„Je velice důležité informovat pacienta o tom, že výsledek bělení není zcela předvídatelný, a že může být v budoucnu přece jen nutné zub opatřit fazetou.“
V jednom z předchozích článků jsme probírali klasickou situaci, které jsme čelili, když jsme potřebovali sladit poškozený nebo diskolorovaný zub ve frontální oblasti se sousedními zuby. V tomto článku bych se chtěl podělit o své zkušenosti s vnitřním bělením a budu rád, sdělíte-li mi na toto téma své tipy a rady.
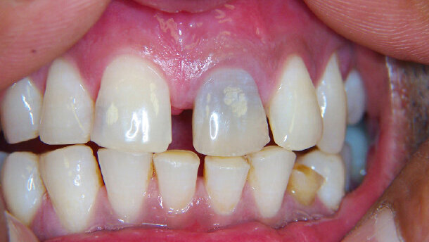
V tomto případě (obr. 1) jsem byl pacientem na fotografii požádán, zda bych mohl nějakým způsobem zlepšit vzhled jeho horního levého velkého řezáku. Nabídl jsem pacientovi dvě možnosti:
1. vnitřní bělení
2. fazetu, která by zub zakryla
Pacient si zvolil vnitřní bělení. Je velice důležité informovat pacienta o tom, že výsledek bělení není zcela předvídatelný, a že může být v budoucnu přece jen nutné zub opatřit fazetou.
Vysvětlení postupu
Odstranil jsem palatinální výplň a důkladně vyčistil dřeňovou dutinu a dokonce odstranil část kořenové výplně, do hloubky 1 mm apikálně od gingiválního okraje. K zapečetění kanálku byl použit skloionomer a kavita byla vyplněna vatovou peletkou napuštěnou gelem Opalescence 10% karbamidperoxidem. Kavita byla utěsněna provizorní výplní. Pacient byl za účelem vyhodnocení výsledku objednán na příští týden.
Po týdnu byl výsledek velice uspokojivý (obr. 2). Provizorní výplň byla odstraněna, a aby se odstranily veškeré zbytky bělicího gelu, byla kavita důkladně vyčištěna vodou. Po naleptání a nanesení bondu na vnitřní stěny dřeňové dutiny, byla kavita vyplněna nejsvětlejším odstínem kompozita, které jsem měl. Pacient měl z rychlé změny diskolorovaného zubu velkou radost.
embedImagecenter("Imagecenter_1_331",331, "large");
Tváří v tvář výzvě
Musím přiznat, že jsem vnitřní bělení již dříve několikrát zkoušel, a to s různými výsledky. Některé zuby na vnitřní bělení vůbec nereagovaly. Tuto skutečnost si dávám do spojitosti s obliterovanými dentinovými kanálky nebo s diskoloracemi, které jsou natolik odolné, že je nelze bělicími prostředky odstranit. U některých úspěšně vybělených zubů se po nějaké době diskolorace objevila znovu, třebaže již ne v tom samém rozsahu jako před bělením.
Dlouhodobý úspěch vnitřního bělení zubů může zklamat dokonce i při použití silnějšího 30% karbamidperoxidu. V tomto případě byly krátkodobé výsledky esteticky velice úspěšné, ale z dlouhodobého hlediska úspěšnost klesla pod 50 %. Je zde také patrné, jak postup souvisí s rizikem externí resorpce kořene. Je doporučováno používání boritanu sodného smíchaného s vodou, takže estetický výsledek je doposud přijatelný a potenciální resorpce je pravděpodobně minimalizována.
Více o vnitřním bělení se můžete dočíst také v některé z mých oblíbených knih, Bonded Porcelain Restorations in the Anterior Dentition, A Biomimetic Approach, od Dr. Pascal Magne a Prof. Urs Belser.
Chcete-li se podělit se svými kolegy o své tipy a triky, navštivte banku znalostí na www.odonti.com a vložte komentář k tomuto případu nebo zveřejněte své vlastní případy.
Anatomická variace horních středních řezáků se dvěma kořeny a dvěma kořenovými kanálky se vyskytuje velmi vzácně. Diagnostika a ošetření ...
Diskolorace zubů je častým estetickým problémem a bělení představuje nejkonzervativnější možností ošetření, a to při srovnání s ...
Ukázka z Kompletní průvodce profesionálním bělením zubů
Ukázka z Kompletní průvodce profesionálním bělením zubů
Bílé zuby jsou již dlouhou dobu esteticky žádoucí. Studie naznačují, že nejméně třetina ...
Bělení zubů je terapeutickou procedurou, která představuje poslední krok ortodontické léčby. Cíle ortodontické léčby jsou jak funkční – ...
STRASBOURG, Francie: V nedávné studii dozoru nad trhem hodnotila Evropská síť oficiálních laboratoří pro kontrolu kosmetiky (OCCLs) kosmetické ...
Anomálie III. třídy lze rozdělit do čtyř skupin na základě skeletálních vztahů a vztahů zubních oblouků, a to na vady s mandibulární ...
Mít bílé zuby (zářivý úsměv) je módním trendem již dlouhou dobu. Světlý zářivý odstín zubů byl dokonce esteticky žádoucí i v době, kdy...
Postupy bělení zubů jsou spojeny s morfologickými změnami povrchu skloviny. V roce 1993 Shannon et al. prokázali ...
Živý webinář
Po. 11 května 2026
6:00 (CET) Prague
Živý webinář
Po. 11 května 2026
7:00 (CET) Prague
Živý webinář
Út. 12 května 2026
7:00 (CET) Prague
Živý webinář
Čt. 14 května 2026
6:00 (CET) Prague
Živý webinář
Čt. 14 května 2026
8:00 (CET) Prague
Prof. Hani Ounsi DDS PhD FICD
Živý webinář
Út. 19 května 2026
5:00 (CET) Prague
Živý webinář
Út. 19 května 2026
7:00 (CET) Prague
Prof. Dr. med. dent. Ivo Krejci
To post a reply please login or register