Bělení zubů je terapeutickou procedurou, která představuje poslední krok ortodontické léčby. Cíle ortodontické léčby jsou jak funkční – obnovit žvýkací funkci, polykání, dýchání a fonaci – tak estetické – vyvážit a harmonizovat obličej a zlepšit úsměv. Za účelem dosažení posledního zmíněného cíle jsou zohledňována různá kritéria: postavení zubů, jejich odstín a tvar, a také tvar rtů. Všechny tyto parametry jsou důležité, ale nejviditelnějším aspektem úsměvu je odstín zubů. Je možno obnovit funkci, napravit dysfunkci okluze, uzavřít diastema nebo dokonce injekčně aplikovat dermální výplně, ale pokud zůstanou zuby zažloutlé, nebude úsměv hezký.
Bělení zubů je terapeutickým řešením, které zesvětlí odstín zubů a obnoví jejich přirozený lesk tím, že odstraní organické skvrny z povrchu skloviny a zabarvující pigmenty v dentinu. Pro ortodontistu převažují u této procedury výhody: provádí se snadno, není invazivní, nevyžaduje použití anestezie a při dodržení správných postupů nepoškozuje zuby. Navíc je to procedura vhodná pro většinu pacientů. Bělení zubů je cenově dostupné, nevyžaduje velké množství materiálu ani mnoho času v ordinaci. Při správně zvoleném postupu a bělicím přípravku je bělení účinné, s dlouhodobou životností vyběleného odstínu. A konečně to hlavní pro pacienty: ošetření je bezbolestné.
Jak bělení funguje?
Odstín zubů se může změnit díky životnímu stylu: kouření, preferovaným potravinám a nápojům, lékům nebo i úrazům zubů. Současný protokol bělení zahrnuje aplikace bělicích přípravků s peroxidem vodíku a karbamid peroxidem – některé přípravky jsou také na bázi perboritanu sodného. Použití perboritanu sodného je však třeba zvážit, protože je klasifikován jako reprotoxický. První dva zmíněné přípravky jsou účinné a bezpečné. Rozdíl mezi nimi spočívá v tom, že peroxid vodíku je aktivní složka a karbamid peroxid je derivát, který se rozkládá na peroxid vodíku a další sloučeniny. Jeho uvolňování je pomalejší. Procento aktivní látky uváděné výrobcem vyjadřuje koncentraci přípravku: 1% peroxid vodíku odpovídá cca 3% karbamid peroxidu.
Obr. 2: Ochrana měkkých tkání při proceduře ordinačního bělení.
Obr. 3: Aplikace bělicího gelu na vestibulární plošky zubů.
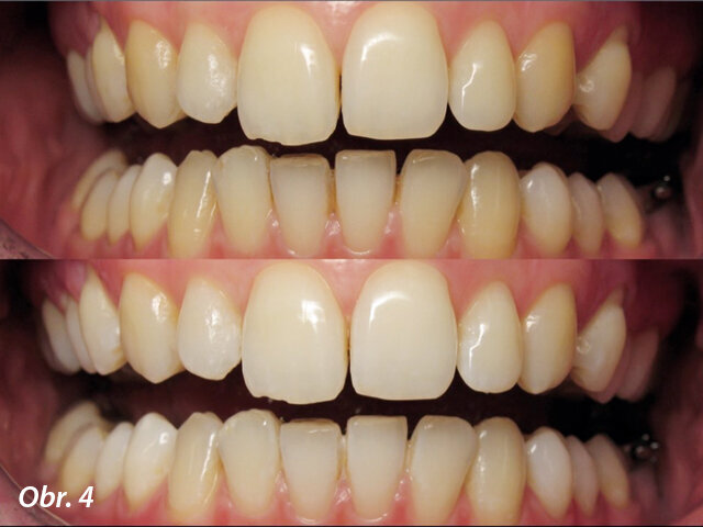
Obr. 4: Situace před a po ordinačním bělení u pacientky s lingválním aparátem.
Obr. 5: Individuální nosič
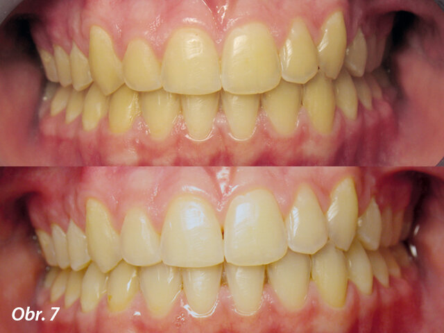
Obr. 7: Klinický případ před a po bělení zubů pomocí univerzálních nosičů.
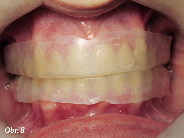
Obr. 8: Univerzální nosič předplněný bělicím gelem na zubech.
Obr. 9: Nanášení laku Profluorid Varnish k léčbě hypersenzitivity zubů
Jaké jsou indikace bělení?
Jsou dvě hlavní indikace bělení zubů: vnitřní pre-eruptivní / post-eruptivní zabarvení a vnější zabarvení zubů. Vnitřní zabarvení se týká převážně klinických případů nekrózy dřeně (vývojové vady zubů, systémová léčba a užívané léky, úraz, endodontické ošetření, endodontická kalcifikace). Mezi vnější zabarvení patří tabákové skvrny, diskolorace způsobené nápoji a potravinami, změny barvy v důsledku stárnutí a fyziologická zabarvení.
Postortodontické bělení zubů umožní estetické dokončení ortodontické léčby. Pacient zaznamená rozdíl – zuby jsou dobře srovnané a bělejší – a „zapomene“, že ortodontická léčba trvala tak dlouho, protože bělení zubů vyžaduje jen několik dní. Bělení je přínosné také pro ordinaci, protože značně přispěje k estetickému výsledku léčby.
Jak provádět bělení
Na klinických případech uvedených níže jsou představeny různé techniky bělení. V prvním případě byla pacientka ortodonticky léčena lingválním aparátem (obr. 1) a přála si vybělit zuby. Vzhledem k typu zabarvení zubů bylo jako nejvhodnější zvoleno ordinační bělení. Je při něm nutno chránit měkké tkáně – dásně, jazyk a rty (obr. 2). Bělicí přípravek se nanáší na vestibulární plošky zubů (obr. 3) – po uplynutí 20 minut se aplikace přípravku opakuje (max. 3 aplikace při 1 návštěvě). Viditelného výsledku lze dosáhnout (obr. 4) i při použití šetrného a účinného přípravku obsahujícího 6% peroxid vodíku (Opalescence Office, Ultradent Products).* 6% koncentrace je hraniční, ale je dostatečně silná na to, aby byl vidět rozdíl okamžitě po bělení. Navíc u takovéto koncentrace je malé riziko vzniku tepelné hypersenzitivity běleného chrupu. Pokračující domácí bělení zahrnuje použití nosičů naplněných bělicím gelem. Zde máme v podstatě dvě možnosti – výrobu individuálních nosičů k vyplnění bělicím gelem nebo použití univerzálních nosičů předvyplněných bělicím gelem.
Pro zhotovení individuálních nosičů nejprve sejmeme otisky obou čelistních oblouků k odlití sádrových pracovních modelů situace v ústech. Na modelech je pak pod tlakem vytvarována k tomuto účelu určená nahřátá fólie, která je po vychladnutí a sejmutí z modelu vhodně zastřižena do požadovaného tvaru (obr. 5). Při další návštěvě pacient obdrží zhotovené nosiče a bělicí produkt spolu s návodem k použití po dobu jednoho až dvou týdnů. Pacient bělí každý den podle návodu výrobce bělicího prostředku a doporučení ošetřujícího lékaře (obr. 6). Pro domácí použití je vhodný karbamid peroxid v 10% nebo 16% koncentraci (Opalescence PF, Ultradent Products). Volba karbamid peroxidu je pro domácí použití velmi vhodná, protože gel uvolňuje peroxid vodíku postupně a po celou dobu, po kterou má pacient nosič na zubech. Bělení je účinnější a výsledek déle vydrží. Volba konkrétní koncentrace závisí na klinickém případu. Pacienti s vyšší citlivostí zubů by měli používat 10% karbamid peroxid. Ostatní pacienti nebo bývalí kuřáci by měli používat 16% karbamid peroxid.
Pokud lékař nechce ztrácet čas se zhotovením individuálního nosiče v ordinaci nebo v laboratoři, je pro domácí bělení možno použít univerzální nosiče již předplněné bělicím gelem (Opalescence Go, Ultradent Products). V tomto případě obdrží pacient při první návštěvě blistry s nosiči předplněnými bělicím gelem. Doma pak pacient aplikuje tyto nosiče deset dní a nechá gel působit vždy po dobu 60–90 minut/den (obr. 7, 8). Pro pacienta i lékaře to je časově i finančně velice úsporný přístup s předvídatelným výsledkem.
Další možností procedury bělení chrupu je bělení již v průběhu ortodontické léčby (zpravidla několik týdnů před jejím dokončením). Lze použít buď předplněné nosiče Opalescence Go, které se přizpůsobí i na zubní oblouk s rovnátky, nebo bělení s ortodontickými alignery (tzv. „neviditelná rovnátka“), které současně slouží jako nosič bělicího gelu. Jejich nevýhodou je, že nemají vytvořené rezervoáry na bělicí gel, který tak může snáze vytéct na gingivu.
U všech typů domácího bělení musí ošetřující lékař pacienta vždy řádně poučit o použití a první aplikaci, tedy první nasazení bělicího nosiče s gelem musí lékař provést v ordinaci.
Ceny materiálů a poplatek za bělení
Ordinační bělení vyžaduje nejméně hodinu času. Lékař nemusí pacientovi po tuto dobu nepřetržitě věnovat přímou pozornost, ale pacient musí být během celé procedury pod dohledem. V případě individuálních nosičů je nutné první sezení pacienta za účelem zhotovení otisků a další za účelem předání zhotovených nosičů a bělicího přípravku. Využití a předání předplněných nosičů sice celkově vyžaduje méně času, ale dle mých zkušeností dobře padnoucí individuální nosiče s rezervoáry pro bělicí gel podstatně zredukují riziko vnikání slin pod nosič, vytékání gelu, a vždy poskytnou optimální výsledky.
Poplatek za bělení závisí na finanční strategii ordinace. Bělení může být zdarma, chceme-li pacienta odměnit po dlouhé a/nebo nákladné ortodontické léčbě, nebo jím kompenzovat nedokonalý konečný výsledek. V případě takovéto odměny se pacient cítí privilegovaně. Jinak se poplatky za výkon v ordinaci vypočítají podle hodinových nákladů ordinace, na základě času potřebného k proceduře. Další možností pro majitele ordinace je určení poplatku na základě ceny účtované konkurenčními ordinacemi. Průměrné celkové náklady na ordinační bělení jsou od 7 000 Kč, na domácí bělení pomocí individuálních nosičů od 4 000 Kč a domácí bělení s předplněnými nosiči Opalescence Go od 2 600 Kč.**
Tipy a triky
V průběhu bělení se může objevit citlivost zubů a/nebo zubních krčků. Lékař má na výběr několik možností: může indikovat buď desenzitizační gely s dusičnanem draselným, např. UltraEz (Ultradent Products), které nebrání bělení, nebo některý z fluoridačních laků, např. Enamelast (Ultradent Products) nebo Profluorid Varnish (VOCO) (obr. 9). Přípravky se nanášejí na povrch zubů buď přímo nebo do bělicích nosičů před/po aplikaci bělení. Fluoridační laky jsou vhodnější pouze na překrytí citlivých zubních krčků, protože vytvářejí krátkodobou dočasnou bariéru mezi zubem a bělicím gelem a mohou zpomalit bělicí proces. Pacientovi lze také nabídnout profylaktický kit (Remin Pro nebo Remin Pro Forte, VOCO) nebo některou z bělicích zubních past pro snížení citlivosti, např. Opalescence Sensitivity Relief – tuto pastu by pacient měl začít používat cca 14 dnů před započetím bělení, během bělení i po bělení. Jestliže výrobce konkrétního bělicího přípravku výslovně neuvádí použití fluoridového přípravku po každé aplikaci bělení, není nutno takovou dodatečnou fluoridaci používat. Naopak její použití může být kontraproduktivní: pacient si může zpomalit a prodloužit bělicí proces.
Obecně je v procesu bělení a nejméně 3 týdny po bělení zubů doporučována „bílá dieta“. Pokud však lékař k bělení používá bělicí gely s neutrálním pH, není nutno, aby se pacient vzdával konzumace nápojů a potravin typu kávy, čaje apod.
Ke snížení citlivosti mohou přispět i správně vyrobené bělicí nosiče s rezervoáry a ostřižené přesně s okrajem gingivy. Rezervoáry se musí vytvořit před formováním nosiče již na sádrovém modelu na vestibulárních plochách zubů pomocí pryskyřice nebo silikonu. Bělení v nosičích s rezervoáry je účinnější (do nosiče se vejde více gelu) a bezpečnější (gel z nosiče tak snadno nevyteče a nepodráždí měkké tkáně).
A co zákon?
V Evropské unii je koncentrace peroxidu vodíku v bělicích gelech, které si pacient na základě předpisu lékaře aplikuje doma sám (tzv. domácí bělení), omezena na 6 % (16 % u karbamid peroxidu). Tato koncentrace je pro bělení většiny zubů dostatečná. V případě, že pacient má těžší formu anorganického zabarvení a domácí bělení není dostatečně účinné, je třeba zvolit ošetření ordinačním bělením s vyšší koncentrací peroxidu vodíku zpravidla v kombinaci s následujícím domácím bělením. Takové ordinační bělení indikuje vždy zubní lékař a je potřeba používat zdravotnické bělicí prostředky schválené pro země EU. Do procesu bělení je možno zapojit také dentální hygienistku.
Závěr
Bělení zubů je procedura, která doplňuje ortodontickou léčbu. Je to poslední zásah, který zviditelňuje rozdíl mezi stavem chrupu před a po léčbě. Technika je jednoduchá a nevyžaduje dlouhá a náročná školení, pouze správné stanovení diagnózy, výběr vhodného bělicího produktu a striktní dodržování výrobcem stanoveného protokolu. Tento nástroj pro zvýšení estetiky zubů má pro ortodontickou ordinaci a stomatologický tým zapojený do ošetření vysokou přidanou hodnotu při relativně nízkých nákladech. Přispívá k významnému rozdílu fotografie před a po ortodontické léčbě a k větší spokojenosti všech zúčastněných: pacienta i celého ošetřujícího týmu.
Autor není v žádném střetu zájmů a děkuje Dr. Shirazi Khanovi za korektury a přátelskou podporu.
Redakční poznámka: Článek byl publikován v mezinárodním vydání časopisu ortho – international magazine of orthodontics, Issue 2/2018.
Dr. Yassine Harichane Vystudoval Paris Descartes University ve Francii a získal tituly MSc a PhD v oboru dentálních kmenových buněk. Provozuje soukromou zubní ordinaci v Kanadě. Kontaktovat jej je možné e-mailem yassine.harichane@gmail.com
To post a reply please login or register