Search Dental Tribune

Endodontické ošetření – případová studie

Rozšiřování kanálku pomocí ProTaper Gold (Fotografie: Dr. Nicolai Orsteen, DDS)
Dr. Nicolai Orsteen, DDS

Dr. Nicolai Orsteen, DDS

Út. 19 května 2020

uložit

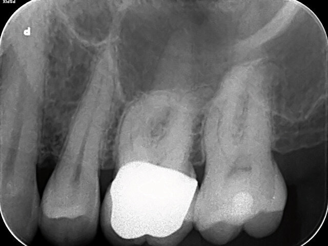
Pacient se ke mně dostavil s akutní bolestí v horním levém kvadrantu. U zubu 26 byla diagnostikována akutní apikální periodontitida a byl ošetřen v průběhu dvou návštěv. Rentgenový snímek ukázal, že meziobukální kořen měl výrazné zakřivení a distobukální kořen mírný esovitý tvar kanálku (obr. 1). Zub byl opatřen přesnou zirkonovou korunkou a byl proto vhodný co nejvíce konzervativní přístup k vytvoření kavity. Cylindrickým diamantovaným brouskem bylo otevřeno cavum pulpae a nalezeny vstupy do tří kořenových kanálků. Při jejich opracovávání byl použit 3% chlornan sodný.

Endodontické ošetření

Kanálky byly nejprve zprůchodněny k apexu pomocí nástrojů Readysteel K-Flexofile 08 a 10 technikou balancované síly (obr. 2). Pracovní délka byla určena apexlokátorem.

Kanálky byly dále opracovány nástrojem ProGlider, rotačním pohybem při 300 ot./min. (obr. 3). Pokud byl zjištěn odpor ještě před dosažením pracovní délky, byly kanálky vypláchnuty a břity ProGlideru očištěny. Po dosažení pracovní délky ProGliderem byly kanálky opět vypláchnuty.

K rozšíření kanálků byly použity nástroje ProTaper Gold (obr. 4) (MB1 velikostí F2, DB velikostí F1 a P velikostí F4).

Podařilo se lokalizovat i kanálek MB2 pomocí Dentsply Sirona LN Tungsten Steel vrtáčků. Kanálek MB2 byl nejprve zprůchodněn Readysteel K-Flexofile (obr. 5).

Při zavedení posledního použitého nástroje ProTaper Gold do kanálku MB1 bylo zjištěno, že se MB2 spojuje s MB1 4 mm před pracovní délkou MB1 – do MB2 byl zaveden Readysteel K-Flexofile. Kanálek MB2 byl opracován až ke spoji do velikosti F2 stejným způsobem jako ostatní kanálky (obr. 6).

V dalším pracovním kroku byl u všech kanálků použit endoaktivátor pro vyplavení nečistot a rozrušení smear layer a biofilmu a následně byly kanálky vypláchnuty 17% EDTA, fyziologickým roztokem a 2% chlorhexidinem.

V závěru ošetření byly kanálky vyplněny hydroxidem vápenatým a do přístupové kavity byla umístěna provizorní zinkoxideugenolová výplň IRM (obr. 7).

Po ošetření

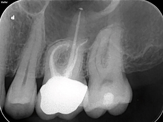
Při druhé návštěvě po týdnu byl již zub asymptomatický. Kanálky byly znovu vypláchnuty 3% chlornanem sodným a 17% EDTA ve spojení s endoaktivátorem (obr. 8). Kanálky byly vysušeny papírovými čepy a poté byly zavedeny příslušné ProTaper Gold gutaperčové čepy. Následně byl proveden rentgenový snímek s hlavními čepy (obr. 9).

Kanálky byly zaplněny technikou vertikální kondenzace teplé gutaperči se sealerem AH+ a gutaperčovými čepy ProTaper Gold (obr. 10).

Gutaperča byla kondenzována Machtou pluggery (obr. 11). Do ústí kanálků byla aplikována 2mm zátka z IRM (obr. 12). Přístupová kavita byla provizorně zaplněna skloionomerním cementem (obr. 13). Pooperační rentgenový snímek ukázal, že tři kořenové kanálky jsou zaplněny až po apex (obr. 14). Pacient byl odeslán zpět ke svému zubnímu lékaři k defi nitivnímu uzávěru kavity. Všechny fotografie byly pořízeny mikroskopem CJ-Optik.

Dr. Nicolai Orsteen, DDS

 

Zaujal vás tento článek?

Další zajímavé články naleznete v časopisu Roots CZ/SK 1/2020
stáhněte jej ve formátu PDF

Štítky:
To post a reply please login or register
advertisement
advertisement