Search Dental Tribune

TouchWhite – bělení zubů

Ilustrační fotografie (časopis StomaTeam)
Dr. Nguyen Linhlan, Austrálie

Dr. Nguyen Linhlan, Austrálie

St. 1 dubna 2020

uložit

Diskolorace zubů je častým estetickým problémem a bělení představuje nejkonzervativnější možností ošetření, a to při srovnání s ostatními konzervativními technikami používanými za účelem změny barvy zubů. Princip/mechanismus bělení spočívá v pronikání různých kyslíkových radikálů, které vznikají při rozkladu peroxidu vodíku (H2O2), do diskolorovaného dentinu, čímž dochází vlivem oxidační reakce ke změně molekul zabarvujících dentin. Většina přípravků určených k ordinačnímu bělení zubů je na bázi peroxidu vodíku, a často se používají v kombinaci s aktivátorem jako je teplo nebo světlo. Světelné zdroje urychlují proces bělení nahřátím bělicích gelů, a to za účelem zvýšení míry rozpadu kyslíku na kyslíkové radikály (kyslík ve stádiu zrodu), což usnadní uvolnění zbarvujících molekul. Za bezpečný a účinný zdroj vhodný k použití při ordinačním bělení je považována vlnová délka Er:YAG laseru.

Patentovaný přípravek na bělení zubů TouchWhite využívá skutečnosti, že vlnová délka Er:YAG laseru má absorpční vrchol ve vodě, která je hlavní složkou vodných bělicích gelů. Ty pak nemusí obsahovat jakékoliv přídavné absorpční částice. Co je ale ještě důležitější, vezmeme-li v úvahu tepelnou zátěž, pak proces bělení přípravkem TouchWhite představuje nejúčinnější a zároveň i nejméně invazivní možnosti bělení zubů za pomocí laseru. Vzhledem ke své vysoké absorpci v bělicích gelech je Er:YAG laserový paprsek zcela absorbován gelem, čímž nedochází k jeho průniku do pulpální tkáně, případně do tvrdých zubních tkání. Veškerá tepelná energie je pak účinně využita k nahřátí bělicího gelu. Odpadá tak riziko přímého tepelného poškození pulpy a dalších zubních tkání, jak tomu bývá u ostatních metod bělení zubů za pomocí laseru. Zároveň nehrozí jakékoliv riziko náhodného poškození tvrdých zubních tkání, neboť laserový paprsek je při každém pulzu nastaven výrazně pod hranicí ablace pro zubní tkáně. Ve výsledku tedy lze celý proces bělení provést za minimální nežádoucí tepelné zátěže zubu a rychlost celého postupu lze bezpečně zvýšit na 5 až 10 násobek.

Kazuistika

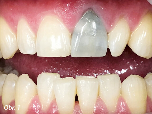
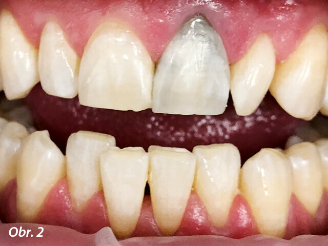
Třicetiletý pacient utrpěl asi před patnácti lety sportovní úraz, při kterém došlo k nekrotickému poškození pulpální tkáně horního levého středního řezáku s následnou diskolorací korunky po prodělaném endodontickém ošetření. Cílem ošetření bylo dosažení světlejšího odstínu zubu pomocí protokolu TouchWhite (laserový systém LightWalker, Fotona), a to před plánovaným zhotovením estetické keramické fazety.

Ošetření

Byla odstraněna kompozitní výplň na palatinální plošce zubu. Gutaperča byla odstraněna do úrovně krčkového dentinu. Za účelem ochrany krčkového dentinu byla nanesena vrstva skloionomerního cementu. Jako bělicí gel byl použit čistý peroxid vodíku (35%). K aktivaci procesu bělení byl použit protokol TouchWhite Fotona. Použili jsme násadec R16 s následujícími parametry: VLP; 0,75 W; 10 Hz. Gel byl aplikován do dřeňové dutiny a na vestibulární plošku zubu. Laserovým paprskem byl střídavě aktivován bělicí gel, a to po dobu 20 sekund na vestibulární plošce zubu a v jeho dřeňové dutině (tři aplikace na každou oblast).

 

Zaujala vás ukázka článku?

Celý článek můžete prostudovat v příslušném vydání časopisu Prevention CZ/SK 1/2020
stáhněte jej ve formátu PDF

 

Dr. Nguyen Linhlan
kaleendentalcare@gmail.com
www.kaleendentalcare.com.au

Štítky:
To post a reply please login or register
advertisement