Search Dental Tribune

Digitální workflow a aplikace PRF a ozonové terapie v orální rehabilitaci

Digitální workflow (Fotografie: Dr. Miguel Stanley)
Dr. Miguel Stanley a kol.

Dr. Miguel Stanley a kol.

Po. 29 dubna 2019

uložit

Existuje mnoho technik, které zjednodušují každodenní práci. Příkladem jsou intraorální, extraorální a obličejové skenery, CBCT (počítačová tomografie s kuželovým paprskem) s nízkou dávkou radiace a CAD/CAM (počítačem asistované navrhování a výroba náhrad), které společně s novými estetickými materiály a nástroji na výrobu pracovních modelů a prototypů náhrad (frézovací přístroje a 3D tiskárny) radikálně transformují zubní lékařství. Tato kazuistika má za cíl prezentovat příklad protetického digitálního workflow s integrací několika technologií, které nám pomáhají dosáhnout úspěšné léčby.

Digitální revoluce změnila svět a zubní lékařství není výjimkou. Žijeme v digitální éře. Máme materiály a technologie, které nám umožňují vyvinout plně digitální workflow, což v kombinaci s vědeckými a klinickými znalostmi umožňuje pracovat v zubním lékařství rychleji a efektivněji a tím růst do nových úrovní.

Klinický případ
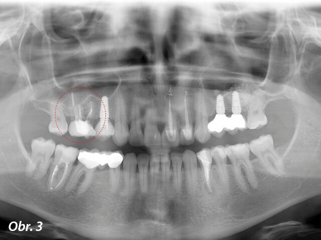
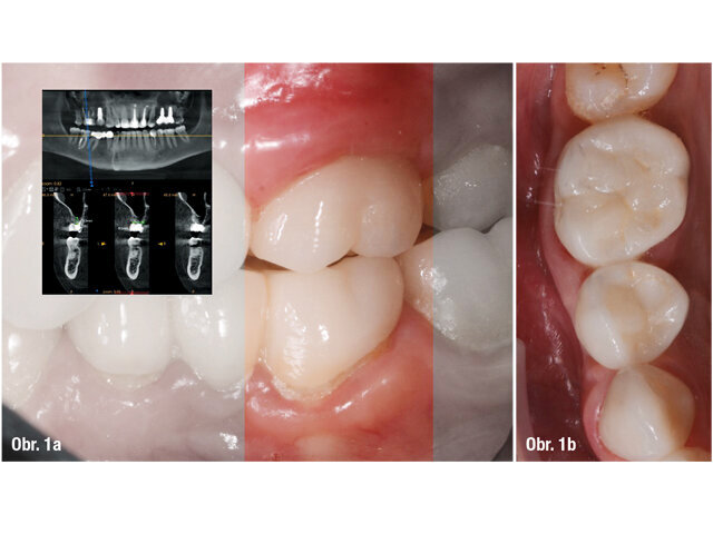
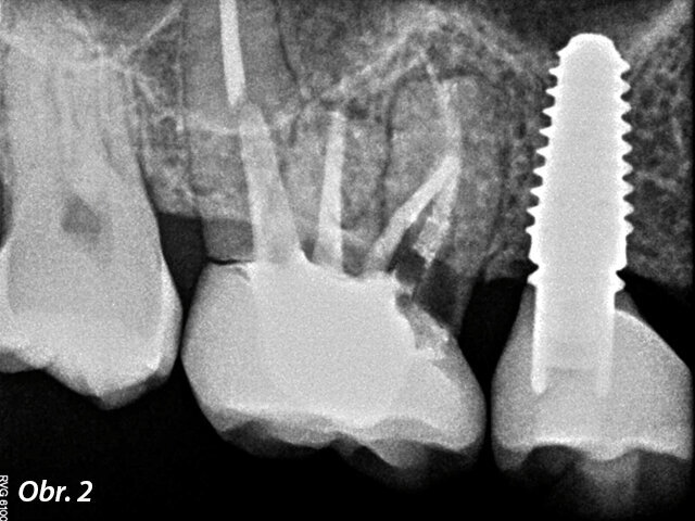
V listopadu roku 2017 se dostavila 39letá pacientka na vstupní vyšetření do White Clinic z důvodu bolesti zubu 16. Bylo provedeno klinické a radiografické vyšetření, včetně periapikálního snímku, CBCT skenu (Carestream 9600, Carestream Dental) a intra a extraorálních fotografií (obr. 1–3).

Při klinickém a radiografickém zhodnocení bylo zjištěno, že u zubu 16 byla přítomna cervikální resorpce v meziobukálním kořeni. Zvolený léčebný plán byl extrakce zubu a okamžité zavedení implantátu. Zub byl již v minulosti endodonticky přeléčen a ošetřen definitivní keramickou korunkou. Přestože je protokolem White Clinic zachovávání zubů, zub byl indikován k okamžité extrakci vzhledem ke stavu v dané situaci. Také z důvodu nedostatku času, nebyl náš digitální tým schopen vyrobit chirurgickou šablonu pro zavedení implantátu, proto zahrnoval léčebný plán chirurgickou fázi a digitální protetickou fázi.

 

Zaujala vás ukázka článku?

Celý článek můžete prostudovat v příslušném vydání časopisu Implants CZ/SK 1/2019
stáhněte jej ve formátu PDF

 

Dr. Miguel Stanley
Rua Dr. António Loureiro Borges, ed. 5, 1º Andar
Arquiparque
Miraflores
1495-131 Algés, Portugal
Phone: +351 21 396 2727
info@whiteclinic.pt

Štítky:
advertisement