Search Dental Tribune

Míra úspěšnosti dentálních implantátů u těžkých kuřáků. Dlouhodobá studie

Míra úspěšnosti dentálních implantátů u těžkých kuřáků
Dr. Branislav Fatori | Dr. Inge Schmitz

Dr. Branislav Fatori | Dr. Inge Schmitz

Po. 19 června 2023

uložit

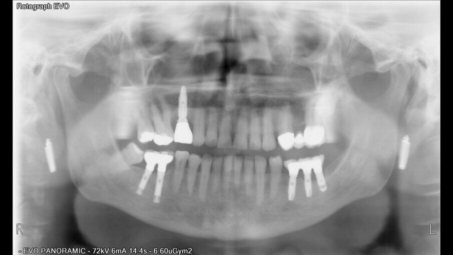
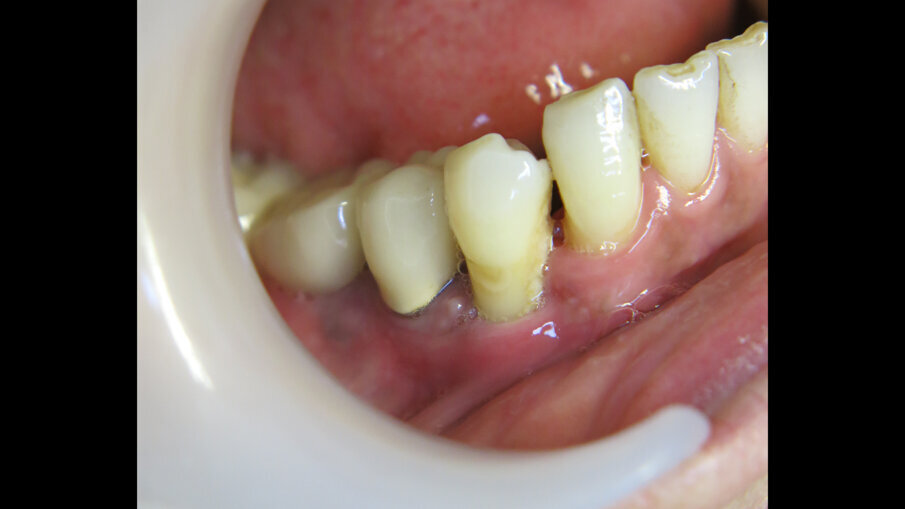
Míra selhání dentálních implantátů je uváděna jako vyšší u kuřáků než u nekuřáků. Cílem studie popsané v tomto článku bylo porovnat míru úspěšnosti 721 dentálních implantátů zavedených u 181 kuřáků s údaji uváděnými v literatuře. V naší studii byly z důvodu vyloučení individuálních faktorů použity implantáty jednoho výrobce a všechny byly zavedeny jedním chirurgem. Kvůli zvýšení míry úspěšnosti u dentálních implantátů zaváděných u kuřáků byl v naší zubní ordinaci zaveden speciální protokol. V následujícím textu jsou podrobně popsány výsledky u dvou pacientů.

Úvod

Uvádí se, že kouření obecně zvyšuje riziko selhání implantátů a výskytu periimplantitidy. Jedním z možných mechanismů, které mohou vést ke zvýšené míře selhání implantátů, je snížený průtok krve a přímé nepříznivé účinky na osteoblasty. Mají-li se zavádět implantáty u kuřáků, je nutná dobrá kvalita kosti. V naší studii byly nezbytné procedury augmentace kosti u 62 případů.

V naší studii jsme si stanovili za cíl zjistit, zda je významně vyšší riziko selhání implantátu dáno větším počtem denně vykouřených cigaret. Přestože je kouření rizikovým faktorem pro selhání implantátu, není považováno za absolutní kontraindikaci. Při plánování implantologického ošetření by měla být nejprve zjištěna kuřácká anamnéza pacienta, včetně délky a intenzity kouření (v minulosti a v současnosti), současného stavu kouření, počtu denně vykouřených cigaret a zda je pacient vystaven pasivnímu kouření. Zde se lékař musí zcela spolehnout na pravdivost informací poskytnutých pacientem. Aby bylo možné dosáhnout uspokojivého výsledku, pokud jde o zachování implantátů, je třeba uvážit celou řadu různých faktorů, jako je typ a kvalita kosti, hustota kosti, pozice a místo zaváděných implantátů (tabulka 1a, b), osobní situace pacienta, zdravotní rizika a zdánlivě nesouvisející onemocnění, jako je diabetes.1

Ke kouření

Kouření tabáku snižuje aktivitu leukocytů. Má vliv na krevní cévy a snižuje schopnost hojení organismu a oseointegrace dentálních implantátů. Kouření má přímý vliv na funkci osteoblastů.2 Přesný mechanismus, jakým kouření snižuje schopnost hojení ran, je dosud neznámý. Kouření zvyšuje riziko průniku bakterií, které mohou způsobit periimplantitidu. Předpokládá se, že nikotin a chemické látky obsažené v tabákovém kouři vyvolávají v tkáních (gingiva a alveolární kost) kolem implantátů oxidační stres.3, 4 Z důvodu podpory oseointegrace by proto bylo vhodné přestat kouřit alespoň po dobu osmi týdnů po implantaci.

Materiály a metody

Posuzovali jsme 181 pacientů (97 žen a 121 mužů s průměrným věkem 49,2 let) se 721 implantáty. Z toho bylo zavedeno 384 implantátů na úrovni kosti, 289 zúžených implantátů na úrovni kosti a 48 implantátů na úrovni měkkých tkání (tabulka 2). Implantáty byly klasifikovány podle jejich pozice v horní a dolní čelisti. Pokud jde o anamnézu kouření u pacientů, počet denně vykouřených cigaret se pohyboval mezi 20 a 60 cigaretami.

Chirurgická technika

Implantáty byly zaváděny v lokální anestezii (40 mg Dexa­ratiopharm, intramuskulárně; ratiopharm) po premedikaci antibiotiky. Osteotomie byla postupně rozšiřována podle zamýšleného průměru implantátu. Po provedení incize byly odstraněny nekrotické nebo zánětlivé tkáně. Oblasti osteotomie byly preparovány postupnou sekvencí vrtáků podle doporučení výrobce. Implantáty byly zavedeny do oblastí preparované osteotomie za točivého momentu 45 Ncm.

Pooperační léčba

Po chirurgickém zákroku byly pořízeny periapikální RTG snímky, na nichž byla zkontrolována přesnost zavedení implantátů. Pooperační medikace spočívala v předepsání antibiotik. Digitální RTG snímky byly pořízeny v době chirurgického zákroku, po 24 hodinách a jeden měsíc po zákroku, a to za účelem vyhodnocení úspěšnosti implantologického ošetření. Zánětlivé procesy byly zjištěny u 24,1 % pacientů. V případě potřeby byla provedena augmentace za použití materiálu NanoBone (Artoss), kostní náhražky Geistlich Bio­Oss a membrán Geistlich Bio-Gide (oba produkty Geistlich Biomaterials).

Indikace pro implantáty

Indikace pro zavedení implantátů byly v naší studii následující:

  • ošetření bezzubé čelisti
  • náhrada jednoho zubu
  • ošetření větších mezizubních mezer
  • náhrady s cantileverem

Výsledky

Ze 721 implantátů selhalo celkem 65 implantátů. Míra úspěšnosti tedy ve výsledku byla 90,98 %, tedy nižší než v naší předchozí studii provedené u nekuřáků, u nichž byla míra úspěšnosti 98,70 %.2 U skupiny neúspěšných implantátů selhala většina z nich (74,5 %) dva až čtyři týdny po zavedení v důsledku nedostatečné oseointegrace. Periimplantitida se vyskytovala u 20 % neúspěšných implantátů. To lze přičíst špatné ústní hygieně a tvorbě plaku. U 4,6 % případů se periimplantitida objevila v rozmezí jednoho až tří let po zavedení implantátu v důsledku mechanických problémů po úbytku kosti. Nebyla zjištěna žádná souvislost mezi délkou a průměrem implantátu a mírou selhání, ani mezi počtem vykouřených cigaret a mírou selhání implantátu.

Diskuze

Jak již bylo zjištěno dříve, míra selhání dentálních implantátů je u kuřáků vyšší než u nekuřáků, což je způsobeno nedostatečnou časnou oseointegrací a výskytem periimplantitidy. Periimplantitida se objevila u 62 případů zahrnutých do naší studie. Neúspěšná oseointegrace byla hlavním důvodem selhání implantátů. Závěrem je však nutno uvést, že dosažené výsledky byly celkově vynikající.

Implantologické ošetření je jednoznačnou volbou pro ošetření pacientů s chybějícími zuby. Některé stavy, jako je kouření, hypertenze a diabetes, však mají na úspěšnost dentálních implantátů negativní vliv. Bylo zjištěno, že nikotin způsobuje osteoklastické změny. Na základě zde popsaných případů a výsledků u dalších pacientů lze dojít k závěru, že v současné době je možno dosáhnout dobrých výsledků i u silných kuřáků. Je obtížné vyhodnotit roli jednoho rizikového faktoru, jako je kouření, ve vztahu k dobrým výsledkům implantologického ošetření, protože se u mnoha pacientů vyskytují i další rizikové faktory zahrnující diabetes, pokročilý věk nebo nízkou hustotu kosti. Navíc jsou u kuřáků značné rozdíly, pokud jde o skutečný počet denně vykouřených cigaret a let, po které pacient kouří. Na úspěšnost oseointegrace kromě toho může mít vliv pozice implantátů, a zda jsou zavedeny v horní nebo dolní čelisti. U kuřáků totiž dochází k většímu úbytku okrajové kosti kolem implantátů v horní čelisti. Příčina selhání implantátu se tedy může lišit i s ohledem na umístění implantátu v souvislosti s kvalitou a množstvím alveolární kosti, do které je implantát zaveden. Každá alveolární kost se také liší z hlediska minerální hustoty, mikrostruktury a tloušťky trabekulární kosti.

V související literatuře se uvádí, že kouření více než 30 cigaret denně a po dobu delší než deset let, zvyšuje pravděpodobnost selhání implantátů. Ve vztahu k pasivnímu kouření a bývalým kuřákům je k dispozici jen málo údajů.

Shrnutí a výhled

Riziko selhání implantátu se zvyšuje s větším počtem denně vykouřených cigaret. Zjistili jsme spojitost mezi silným kouřením a selháním implantátu. Kouření tedy ovlivňuje míru úspěšnosti dentálních implantátů. Pacienti by proto měli být důkladně poučeni a mělo by jim být doporučeno před zaváděním implantátu s tímto zlozvykem přestat.

Redakční poznámky: Článek byl publikován v mezinárodním vydání časopisu implants – international magazine of oral implantology, Vol. 21, Issue 1/2020.Dr. Inge Schmitz prohlašuje, že není ve střetu zájmů.

Dr. Branislav Fatori by chtěl vyjádřit své poděkování ordinaci DENTAL RATIO a Ulfu Henschenovi, konkrétně za technickou podporu a darování implantátů. Kromě toho by rád poděkoval Dr. Walteru Gerikemu ze společnosti Artoss v Rostocku v Německu za jeho dlouholetou podporu.

Všechny obrázky: © Branislav Fatori

Branislav Fatori

Branislav Fatori


Dr. Branislav Fatori

má více než 41 let zkušeností v implantologii a zavedl více než 8000 implantátů. Praxi získal na předních klinikách v Německu, USA, Švédsku, Srbsku a Švýcarsku. Kromě toho pracuje jako dlouhodobý lektor a konzultant u odborných společností a výrobců implantátů.

 

 

 

 

 

 

Inge Schmitz

Inge Schmitz


Dr. Inge Schmitz

pracuje od roku 1990 v Ústavu patologie na Porúrské univerzitě v Bochumu v Německu. Jejími hlavními zájmy jsou implantologie, stenty, elektronová mikroskopie a osteologie. Vystudovala biologii na Porúrské univerzitě v Bochumu a titul PhD. z anatomie získala v roce 1989 na univerzitě v Essenu v Německu.

To post a reply please login or register
advertisement