Existují dvě možnosti léčby částečně bezzubé maxily: částečná snímatelná náhrada nebo fixní náhrada nesená implantáty. Resorpce horní čelisti spojená s pneumatizací maxilárního sinu často vyžaduje předimplantační chirurgický zásah jako je inlay/onlay štěp nebo krestální/laterální sinus lift, aby bylo možno zavést klasické implantáty. Abychom se vyhnuli zdlouhavým léčebným postupům, byly navrženy postupy se skloněnými implantáty bez nutnosti augmentace,1 mezi které se řadí i zygomatické implantáty.
Zygomatické implantáty
Byly přestaveny P.-I. Brånemarkem v 80. letech. Zygomatické kotvení bylo vyvinuto pro léčbu pacientů po kompletní nebo parciální maxilektomii.2–4 Vývoj této techniky umožnil rehabilitaci kompletně bezzubé a atrofické maxily. Postup byl tehdy popsán jako alternativa k sinus liftu.5 Postup vyžaduje zavedení 30,0–52,5 mm dlouhého titanového implantátu (NobelZygoma, Nobel Biocare) z maxilárního bezzubého hřebene do zygomatické kosti přes intra nebo extrasinusovou cestu (ZAGA klasifikace6). Průměr apikální části je 3,9 mm, zatímco maxilární část má 4,1 mm. Platforma je 4,2mm externí hexagon s 45° úhlem, který umožní nasazení náhrady.
Zcela a částečně bezzubá maxila
Původní postup léčby kompletně bezzubé maxily sestával ze zavedení 2 zygomatických implantátů a 2 až 4 standardních implantátů do přední části maxily.7 V případě zcela atrofické maxily můžeme v dnešní době zavést i čtyři zygomatické implantáty – tradiční molární zygomatické implantáty a přídavné špičákové zygomatické implantáty, které se zavádí na každou stranu maxily.8, 9 Léčbu unilaterální distální bezzubosti je nutno považovat za věc přední důležitosti s ohledem na ztrátu mastikatorní efektivity. Nastává zde velmi rychlá resorpce kosti alveolárního hřebene ihned po extrakci zubu. Zavedení jediného zygomatického implantátu není možné kvůli biomechanice. Zygomatický implantát musí být použit s dalšími implantáty, aby byla zajištěna stabilizace náhrady. Toto řešení je možno zvažovat pouze v případě extrakce molárů ve spojení s avulzí premolárů.
Případové studie
Všichni sledovaní pacienti byli zdraví nekuřáci s uspokojivou ústní hygienou a bez celkových onemocnění. Žádali zlepšení komfortu, estetiky a kvality jejich života pomocí fixního řešení. Zbylé zuby nebyly dostačující k tomu, aby unesly fixní částečnou náhradu. Každému pacientovi byly představeny 2 přístupy k léčbě jejich unilaterální distální bezzubosti maxily. První rekonstrukční možnost zahrnovala extrakci beznadějných zubů, imediátní zavedení implantátů (pokud to bude možné) a provedení laterálního sinus liftu během stejné návštěvy. Po 6 měsících hojení s částečnou snímatelnou náhradou by se do čelisti zavedly zbývající implantáty nutné k dokončení implantačního ošetření. Druhou možností byla metoda bez augmentace, která zahrnovala umístění dvou klasických implantátů do oblasti premolárů a zygomatického implantátu do molárové oblasti nebo jeden standardní implantát spojený s jedním zygomatickým a jedním pterygoidním implantátem. Tyto tři implantáty spojené s vhojovacími válečky mohly být zatíženy po 4 měsících hojení nebo ihned šroubovanou provizorní fixní částečnou náhradou. Všechna rizika obou možností byla pacientům vysvětlena ještě předtím, než se rozhodli. V těchto třech popsaných případech byl zvolen postup bez augmentace kvůli kratšímu trvání ošetření a také menšímu množství nutných operací. Cena byla u obou přístupů obdobná.
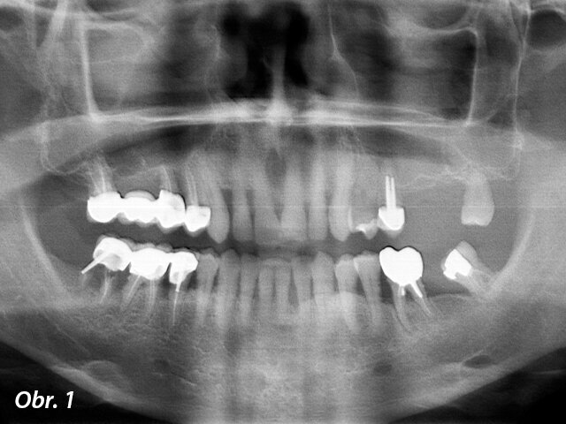
Předoperační RTG: dva premoláry a třetí molár v levé části maxily musely být extrahovány a pod čelistní dutinou nebylo dostatek kosti umožňující zavedení implantátů.
Po 4 měsících hojení bylo provedeno otiskování.
Hlavní model, na kterém je vrchol fixtury zygomatického implantátu umístěn do oblasti palatinálního kořene prvního moláru.
Metalokeramická náhrada byla našroubována na fixtury (keramika na titanu).
Bukální pohled na fixní částečnou náhradu.
Kontrolní RTG: léčba byla v tomto případě dokončena v 5 měsících.
Případ 1
Muž, 56 let se k nám dostavil k rehabilitaci jeho částečně bezzubé levé horní čelisti, stěžoval si na neefektivní žvýkání. Zuby 26 a 27 byly extrahovány a nebyly nahrazeny a zuby 24 a 28 byly viklavé. Zub 25 byl endodonticky ošetřen, ale s periapikálním nálezem. Tyto 3 zuby byly přetíženy se značnou resorpcí kosti a jejich prognóza byla beznadějná. Generalizovaná parodontitis byla stabilizovaná (obr. 1). Jako náhrada zubů 24 a 25 byly zavedeny dva cylindrické samozaváděcí implantáty (Brånemark System Mk IV TiUnite regular platform [RP], Nobel Biocare) v délce 10 a 15 mm a v průměru 4 mm a následně i 35 mm dlouhý zygomatický implantát do pozice 26. Provizorní nefunkční šroubovaná fixní částečná náhrada byla okamžitě spojena se všemi třemi implantáty díky dostatečnému zaváděcímu kroutivému momentu. Pro tuto šroubovanou fixní částečnou náhradu byly použity multi-unit abutmenty (MUA, Nobel Biocare) 3 mm 17°, 2 mm 17° a 3 mm rovný RP. Finální fixní částečná náhrada byla nasazena po 4 měsících hojení (obr. 2–6).
Zaujala vás ukázka článku?
Celý článek můžete prostudovat v příslušném vydání časopisu Implants CZ/SK 1/2020 stáhněte jej ve formátu PDF
Redakční poznámka: Článek byl publikován v mezinárodním časopise implants – international magazine of oral implantology, Vol. 20, Issue 4/2019.
Dr. Jean-Baptiste Verdino je francouzský zubní lékař, který promoval na Aix-Marseille University v roce 1985. Momentálně řídí exkluzivní privátní praxi v Hyéres ve Francii, kde se specializuje na implantologii. Navíc je mezinárodně publikovaným autorem se specifickým zájmem o zygomatické implantáty.
Dr. Sepehr Zarrine je zubní lékař praktikující ve Francii, který se specializuje na implantologii a komplexní případy zahrnující imediátní zátěž, kostní štěpy a zygomatické implantáty. Momentálně pracuje v Saint-Dié-des-Vosges ve Francii.
To post a reply please login or register