CEREC se stal součástí každodenního života v naší praxi, kde pracuji společně se třemi dalšími praktickými zubními lékaři. Neléčíme pouze pacienty z blízkého okolí, ale také některé, co žijí i 600 km daleko, vlastně takoví pacienti zaujímají asi 25 % naší současné klientské základny. Z tohoto důvodu je pro ně důležitou přidanou hodnotou, že nabízíme ošetření v jedné návštěvě – to se pak samozřejmě odráží v míře zájmu o naši praxi. Jako pro praktika je pro mě důležité nedělat kompromisy při léčbě a především mít po celou dobu plnou kontrolu nad terapeutickým procesem. Může to znít triviálně, ale má to zásadní dopad na léčbu, včetně použití dentálních technologií, na můj time management – během výroby CAD/CAM mohu léčit jiného pacienta, a také na finanční efektivitu mé ordinace. Nesmíme opomenout také vysokou spokojenost pacientů. Naši pacienti nemohou být více ohromeni CERECem, zvláště, když si uvědomí všechny možné indikace, kdy je možné jej použít v implantologii a ortodoncii.
Poslední výzkum přinesl řadu vylepšení, především v různorodosti použití. CEREC je mnohem více než jen systém na produkci korunek a můstků. My jej například používáme v ortodontických indikacích – v těchto případech řízený sken a analýza modelu pomáhají v léčbě. Co se týče implantologie, tak tam již digitální otisky a ordinační výroba suprastruktury umožňují zcela digitální pracovní postup.
Cesta „ke korunce v 10 kliknutích”
Změny v pracovních postupech jsou zejména patrné při použití nového CEREC softwaru 4.5, který jsem měl možnost použít během testovací fáze a nyní jej aktivně využívám již 4 měsíce. Co nejvíce oceňuji je úspora času a kvalita prvotního návrhu s výjimečnou přesností žádané protetické práce. Dle mého názoru tento software buduje rychlou a přesnou cestu „ke korunce v 10 kliknutích“. To je umožněno různými integrovanými automatickými funkcemi. Ať už se jedná o přímé softwarové návrhy samotné protetické práce nebo o automatické nastavení správné osy jejího nasazení. Jednotlivé kroky jsou jednoduché a jasné a software pracuje velmi rychle, dokonce i na pozadí. Díky intuitivnímu softwaru a našim bohatým zkušenostem s více než 2500 pracemi je pro nás tento systém velmi efektivní a přínosný. Rád sdílím svou vášeň pro zuby se svými pacienty, kteří si evidentně užívají, že vidí, co se zrovna děje, co dělám a proč. Případ, který dále popisuji, je toho výstižným příkladem.
Značně zkrácené korunky zubů v důsledku bruxismu
Původní klinická situace - obroušené frontální zuby a kompenzatorní extruze / Klinická situace 9 měsíců po fóliové ortodontické léčbě. Bylo dosaženo 2mm intruze.
Výsledek po 9 měsících ortodontické léčby a po fixaci fazet v horní čelisti
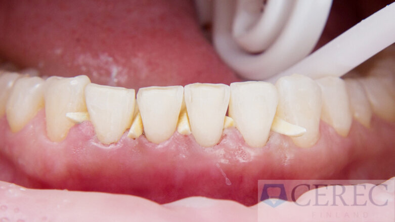
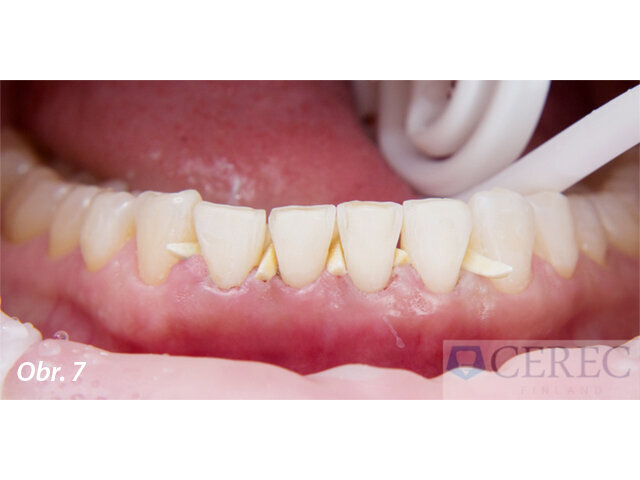
Preparace zubů dolní čelisti na fazety
Ordinačně vyrobené fazety před nasazením / Fotografie po fixaci fazet
Perfektní adaptace fazet s optimálním okrajovým designem
Finální vzhled s uvolněným rtem ukazuje správný poměr zubních struktur
Dobrá podpora horního rtu
Spolu jsme silnější!
Pacientka (43 let) k nám přišla s velmi neobvyklým problémem: cítila diskomfort při mluvení a také vypadala jako by byla bezzubá. Její horní ret byl tenký a zkrácený, takže vypadala mnohem starší než ve skutečnosti. To bylo způsobeno abrazí frontálních i laterálních zubů závažným bruxismem (obr. 1 a 2).
Po detailní konzultaci bylo rozhodnuto, že pacientka nejprve podstoupí krátkou ortodontickou léčbu. Kvůli kompenzaci abraze byly horní i dolní řezáky nadměrně eruptovány. To způsobilo nežádoucí posuny zubů. Hlavním cílem ortodontické léčby bylo intrudovat řezáky do jejich původní pozice a vytvořit prostor pro bezpreparační fazety. Druhotným cílem bylo přidat tolik podpory pro horní ret, kolik jen bude možné – tento aspekt bude následně také upraven fazetami.
V první fázi byl proveden sken kompletní čelisti pomocí CEREC Ortho softwaru a CEREC Omnicam. Na základě skenu byly zhotoveny terapeutické ortodontické fólie pro intruzi v maxile a mandibule pro nápravu skusových poměrů (obr. 3). Pacientka nosila Invisalign fólie po dobu devíti měsíců. To vedlo k obnovení ideální gingivální harmonie a utvoření dostatku prostoru pro bezpreparační fazety předních zubů (obr. 4).
Prvotní softwarový návrh fazet byl v souladu s našimi očekáváními a mohli jsme ihned začít frézovat budoucí estetické náhrady. Zhotovili jsme pacientce celkem 6 fazet (na zubech 13 až 23) v horní čelisti v jedné návštěvě. Tvar horních fazet byl navržen tak, aby poskytl co největší oporu hornímu rtu.
Také jsme ortodonticky upravili pozici zubů v dolní čelisti, abychom připravili zuby 32 až 42 na bezpreparační fazety, které byly vyrobeny ordinačně z e.max bločků při použití extra jemných frézovacích nástrojů a byly jen 0,2 až 1 mm tlusté (v naší praxi používáme jak CEREC zirconia tak CERASMART). Okraje fazet byly optimálně navrženy díky novým softwarově kontrolovaným frézovacím algoritmům. To znamenalo, že nebyly potřeba žádné úpravy, adaptace na přirozené zuby byla okamžitá a vytvořila vysoce estetický výsledek, a to i v lingvální oblasti: rozhraní mezi přirozeným zubem a keramikou je stěží viditelné.
Pro zlepšení kvality života
Náš přístup s předřazenou ortodontickou korekcí nám umožnil pozitivně ovlivnit celkový vzhled obličeje pacientky. Po léčbě se pacientka zdála mladší, zuby jsou nyní vidět, když pacientka mluví a horní ret je dostatečně podpořen zuby. Pro nás to znamenalo ideální výsledek jen po 9 měsících léčby a bez kompromisů. Pro pacientku to znamenalo obrovské zlepšení kvality života.
Dr. Mark Ahonen
Promoval na Univerzitě Helsinki v roce 2011 a momentálně se zabývá klinickým výzkumem digitální stomatologie s důrazem na navigovanou implantologii. Doma i v zahraničí učí a přednáší současné a budoucí použití CAD/CAM technologie a CBCT integrace. Má webovou stránku a blog o různých tématech, především však o CERECu, na www.cerecfinland.fi.
Štítky:
V posledním desetiletí byly vyvinuty a rozvíjely se nové CAD/CAM (Computer Aided Design/Computer Aided Manufacturing) systémy a materiály pro výrobu ...
Digitální pracovní postupy mohou zlepšit výsledky naší léčby. V této kazuistice je prezentováno multidisciplinární ošetření pacienta se ...
Stomatologie je pestrý, neustále se rozšiřující obor. Již dávno není v silách praktického zubního lékaře zvládat špičkově všechna její ...
Tímto příspěvkem představují jeho autoři možný postup při výrobě horní a dolní celkové náhrady metodou CAD/CAM. Firma Zirkonzahn ...
Již deset let specializovaný tým společnosti exocad neustále dodává dentálnímu průmyslu nejmodernější inovace. Dne 12. března 2020 se na ...
Rozhovor s Richardem Doležalem, manažerem systému ConnectDental, o klíčových stránkách plánování,...
Estetické a funkční rekonstrukce chrupu na implantátech představují zejména ve frontálním úseku chrupu nesnadný úkol. V tomto příspěvku ...
Blíží se jedna z největších dentálních událostí roku!
Digitalizace oborů stomatologie probíhá překotným tempem: nové přístroje, ...
Máte-li zájem zjistit, jak dále rozvíjet svou praxi díky špičkové klinické péči o pacienty, a to s předvídatelnými a opakovatelnými ...
GrandioSO, nový, univerzální nano-hybridní výplňový materiál pro kavity všech tříd ...
Živý webinář
Po. 11 května 2026
6:00 (CET) Prague
Živý webinář
Po. 11 května 2026
7:00 (CET) Prague
Živý webinář
Út. 12 května 2026
7:00 (CET) Prague
Živý webinář
Čt. 14 května 2026
6:00 (CET) Prague
Živý webinář
Čt. 14 května 2026
8:00 (CET) Prague
Prof. Hani Ounsi DDS PhD FICD
Živý webinář
Út. 19 května 2026
5:00 (CET) Prague
Živý webinář
Út. 19 května 2026
7:00 (CET) Prague
Prof. Dr. med. dent. Ivo Krejci