Ošetření při nedostatečné nabídce kosti je pro všechny implantology známou výzvou. Tato situace je problematická pro samotné zavedení implantátu a jeho dlouhodobou životnost, a v konečném důsledku i pro očekávaný estetický výsledek. Obecně vzato, v místě kostního defektu máme k dispozici dva typy ošetření: Prvním je řízená kostní regenerace. Ta kombinuje použití membrány a biomateriálů, u nichž je k dispozici několik variant. Jako druhou možnost můžeme použít autogenní kost ve formě bloku nebo štěpu, nebo opěrnou strukturu, a to na základě techniky vyvinuté prof. Fouadem Khourym. V závislosti na dovednostech a zkušenostech chirurga mohou tyto různé techniky vyžadovat několik chirurgických zákroků a ošetření může trvat několik měsíců, než bude možné zavést implantát.
Existuje však ještě třetí způsob řešení nedostatku kosti. Ten je založený na principu ankylózy a resorpce kořene, a to transplantace bločku z kořenů vlastních zubů pacienta. Pro označení použití úlomků kořene budeme používat termín „radikulární štěp“. Tuto techniku původně popsal tým spolupracující s prof. Frankem Schwartzem, který navrhl transplantaci kořenů zubů do místa pro budoucí zavedení implantátu již v roce 2016. Na třech klinických případech vysvětlíme rozsah použití radikulárních štěpů tak, jak je ve své každodenní praxi používáme my, a jak lze tuto techniku pozměnit od původní techniky popsané týmem prof. Swartze. Naším cílem je zlepšit zkušenost našich pacientů s chirurgickým zákrokem a kdykoli je to možné, dosáhnout augmentace kosti a současného zavedení implantátu. Záměrně omezujeme použití této techniky na horizontální defekt.
Materiály a metody
Extrahovaný kořen (obr. 1), který bude v budoucnu radikulárním štěpem, je nutno opatrně očistit/vyleštit, odstranit z něj zubní kámen, koronární část zubu nebo její zbytky a veškeré měkké nebo kazem zasažené části. Kořen se poté rozřízne diskem na dvě části a k vyčištění kanálků od tkáně nebo endodontické výplně se použije diamantová fréza. Je-li to potřeba, upraví se tvar takto připraveného kořene do tvaru odpovídajícímu defektu a vyvrtají se do něj otvory pro osteosyntetické šroubky. Takto připravený štěp se zajistí v místě transplantace pomocí osteosyntetických šroubků tak, aby byl dentin v kontaktu s kostním hřebenem a cement v kontaktu s měkkými tkáněmi. Radikulární štěpy jsou vlastně samy o sobě polarizované: dentin musí být v kontaktu s kostním hřebenem, aby byla možná ankylóza, zatímco cement musí být v kontaktu s měkkými tkáněmi, aby fungoval jako bariéra k zabraňující resorpci štěpu měkkými tkáněmi (obr. 2). Používá-li se štěp jako biologická membrána a má tvořit opěrnou strukturu, zaplní se prostor mezi štěpem a hřebenem výplňovým materiálem (obr. 3).
Extrahovaný kořen na radikulární štěp.
Orientace štěpů. Prostor mezi štěpem a hřebenem zaplněný výplňovým materiálem.
Malá tloušťka zbytkové kosti ve vestibulární oblasti implantátů.
Kořeny byly vytvarovány tak, aby pasovaly do místa defektu a jsou
v místě transplantace zajištěny osteosyntetickými šroubky.
K sešití bylo použito rychle vstřebatelné splétané vlákno č. 4/0.
Na implantáty byly umístěny vhojovací válečky. Osteosyntetické šroubky byly odstraněny.
Kazuistika 1
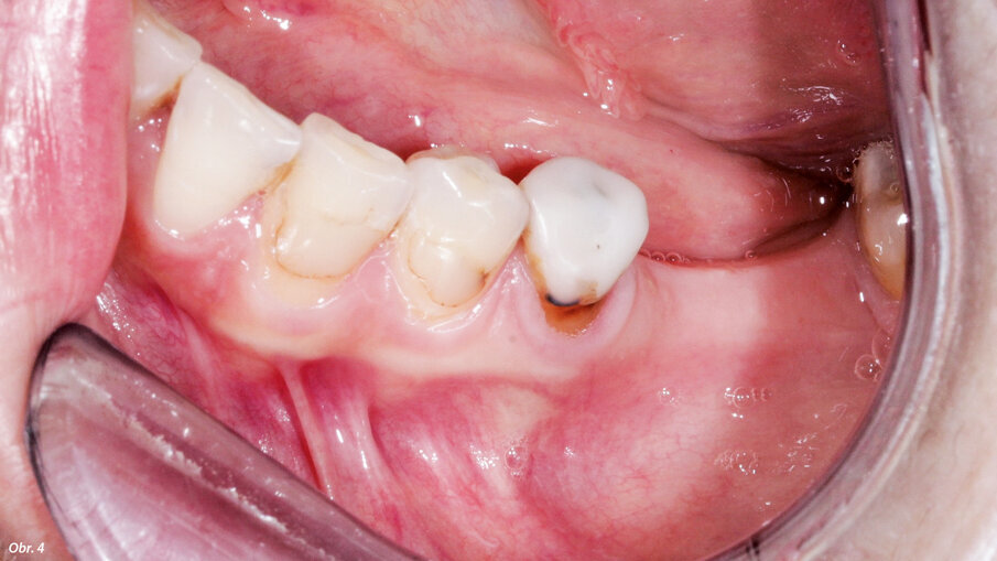
Na ošetření se dostavil 36letý pacient s chybějícími zuby 36 a 37 a horizontálním defektem kosti ve stávající mezeře. Bylo by sice bývalo možné zavést implantáty, ale zůstala by pouze tenká vrstva vestibulární kosti při krčcích implantátů. Hrozilo tedy vážné riziko dehiscence, která může ohrozit zachování implantátu v oblouku (obr. 4).
Měli jsme tři alternativní možnosti postupu: štěp kostního bloku z ramene dolní čelisti, segmentální osteotomii nebo radikulární štěp s vědomím, že zub 46 nebude vzhledem k jeho poškození možné zachránit. Zvolili jsme třetí možnost, protože umožňovala současné zavedení implantátu a rekonstrukci kosti. Byl odklopen rozsáhlý lalok, aby mohl být posouzen defekt kosti a uzavřen augmentovaný hřeben. Jako obvykle byly zavedeny dva implantáty, navzdory malé tloušťce reziduální kosti ve vestibulární oblasti plánovaných pozic pro implantáty (obr. 5). Kořeny zubu 46 byly atraumaticky extrahovány (separace kořenů byla provedena pomocí piezochirurgie) a připraveny podle výše uvedeného popisu. Kořeny byly vytvarovány tak, aby odpovídaly defektu a v oblasti transplantace byly zajištěny pomocí osteosyntetických šroubků (obr. 6). Lalok byl mobilizován a natažen tak, aby došlo k uzavření oblasti „end to end“ bez tahu, a k sešití bylo použito rychle vstřebatelné splétané vlákno č. 4/0 (obr. 7). Čtyři měsíce po augmentaci kosti a zavedení implantátu byly na implantáty umístěny vhojovací válečky a odstraněny osteosyntetické šroubky (obr. 8, 9). Během zákroku byl čas provést vizuální kontrolu toho, zda byla ankylóza radikulárních štěpů úspěšná a zda jsou štěpy zdravé. Nakonec bylo provedeno vyšetření pomocí CBCT. Náhradu nasadil náš kolega o několik týdnů později, jakmile byly zhojeny měkké tkáně.
Zaujala vás ukázka článku?
Celý článek můžete prostudovat v příslušném vydání časopisu Implants CZ/SK 2022
Dr. Renaud Girieud
je evropským odborníkem v oboru dentální implantologie, klinické chirurgie, protetiky a transplantace kostních štěpů. Odbornost získal na Goetheho univerzitě
ve Frankfurtu nad Mohanem v Německu. Vysokoškolský diplom získal v oboru maxilofaciální chirurgie na pařížské univerzitě Diderot a v oboru klinické parodontologie
na Aix-Marseille (Francie). Kontakt: girieud.renaud@wanadoo.fr
Endodontické ošetření zubů s nedokončeným vývojem představuje v endodoncii zvláštní výzvu. Zatímco u laterálních zubů je příčinou ...
Rekonstrukce jednoho frontálního zubu implantátem bývá pravděpodobně největší estetickou výzvou pro praktického zubního lékaře. Správné ...
Nejdůležitějším cílem endodontického ošetření stále zůstává odstranění ...
Strach ze zubního lékaře a stomatologického ošetření je velmi závažným problémem, který zásadně přispívá k vyhýbání se stomatologické ...
Dr. Riz Syed hovoří o významu augmentace kosti na poli implantologie a některých možnostech léčby.
Dentální ...
Augmentační materiál ve formě granulátu je nutno dobře stabilizovat a materiál Geistlich Mucograft je možno kombinovat se „strip štěpem“ ...
Vrozeně chybějící postranní řezáky jsou poměrně časté. V některých komunitách pozorujeme výskyt až u 3 % mladé populace. Dnes je možno ...
Nový metodický pokyn ADA (Americká dentální asociace), který doporučuje při bolesti zubů jinak zdravých dospělých pacientů nadřadit ...
INNOVA: V klinické praxi se často setkáváme se zvýšenou citlivostí zubů a jedná se o jedno z nejčetnějších nekariézních onemocnění ...
Bílé zuby jsou již dlouhou dobu esteticky žádoucí. Studie naznačují, že nejméně třetina ...
Živý webinář
Čt. 30 dubna 2026
1:00 (CET) Prague
Dr. Renato Leonardo D.M.D.
Živý webinář
Čt. 30 dubna 2026
7:00 (CET) Prague
Živý webinář
Ne. 3 května 2026
6:00 (CET) Prague
Dr. Rickard Brånemark MSc, MD, PhD, Dr. Robert Gottlander DDS
Živý webinář
Po. 4 května 2026
2:00 (CET) Prague
Živý webinář
Út. 5 května 2026
4:00 (CET) Prague
Živý webinář
Út. 5 května 2026
6:00 (CET) Prague
Živý webinář
Út. 5 května 2026
7:00 (CET) Prague
Dr. Maximilian Dobbertin M.Sc
To post a reply please login or register