Search Dental Tribune

Dokonalost a komfort při bělení

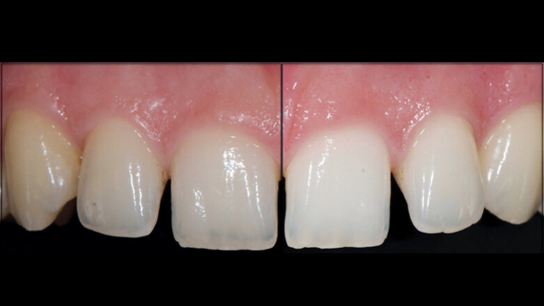
Strategie ošetření produktem White Dental Beauty s obsahem 6% peroxidu vodíku (Fotografie: Angie Segatto)
Angie Segatto

Angie Segatto

St. 1 dubna 2020

uložit

Mít bílé zuby (zářivý úsměv) je módním trendem již dlouhou dobu. Světlý zářivý odstín zubů byl dokonce esteticky žádoucí i v době, kdy vzhled zubů a jejich symetrické uspořádání nebylo prioritou. Krásný úsměv není jen odrazem elegance, zároveň totiž pomáhá lidem získat větší pocit sebevědomí a významným způsobem ovlivňuje jejich socializaci.

Technický a technologický vývoj ve stomatologii nám umožňuje změnit přirozenou barvu zubů za pomoci neinvazivních chemických metod. Materiály a techniky určené k bělení zubů prošly několika generacemi vývoje a dnes jsou považovány za zcela bezpečné, konzervativní a pacienty dobře tolerované metody k dosažení světlejšího odstínu zubů. S ohledem na výše uvedené pokroky na poli materiálů získalo bělení zubů, coby metoda ošetření v zubních ordinacích, významnějšího postavení.

Systémy pro domácí bělení zubů po řadu let využívaly gely na bázi 10–20% karbamid peroxidu aplikované v individuálně zhotovených nosičích. Nedávno se však objevily materiály s nižšími koncentracemi (6–8%) dodávané společně s univerzálními nosiči. V rámci pokroků na poli setů určených k domácímu bělení zubů bylo cílem zvýšení komfortu při použití a zkrácení času potřebného k dosažení výsledků. Na základě dosažených výsledků jsou tyto techniky dnes považovány za nejúčinnější.

Nicméně stále nebyla zcela eliminována citlivost zubů, ke které dochází při používání těchto systémů bělení. S ohledem na individuální strukturální odlišnosti zubní skloviny je citlivost možno popsat z hlediska bolestivosti jako „mírnou“ až „výraznou“. Téměř všichni pacienti si stěžovali na nepříjemnou citlivost zubů při používání setů k domácímu bělení zubů, a to i několik dní po ukončení procedury. Dřívější produkty na bělení zubů obsahující peroxid vodíku byly nahrazeny produkty obsahujícími karbamid peroxidu, ale tato změna problém nevyřešila.

Etiologie citlivosti zubů spojená s bělením není bohužel zcela pochopitelná ani snadno měřitelná; jako možné vysvětlení tohoto mechanismu je nicméně často citována hydrodynamická teorie. Podle tohoto modelu se přípravky na bázi peroxidu vodíku aplikované na povrch zubů dostávají do přímého kontaktu s dentinovými povrchy, přičemž způsobují retrakci výběžků odontoblastů, což vede k rychlému pohybu tekutin uvnitř dentinových tubulů. To se ve výsledku projeví stimulací mechanoreceptorů v periferních oblastech dřeně a vede k pocitu bolesti ve chvíli, kdy jsou zuby vystaveny chladu nebo tlaku, nebo někdy i za běžných podmínek.

Na základě posledních poznatků se na trhu nyní objevil nový přípravek na bělení zubů se speciální molekulární strukturou, která účinně eliminuje problémy s citlivostí zubů. Je to White Dental Beauty – s aktivní složkou zvanou „Novon“. Tato patentovaná aktivní složka má zcela inovativní unikátní vlastnost, a sice že při neutrálním pH zůstává stabilní ve stříkačce, ale po zředění u ní dochází k rychlému zvýšení hodnoty pH. Toto zvýšení hodnoty pH z neutrálního na zásadité způsobuje výraznější uvolňování iontů perhydroxylu, které vede k účinnějšímu bělení. Jedinečné složení Novonu dává bělicím gelům White Dental Beauty nepřekonatelně rychlý účinek bělení, které je zároveň bezpečné, účinné a šetrné k zubům.

Testování White Dental Beauty

Testování tohoto produktu bylo realizováno na mých pacientech, a to za pravidelné odborné kontroly v zubní ordinaci. Pacienti byli požádáni, aby poskytli podrobnou zpětnou vazbu ke standardizovanému aplikačnímu postupu. Testování se zúčastnilo deset pacientů, kteří již dříve podstoupili ordinační bělení. Poslední ošetření (bělení) proběhlo před více než pěti lety za použití materiálu obsahujícího složku snižující citlivost zubů (35% H2O2). Po tomto ošetření si polovina pacientů stěžovala na akutní citlivost zubů, zatímco druhá polovina považovala výslednou bolest za tolerovatelnou.

Při testování nového materiálu jsem použila přípravek s obsahem 5% karbamid peroxidu (White Dental Beauty) a přípravek s obsahem 6% peroxidu vodíku. „Citliví“ pacienti byli ošetřeni přípravkem s obsahem 5% karbamid peroxidu, zatímco zbývající pacienti přípravkem s obsahem 6% peroxidu vodíku.

Proces bělení probíhal podle protokolu StyleItaliano. Změna odstínu zubů byla pravidelně kontrolována v ordinaci, a to každý třetí den. Pacienti byli požádáni, aby si zapisovali své aktivity, zaznamenali četnost použití (každý den nebo jen některé dny), zda nebyl doporučený čas nedostatečný a také zkušenosti s používáním nosičů.

Před vlastním bělením jsem si pořídila extra a intraorální snímky (fotografie), abych zdokumentovala počáteční stav, a zároveň si zaznamenala barevný odstín zubů technikou křížové polarizace (Smile Lite). Popsaný postup jsem zopakovala za stejných podmínek, a to po skončení procesu bělení. U této testovací skupiny vedly procedury bělení prováděné na základě stejného protokolu k těmto zjištěním:

Průměrná doba nošení: 10 dní

Průměrná denní doba nošení: 32 minut

Průměrná změna v barevném odstínu zubu: pět odstínů

Nejlepším výsledkem, kromě obecné spokojenosti účastníků, bylo vymizení citlivosti zubů v průběhu aktivního bělení i po něm.

www.whitedentalbeauty.com

 

Zaujala vás ukázka článku?

Celý článek můžete prostudovat v příslušném vydání časopisu Prevention CZ/SK 1/2020
stáhněte jej ve formátu PDF

 

 

Angie Segatto
moji specializaci předurčil můj vztah k umění. Je velkou výzvou rekonstruovat to, co původně dokonale vytvořila sama příroda, ale u čeho došlo k poškození vnějšími silami. Pro mě je životně důležité předávat ostatním informace, zkušenosti a znalosti. Mým posláním je přenést svou vášeň pro umění ve stomatologii na mé studenty. Oblastmi, o které se zvláště zajímám, jsou záchovná stomatologie a ortodoncie. Pracuji ve své soukromé praxi a zároveň působím jako odborná asistentka na Stomatologické fakultě univerzity v Segedínu (Maďarsko). V současné době absolvují postgraduální doktorandské studium (Ph.D.). Nejnovější výsledky mého výzkumu jsou pravidelně prezentovány na odborných kongresech (Chicago, Istanbul, Seattle atd.) a publikovány v odborných článcích. Segatto Dent’art Studio – www.segatto.hu

 

Štítky:
To post a reply please login or register
advertisement