Search Dental Tribune

Stefan Koubi – případová studie bělení zubů

Ilustrační fotografie (Autor: Henry Schein)
Stefan Koubi

Stefan Koubi

Út. 6 března 2018

uložit

Ukázka z Kompletní průvodce profesionálním bělením zubů

Stefan Koubi

Klinické případy: Stefan Koubi – bělení zubů

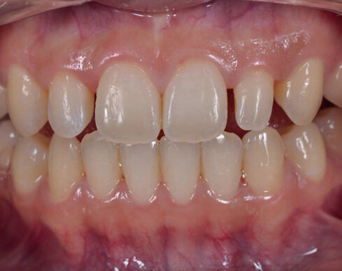
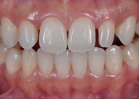
Před regeneračním ošetřením diastemy a mikrodontie vybělil doktor Stefan Koubi pacientovi zuby pro lepší celkový estetický dojem.

Použitím unikátního přípravku s 5% peroxidem karbamidu zdokonalil během dvou týdnů pacientův úsměv. Díky patentovanému složení bělícího systému (NOVON), byl výsledek stejně účinný jako alternativní roztoky s vyšším obsahem peroxidu karbamidu - a s nižší sensitivitou.

Po bělení následovala kombinace lepení kompozit a cementace keramiky pro umocnění výsledného efektu.

 

Stáhněte si ZDARMA eBook: Kompletní průvodce profesionálním bělením zubů

 

Štítky:
To post a reply please login or register
advertisement
advertisement