Search Dental Tribune

Endodontické ošetření horního středního řezáku s atypickou anatomií

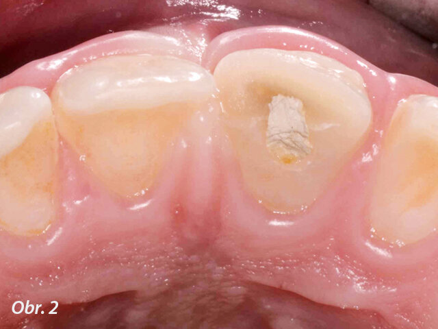
Endodontické ošetření horního středního řezáku (Fotografie: autoři článku)
MDDr. Radovan Žižka, Ph.D. a kol.

MDDr. Radovan Žižka, Ph.D. a kol.

Po. 24 září 2018

uložit

Anatomická variace horních středních řezáků se dvěma kořeny a dvěma kořenovými kanálky se vyskytuje velmi vzácně. Diagnostika a ošetření této anatomické variace je výzvou pro praktického zubního lékaře i specialistu v endodoncii. V článku je prezentována kazuistika endodontického ošetření horního středního řezáku se dvěma kořeny a dvěma kořenovými kanálky.

Úvod

Důkladná znalost morfologie kořenů a systému kořenových kanálků je jedním ze zásadních předpokladů úspěšného endodontického ošetření. Ošetření může být neúspěšné, pokud ošetřující lékař nerozpozná neobvyklou anatomickou variaci. Horní střední řezáky se v naprosté většině případů vyskytují jako jednokořenové zuby s jedním kořenovým kanálkem. Přítomnost dalších kořenových kanálků je velmi vzácná1. Cílem tohoto sdělení je prezentace kazuistiky endodontického ošetření horního středního řezáku se dvěma kořeny a dvěma kořenovými kanálky.

Kazuistika

Na konziliární vyšetření se dostavil 11letý pacient s doprovodem, s žádostí od svého praktického zubního lékaře o provedení endodontického ošetření horního středního stálého řezáku (zub 11). Před třemi měsíci došlo k traumatu a komplikované šikmé zlomenině klinické korunky zubu 11. Tři dny po úrazu se dostavil k praktickému zubnímu lékaři, kde byla provedena exstirpace zubní dřeně, aplikován hydroxid vápenatý a zhotovena provizorní výplň. Zub 11 byl od té doby opakovaně citlivý na skus a po několika návštěvách u praktického zubního lékaře byl referován ke konziliárnímu vyšetření. Pacient i doprovod jsou velmi dobře motivovaní a spolupracující.

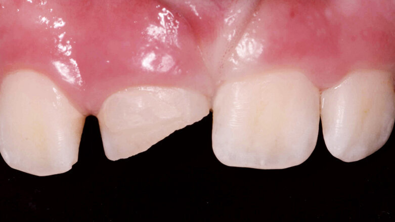
Při klinickém vyšetření nacházíme sanovaný smíšený chrup odpovídající věku pacienta. Zub 11 je poklepově a palpačně nebolestivý, parodontální sondáž je v mezích fyziologické normy. Z vestibulárního pohledu tvarově a velikostně odpovídá kontralaterálnímu zubu (obr. 1), z okluzního pohledu je vestibuloorální rozměr nepatrně větší než u zubu 21 (obr. 2). Šikmá fraktura zubu 11 má meziální okraj cca 1 mm nad okrajem marginální gingivy a distálně zasahuje do incizální třetiny klinické korunky. Dle diagnostického intraorálního rentgenového snímku je ukončen vývoj kořene s přítomným periapikálním nálezem a projasněním na meziálním aspektu kořene. Na ortoradiálním intraorálním rentgenovém snímku, ve srovnání se zubem 21 není jasně zřetelný průběh kořenového kanálku (obr. 3) a na excentrickém rentgenovém snímku je viditelný náznak kontury druhého kořene (obr. 4).

 

V topické anestezii Lidocain Egis 10 % (EGIS Pharmacaeuticals, Budapešť, Maďarsko) a infiltrační anestezii 1,7 ml Ubistesin (3M ESPE, Maplewood, USA) byl nasazen kofferdam. Po odstranění provizorní výplně byl trepanační otvor více extendován ve vestibuloorálním směru. Byly nalezeny dva vstupy do kořenových kanálků, přičemž vstup do bukálního kořenového kanálku byl protáhlý bukálně a celkově se vstupem do palatinálního kořenového kanálku vytvářely tvar písmene C. Po stanovení pracovních délek pomocí apexlokátoru byly oba kořenové kanálky rotačně opracovány systémem Hyflex CM (Colténe/Whaledent, Akron, USA) až na konečný nástroj ISO 35/04. Mezi jednotlivými nástroji byla preparační drť odplavena výplachem 2,5% chlornanem sodným. Po opracování kořenových kanálků byla provedena aktivace výplachu pomocí ultrazvuku (passive ultrasonic irrigation). Následně byly vyzkoušeny hlavní gutaperčové čepy a zhotoven měřicí intraorální rentgenový snímek v excentrické projekci (obr. 4). Dále byl proveden výplachový protokol 2,5% chlornanem sodným po dobu 20 minut následovaný výplachem 17% roztokem kyseliny ethylendiamintetraoctové po dobu 1 minuty. Na závěr byly kořenové kanálky vypláchnuty 5 ml 2,5% chlornanu sodného. Po vysušení kořenových kanálků papírovými čepy byly kořenové kanálky zaplněny technikou vertikální kondenzace. Ihned po zaplnění byl zhotoven kontrolní intraorální rentgenový snímek v excentrické projekci. Následně byla cavum pulpae očištěna 96% ethanolem a mikroštětečkem. Vnitřní povrch zubu byl opískován a zubní tkáně připraveny technikou total etch a adhezivním systémem Optibond FL.

 

Zaujala vás ukázka článku?

Celý článek můžete prostudovat v příslušném vydání časopisu Roots
stáhněte jej ve formátu PDF

 

MDDr. Radovan Žižka, Ph.D., Ústav normální anatomie, Univerzita Palackého v Olomouci, Privátní stom. praxe, Praha. Absolvoval studium oboru zubní lékařství na Lékařské fakultě Univerzity Palackého v Olomouci v roce 2012, kde následně obhájil i titul Ph.D. V roce 2015 ukončil individuální program specializace v endodoncii (IPSE) vzdělávacího programu I love endo. V současné době pracuje v soukromých praxích v Olomouci a Skalce nad Váhom, kde se zaměřuje výhradně na endodoncii. Je certifikovaným členem Evropské endodontické společnosti, členem Americké asociace endodontistů a aktivním členem České endodontické společnosti.

MDDr. MUDr. Jiří Šedý, Ph.D., MBA, FADI, FICD, (nar. 1980), Czech Educational and Dental Research Innovative Group (CEDRIG), Brno. Vystudoval obor všeobecné lékařství i obor zubní lékařství na 1. LF UK v Praze. Na 2. LF UK obhájil titul PhD, na Czech Management Institute titul MBA. Byl jmenován the Fellow of the Academy of Dentistry International (FADI) a the Fellow of the International College of Dentists (FICD). Je autorem nebo spoluautorem 10 monografií a více než stovky vědeckých publikací, které byly dle WOS 380× citovány. Je držitelem 28 ocenění (mj. Česká hlava, Cena Josefa Hlávky, Cena učené společnosti ČR). Ve své praxi se specializuje zejména na mikroskopickou stomatologii a chirurgii. Rovněž působí jako externí vyučující na Univerzitě Palackého v Olomouci.

Štítky:
advertisement
advertisement