dní po zákroku). Předepsané léky zahrnovaly paracetamol 500 mg každých 8 hodin a Amoxicillin 500 mg před a po zákroku (podle doporučujících pokynů AHA).
Po 10 dnech se pacient dostavil na kontrolu a byly odstraněny stehy (obr. 21). Pacient nehlásil žádnou bolest ani komplikace a hojení probíhalo bez obtíží.
Štítky:
První dolní molár mladého pacienta musel být extrahován kvůli rozsáhlému poškození kazem s endodontickými komplikacemi – pro nahrazení zubu a...
Dr. Riz Syed hovoří o významu augmentace kosti na poli implantologie a některých možnostech léčby.
Dentální ...
Ošetření při nedostatečné nabídce kosti je pro všechny implantology známou výzvou. Tato situace je problematická pro samotné zavedení ...
Použití kratších implantátů bylo představeno na počátku 90. let 20. století za účelem překonání nutnosti složitých a nákladných procedur ...
Cílem retrospektivní kohortové studie bylo zhodnotit střednědobou úspěšnost (3–5 let) a úbytek marginální kosti tissue level (TL) implantátů ...
Dorzální úsek bezzubé maxily se sníženou výškou alveolárního výběžku obvykle představuje v rámci ošetření implantátem náročnou situaci....
Zubní implantáty jsou skvělým přídavkem do repertoáru každého praktického zubního lékaře, jelikož nám umožňují nahradit ztracený zub bez ...
Rehabilitace bezzubé horní čelisti pomocí implantátů je náročná, mimo jiné s ohledem na anatomii a kvalitu kosti i design zubní náhrady. Velmi ...
Okamžité zatížení je v implantologii stále častěji nabízeno jako rutinní metoda. Podle Prof. Mauro Labanca by s ním však mělo být nakládáno ...
COPENHAGEN, Dánsko: Mezinárodní kliničtí specialisté se v současné době sejdou na letošním ...
Živý webinář
Po. 11 května 2026
6:00 (CET) Prague
Živý webinář
Po. 11 května 2026
7:00 (CET) Prague
Živý webinář
Út. 12 května 2026
7:00 (CET) Prague
Živý webinář
Čt. 14 května 2026
6:00 (CET) Prague
Živý webinář
Čt. 14 května 2026
8:00 (CET) Prague
Prof. Hani Ounsi DDS PhD FICD
Živý webinář
Út. 19 května 2026
5:00 (CET) Prague
Živý webinář
Út. 19 května 2026
7:00 (CET) Prague
Prof. Dr. med. dent. Ivo Krejci
To post a reply please login or register