GrandioSO, nový, univerzální nano-hybridní výplňový materiál pro kavity všech tříd uspokojí i ty nejnáročnější požadavky na výplňové materiály pro frontální i laterální úseky chrupu. GrandioSO je vhodné pro výplně kavit I. až V. třídy, rekonstrukce frontálních zubů poškozených úrazem, imobilizaci a dlahování uvolněných zubů, úpravy tvaru a odstínu z důvodu zlepšení estetiky, dostavby pahýlů a zhotovování kompozitních inlejí.
GrandioSO – kompozitní materiál nejvíce se podobající zubu
GrandioSO na trhu vyniká svými jedinečnými vlastnostmi a největší podobností přirozenému zubu, fyzikálními vlastnostmi a jejich vzájemnou interakcí. Toto nové kompozitum umožňuje zhotovování odolných a současně estetických náhrad, a to díky velmi vysokému obsahu plniv (89 % hmotnosti) a nízké kontrakci (1,61 %), vysoké pevnosti v tlaku a ohybu (439 MPa a 187 MPa, v tomto pořadí), E modulu podobnému dentinu (16,65 GPa) a teplotní expanzi (α = 27.3 x [10-6 x K-1]), velmi vysoké povrchové tvrdosti (210,9 MHV), nízké abrazi (18 µm, ACTA při 200,000 cyklech) i optimální rovnováze mezi translucencí a opacitou. GrandioSO je velmi dobře leštitelné a náhrady zůstávají díky vynikající odolnosti vůči abrazi dlouhodobě lesklé. 16 různých odstínů, včetně nových odstínů VCA3.25 a VCA5 pokrývá celé spektrum potřeb současné stomatologie.
Optimální vlastnosti pro zpracování
GrandioSO je přesvědčivé i svými optimálními vlastnostmi při zpracování. Díky hladké konzistenci lze tento materiál rychle nanášet a má dobrou plasticitu bez sklonu lepit se na nástroje. Kromě toho se v GrandioSO spojuje výjimečně dlouhá doba zpracovatelnosti i při vystavení světlu s velmi krátkou dobou tuhnutí při následné polymeraci. Každou 2 mm vrstvu materiálu lze spolehlivě vytvrdit během 10 sekund. GrandioSO se prodává ve snadno použitelných otočných stříkačkách i v obzvláště ekonomických kompulích.
Indikace:
• Výplně kavit I. – V. třídy
• Rekonstrukce traumaticky poškozených frontálních zubů
• Fazetování diskolorovaných frontálních zubů
• Úpravy tvaru a odstínu za účelem zlepšení estetiky
• Zpevňování a dlahování uvolněných zubů
• Opravy fazet
• Výplně v mléčném chrupu
• Dostavby zubů pod korunky
• Kompozitní inleje
Výhody:
• Výplňový materiál podobný zubu pro spolehlivé výplně
• Všestranné pro nejnáročnější požadavky jak ve frontálním, tak i v laterálním úseku chrupu
• Nízká citlivost vůči dennímu světlu
• Optimální propojení opacity a translucence pro výsledky, které lze pomocí jediného odstínu sladit se zubem
• Inteligentní systém odstínů s novými odstíny VCA3.25 a VCA5, které mají svůj smysl v každé klinické situaci
• Hladká konzistence, nelepivé, nejlépe tvarovatelné
• Snadno se leští do vysokého lesku – trvalý, hladký povrch
• Kompatibilní se všemi konvenčními bondy
Výrobce:
VOCO GmbH, P.O. Box 767, 27457 Cuxhaven, Německo, www.voco.de
Kontakt:
Česká republika:
David Filípek, Tel.: 773 252 100
E-Mail: d.filipek@voco.com
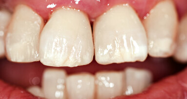
Nano-hybridní kompozitum Grandio SO vytváří odolné a zubu podobné frontální a laterální výplně zhotovené na základě minimálně invazivní preparace.
Speciální sklo-keramická plniva a funkcionalizované nano-částice dodávají GrandioSO obzvláště vysoký obsah plniv (89 % hmotnosti).
Zdroj: Prof. Dr. Detlef Behrend, univerzita v Rostocku
Článek byl publikován ve vydání DT 4/2011.
Klinická výkonnost kompozitního materiálu je do značné míry závislá na typu, velikosti a ...
Přestože žádná zubní výplň nevydrží navždy, v životnosti výplňových materiálů jsou zřejmé rozdíly. Výzkumníci z Královského ...
STOCKHOLM, Švédsko: Přestože žádná zubní výplň nevydrží navždy, v životnosti výplňových materiálů jsou zřejmé rozdíly. Výzkumníci z ...
Nový zesílený kompozitní blok BRILLIANT Crios společnosti COLTENE byl uveden na trh v roce 2016 a je považován předními dentálními profesionály ...
Společnost 3Dwiser, přední český dodavatel 3D tiskových technologií, uvádí na trh nové ...
Máte-li zájem zjistit, jak dále rozvíjet svou praxi díky špičkové klinické péči o pacienty, a to s předvídatelnými a opakovatelnými ...
Je to právě u mladých pacientů po ortodontické terapii, kde se minimálně invazivní rekonstrukce dají zhotovit pomocí moderních kompozitních ...
V posledním desetiletí byly vyvinuty a rozvíjely se nové CAD/CAM (Computer Aided Design/Computer Aided Manufacturing) systémy a materiály pro výrobu ...
CEREC se stal součástí každodenního života v naší praxi, kde pracuji společně se třemi dalšími praktickými zubními lékaři. Neléčíme ...
Představte si následující scénář: pacient klidně a uvolněně vchází do vaší ordinace. Ačkoli je ve vaší praxi poprvé, dobře zná okolní ...
Živý webinář
Po. 11 května 2026
6:00 (CET) Prague
Živý webinář
Po. 11 května 2026
7:00 (CET) Prague
Živý webinář
Út. 12 května 2026
7:00 (CET) Prague
Živý webinář
Čt. 14 května 2026
6:00 (CET) Prague
Živý webinář
Čt. 14 května 2026
8:00 (CET) Prague
Prof. Hani Ounsi DDS PhD FICD
Živý webinář
Út. 19 května 2026
5:00 (CET) Prague
Živý webinář
Út. 19 května 2026
7:00 (CET) Prague
Prof. Dr. med. dent. Ivo Krejci
To post a reply please login or register