Search Dental Tribune

Nový úsměv za jeden den

Wax-up v digitální podobě (Fotografie: Dr. Gustavo Harfagar)
Dr. Gustavo Harfagar

Dr. Gustavo Harfagar

Po. 1 června 2020

uložit

Digitální pracovní postupy mohou zlepšit výsledky naší léčby. V této kazuistice je prezentováno multidisciplinární ošetření pacienta se zaměřením na ordinační pracovní postup a použití keramického materiálu n!ce (Straumann). Je popsána úspěšná rekonstrukce devíti zubů zhotovená přímo v ordinaci (z toho šest zubů v estetické zóně). Zuby a implantáty byly připraveny a naskenovány během rána a finální rekonstrukce byly fixovány ve stejný den. Pacientka získala nový úsměv v mnohem kratší době, než jak tomu bývá u tradičních protokolů, a to byl klíčový faktor v jejím rozhodnutí přijmout léčebný plán exkluzivně s pomocí digitálních řešení Straumann.

Výchozí situace

51letá pacientka, která byla celkově zdravá, navštívila naši kliniku s požadavkem na nový úsměv. Při extraorálním a intraorálním vyšetření bylo zjištěno, že střední linie úsměvu (medium smile line) s fixními náhradami vykazuje mnohočetné recesy v estetické zóně, kariézní léze, zánět, plak a chybějící zuby v oblastech 16, 25, 26, 36 a 45 (obr. 1–5).

Ošetření

Plánování léčby

Po terapii souvisejících příčin (pokyny pro ústní hygienu, profylaxe a zubní výplně) byla pacientka připravena na chirurgickou fázi. Byla naplánována mukogingivální chirurgie ve druhém sextantu za účelem vylepšení růžové estetiky a umístění zubních implantátů do distální oblasti. Dále, po zhojení měkké tkáně, fáze rekonstrukce chrupu: odstranění starých korunek a preparace pilířů na nové náhrady z materiálu n!ce pomocí ordinačního pracovního postupu od Straumann.

Chirurgická fáze

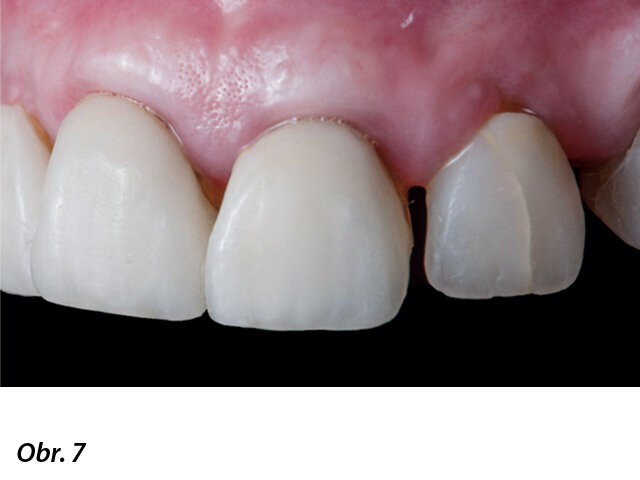
Pět implantátů (Straumann Standard Plus; průměr 4,1 mm, délka 8,0 mm, regular neck, Roxolid, SLActive) byly zavedeny do pozic 16, 25, 26, 36 a 45 v rámci jednoho chirurgického zákroku. Na všechny zavedené implantáty byly umístěny provizorní korunky. Mnohočetné recesy v estetické zóně byly ošetřeny tunelovou technikou za použití pojivového štěpu odebraného z patra. Tuto operaci provedl Dr. Enrique Javer (obr. 6–8).

Protetická fáze

Když se všechny implantáty oseointegrovaly, byly zbývající distální zuby napreparovány na korunky a ve stejné návštěvě byl pořízen digitální otisk intraorálním skenerem Straumann Virtuo Vivo. S použitím softwaru Straumann CARES Visual byly navrženy všechny distální korunky a poté vyfrézovány ordinačním frézovacím strojem Straumann CARES C.

Ve stejný den, po ověření dosedu, byly všechny korunky umístěny a natmeleny. Vzhledem k nové výšce skusu byly dolní premoláry, špičáky a řezáky upraveny kompozitem IPS Empress Direct (Ivoclar Vivadent). Po dalším intraorálním skenování byl navržen nový úsměv pomocí Straumann CARES Visual. Pro digitální wax-up byl použit 3D model vytištěný 3D tiskárnou Straumann P30. Byly pořízeny fotografie k registraci všech údajů potřebných pro konečný návrh rekonstrukcí. Při další návštěvě přišla pacientka na kliniku brzy ráno. Všechny staré korunky byly odstraněny a zuby 24, 25 a 34 byly napreparovány na nové korunky. Intraorální data byla získána pomocí Virtuo Vivo a byla pořízena fotografie obličeje pacientky. Soubory STL digitálního wax-upu, nabroušených zubů a fotografie pacientky byly nahrány do Straumann CARES Visual a byly navrženy definitivní korunky.

 

Zaujala vás ukázka článku?

Celý článek můžete prostudovat v příslušném vydání časopisu Digital CZ/SK 1/2020
stáhněte jej ve formátu PDF

 

Dr. Gustavo Harfagar absolvoval bakalářské studium na University of Chile v Santiagu de Chile a poté přešel na studium stomatologie na Universidad Mayor, rovněž v Santiagu. Studium implantologie ukončil na téže univerzitě. Po dobu deseti let působil jako odborný asistent na katedře protetiky na Fakultě zubního lékařství na Universidad del Desarrollo v Santiagu de Chile a jako hostující profesor na postgraduálním studiu na téže univerzitě. V roce 2016 se zúčastnil ITI Education Week na Harvard School of Dental Medicine a na Tufts University, obě v Bostonu v USA. V roce 2017 se vrátil na Harvard School of Dental Medicine k dalšímu vzdělávání v oboru digitální záchovné stomatologie a protetiky. Ve stejném roce byl jmenován ředitelem programu digitální záchovné stomatologie a protetiky na Universidad del Desarrollo. Přednáší o digitálních dentálních technologiích na národní i mezinárodní úrovni. Dr. Harfagar má vlastní praxi a dvanáct let zkušeností v oblasti estetické stomatologie a implantologie.

 

Štítky:
To post a reply please login or register
advertisement