Search Dental Tribune

Anna Salat – případová studie bělení zubů

Fotografie: Henry Schein
Anna Salat

Anna Salat

Čt. 11 ledna 2018

uložit

Ukázka z Kompletní průvodce profesionálním bělením zubů

Anna Salat

Klinické případy: Anna Salat – Bělení zubů

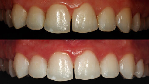
Pacient chtěl zkrášlit úsměv, konkrétně tvar zubů. Ještě před regeneračním zákrokem doporučila doktorka Anna Salat bělení zubů pro co nejlepší estetický výsledek.
Pacient požadoval rychlý zákrok se stálým výsledkem, a proto zvolila doktorka Salat bělicí gel s peroxidem vodíku, který se rozkládá rychleji než peroxid karbamidu.
Použitím nosiče s gelem obsahujícím 6% peroxid vodíku aplikovaným 30 minut denně se pacientův odstín zubů změnil z A35 na OM1 již za dva týdny. Zuby tak byly úspěšně připraveny pro další část zákroku - přímé výplně.

 

Stáhněte si ZDARMA eBook: Kompletní průvodce profesionálním bělením zubů

 

Štítky:
To post a reply please login or register
advertisement
advertisement