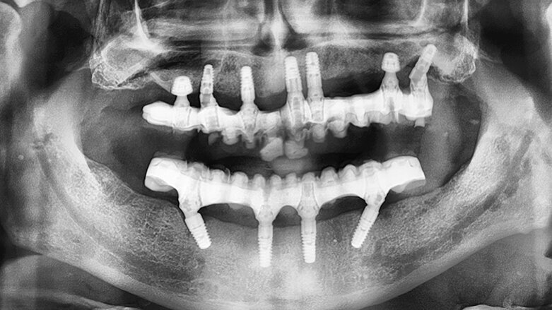
Panoramatický snímek zubů zachycující implantáty v dobré pozici. Ultrakrátké implantáty byly zavedeny v dobrém vztahu k čelistním dutinám, ale byly obklopeny malým množstvím kosti. (fotografie: dr. Ghirlanda)
Použití kratších implantátů bylo představeno na počátku 90. let 20. století za účelem překonání nutnosti složitých a nákladných procedur augmentace kosti spojených s implantologickým ošetřením. V posledních letech se objevují implantáty v délkách, které by se daly ve srovnání se standardními implantáty klasifikovat jako krátké. V současné době již panuje shoda na tom, že implantáty s délkou ≥ 8 mm jsou považovány za standardní, 6–8 mm implantáty jsou klasifikovány jako krátké a implantáty s délkou < 6 mm jsou definovány jako ultrakrátké.
Od roku 2011 byly publikovány výsledky několika klinických studií zabývajících se předvídatelností a klinickou spolehlivostí ultrakrátkých implantátů – samotných nebo ve srovnání s některou z nejčastěji používaných procedur řízené regenerace kosti. V roce 2012 zaznamenal Felice a jeho spolupracovníci po šesti měsících významně menší výskyt komplikací u implantátů 5 × 5 mm s hydroxyapatitovým povrchem než u 11,5 mm dlouhých implantátů zavedených do augmentované kosti, sledovaných v rámci randomizované klinické studie provedené na 80 pacientech (40 z nich s redukovanou výškou kosti pod maxilárním sinem a 40 nad mandibulárním nervem). V samostatné skupinové studii 110 implantátů sledovaných po dobu pěti let popsal Perelli a kol. kumulativní úspěšnost 90 % u implantátů a 93 % u protetických rehabilitací. Esposito a kol. zveřejnil v roce 2015 výsledky tříletého sledování výsledků u skupiny pacientů, kteří trpěli výrazně menším úbytkem marginální kosti při implantátech zavedených v horní i dolní čelisti.
Nedávno, v roce 2016, spustili stejní vědci multicentrickou klinickou studii zaměřenou na implantáty 4 × 4 mm. Zveřejnili předběžnou zprávu o ročním sledování, podle které nezjistili rozdíly ve výsledcích ultrakrátkých a standardních (dlouhých nejméně 8,5 mm) implantátů. Bylo by vhodné zdůraznit, že pacienti účastnící se studie měli tříčlennou náhradu nesenou implantáty, z nichž byl nejméně jeden implantát standardní, a netrpěli výraznou atrofií kosti. Nedávno zveřejněný přehled Papaspyridakose a kol. pro změnu porovnával klinickou efektivitu ultrakrátkých a delších implantátů. Analýza uvedená v tomto přehledu určila poměr pravděpodobnosti rizik u implantátů ≤ 6 mm ve srovnání se standardními implantáty jako 1,29. Společným závěrem článků na téma krátkých implantátů je konstatování, že jsou z několika významných hledisek výhodné: nesou významně méně pooperačních komplikací, u pacientů se značnou resorpcí kosti je jejich použití rychlejší a jednodušší a ošetření je u těchto pacientů méně nákladné.
Okamžité zatížení implantátů je terapeutický přístup, který prokazuje dlouhodobě dobré výsledky, pokud jde o vysokou míru spolehlivosti a efektivitu. Popisovat důkazy podporující předvídatelnost tohoto přístupu ale není cílem tohoto článku. Lze nicméně konstatovat, že klíčovým faktorem úspěchu je primární stabilita implantátů. Dosažení dostatečné míry primární stability je u krátkých a především pak u ultrakrátkých implantátů skutečnou výzvou. Anitua vydal sérii kazuistik s deseti okamžitě zatíženými implantáty v distálním úseku horní čelisti sledovaných více než čtyři roky. Mezi zavedenými implantáty bylo 5 implantátů dlouhých 7,5 mm a dalších 5 implantátů 8,5 mm. Devět z deseti implantátů (kumulativní úspěšnost 90 %) bylo při kontrolách shledáno stabilními. Weerapong a kol. v roce 2018 porovnával 23 okamžitě zatížených krátkých implantátů o délce 6 mm s 23 konvenčně zatíženými standardními implantáty o délce 10 mm. Všechny případy se týkaly prvních dolních molárů. Autoři došli k závěru, že výsledky, jichž bylo dosaženo s okamžitě zatíženými krátkými implantáty, byly srovnatelné s výsledky u standardních implantátů, pokud jde o zachování implantátu, změny úrovně marginální kosti a hodnoty kvocientu stability implantátu. Pokud víme, neexistují žádné publikované články zabývající se okamžitě zatíženými ultrakrátkými implantáty. Následující kazuistika popisuje rehabilitaci celých úst nesenou implantáty realizovanou pomocí kombinace ultrakrátkých a standardních implantátů, sledovanou po dobu 18 měsíců.
Kazuistika
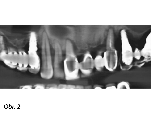
Na kliniku se dostavil 66letý pacient, klasifikovaný jako ASA II, stěžující si na bolest, mobilitu zubů a diskomfort v levé části horní čelisti. Klinické vyšetření odhalilo pokročilé onemocnění parodontu stupně C a fáze IV podle nové klasifikace periodontálních onemocnění. Bylo zjištěno spontánní krvácení, hnisání a celkově vysoký stupeň zánětu.10 Pacient měl metalokeramické korunky v dolní čelisti a tři různé můstky v horní čelisti. Všechny byly extrémně mobilní, a to mezi stupněm II a III. Panoramatický RTG snímek ukázal difúzní a pokročilý stupeň resorpce kosti zasahující ke všem zbývajícím zubům (obr. 1). V horní čelisti byly čtyři implantáty, dva z nich s hlubokými kostními defekty kolem fixtur. CBCT sken potvrdil diagnózu zubů stanovenou pomocí panoramatického RTG snímku a prokázal velký hluboký kostní defekt v rozsahu od špičáku až za první levý premolár a velmi malou výšku kosti pod levou i pravou stranou dna sinu (obr. 2). Levá strana sinu vypadala téměř celá zaplněná zánětlivou hyperplazickou tkání.
Panoramatický RTG snímek zubů pacienta. Je vidět pokročilá resorpce kosti.
CBCT sken zachycující dno sinu a sníženou výšku kosti na obou stranách horní čelisti.
Extrakce všech poškozených zubů a implantátů.
Protetické šablony byly použity ke kontrole okluze a zajištění reprodukovatelnosti.
Zavádění ultrakrátkého implantátu do distálního úseku horní čelisti.
Panoramatický snímek zubů zachycující implantáty v dobré pozici. Ultrakrátké implantáty byly zavedeny v dobrém vztahu k čelistním dutinám, ale byly obklopeny malým množstvím kosti.
Na základě klinických a radiologických vyšetření byly všechny zuby pacienta, stejně jako všechny implantáty v místech zubů 16 a 24, vyhodnoceny jako nezachranitelné. Naopak fixtury v místech zubů 14 a 27 byly stabilní a použitelné. Pacient nechtěl nosit v průběhu ošetření snímatelnou náhradu, a to ani po krátkou dobu. Také vyjádřil svá očekávání stran úrovně estetiky. Z tohoto důvodu bylo v rámci plánování ošetření rozhodnuto o okamžitě zatížených implantátech v obou čelistech a rehabilitaci celých úst. Poté byl zpracován diagnostický wax-up a bylo rozhodnuto v této fázi ošetření neupravovat vertikální rozměr habituální okluze pacienta. Zubní technik vyrobil dvě chirurgické šablony a dvě protetické šablony pro otiskování – tedy podle protokolu popsaného Ghirlandou a kol. Pacientovi byla podána intravenózní sedace a lokální anestezie (Scandonest 2 %, 1 : 100000 adrenalin; Septodont).11 Nejprve byly extrahovány všechny zbývající zuby a mobilní implantáty (obr. 3). Pak byly vyzkoušeny protetické šablony a zkontrolována okluze a reprodukovatelnost diagnostického wax-upu (obr. 4). Šablona pro horní čelist poté byla stabilizována na pilířích našroubovaných na stávajících implantátech.
Poté byl v dolní čelisti odklopen mukoperiostální lalok a egalizován alveolární hřeben pomocí kulaté frézy v chirurgickém násadci za irigace sterilním fyziologickým roztokem. Následně byly zavedeny čtyři implantáty (blueSKY, bredent medical), dva umístěné v ose (4 × 12 mm) a dva skloněné (4 × 10 mm, 4 × 12 mm). Lalok byl sešit přerušovanými stehy. Všechny implantáty byly zavedeny zaváděcím momentem ≥ 35 Ncm. Do fixtur byly poté našroubovány čtyři multi-unit abutmenty (SKY fast & fixed, bredent medical), dva v úhlu 0 ° a dva v úhlu 35 ° a dotaženy na 25 Ncm. Podle zmíněného protokolu okamžitého zatížení 11 byly na pilíře umístěny protetické krytky, místo otiskovacích přenosových, a na místa implantátů byla umístěna protetická šablona. Spojení protetických krytek se šablonou umístěnou v centrální okluzi bylo zajištěno pomocí světlem tuhnoucího kompozitu (compoForm, bredent medical). Po skončení procesu polymerace a kontrole dokonalé stability šablony na krytkách byl pod šablonu skrz předem připravené malé otvory injektován otiskovací materiál. Poté byla protetická šablona pro dolní čelist odeslána do laboratoře k výrobě provizorní náhrady.
Následně byl odklopen mukoperiostální lalok v rozsahu celého horního oblouku. Byl proveden pečlivý „debridement“, při němž byly odstraněny všechny zánětlivé a fibrózní tkáně a obnaženy všechny kostní defekty. Následně byly pomocí kostních dlátek a kulatých frézek vytvarovány mělké kostní defekty, zatímco hluboké defekty byly vyplněny xenoštěpem (Geistlich Bio-Oss, Geistlich Biomaterials) a překryty vstřebatelnou membránou (Geistlich Bio-Gide, Geistlich Biomaterials). Ve frontálním úseku byly zavedeny standardní implantáty (blueSKY, bredent medical), a zároveň byly v místech prvních molárů umístěny dvě fixtury 5,2 × 6,0 mm (copaSKY, bredent medical) (obr. 5). Z důvodu maximalizace primární stability ultrakrátkých implantátů byla zvolena vnitřní osteotomie k bikortikálnímu ukotvení implantátů. Fixtury nepronikly do sinu, ani nebyla patrná elevace sliznice sinu. Všechny implantáty dosahovaly primární stability ≥ 35 Ncm. Panoramatický RTG snímek pořízený na konci chirurgického zákroku prokázal správné umístění implantátů (obr. 6).
Zaujala vás ukázka článku?
Celý článek můžete prostudovat v příslušném vydání časopisu Dental Tribune CZ/SK 1/2021 stáhněte jej ve formátu PDF
Dr. Giovanni Ghirlandase specializuje na ústní chirurgii, parodontologii a implantologii. Vystudoval zubní lékařství a dentální protetiku a později absolvoval odborný program v oboru implantologie na University of Murcia ve Španělsku. V roce 1992 působil jako hostující lektor na Harvard School of Dental Medicine v Bostonu v USA. V letech 1996 až 1999 působil jako mimořádný profesor na Sapienza University of Rome v Římě v Itálii. Je členem Italské společnosti pro oseointegraci.
To post a reply please login or register