Search Dental Tribune

Nechirurgická léčba anomálií III. třídy s agenezí laterálních řezáků

Po nasazení horního i dolního fixního aparátu (Fotografie: Dr. Ana Maria Cantor)
Dr. Ana Maria Cantor

Dr. Ana Maria Cantor

Út. 5 března 2019

uložit

Anomálie III. třídy lze rozdělit do čtyř skupin na základě skeletálních vztahů a vztahů zubních oblouků, a to na vady s mandibulární progenií, maxilární retrognathií, kombinací dvou předchozích nebo s normálním vztahem čelistí. 1–3 Prevalence anomálií III. třídy se odhaduje od 1 do 10 %, záleží však na rase, pohlaví a věku. Etiologie může být skeletální nebo dentoalveolární. 4 Incidence ageneze laterálního řezáku ve stálé dentici se odhaduje od 1,6 do 9,6 % 5, 6 a byla prokázána vzájemná souvislost mezi velikostí horní čelisti a agenezemi horních zubů. 6

Terapeutické možnosti pro dospělé pacienty s anomálií III. třídy jsou ortognátní chirurgie nebo tzv. ortodontická kamufláž. 7 Nehledě na to, která z metod je zvolena, pro zlepšení profilu obličeje je třeba dosáhnout zvětšování úhlu konvexity (ANB) s prodloužením horního rtu. 8 Často je obtížné předpovídat výsledek, který může být ovlivněn vestibulární inklinací horních řezáků a následným negativním efektem na estetiku pacientova úsměvu, 9 stejně jako retruzí dolních řezáků se škodlivými účinky na periodoncium.

Kombinace anomálií III. třídy s agenezí laterálních řezáků může klást značné nároky na úspěšné vyléčení vady a současné zlepšení pacientova profilu kvůli menší horní čelisti. U takových pacientů je často doporučována kombinace ortognátní chirurgie a ortodontické terapie s následným zhotovením fixního můstku nebo zavedením dentálního implantátu. 10 Vzhledem k tomu, že pacientka v následující kazuistice neuvažovala o operačním řešení a nepřála si otevírání místa pro dentální implantát, jedinou alternativou byla ortodontická kamufláž. Kazuistika demonstruje léčbu anomálie III. třídy s agenezí horních laterálních řezáků za použití jednoduchého funkčního aparátu III. třídy pro úpravu předozadního vztahu čelistí a následující terapii fixním samoligovacím ortodontickým aparátem.

Diagnóza a léčebný plán
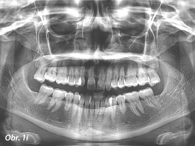
Pacientkou byla 30letá žena s konkávním profilem daným hypoplazií horní čelisti s krátkým horním rtem, prominencí dolního rtu, tupým nasolabiá­lním úhlem a skeletální III. třídou s maxilární retrognacií a mandibulární progenií. Co se týče dentálního nálezu, byla u pacientky diagnostikována III. třída s výrazným stěsnáním, obrácený skus, posun střední čáry o 1 mm, nevýrazná Speeova křivka a ageneze horních laterálních řezáků potvrzená na panoramatickém rentgenovém snímku (obr. 1a–j; tab. 1).

Cílem léčby bylo zlepšit vzhled obličeje pacientky, upravit vadu III. třídy pouze za použití ortodontické terapie, zmenšit konkavitu profilu obličeje a vytvořit plný horní ret, vyřešit obrácený skus, distalizovat posteriorní segment dolní čelisti, horní čelist posunout dopředu a uzavřít mezery po nezaložených laterálních řezácích, upravit špičáky do tvaru laterálních řezáků a první premoláry do tvaru špičáků. Jelikož pacientka odmítla invazivnější možnosti léčby a zvolila si ortodontickou kamufláž, byla upozorněna, že uspokojivý výsledek léčby bude záviset na přísném dodržování léčebného plánu, konkrétně na užívání mezičelistních tahů.

Sekvence oblouků
Při léčbě byla dodržována sekvence oblouků Carriere System (Henry Schein Orthodontics) s tím rozdílem, že u tohoto případu byl první oblouk o průměru 0.016 místo 0.014. Všechny oblouky byly termoaktivní s postupně se zvyšující transformační teplotou při zvětšujícím se průměru oblouků pro omezení sil vyvíjených na periodoncium:
- 0.016 Cu Nitanium (27 °C)
- 0.014 × 0.025 Cu Nitanium (27 °C)
- 0.017 × 0.025 Cu Nitanium (35 °C)
- 0.019 × 0.025 Cu Nitanium (35 °C)

Průběh léčby
Léčba začala nasazením aparátu Carriere Motion 3D Class III (Henry Schein Orthodontics) pro úpravu sagitálního vztahu čelistí a zároveň aparátu Carriere SLX (Henry Schein Orthodontics) s průměrem slotu 0.022 a preskripcí MBT. Tyto pasivní samoligovací zámky byly nasazeny s obloukem 0.016 Cu Nitanium v horní čelisti pro zajištění adekvátního kotvení. Aparát Motion 3D Class III byl nalepen na špičáky a první moláry v dolní čelisti s intraorálními tahy 6 oz. a průměrem 3/16. Jednalo se o tahy III. třídy, které pacientka nasazovala ke kanylám horních druhých molárů. Nivelizace a harmonizace horního oblouku byla provedena za použití oblouku Cu Nitanium 0.016 a před bukální kanyly prvních molárů byly na obě strany umístěny zarážky tak, aby napomáhaly protruzi horního oblouku.

Díky dobré spolupráci pacientky bylo dosaženo správné interkuspidace během 4 měsíců; negativní schůdek se změnil během pěti měsíců ve skus hrana na hranu (obr. 2a–c). V této fázi byl sejmut aparát Motion a na dolní zuby byl nasazen fixní aparát – Carriere SLX slot 0.022 MBT preskripce, pasivní samoligující zámky (obr. 3a–c).

Výsledky léčby
Po 16 měsících byla léčba ukončena. Profil pacientky se značně zlepšil, hypoplazie horní čelisti se vyřešila stejně jako obrácený skus a anomálie III. třídy. Pacientka měla plnější horní ret, harmonickou linii úsměvu, odpovídající průběh gingivy, chrup bez stěsnání a vyhovující překus a incizální schůdek. Dobrého skusu bylo dosaženo nahrazením nezaložených laterálních řezáků remodelovanými špičáky a umístěním upravených prvních premolárů do místa špičáků (obr. 4a–c). Kvůli úpravě špičáků a prvních premolárů do anatomického tvaru byla provedena gingivoperiosteoplastika diodovým laserem, dále byly zkráceny hroty špičáků a jejich distální a meziální hrany byly dostavěny kompozitní pryskyřicí. Palatinální hrbolky prvních premolárů byly zkráceny a rekonstruovány tak, aby netvořily artikulační překážku (obr. 5a–j; tab. 2).

 

Zaujala vás ukázka článku?

Celý článek můžete prostudovat v příslušném vydání časopisu Ortho CZ/SK 1/2019
stáhněte jej ve formátu PDF

 

 

Dr. Ana Maria Cantor pracuje jako ortodontista v soukromé praxi OdontoKids clinic, Málaga, Španělsko. E-mail: anamacantor@yahoo.es

 

Štítky:
advertisement
advertisement