Společnost Planmeca je známá nejmodernějšími technickými inovacemi a neustálým vývojem produktů. Výkonná softwarová platforma Planmeca Romexis umožňuje provedení všech fází stomatologických implantologických a estetických protetických ošetření za použití jednoho softwaru, a to od počítačově asistovaného návrhu úsměvů pacientů po výrobu chirurgických šablon.
Následující klinický případ, na kterém jsem pracoval spolu s kolegy Dr. Olegem Ponomarevem, Dr. Maximem Kozhevinem a Dr. Yarokhinem, ukazuje, jak je možno využít digitální systémy při protetickém ošetření, zavádění implantátů a navrhování designu náhrady. Dle našich zkušeností umožňují digitální CAD/CAM technologie, ve srovnání s tradičními metodami, maximálně funkční a estetické výsledky.
Kazuistika
Tento klinický případ ukazuje výhody použití CAD/CAM systémů při digitálním plánování zavádění implantátů a přípravě chirurgických šablon, stejně jako při výrobě keramické náhrady. V tomto článku předkládáme klinický případ, při němž bylo ošetření provedeno za použití softwaru Planmeca Romexis 3D Implant Guide, softwaru Planmeca PlanCAD Premium a frézovacího přístroje Planmeca PlanMill 40.
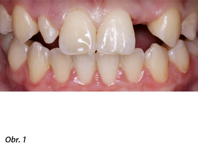
Obr. 1, 2: Horní zuby pacientky před ošetřením.
Obr. 1, 2: Horní zuby pacientky před ošetřením.
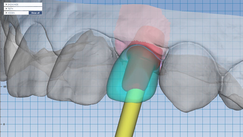
Obr. 3, 4: Digitální plánování implantátu a chirurgické šablony v softwaru Planmeca Romexis
Obr. 3, 4: Digitální plánování implantátu a chirurgické šablony v softwaru Planmeca Romexis
Obr. 5: Chirurgická šablona byla vyrobena za účelem maximální přesnosti.
Obr. 6, 7: Úspěšné zavedení implantátu.
Obr. 6, 7: Úspěšné zavedení implantátu.
Klinický případ se týká pacientky, která si stěžovala na chybějící zub 22 a čípkovitý tvar zubu 12 (obr. 1, 2). Při počátečním vyšetření byl prostor kolem chybějícího zubu vyhodnocen jako příliš úzký pro zavedení implantátu. Pacientka však odmítala ortodontickou přípravu, protože již dříve absolvovala ortodontickou léčbu s ortodontickou chirurgií.
V tomto konkrétním případě jsme začali s estetickou analýzou na základě CBCT dat pacientky a došli jsme k závěru, že implantát Straumann o průměru 2,9 mm by se do prostoru zubu 22 vešel, pokud bychom použili, za účelem maximální přesnosti, chirurgickou šablonu (obr. 3–5). Korunkovou náhradu zubu 12 jsme se rozhodli vyrobit z keramiky IPS e.max (Ivoclar Vivadent).
Díky digitálnímu plánování a pečlivě vyrobené chirurgické šabloně bylo zavedení implantátu úspěšné, přestože se anatomické podmínky zdály být méně než příhodné. Dosáhli jsme točivého momentu 30 Ncm a na implantát umístili vhojovací váleček (obr. 6, 7).
Zaujala vás ukázka článku?
Celý článek si spolu s dalším obsahem můžete přečíst v Dental Tribune CZ 5/2020
Štítky:
Pro Arch od společnosti Straumann je koncept, který zahrnuje různá léčebná řešení pro zcela bezzubého pacienta. Cílem je poskytnout ...
Při práci s dentálními implantáty je nutno dodržovat celou řadu specifických pravidel týkajících se jak chirurgické fáze, tak fáze protetické...
Existuje mnoho technik, které zjednodušují každodenní práci. Příkladem jsou intraorální, extraorální a obličejové skenery, CBCT ...
Digitální stomatologie je bezpochyby současné téma. Během posledních pěti let postupovaly všechny digitální pracovní postupy vpřed mílovými ...
Na klinickém případu vám ukážeme překvapivý význam endodontistů při plánování ...
Stálé více je v zubním lékařství prosazována a citována nová vize – ...
První klinické a technické zkušenosti se systémem Digital Denture (Wieland Dental)
V dnešní době stále více implantujeme v místech s nedostatkem kosti pro klasickou implantaci. Nedostatek nabídky kosti často řešíme pomocí ...
CRAWLEY, Austrálie: Ztráta kostní hmoty alveolu je u pacientů, kteří se zajímají o aplikaci zubních implantátů častým problémem. Bariéra mezi...
Multidisciplinární léčba vyžaduje vynikající komunikaci a koordinaci odborníků různých ...
Živý webinář
Čt. 30 dubna 2026
1:00 (CET) Prague
Dr. Renato Leonardo D.M.D.
Živý webinář
Čt. 30 dubna 2026
7:00 (CET) Prague
Živý webinář
Ne. 3 května 2026
6:00 (CET) Prague
Dr. Rickard Brånemark MSc, MD, PhD, Dr. Robert Gottlander DDS
Živý webinář
Po. 4 května 2026
2:00 (CET) Prague
Živý webinář
Út. 5 května 2026
4:00 (CET) Prague
Živý webinář
Út. 5 května 2026
6:00 (CET) Prague
Živý webinář
Út. 5 května 2026
7:00 (CET) Prague
Dr. Maximilian Dobbertin M.Sc
To post a reply please login or register