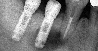
Cílem retrospektivní kohortové studie bylo zhodnotit střednědobou úspěšnost (3–5 let) a úbytek marginální kosti tissue level (TL) implantátů Oktagon® (DRS International GmbH, Langenfeld, Germany). Jedná se o titanové screw type implantáty s hrubým povrchem (sand blasted and acid etched) a s leštěným 1,8 mm vysokým krčkem. Spojení mezi fixturou a abutmentem je realizováno vnitřním konusem s protirotačním osmihranem.
Úvod
Náhrada ztracených zubů dentálními implantáty je dnes v zubním lékařství standardní možnost ošetření. Jeho úspěšnost a dlouhodobá stabilita jsou vysoké. Definice úspěchu se v dentální implantologii během doby vyvíjela. V počátcích byla rozhodující kritéria absence subjektivních potíží a mobility implantátu. Dodnes jsou akceptována kritéria definovaná Albrekssonem v roce 1986 (implantát je imobilní, není přítomno projasnění na RTG, po prvním roce zatížení nepřekračuje roční úbytek kosti 0,2 mm, pacient je subjektivně bez potíží)1. V roce 2007 byla na The International Congress of Oral Implantologists (ICOI) Pisa Consensus Conference stanovena 4stupňová ICOI Pisa Implant Quality of Health stupnice (ICOI-IQHS)2. Podle klinických, radiologických a subjektivních znaků rozděluje implantáty do 4 kategorií: úspěch, uspokojivé přežívání, přežívání s komplikacemi a selhání, viz. Tabulka 1.
Materiál a metody
Mezi 1. 6. 2011 a 31. 10. 2012 bylo zavedeno jedním implantologem 390 TL implantátů Oktagon® u 155 pacientů. Chirurgický postup byl dvoudobý s uzavřeným hojením a druhou chirurgickou fází za 6–8 týdnů od implantace. Implantáty byly zatěžovány definitivní protetickou prací 8–12 týdnů po zavedení. Implantáty byly zavedeny s rozhraním leštěného a hrubého povrchu mírně subkrestálně. Do studie byly zařazeny pouze fixtury o průměru 4,1 mm a délky 10 mm (4,1/10). Vylučovacími kritérii byla anamnéza radioterapie v oblasti hlavy a krku, užívání bisfosfonátů, dekompenzované celkové onemocnění (ASA skóre > III)3, implantace do augmentovaného místa, imediátní implantace a doba sledování kratší než 3 roky. Důvodem k vyloučení ze studie nebylo: pohlaví a věk pacientů, léčené komorbidity, kouření ani historie periodontitidy. V uvedeném období bylo zavedeno 192 TL implantátů rozměru 4,1/10 u 86 pacientů. Do studie bylo zařazeno 151 implantátů u 72 pacientů (do studie nebylo zařazeno 32 implantátů zavedených do augmentovaného místa a 9 imediátně zavedených fixtur). Během pravidelných kontrol bylo zhotoveno kontrolní OPG 3–5 let od zavedení implantátů. Na kontrolním RTG byl změřen úbytek marginální kosti (MBL) u každé fixtury meziálně a distálně, do hodnocení byla vždy zahrnuta vyšší hodnota. Při měření byl jako referenční bod použit přechod mezi krčkem implantátu a abutmentem, protože je dobře identifikovatelný. MBL byl určen odečtením známé výšky krčku implantátu (1,8 mm) od vzdálenosti referenčního bodu a místa prvního kontaktu implantátu s kostí4, 5, 6, 7. RTG bylo kalibrováno změřením každé fixtury8. Klinickým vyšetřením byla zhodnocena subjektivní spokojenost pacienta s rekonstrukcí, pevnost protetických prací a stav měkkých tkání v okolí krčku implantátů. Opakovatelnost měření MBL byla ověřena zaslepeným kontrolním měřením třiceti náhodně vybraných RTG s odstupem 12 měsíců. Bylo dosaženo dobré shody obou měření (Pearson R = 0,98, p < 1 × 10-6). Měření MBL bylo prováděno s rozlišením 0,1 mm i když použitý software (Planmeca Dimaxis Pro) umožňuje měření s rozlišením 0,01 mm, není tato přesnost v reálných podmínkách dosažitelná9. Hodnoty uváděné se dvěma desetinnými místy vznikly při výpočtech. Studie byla provedena v souladu s požadavky Helsinské deklarace10. Všechna data byla pro statistické zpracování anonymizována.
Zaujala Vás ukázka článku? Celý článek můžete prostudovat v příslušném vydání časopisu Implants 1/2017
Stáhněte si jej ve formátu PDF
Implants 1/2017
Štítky:
Strach ze zubního lékaře a stomatologického ošetření je velmi závažným problémem, který zásadně přispívá k vyhýbání se stomatologické ...
Míra selhání dentálních implantátů je uváděna jako vyšší u kuřáků než u nekuřáků. Cílem studie popsané v tomto článku bylo porovnat ...
Okamžité zatížení je v implantologii stále častěji nabízeno jako rutinní metoda. Podle Prof. Mauro Labanca by s ním však mělo být nakládáno ...
První dolní molár mladého pacienta musel být extrahován kvůli rozsáhlému poškození kazem s endodontickými komplikacemi – pro nahrazení zubu a...
Splitting alveolární kosti, krestální a vnitřní sinus lift
Dentální implantáty vznikly jako náhrada chybějících zubů a díky své vysoké ...
Dr. Riz Syed hovoří o významu augmentace kosti na poli implantologie a některých možnostech léčby.
Dentální ...
Použití kratších implantátů bylo představeno na počátku 90. let 20. století za účelem překonání nutnosti složitých a nákladných procedur ...
Budapešť, Maďarsko: Dřívější studie naznačovaly, že drsnost povrchu je jedním z několika klíčových faktorů, které ovlivňují míru ...
Dentální implantáty jsou již v zubním lékařství zavedeny jako standardní protetické ošetření. Každý rok je zaváděno více a více ...
Rekonstrukce jednoho frontálního zubu implantátem bývá pravděpodobně největší estetickou výzvou pro praktického zubního lékaře. Správné ...
Živý webinář
Po. 11 května 2026
6:00 (CET) Prague
Živý webinář
Po. 11 května 2026
7:00 (CET) Prague
Živý webinář
Út. 12 května 2026
7:00 (CET) Prague
Živý webinář
Čt. 14 května 2026
6:00 (CET) Prague
Živý webinář
Čt. 14 května 2026
8:00 (CET) Prague
Prof. Hani Ounsi DDS PhD FICD
Živý webinář
Út. 19 května 2026
5:00 (CET) Prague
Živý webinář
Út. 19 května 2026
7:00 (CET) Prague
Prof. Dr. med. dent. Ivo Krejci
To post a reply please login or register