Situace na počátku léčby (Fotografie: Dr. Tommaso Castroflorio | Dr. Edoardo Mantovani | Dr. Federica Casasco | Dr. Paola Testa & Dr. Andrea Deregibus)
Typickým příznakem parodontitidy je zánět související s mikrobiálním osídlením u hostitele, který vede k úbytku kosti a narušení závěsného aparátu zubu. Tvorba biofilmu iniciuje zánět dásní a napomáhá rozkladu tkání.1 U mnoha parodontologických pacientů se může projevovat patologická migrace zubů, a u nich pak představuje důležitou součást léčby ortodoncie, která stabilizuje zuby a zlepší gingivální zdraví. K poskytnutí správné léčby těmto pacientům je zapotřebí multidisciplinárního přístupu a spolupráce mezi ošetřujícími specialisty.
Ortodontická léčba je doporučována ve všech případech, v nichž může nevyřešená malpozice zubů vést ke ztrátě periodontální opory a zhoršení stavu parodontu, jako například:
Stěsnání zubů (v těchto oblastech dochází ke zvýšené kumulaci plaku2 a ve srovnání s oblastmi bez stěsnání se zde nachází zvýšený počet periopatogenních druhů bakterií)
Okluzální trauma
Hluboký skus spojený s přímým kontaktem horních řezáků a periodontálních tkání antagonistů
Patologická migrace zubů (Pathological Tooth Migration = PTM), často spojená se zvýšenou mobilitou
PTM je častou komplikací mírné až závažné parodontitidy a je častou motivací pro to, aby pacienti vyhledali parodontologické ošetření. Výskyt PTM bývá uváděn u 30,03 až 55,80 % parodontologických pacientů. Etiologie PTM se zdá být multifaktoriální. Hlavním faktorem se jeví úbytek alveolární kosti a jsou k dispozici informace založené na důkazech naznačující, že podstatnou roli v etiologii PTM hraje rozklad periodontálních tkání.3 Pozici zubu také ovlivňují okluzální faktory, tlak na měkké tkáně způsobovaný tvářemi, jazykem a rty, a řada orálních zlozvyků.
Zvláště důležitou roli v PTM pravděpodobně hraje i specifická část periodoncia, kterou jsou transseptální vlákna. Ta tvoří propojení od zubu k zubu a předpokládá se, že pomáhají udržovat kontakty mezi zuby v celém zubním oblouku.3 Terapie závažné PTM často zahrnuje ortodontickou léčbu, které předchází nechirurgická a chirurgická parodontologická léčba a následuje protetické ošetření.
Korekci PTM je možno rozdělit do čtyř kategorií:
Extrakce a náhrada migrujících zubů, je-li migrace velmi závažná
Spontánní korekce PTM v raných fázích po parodontologickém ošetření
Omezená nebo podpůrná ortodontická léčba
Konvenční ortodontická léčba3
Co je během ortodontického posunu zubů zásadní, je zajištění dobré dentální hygieny. Aby byl zánět pod kontrolou, měla by se každý měsíc provádět odborná profylaxe a odstraňování plaku. Je-li narušena periodontální opora, mohou i slabé ortodontické síly vést ke srovnání zubů bez iatrogenního poškození: ortodontické síly spolu se zánětem mohou vystupňovat rozklad pojivových tkání.4
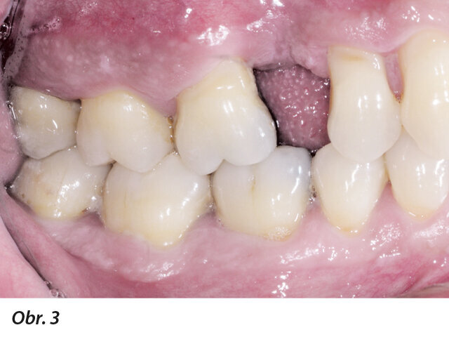
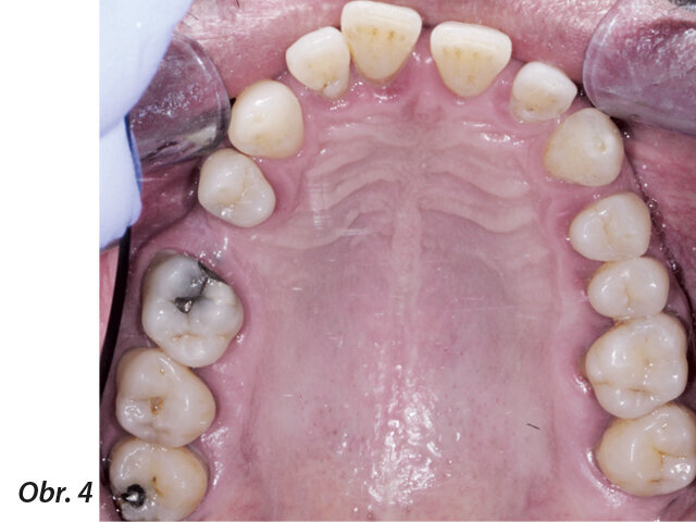
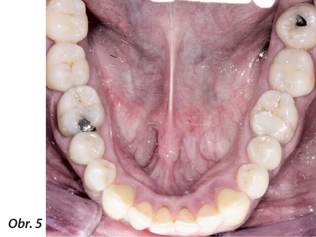
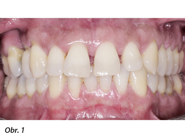
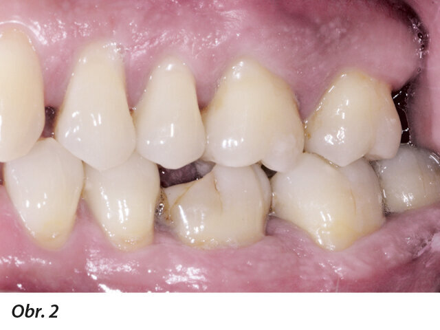
Obr. 1–5: Fotografi cká dokumentace počátečního stavu před parodontologickým ošetřením
Obr. 1–5: Fotografi cká dokumentace počátečního stavu před parodontologickým ošetřením
Obr. 1–5: Fotografi cká dokumentace počátečního stavu před parodontologickým ošetřením
Obr. 1–5: Fotografi cká dokumentace počátečního stavu před parodontologickým ošetřením
Obr. 1–5: Fotografi cká dokumentace počátečního stavu před parodontologickým ošetřením
Další výzvu pro lékaře představuje ortodontický posun zubů v případě výskytu nitrokostních defektů. Několik studií naznačuje, že ortodontický posun zubů po chirurgickém parodontologickém ošetření může mít vliv na morfologii kostních defektů, snížit hloubku chobotů a napomoci hojení pojivových tkání.5–7 Všech pozitivních změn v opěrném aparátu bylo dosaženo pouze tehdy, pokud byla zajištěna dobrá dentální hygiena.
Protože při ortodontické léčbě mají procedury orální hygieny podstatný vliv na periodontální zdraví, literatura zdůrazňuje spojení mezi zvýšením indexu plaku a zhoršením celkového stavu orálního zdraví u ortodontických pacientů, především jsou-li léčeni pomocí fi xních aparátů.8–11 Použití snímatelných aparátů může minimalizovat negativní vlivy na periodontální zdraví související s ortodontickou léčbou, protože umožňuje pacientům snáze provádět orální hygienu.12
V posledních letech vyhledává ortodontickou léčbu stále větší počet dospělých pacientů a požadují estetické a pohodlné alternativy konvenčních fixních aparátů. Cílem této kazuistiky je vyzdvihnout význam multidisciplinárního ošetření u pacienta s celkovou chronickou závažnou parodontitidou, klasifikovanou jako úroveň 2 (patrný úbytek aproximálního závěsného aparátu ≥ 5 mm u dvou nebo více nesousedících zubů), fáze III a stupeň B.1
Materiály a metody
49letý pacient přišel na naše oddělení se stížností na krvácení dásní a rozestupování frontálních zubů (obr. 1–5).
Léčba byla zahájena instruktáží správné orální hygieny a motivací spolu s odstraněním zubního kamene a vyhlazením kořenů. Biologický faktor zubů 18, 17, 16, 26, 38 a 48 byl vyhodnocen jako klinicky beznadějný a zuby byly extrahovány. Po etiologické parodontologické léčbě byla provedena řízená regenerace tkání (Guided Tissue Regeneration = GTR) kolem zubů 15, 14, 12, 11, 21, 24 a 25. Osm měsíců po GTR byla realizována ortodontická léčba pomocí systému Invisalign (Align Technology).
Zaujala vás ukázka článku?
Celý článek můžete prostudovat v příslušném vydání časopisu Dental Tribune CZ/SK 2-3/2020, stáhněte jej ve formátu PDF
Dr. Tommaso Castroflorio je docentem na katedře chirurgických věd Stomatologické fakulty Univerzity v Turíně v Itálii.
Spoluautoři: Dr. Edoardo Mantovani | Dr. Federica Casasco | Dr. Paola Testa & Dr. Andrea Deregibus; Itálie
To post a reply please login or register