Parodontitida je považována za jeden z největších problémů dutiny ústní současné populace. V obecném povědomí dosud přetrvává mylný názor, že zdravý zub je zub bez kazu. Pro správnou funkci celého chrupu je neméně důležitý i zdravý parodont. Péče dentální hygienistky je pro prevenci tohoto postižení velmi důležitá, ale bohužel stává se prioritou až v době, kdy se objeví komplikace v podobě krvácení dásní, parodontitidy a v nejhorším případě může dojít až ke ztrátě postižených zubů, kde bývá jakákoliv pomoc i zubního lékaře parodontologa marná.
Možností, jak ošetřit pacienta trpícího parodontitidou v praxi dentální hygienistky je několik. Nutné je vzít do úvahy zdravotní stav pacienta a také zhodnotit stav daného zubu/zubů a parodontu a jeho/jejich prognózu. Pokud je zub postižen kazem, lze jej v dnešní době velmi snadno opravit. Pokud však chceme vyřešit problém v postiženém parodontu, řešení tak snadné není. Parodontitis neboli parodontitida je onemocnění, které je převážně způsobeno infekcí bakterií zubního plaku. Parodontitida může zvyšovat i riziko systémových onemocnění, jako jsou kardiovaskulární a respirační onemocnění, artritida nebo diabetes. Na destrukci parodontu mají určitý vliv i příčiny nemikrobiální, a proto je důležité při plánování možností ošetření brát v úvahu i toto.
V praxi máme několik možností, jak se podílet na ošetření postiženého parodontu – od ručních nástrojů, přes ultrazvuk a jiné přístrojové vybavení. Nutné je určit biologický faktor neboli nakolik je postižen závěsný aparát, jaká je resorpce přilehlé alveolární kosti, kde se nachází spojovací epitel, jaké jsou ústupy gingivy. Nutné je také posoudit rizikové faktory, vč. schopnosti spolupráce pacienta, jeho věk, celkové onemocnění, kouření a podobně. Zjištěná rizika a stav parodontu jsou podkladem i pro rozšíření o lokální nebo celkovou chemickou, případně chirurgickou léčbu.
Pro efektivní profesionální péči je základem zavedení určitého systému v práci. Výběr nástrojů, pracovního postupu je pro prevenci a léčbu každého pacienta velmi individuální. To znamená, že teprve po důkladném vyšetření plánujeme preventivní, léčebnou a udržovací terapii. Cílem naší léčby je obnova poškozených tkání parodontu do stabilizovaného stavu a zabránění dalším ztrátám.
Základem je kompletní mechanické odstranění biofilmu, zubního kamene a nekrotických tkání. Výsledkem mechanického odstranění nánosů je vytvoření biologicky vhodného povrchu kořene zubu, na kterém se obnoví fyziologická mikrobiální flóra.
V první fázi mechanické léčby, po informování pacienta o možnostech zlepšení stavu chrupu a instruktáži ústní hygieny vhodnými pomůckami, přistupujeme k odstranění měkkých nánosů plaku a dostupných nánosů zubního kamene. Po zhodnocení stavu parodontu je možno použít ruční nástroje, ultrazvuk nebo „pískovačku“ s jemným práškem vhodným pro supra i subgingivální ošetření, kterými lze očistit povrchy zubů od plaku a lehce mineralizovaného zubního kamene. Poté se individuálně zabýváme odstraněním nerovností na kořenech zubů ručními nástroji, případně při přítomných tvrdých nánosech i za pomoci přístrojů, jako jsou ultrazvuk nebo Vector. Podle množství přítomného zubního kamene si práci rozčleníme na kvadranty, případně sextanty. Důležité je při výběru vhodných přístrojů, které nám usnadňují a urychlují práci, znát nejen principy jejich fungování, postupy při ošetření, péči o přístroj, ale i rizika hrozící z nesprávného použití a kontraindikace použití. Mezi nejzávažnější způsobené škody můžeme zařadit poškození měkkých a tvrdých tkání v dutině ústní, ale i zhoršení stavu při závažných celkových onemocněních.
Práce s ručními nástroji bývá časově a fyzicky náročná, proto převážná část dentálních hygienistek v současnosti preferuje kombinaci ručního a ultrazvukového ošetření, které šetří čas i energii. Práce s vysokofrekvenčními přístroji se výrazně liší od použití ručních nástrojů. Přístroje se dělí do několika základních skupin podle způsobu generování kmitů pracovní koncovky. Vysokofrekvenční přístroje rozdělujeme na pneumatické a ultrazvukové.
Pneumatické zařízení je poháněno stlačeným vzduchem. U modernějších zařízení může být frekvence i amplituda kmitů pracovního hrotu, za pomoci regulace tlaku vzduchu, pozměněna nebo nastavena podle potřeby. Vibrace vznikají díky dutému válci uvnitř přístroje, který působením vzduchu začne rotovat. Poté jsou vzniklé vibrace přeneseny na pracovní konec nástroje. Hrot přístroje se pohybuje po kruhové až eliptické trajektorii. Jako pracovní plochu přístroje můžeme označit hrot a boční plochy koncovky. Přístroj je možno připojit přímo na turbínu nebo vzduchový motor, proto nepotřebuje další pozici na stomatologické soupravě. Frekvence kmitů je nižší než u piezoelektrických nebo magnetostrikčních přístrojů. S ohledem na nízkou frekvenci řadíme pneumatické přístroje mezi zvukové, nikoliv mezi ultrazvukové. Přístroje samy o sobě nevytváří teplo, ale i přesto je nutné chlazení vodou. Chladicí tekutina totiž eliminuje teplo, které vzniká při tření mezi pracovním hrotem a povrchem zubu.
Ultrazvukové přístroje dělíme podle způsobu, jakým dochází ke vzniku kmitů, na magnetostrikční a piezoelektrické. Hrot koncovky se pohybuje po eliptické trajektorii. Při použití magnetostrikčních přístrojů je důležité brát v potaz, že v závislosti na eliptickém tvaru kmitů není hrot nástroje v každém směru stejně aktivní. Nejčastěji používaným typem jsou piezoelektrické ultrazvuky. Principem zařízení je krystal křemene, uložený v rukojeti přístroje, který zajišťuje tvorbu kmitů. Hrot nástroje se pohybuje po lineární trajektorii. Činnost těchto přístrojů je doprovázena tvorbou tepla. Teplo vzniká v důsledku tření mezi pracovním hrotem koncovky a povrchem zubu, ale i vstřebáváním akustické energie, která je přenášena do zubu. Nárůst tepla je nebezpečný obzvlášť pro zubní dřeň. Proto je nedílnou součástí pracovní části koncovky systém chlazení. Existuje celá řada různě tvarovaných koncovek, vhodných do různých oblastí dutiny ústní. Základem je přiložení konvexní plochy koncovky tak, aby byla v pevném kontaktu s povrchem zubu.
Další z možností je použití Vectoru. Tento přístroj je modifikací piezoelektrického ultrazvukového přístroje. Zdroj ultrazvuku přenáší energii na rezonanční tělísko ve tvaru kroužku, kroužek se deformuje a tím jsou indukovány vertikální pohyby nástroje, upnutého v úhlu 90 stupňů na osu násadce. Kromě čistě vertikálních pohybů se nevyskytují jiné záchvěvy a mechanické vibrace běžné u zvukových a ultrazvukových scalerů. Z tohoto důvodu není potřeba vysokých dávek vody k chlazení (dostačujících je 6 ml za minutu) a přiváděná voda se nerozptyluje ve formě aerosolu. Tekutina přiváděná k nástrojům Vectoru slouží k nepřímému navýšení dynamické energie ultrazvuku na ošetřovaných plochách. Jde o princip podobný ultrazvukovým čisticím lázním. Tato metoda odstraňování zubního kamene je šetrnější než účinek klasického ultrazvuku. Koncovka Vectoru je šetrnější k povrchu kořenového cementu, dentinu a k měkkým tkáním.
Tento přístroj není novinkou, existuje od roku 1999, nyní je k dispozici na trhu jeho novější varianta, Vector „druhé generace“. Od předešlého typu se liší lehčím násadcem, větším zásobníkem na vodu a snazším čištěním přístroje.
Názor, že ošetření tímto přístrojem je málo účinné a pomalé, pochází od lékařů nebo hygienistek, kteří násadcem Vector Paro odstraňovali zubní kámen, který je však indikací pro scaler, který může být součástí přístroje Vector. Násadec Vector Paro je určen především pro šetrné dočištění kořene zubu, popřípadě pro ošetření pacientů s implantáty.
Vector: lineární ultrazvuk a scaler
U přístroje je k dispozici buď jeden násadec Vector Paro, anebo dva násadce, a to Vector Paro a scaler. Oba násadce pracují na bázi ultrazvuku, rozdíl je především v dráze, kterou koncovka násadce opisuje, a v míře kontaktu se zubní tkání. Scaler koncovka opisuje zpravidla tvar osmičky a odstraňuje usazeniny výhradně kontaktně, voda slouží k chlazení koncovky. Koncovka násadce Vector Paro se pohybuje lineárně, po jedné ose tam a zpět, podél kořene zubu. Voda, společně s tekutinou Vector Fluid, zaplní parodontální kapsu, a ultrazvuková energie se přenáší v tomto tekutém prostředí na povrch zubního kořene, a to i v místech, kde se koncovka kořene přímo nedotýká. Dalo by se říci, že se jedná o čištění kořene bezkontaktně jako na bázi ultrazvukové čističky na čištění nástrojů. Kromě toho mají částečky hydroxylapatitu obsažené v tekutině Vector Fluid čisticí a lešticí efekt.
Další funkcí hydroxylapatitu je především snížení citlivosti zubní tkáně během ošetření i v následujících dnech po něm. Studie prof. Andrease Brauna z Bonnu ukázala, že pacienti vnímají méně bolesti během ošetření Vectorem ve srovnání s ošetřením ručními nástroji nebo scalerem. Tekutina Vector Fluid s hydroxylapatitem může být aplikována i během ošetření scaler násadcem, a umožňuje tak snížit citlivost na ošetření už během fáze odstranění zubního kamene.
Obr. 1: Správné postavení Paro násadce při subgingiválním ošetření
Obr. 2: Sada koncovek na ošetření dentálních implantátů
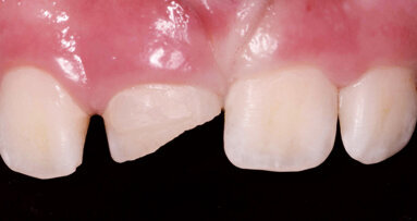
Obr. 3–5: Intraorální nález při vstupním vyšetření
Obr. 3–5: Intraorální nález při vstupním vyšetření
Obr. 3–5: Intraorální nález při vstupním vyšetření
Obr. 6: Hloubka parodontálních kapes u pacientky při vstupním vyšetření
Obr. 7: Intraorální nález u pacientky při recallu
Obr. 8: Detail dolního frontálního úseku při recallu
K osvojení práce s přístrojem Vector se nevyžaduje žádné zvláštní školení. Při práci s koncovkou Vectoru se pohybujeme paralelně s povrchem kořene, a to bezbolestně, šetrně a samozřejmě bez poškození zubu a okolních tkání (obr. 1). Výbava tohoto přístroje nabízí řadu koncovek. Součástí přístrojového vybavení jsou:
1. Kovové násadce k parodontální terapii, příp. k čištění povrchu zubů
- Paro kyreta: je určena k ošetření aproximálních plošek
- Paro lanzeta: je určena k ošetření labiálních, bukálních a orálních plošek do hloubky 5 mm
- Paro sonda Plus: jedná se o univerzální sondu, která slouží k ošetření aproximálních, orálních a vestibulárních plošek do hloubky 5 mm
- Paro sonda přímá: je učena k subgingiválnímu a supragingiválnímu ošetření labiálních, bukálních a orálních plošek
- Paro sonda ohnutá: je určena k ošetření furkací
2. Nástroje z uhlíkových vláken (obr. 2) k parodontální profylaxi a terapii periimplantitid
- Recall sonda: je určena k ošetření labiálních, bukálních a orálních plošek)
- Recall kyreta: je určena k ošetření aproximálních plošek
- Supra sonda flexibilní: je určena k odstranění změn zabarvení, oplachu a leštění povrchu zubů, resp. kořenů
- Periimplant soft
- Periimplant hard
3. Plastová flexibilní sonda k čištění zubů
Ceněnými koncovkami jsou zejména uhlíkové koncovky k ošetření pacientů s implantáty. Pacientů ošetřených náhradami kotvenými na dentálních implantátech pro finanční dostupnost rychle přibývá. Kovovými nástroji a koncovkami implantáty ošetřovat nelze – k dispozici jsou plastové či titanové nástroje, nebo speciální implantologická ultrazvuková koncovka. Ošetření pacientů koncovkami přístroje Vector není nijak složité. Při zavedení koncovky v nesprávné poloze nebo zvýšeném tlaku na koncovku, přístroj toto zaznamená a koncovka se automaticky vypne. Koncovku je třeba znovu k povrchu kořene přiložit a ta následně znovu začne pracovat. Pro účinnou práci s přístrojem Vector je důležitý systematický postup. Podle částí zubu, na který se zaměřujeme, vyměňujeme pracovní koncovky a postupně je nasazujeme do nástavce tak, aby zakřivení koncovky umožnilo snadný přístup k ošetřované ploše zubu. Při práci s Vectorem je zachována vysoká taktilní vnímavost, protože nedochází k nežádoucím přídatným vibracím koncovky, díky tomu můžeme kontrolovat povrch zubu během ošetření.
Práci s Vectorem je dobré naplánovat tak, aby proběhlo objednání pacientů určených pro zákrok Vektorem v ordinační době za sebou, aby byla eliminována ztráta podpůrné čisticí směsi Vector Fluid polish. Při doporučení subgingiválního ošetření, kde ošetřující lékař požaduje scaling u zubů s úzkými a hlubokými parodontálními defekty, které jsou pro svou ztíženou dostupnost velmi těžce ošetřitelné, nabízí se použití tohoto přístroje s rovnými koncovkami, kterými lze takové ošetření snadno provést.
Zaujala vás ukázka článku?
Celý článek můžete prostudovat v příslušném vydání časopisu Prevention CZ/SK 1/2020
stáhněte jej ve formátu PDF
Štítky:
Typickým příznakem parodontitidy je zánět související s mikrobiálním osídlením u hostitele, který vede k úbytku kosti a narušení závěsného...
„Vzhledem k vývoji sociodemografických charakteristik pacientů musí být zubní lékaři lépe vybaveni k rozpoznávání příznaků systémových ...
Boston, Mass., USA: Nadváha a tučnota sú spájané s narastajúcim rizikom množstva chronických chorôb, ako ...
Jednou za čas přinášejí některé případy do naší praxe něco výjimečného: např. neobvyklé anatomické struktury, jako je neobvyklé ...
Endodontické ošetření zubů s nedokončeným vývojem představuje v endodoncii zvláštní výzvu. Zatímco u laterálních zubů je příčinou ...
DOHA, Katar: Vzhledem k tomu, že je parodontitida i onemocnění COVID-19 spojováno se systémovým zánětem, zkoumali vědci z Katarské univerzity a ...
Účel preparace systému kořenových kanálků je dobře znám a současné techniky zahrnují použití ...
Anatomická variace horních středních řezáků se dvěma kořeny a dvěma kořenovými kanálky se vyskytuje velmi vzácně. Diagnostika a ošetření ...
Při práci s dentálními implantáty je nutno dodržovat celou řadu specifických pravidel týkajících se jak chirurgické fáze, tak fáze protetické...
Pacient se ke mně dostavil s akutní bolestí v horním levém kvadrantu. U zubu 26 byla diagnostikována akutní apikální periodontitida a byl ošetřen...
Živý webinář
Po. 11 května 2026
6:00 (CET) Prague
Živý webinář
Po. 11 května 2026
7:00 (CET) Prague
Živý webinář
Út. 12 května 2026
7:00 (CET) Prague
Živý webinář
Čt. 14 května 2026
6:00 (CET) Prague
Živý webinář
Čt. 14 května 2026
8:00 (CET) Prague
Prof. Hani Ounsi DDS PhD FICD
Živý webinář
Út. 19 května 2026
5:00 (CET) Prague
Živý webinář
Út. 19 května 2026
7:00 (CET) Prague
Prof. Dr. med. dent. Ivo Krejci
To post a reply please login or register