Příroda nás vždy uchvacovala svými krásami. Nezbývá nám než žasnout nad přirozenou estetikou krajiny, západu slunce nebo nad detaily obyčejného listu. Jedním z cílů umělce je kopírovat přírodu pomocí různých prostředků: maleb, soch, hudby, fotografie. Je jednoduché vidět paralely i v zubním lékařství. Zuby a měkké tkáně vykazují detaily jak na makroskopické, tak mikroskopické úrovni, které vytvářejí jejich přirozenou krásu. I úsměv má své zákonitosti estetiky. Stejně jako umělci, používají zubní lékaři a zubní technici svůj talent k tomu, aby vytvářeli přirozené zubní náhrady. Tajemství imitace přírody je v detailech každodenní tvrdé práce.
Technologie naštěstí výrazně pokročila což činí napodobení přirozeného vzhledu chrupu mnohem snazším, zároveň jsou neustále vytvářeny nové praktické postupy. Zhotovení estetické korunkové náhrady středního řezáku je výzvou jak technickou, tak uměleckou. Ať už se jedná o výplň, korunku nebo implantát, prověří náhrada schopnosti dentálního týmu – pacient přirozeně očekává výsledek symetrický s vedlejším zubem. S pomocí nových technologií je dosažení žádoucího výsledku mnohem jednodušší – s určitou nadsázkou se dá říci, že je to skoro tak jednoduché, jako funkce kopírovat/vložit, na kterou jsme zvyklí z počítače.
Na klinickém případu s využitím klasického otiskování dále demonstruji pracovní postup s využitím CAD/CAM technologií, který ukáže, že schopnost okopírování přírody se nyní stala dostupnou pro všechny praktikující zubní lékaře.
Příprava
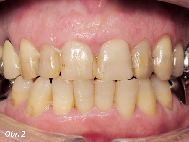
V prezentovaném případě (obr. 1, 2) si pacientka přála zlepšit estetické aspekty jejího úsměvu a vylepšit jej bez ztráty jedinečných rysů, které považovala za součást svého vzhledu a osobnosti. Maxilární přední zuby měly kazy a defektní výplně, ale jejich celkový tvar byl uspokojivý. Ačkoliv by bylo dobré zlepšit vzhled také u premolárů, omezený rozpočet pacientky umožňoval pouze úpravu řezáků a špičáků.
Prvním krokem byl otisk aktuálního stavu dutiny ústní. Ačkoliv dimenze a vzhled chrupu neodpovídaly obecným pravidlům zubní estetiky, bylo v plánu je zachovat s ohledem na charakteristická specifika úsměvu pacientky a také na přirozenou dynamiku okluze. Intraorální skener zatím není zcela běžnou výbavou zubních ordinací – konvenční otiskování nám však v podobných případech poskytne dostatečně přesný záznam pro další CAD postup. V našem případě byl pro záznam výchozí klinické situace proveden jednokroký otisk A silikonem dvou viskozit (V-Posil Putty Fast a V-Posil X-Light Fast, VOCO) (obr. 3).
Výchozí situace
Výchozí situace
Otisk V-Posilem
Digitální model
Disk materiálu Structur CAD
Virtuální umístění korunkových náhrad do disku
Provizorní korunky z materiálu Structur CAD
Zkouška provizorních korunek
Úsměv s provizorními korunkami
Keramické korunky nacementované na Futurabond DC a Bifix QM (VOCO)
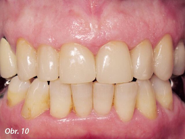
Konečný výsledek
Provizorní náhrada
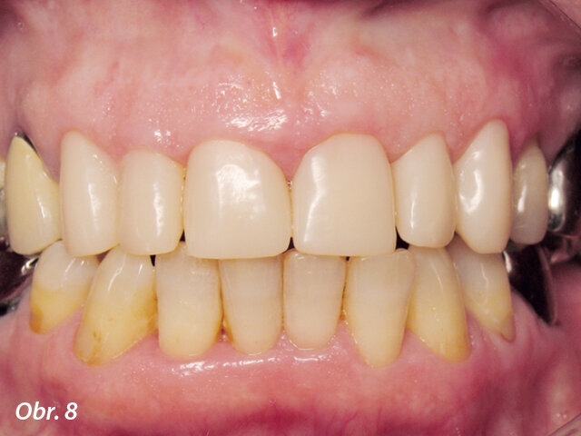
Po preparaci zubů byl otisk odeslán do laboratoře, kde zhotovili pracovní model, provedli jeho skenování a virtuálně navrhli provizorní korunky. Většina CAD softwarů umožňuje funkci kopírovat/ vložit (obr. 4), takže proces skenování a navrhování zabere méně než hodinu času. Šest provizorních korunek bylo následně vyfrézováno z pryskyřičného disku vhodného pro provizorní náhrady (Structur CAD, VOCO) (obr. 5, 6) a to během hodiny a půl. Dokončení provizorních korunek – kontrola bodů kontaktu, kontrola okluze a leštění vyžadovalo dalších 30 minut. Hotové provizorní korunky byly do ordinace doručeny dva dny po otisku. Získaný výsledek byl velmi přirozený (obr. 7) a to díky estetickým vlastnostem materiálu: přirozenému odstínu, jednoduchému leštění a možnosti individuálních charakterizací. Provizorní korunky vykazovaly přirozenou a esteticky příjemnou asymetrii. Korunky byly nacementovány provizorním cementem k ověření protetického projektu (obr. 8, 9). Biokompatibilita materiálu umožňuje až tříletou dobu nošení náhrad a poskytuje možnost dobře prověřit a posoudit komplexní estetické rehabilitace. Také optimálně dočasně rehabilituje pacienta při dlouhodobém typu ošetření, např. při parodontální rehabilitaci. Složení materiálu poskytuje nejen výbornou odolnost abrazi, ale také možnost opravy kompatibilním kompozitem. V našem případě byly provizorní korunky ponechány v ústech po dobu jednoho týdne – tedy po dobu nutnou k přípravě finálních náhrad. Nebyly pozorovány žádné defekty.
Dokončení
Během poslední fáze, po funkčním a estetickém ověření provizorních korunek, byly vyfrézovány definitivní keramické korunky (IPS e.max, Ivoclar Vivadent) – stejně jako provizorní korunky na základě původního skenu modelu výchozí situace. Provizorní korunky byly odstraněny a pilíře očištěny. Po zkoušce a ověření v ústech byly definitivní korunky nacementovány (Futurabond DC a Bifix QM, VOCO) (obr. 10). Konečným výsledkem byl harmonický úsměv nenarušující rysy, které pacientka považovala za významnou součást osobitosti svého obličeje (obr. 11).
Diskuze
Zubní lékařství prošlo dlouhou cestou implementace digitálních technologií, díky nimž jsme nyní rychlejší a přesnější. Tyto nástroje se stávají čím dál více populárními a mnoho zubních lékařů jimi nyní vybavuje své praxe. Pořízení intraorálního skeneru do ordinace však není absolutní nutností, jak by se mohlo v dnešní době zdát, abychom mohli využívat výhod digitální revoluce ve stomatologii.
Digitalizace naší práce nám poskytuje řadu výhod – jednou z nich je „prostá“ funkce kopírování/vložení. Současné materiály (kompozity a keramika) umožňují velmi věrnou interpretaci přirozeného vzhledu zubů a digitální technologie zprostředkují zkopírování přírody do všech jejích nejmenších detailů. Použití provizorních náhrad vytvořených počítačem nám umožní ověřit komplexní a náročné rekonstrukce. Ve výsledku jsou pak náhrady jak funkční, tak estetické, s perfektní integrací do okluze a včleněním do celkové harmonie obličeje.
Pro zubního technika je funkce kopírovat/vložit součástí komplexu značných technologických možností. Laboratorní skener umožňuje zachytit každý detail zubního oblouku a digitální modely pak navrhovat přesné náhrady při zobrazení v nadživotní velikosti. Pomocí frézovacích přístrojů lze v krátkém čase vyrobit opakovaně zcela identické korunky z různých materiálů – znovu a znovu podle potřeby. Levnější frézovatelné materiály umožňují prověřit terapeutický plán ještě před posunem k dražším materiálům jako je zirkonoxid nebo lithium disilikát. Materiál, jakým je frézovatelná pryskyřice, je však možno využít i jako dlouhodobé uspokojivé řešení s menší finanční zátěží pro pacienta. Po ověření provizorních korunek stačí zubnímu technikovi pouze zmáčknout knoflík a započne produkce korunek ze zamýšleného definitivního materiálu.
Pro pacienty je digitální stomatologie ukázkou toho, jak se náš obor a naše služby vyvinuly. Technologické pokroky v klinických postupech nahrazují řadu dosud klasických postupů ošetření, na které mnozí pacienti mají špatné vzpomínky z dětství. Dnes má pacient šanci získat zpět úsměv, který měl ve svých 20 letech. Je dokonce možné zkopírovat úsměv teenagera a aplikovat ho do úst jeho otce s narušeným zubním obloukem. Úsměv se tak s nadsázkou stává odkazem, který bude předáván z generace na generaci.
Závěr
Technologie v zubním lékařství dělá značné pokroky a je na nás, abychom je přijmuly za své. Příchod nových nástrojů, jako jsou intraorální skenery, a unikátních nových materiálů, jako jsou frézovatelné pryskyřice, nám umožňuje vytvořit nové efektivnější a dokonalejší léčebné postupy a výrobní procesy.
Poděkování Autor děkuje Matthiasi Mehringovi z VOCO za jeho přátelskou podporu a poskytnutí materiálů. Dále gratuluje francouzskému certifikovanému zubnímu technikovi Christophemu Giraudovi k jeho talentu a schopnostem. Autor je také vděčný Tomymu Kershawovi a Russovi Perlmanovu z VOCO America za kontrolu a vylepšení tohoto článku.
Redakční poznámka: Článek byl poprvé publikován v časopisu digital–international magazine of digital dentistry, Vol. 1, Issue 1/2020.
Dr. Yassine Harichane Vystudoval na University Paris Descartes v Paříži (Francie), kde také realizoval několik klinických výzkumů. Je autorem mnoha publikací a člen Cosmetic Dentistry Study Group (CDSG) na Paris Descartes University.
Celé nejnovější vydání Dental Tribune CZ naleznete zde
V posledním desetiletí byly vyvinuty a rozvíjely se nové CAD/CAM (Computer Aided Design/Computer Aided Manufacturing) systémy a materiály pro výrobu ...
To post a reply please login or register