Search Dental Tribune

Okamžitá implantace a CAD/CAM rekonstrukce v estetické zóně

Zirkonoxidové abutmenty s titanovou bází (Fotografie: Dr. Feng Liu, Dr. Xiaorui Shi & Dr. Miaozhen Wang)
Dr. Feng Liu, Dr. Xiaorui Shi a kol.

Dr. Feng Liu, Dr. Xiaorui Shi a kol.

Čt. 6 června 2019

uložit

Estetické a funkční rekonstrukce chrupu na implantátech představují zejména ve frontálním úseku chrupu nesnadný úkol. V tomto příspěvku prezentujeme případ vícečetných fraktur zubů následkem úrazu, kdy jsme zuby po extrakci okamžitě nahradili implantáty a současně provedli řízenou tkáňovou regeneraci (GBR). V protetické fázi jsme brali ohled na design a kontury korunek v cervikální oblasti (emergence profile), měkké tkáně, funkční parametry a okluzní vztahy, abychom dosáhli dobrých estetických a funkčních výsledků.

Kazuistika

Vyšetření

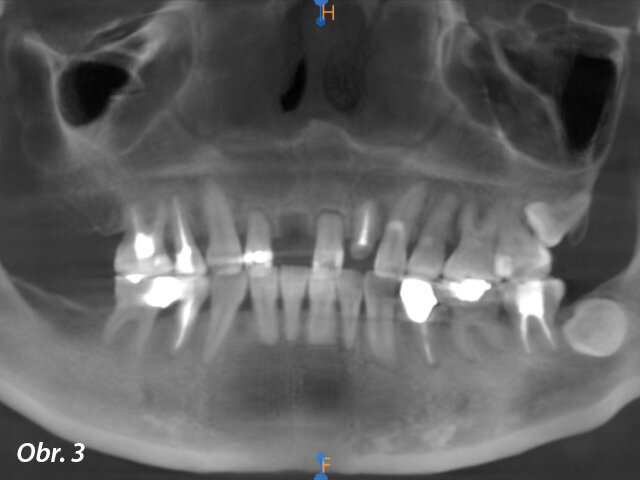
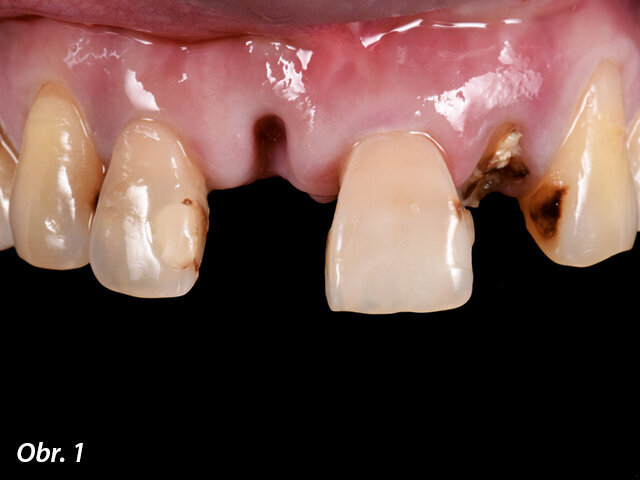
Na naše pracoviště se dostavila čtyřicetiletá pacientka, která před třemi týdny následkem synkopy utrpěla úraz horních frontálních zubů. Při klinickém vyšetření jsme diagnostikovali avulzi zubu 11 a korunky zubů 12 a 21 byly ulomené 3–5 mm pod úrovní gingivy s mobilitou III. stupně. Dále jsme zjistili zlomeninu korunky zubu 22 s lomnou linií končící ekvigingiválně. Ostatní zuby nevykazovaly žádné zjevné patologie či abnormality (obr. 1–4). Po vyloučení celkových onemocnění jsme se rozhodli pro ošetření pomocí implantátů s důrazem na estetiku a funkci.

Ošetření

Extrahovali jsme zuby 12, 21 a 22 a zuby 11 a 22 nahradili implantáty. V případě zubu 11 šlo o implantaci časnou, u zubu 22 o implantaci okamžitou s řízenou kostní regenerací (GBR). Vhojovací fáze, během níž probíhala oseointegrace, trvala tři měsíce. Poté jsme provedli otisk implantátů otevřenou technikou a zhotovili provizorní můstek nesený provizorními abutmenty v rozsahu zubů 12 až 22. Zubní technik vymodeloval gingivální masku tak, abychom dosáhli co nejlepšího emergence profile a kontur měkkých tkání, podle kterého jsme v ústech upravili gingivu rotačním nástrojem.

Zhodnotili jsme provizorní můstek funkčně a esteticky. Hrot zubu 13 jsme vyhodnotili jako příliš krátký pro dosažení dobré linie úsměvu. Při zhodnocení interkuspidační pozice (ICP) a lateropulzních pohybů pomocí 80 µm silného artikulačního papírku vyšlo najevo, že zub 13 je mimo kontakt s antagonistou. Proto jsme přistoupili ke konturaci vestibulární plochy a dostavbě orální plošky kompozitem. Tím jsme docílili špičákového vedení a kontaktu při statické okluzi i lateropulzích.

Ve chvíli, kdy jsme byli s estetikou i funkcí provizoria spokojeni, zaznamenali jsme informace o řezákovém vedení pomocí artikulátoru (Artex, Amann Girrbach). Emergence profile provizoria jsme přenesli na sádrový model, který byl zabudován do artikulátoru.

Sádrové modely jsme naskenovali, tím jsme získali digitální modely, které jsme spojili ve virtuálním artikulátoru. Řezákové vedení jsme rekonstruovali podle provizorního můstku. Poté jsme celý design definitivního můstku dokončili a zhotovili pomocí CAD/CAM můstek z oxidu zirkoničitého a zirkonoxidové abutmenty s titanovou bází. Po glazovacím a barvicím pálení byla práce dokončena. Definitivní restaurace vykazovala dobrý estetický i funkční výsledek.

Zaujala vás ukázka článku?

Celý článek můžete prostudovat v příslušném vydání časopisu Digital CZ/SK 1/2019
stáhněte jej ve formátu PDF

O autorech:

 

Dr. Feng Liu je klinickým profesorem a ředitelem centra estetické stomatologie na Pekingské univerzitní stomatologické klinice v Pekingu v Číně. Je certifikovaným členem a čínským zástupcem Evropské společnosti pro kosmetickou stomatologii, certifikovaným mezinárodním školitelem Mezinárodní společnosti pro počítačovou stomatologii, předsedou Čínské společnosti pro digitalizovaný dentální průmysl a členem výboru Čínské společnosti pro estetickou stomatologii.

 

Dr. Xiaorui Shi je praktikující lékařkou na Pekingské univerzitní stomatologické klinice. Je členkou Evropské společnosti pro kosmetickou stomatologii a členkou výboru pro mládež v Čínské společnosti pro estetickou stomatologii. Zaměřuje se na estetickou a funkční rekonstrukci komplexních případů.

 

Dr. Miaozhen Wang je praktikující lékařkou na Pekingské univerzitní stomatologické klinice. Je členkou Evropské společnosti pro kosmetickou stomatologii a Evropské asociace pro osseointegraci. Zaměřuje se na implantologii, digitální implantaci a estetickou rekonstrukci měkkých a tvrdých tkání.

 

Štítky:
advertisement
advertisement