Při práci s dentálními implantáty je nutno dodržovat celou řadu specifických pravidel týkajících se jak chirurgické fáze, tak fáze protetické (fixní náhrady mají obvykle příznivější prognózu než hybridní náhrady). Pokud se tato pravidla nedodržují, jsou výsledky často neuspokojivé a vyžadují opětovné ošetření. V takových případech, a navzdory přání pacienta na předchozí ošetření rychle zapomenout, se musí dodržovat velice přísný protokol, zejména pokud jde o délku doby hojení. I přes delší celkovou dobu ošetření se tak zajistí úspěšnost každé fáze ošetření. Případ opětovného implantologického ošetření popsaný v tomto článku poukazuje na jednotlivé významné fáze u tohoto typu klinické situace.
Výchozí situace
Pacientka se ve věku 28 let stala účastníkem dopravní nehody, při které utrpěla závažné poranění horní čelisti, zahrnující ztrátu horních středních a postranních řezáků a levého špičáku. Náraz vedl rovněž ke ztrátě alveolární kosti v dané oblasti. První premoláry chyběly, pravděpodobně v souvislosti s předchozí ortodontickou léčbou.
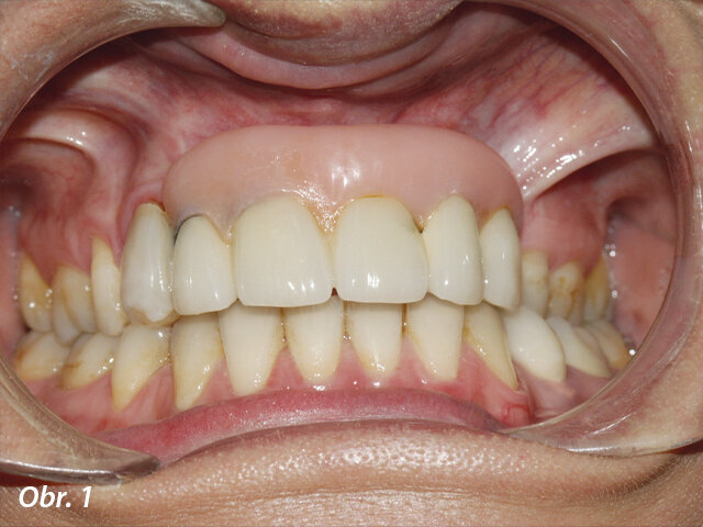
Původní ošetření spočívalo v zavedení dvou implantátů do zbytkové kosti a umístění můstkové konstrukce kotvené šroubky, která měla nést snímatelnou náhradu o rozsahu pěti zubů s rozsáhlou částí umělé gingivy (obr. 1).
Pacientka byla s ošetřením nespokojena a tři roky po prvním ošetření se dostavila na další vyšetření. Úsměv pacientky odhaloval prosvítání konstrukce v oblasti pravého postranního řezáku a protetické zuby byly umístěny mimo středovou linii. Opora rtu zajištěná rozsáhlou umělou gingivou byla v pořádku. U pravého horního špičáku byl odlomený estetický materiál (obr. 1, 2).
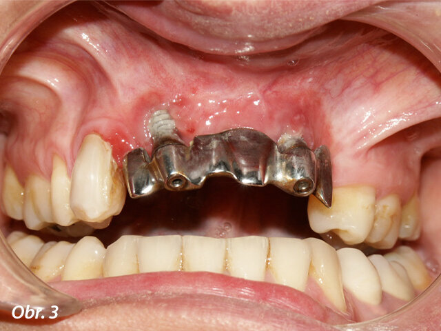
Po sejmutí zubní náhrady a provedení vyšetření byla u implantátů stanovena extrémně negativní prognóza (obr. 3), což je u náhrad tohoto typu v horní čelisti časté. Pravý implantát vykazoval ztrátu většiny vestibulární kosti, která způsobila značnou recesi sliznice. Tkáně byly hyperplastické a ztěžovaly hygienu. Konstrukce náhrady byla mimo středovou linii nejspíše kvůli implantátům, což vysvětlovalo i umístění protetických zubů mimo středovou osu.
V posledních několika letech pozorovalo mnoho autorů v reakci na zavedení implantátů při této indikaci recidivující záněty. Engquist zaznamenal v těchto případech 25% nárůst zánětů gingivy, Naert a kol. zjistil, že z 86 podmíněně snímatelných náhrad (6 v horní čelisti a 80 v dolní čelisti) byla u 8 pozorována hyperplazie gingivy, zejména pak v horní čelisti (9,3 %), a Jemt a kol. vypozoroval, že z 92 náhrad v horní čelisti po jednom roce vykazovalo 19 pacientů hyperplazii gingivy (20,9 %), u 13 pacientů byla nutná jedna korekce gingivy a u pěti pacientů byly nutné korekce dvě. Ve studii z roku 1993 zaměřené na podmíněně snímatelné náhrady v horní čelisti Smedberg a kol. vypozoroval: „Výsledky ukazují, že prevalence (p < 0,05) bakterií lactobacillus, prevotella (poddruhy) a kvasinek byla u subjektů se snímatelnými náhradami významně vyšší než u osob s cementovanými náhradami. Snímatelné náhrady byly spojeny s agresivnějším plakem v okolí implantátů.“ Vzhledem k neuspokojivým výsledkům ošetření u naší pacientky proto bylo rozhodnuto zahájit zcela nové ošetření.
Opětovné ošetření
Opětovné ošetření probíhalo podle velmi přesného protokolu, zejména pokud jde o délku doby hojení. Na začátku byly zhotoveny otisky výchozí situace, na jejichž základě byla vytvořena pryskyřičná provizorní snímatelná náhrada. Náhrada zahrnovala i bázi extendovanou na patro, aby se co nejvíce odlehčilo vestibulárním gingiválním tkáním. Estetický vzhled náhrady byl uzpůsoben tak, aby se vyrovnala osa středních řezáků.
Odstranění implantátů
Vzhledem k nedostatečné oseointegraci bylo odstranění implantátů poměrně snadné (obr. 4). K odstranění byl použit nástroj pro odstraňování implantátů. Poté byla ihned umístěna provizorní snímatelná pryskyřičná náhrada s patrovou deskou. Z důvodu eliminace zánětlivých reziduí bylo kontraindikováno šití oblastí, do nichž budou zaváděny implantáty.
Vyhodnocení po odstranění implantátů
Tři měsíce po odstranění implantátů bylo provedeno klinické a radiologické vyhodnocení. To ukázalo další podstatný úbytek vertikálního rozměru i objemu kosti (obr. 5). Podstatný úbytek vertikálního rozměru kosti se s ohledem na nahodilou regeneraci gingivy obtížně koriguje. Bylo proto rozhodnuto augmentovat objem kosti štěpem odebraným z brady.
Kostní štěp
Do frontálního úseku horní a dolní čelisti bylo aplikováno anestetikum. V dolní čelisti byl z kortikální kosti odebrán vzorek a pomocí piezoelektrického zařízení proveden řez ve spongiózní kosti. Štěpy byly odebrány z bradové symfýzy, co nejblíže k dolnímu okraji mandibuly, aby nedošlo k narušení citlivé inervace řezáků, což bývá při tomto zákroku častou komplikací. Jizva ve vestibulární kortikální kosti byla perforována pomocí malého kulatého vrtáku, což umožnilo rychlou revaskularizaci štěpů. Poté byly štěpy umístěny na své místo a zajištěny šroubky (obr. 6, 7).
Prvotní náhrada: opora rtu byla zajištěna rozsáhlou umělou gingivou a u pravého horního špičáku bylo patrno odlomení estetického materiálu. Úsměv pacientky odhaloval protetické zuby umístěné mimo středovou osu a prosvítání konstrukce u pravého postranního řezáku.
Prvotní náhrada: opora rtu byla zajištěna rozsáhlou umělou gingivou a u pravého horního špičáku bylo patrno odlomení estetického materiálu. Úsměv pacientky odhaloval protetické zuby umístěné mimo středovou osu a prosvítání konstrukce u pravého postranního řezáku.
Vyšetření po třech letech: negativní krátkodobá prognóza implantátů v důsledku výrazné recese u pravého implantátu a hyperplastických tkání.
Konstrukce byla odšroubována, abutmenty odstraněny a implantáty snadno vyjmuty.
Oblast po odstranění implantátu vykazovala ještě větší úbytek objemu kosti.
Kostní štěpy byly odebrány z bradové symfýzy a pevně zajištěny v místě transplantace chirurgickými šroubky.
Kostní štěpy byly odebrány z bradové symfýzy a pevně zajištěny v místě transplantace chirurgickými šroubky.
Pro zvýšení úspěšnosti byl odebrán a odstředěn vzorek krve v souladu s Chokrounovou technikou odběru fibrinu bohatého na krevní destičky (PRF),5 aby se získaly sraženiny fibrinu. Tyto sraženiny byly stlačeny mezi dvěma obvazy, aby se odsálo sérum a vytvořily se membrány, které pak budou přiloženy na místo chirurgického zákroku a místa odběru štěpů v dolní čelisti (obr. 8, 9).
Protetická studie před implantací
Po čtyřech měsících byly tkáně podle radiologického vyšetření zhojené a kostní hmota se jevila stabilní (obr. 10). V rámci přípravy na další krok ošetření – výrobu chirurgické šablony, byly pořízeny nové otisky. Po čtyřech měsících hojení umožňoval zvětšený objem vestibulární kosti umístění zubů na krestální kost a redukci umělé gingivy, což bylo přeneseno na wax-up (obr. 11). Na základě wax-upu byl zhotoven silikonový klíč a z něj byla z průhledné licí pryskyřice vyrobena chirurgická šablona. Bylo rozhodnuto o pozicích implantátů a v šabloně byly vyvrtány otvory zajišťující přesné zavedení implantátů (obr. 12). Správné umístění implantátů ve vztahu k budoucí náhradě je významným předpokladem pro estetický a funkční úspěch.
Zavádění implantátů
Byla aplikována lokální anestezie a oblast augmentované kosti znovu otevřena. Oblast vykazovala vyhovující integraci štěpů, znatelné zvýšení kortikální kosti a vynikající prokrvení celé oblasti (obr. 13). Byla vyzkoušena sterilní chirurgická šablona a ukázalo se, že preparace bude skutečně na středu rekonstruovaného kostního hřebene (obr. 14).
Po odstranění šroubků zajišťujících štěpy byla umístěna šablona a provedena preparace štol (za použití fyziologického roztoku). Za pomalého vrtání bylo zavedeno pět samořezných implantátů Aadva (GC Tech.Europe) s titanovou mikrostrukturou čistoty 5 (obr. 15). V tuto chvíli se již nepoužíval fyziologický roztok, aby se oxid titaničitý dostal nejprve do kontaktu s krví pacienta, což napomáhá oseointegraci implantátů. Tato konkrétní technika implantace byla validována Brunem a kol.6 Všechny implantáty byly opatřeny krycími šroubky se závitem a okolní tkáně byly sešity (obr. 16).
Z důvodu minimalizace rizik byly implantáty ponechány čtyři měsíce nezatížené, protože okamžité zatížení v místě jako je toto by mohlo být problematické.
Zatížení implantátů a otisky
Po čtyřech měsících byly implantáty zatíženy. Byly nasazeny vhojovací abutmenty a kolem nich byl přišit apikálně vytvořený lalok (obr. 17). Radiologická analýza a zejména test poklepem ukázaly perfektní oseointegraci implantátů. Po 15 dnech hojení sliznice byly vhojovací abutmenty odstraněny a místo nich byly umístěny otiskovací kapny zajištěné samovolně tuhnoucí pryskyřicí (obr. 18). Byly zhotoveny otisky a vhojovací abutmenty byly nasazeny zpět (obr. 19, 20).
Kontrolní zubní náhrada
Spíše než jako „provizorní náhradu“ je vhodnější nazvat protetickou práci pro tuto fázi jako „kontrolní náhradu implantologicko-okluzně-protetické koncepce doporučené pacientce“7. V průběhu sedmi měsíců funkce této náhrady bylo kontrolováno:
- oseointegrace implantátů
- estetický aspekt – především u frontálních zubů
- fonace, která je pro horní frontální úsek důležitá8
- schopnost pacientky náhradu řádně čistit
- okluze
- v tomto případě schopnost frontálního úseku zajistit vyloučení kontaktu špičáků při protruzi
Tato náhrada slouží jako model pro definitivní rekonstrukci. Vyrábí se ze snadno upravitelného materiálu, jako je pryskyřice, ale s kovovou konstrukcí, která zajišťuje potřebnou pevnost. V prvním kroku byl z modelové pryskyřice odlit model konstrukce, která kvůli zvýšení stability dočasně zahrnuje i špičák (obr. 21). Model pak byl naskenován (Aadva, GC Tech.Europe; dvě kamery, 2 MP, přesnost: 10 μm) a získaná data byla zaslána do frézovacího centra (GM 1000, GC Tech.Europe) (obr. 22–24). Hotová titanová konstrukce doručená z frézovacího centra byla vyzkoušena na pracovním modelu a byla zkontrolována její stabilita (obr. 25, 26).
Na konstrukci pak byl nanesen estetický materiál (pryskyřice UNIFAST III; povrchová individualizace: barviva OPTIGLAZE, GC Tech.Europe) (obr. 27). Kostní štěp umožnil značnou redukci vestibulární umělé gingivy.
V dalším kroku byla náhrada upevněna v ústech pomocí šroubků a byla provedena nezbytná kontrola okluze, zahrnující kontrolu maximální interkuspidace, protruze a laterálních exkurzních pohybů. Přirozený špičák na pravé straně byl také opatřen korunkou. Je třeba poznamenat, že u laterální exkurze vlevo, s antagonistou v podobě přirozeného zubu vybaveného vlastními receptory periodontálního vazu, bylo špičákové vedení zachováno, nicméně funkční skupina, která je obvykle preferována, byla neurofyziologicky nefunkční (obr. 28, 29).
Na úsměvu pacientky bylo vidět, že jsou řezáky nyní dobře vyvážené a v rovině se sagitální obličejovou rovinou. Opora rtu vypadala vyhovující a, jak tomu často bývá, toto vše ještě potvrdí přátelé a rodina pacientky (obr. 30).
Dočasná náhrada byla po třech měsících sejmuta kvůli kontrole oblastí, kde byly stlačené sliznice a problematická hygiena. Tyto oblasti byly ošetřeny a kontrolní náhrada znovu nasazena (obr. 31).
Definitivní náhrada
Po šesti měsících byly revidovány všechny parametry ošetření. Poté byla, jako přesná kopie kontrolní náhrady, vyrobena náhrada definitivní (zirkon na základní konstrukci a keramika jako estetický materiál). Konstrukce náhrady a kapna pro pravý špičák byly naskenovány a data byla přenesena do frézovacího centra. Výsledné konstrukce byly ozkoušeny na pracovním modelu (obr. 32, 33). Po zkontrolování zirkonové konstrukce byla podle parametrů ověřených na pryskyřičné náhradě zhotovena keramická náhrada (MB Dentaltechnik) (obr. 34, 35).
V dalším kroku byla definitivní náhrada nasazena a byla zkontrolována správnost okluze: maximální interkuspidace, protruze a laterální exkurzní pohyby. Kanály pro šroubky byly vyplněny kompozitem (obr. 36, 37).
Finální kontrola nasazené náhrady ukázala vyhovující oporu rtu při značné redukci rozsahu umělé gingivy (obr. 38, 39). Toho bylo dosaženo díky kostnímu štěpu.
Pravidelné kontroly
Opětovné implantologické ošetření bylo kontrolováno v rámci pravidelných preventivních prohlídek (obr. 40). Všechna implantologická ošetření, bez ohledu na jejich typ, je nutno ve všech fázích ošetření důsledně sledovat, nicméně opětovná implantologická ošetření vyžadují ještě větší pečlivost. Pacient, u kterého došlo k selhání předchozího ošetření se nesmíří ani s nejmenším problémem. Proto má pro úspěch reimplantace zásadní roli období hojení.
Kompletní fotodokumentaci k článku naleznete v posledním vydání Dental Tribune CZ/SK.
Redakční poznámka: Článek byl publikován v mezinárodním vydání časopisu implants – international magazine of oral implantology, Vol. 19, Issue 3/2018.
CRAWLEY, Austrálie: Ztráta kostní hmoty alveolu je u pacientů, kteří se zajímají o aplikaci zubních implantátů častým problémem. Bariéra mezi...
Společnost Planmeca je známá nejmodernějšími technickými inovacemi a neustálým vývojem produktů. Výkonná softwarová platforma Planmeca Romexis...
Digitální stomatologie je bezpochyby současné téma. Během posledních pěti let postupovaly všechny digitální pracovní postupy vpřed mílovými ...
Na klinickém případu vám ukážeme překvapivý význam endodontistů při plánování ...
Stálé více je v zubním lékařství prosazována a citována nová vize – ...
Pacient se ke mně dostavil s akutní bolestí v horním levém kvadrantu. U zubu 26 byla diagnostikována akutní apikální periodontitida a byl ošetřen...
Pokud v minulosti pacientova situace v ústech vyústila v kompletní ztrátu zubů, bylo ošetření omezené na totální náhradu bez jakékoliv naděje ...
Protetická stomatitida (PS) je jednou z nejčastějších orálních lézí u pacientů, kteří ...
Jednou za čas přinášejí některé případy do naší praxe něco výjimečného: např. neobvyklé anatomické struktury, jako je neobvyklé ...
Multidisciplinární léčba vyžaduje vynikající komunikaci a koordinaci odborníků různých ...
Živý webinář
Čt. 30 dubna 2026
1:00 (CET) Prague
Dr. Renato Leonardo D.M.D.
Živý webinář
Čt. 30 dubna 2026
7:00 (CET) Prague
Živý webinář
Ne. 3 května 2026
6:00 (CET) Prague
Dr. Rickard Brånemark MSc, MD, PhD, Dr. Robert Gottlander DDS
Živý webinář
Po. 4 května 2026
2:00 (CET) Prague
Živý webinář
Út. 5 května 2026
4:00 (CET) Prague
Živý webinář
Út. 5 května 2026
6:00 (CET) Prague
Živý webinář
Út. 5 května 2026
7:00 (CET) Prague
Dr. Maximilian Dobbertin M.Sc
To post a reply please login or register