Jednou za čas přinášejí některé případy do naší praxe něco výjimečného: např. neobvyklé anatomické struktury, jako je neobvyklé rozvětvení hlavního kořenového kanálku, které značně komplikují již tak složitou 3D strukturu kořenového systému zubu. Rentgenový snímek v následujícím případě odhalil ojedinělý kořenový komplex, který se téměř podobal chobotnici a vyžadoval speciální ošetření modulárním, flexibilním nikltitanovým systémem (NiTi).
Kazuistika: Více kanálků v kořenovém systému
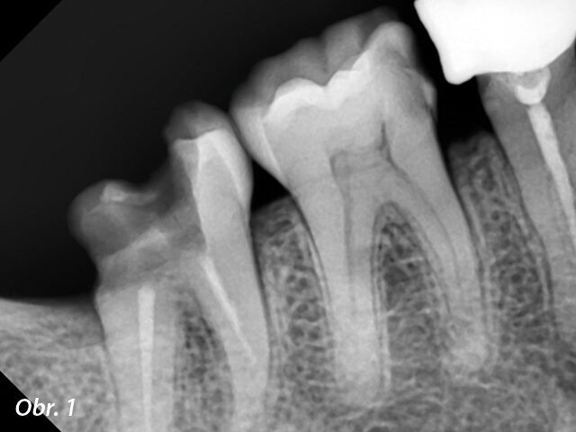
Na naši zubní kliniku se dostavila 42letá pacientka a uváděla problémy související s pravým prvním dolním molárem. Standardní chladový test zubu 46 prokázal opožděnou reakci. U preoperačního rentgenového snímku byla patrna neobvyklá anatomie zubu a stanovena diagnóza. Ačkoli se anatomické markanty liší případ od případu, typický molár obvykle nemá v systému kořenových kanálků více než čtyři hlavní kanálky. Avšak model meziálního kořenového kanálku u dotyčného moláru vykazoval některé významné postranní struktury. Rentgenový snímek se téměř podobal chobotnici s mnoha chapadly (obr. 1). Byla diagnostikována akutní pulpitida a pacientka následně souhlasila s nechirurgickou endodontickou léčbou kořenového kanálku.
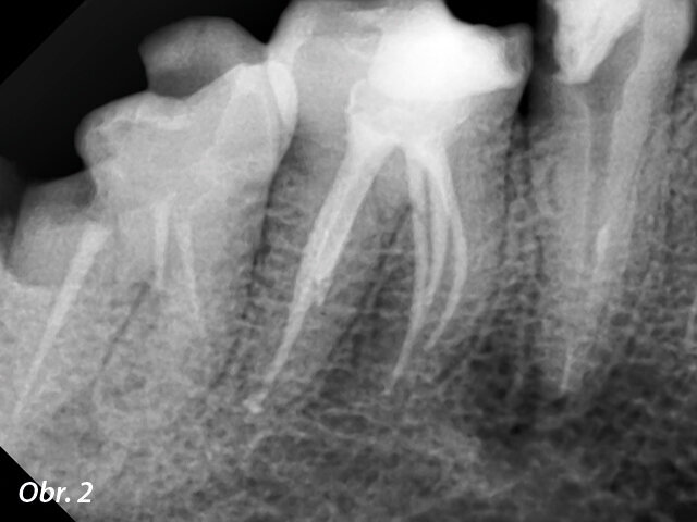
Podle našeho standardního postupu bylo endodontické ošetření započato izolací pracovního pole u zubu 46 kofferdamem. Dalším krokem bylo odstranění veškerého kariézního dentinu z postiženého zubu. Vstup do pulpální dutiny nám dal představu o skutečném rozsahu problému: obsah meziálních kanálků byl zcela nekrotický. Kromě toho bylo zajímavé objevit neobvyklý model kořene, který jsme na základě rentgenových snímků předpokládali. Meziálně excentrický rentgenový snímek ukázal, jak důležité je zhotovit rentgenové snímky z různých úhlů: snímek odhalil samostatný meziolingvální kořen a pomohl nám správně dimenzovat přístupovou kavitu (obr. 2). Důkladná preparace neobvyklého systému kanálků byla značnou klinickou výzvou. Rozhodli jsme využít flexibilní NiTi nástroje pro co nejbezpečnější a nejefektivnější čištění.
Firma Coltene byla jedním z prvních dodavatelů NiTi nástrojů odolných proti zlomení s tzv. efektem řízené paměti (CM – angl. controlled memory). NiTi nástroje s řízenou pamětí jsou předehnutelné a na rozdíl od běžných NiTi nástrojů se nevrací zpět do původního tvaru. Díky speciálnímu výrobnímu procesu jsou určité fyzikální vlastnosti slitiny posíleny, díky čemuž jsou nástroje pružné a zároveň velmi odolné vůči zlomení. Ošetřující tým může vidět pouhým okem, zda lze nástroj znovu vzhledem k jeho opotřebení bez problémů použít: NiTi nástroje opatřené řízenou pamětí automaticky obnoví svůj původní tvar, když se zahřejí během sterilizace. Po vyjmutí z autoklávu by měly vypadat jako nové s charakteristickým vinutým tvarem. Pokud se zdají být rozvinuté a mají nepravidelný tvar, dosáhly konce svého cyklu životaschopnosti a měly by být okamžitě zlikvidovány (obr. 3a–c).
Preoperační rentgenový snímek zubu 46. Obr. 2: Meziálně excentrický rentgenový snímek s pěti viditelnými kořenovými kanálky.
Preoperační rentgenový snímek zubu 46. Obr. 2: Meziálně excentrický rentgenový snímek s pěti viditelnými kořenovými kanálky.
NiTi nástroje ošetřené řízenou pamětí: nový nástroj (a); použitý nástroj bezpečný pro opětovné použití (b); opotřebený, rozvinutý a již nepoužitelný nástroj (c).
HyFlex CM 25/08 Orifice Opener. Obr. 4b–d: HyFlex CM sekvence: 20/04 (b); 25/04 (c); 30/04 (d).
GuttaFlow Bioseal Automix stříkačka, 5 ml.
Pooperační rentgenový snímek s viditelnou obturací.
Nejvhodnější NiTi nástroj pro každý kanálek
Modulární systémy NiTi nástrojů, jako je HyFlex, umožňují specialistům i začátečníkům sestavovat vlastní sadu nástrojů. V závislosti na své oblíbené pracovní metodě a daných anatomických strukturách si mohou vybrat ze široké škály speciálních i univerzálních nástrojů. V případě popsaném v tomto článku jsme mohli použít téměř identickou sekvenci nástrojů HyFlex CM pro preparaci všech pěti hlavních kanálků. Nejprve byly všechny kanálky detekovány pomocí ručního nástroje velikosti 10, dokud nebyla vytvořena manuální glide path. Poté proběhla vlastní preparace.
Pro pre-flaring byl použit nástroj HyFlex CM 25/08 Orifice Opener (Coltene) (obr. 4a). Poté byl do kanálku zaveden nástroj HyFlex CM 15/04. Jemným pohybem apikálně jsme postupovali až na pracovní délku. Poté jsme použili nástroj odpovídající velikosti 20 se stejným kónusem 0.4, abychom se dostali k apexu. Finální vypracování ve třech meziálních kanálcích bylo dosaženo pomocí nástroje HyFlex CM 25/04. V distolingválních a distobukálních kanálcích byly finálními nástroji v sekvenci HyFlex CM 25/04 a 30/04 (obr. 4b–d). Nástroje se plynule pohybovaly středem kanálku a v žádném bodě se nezablokovaly. Vysoká flexibilita nástrojů nám pomohla získat dobrý pocit z přesného zakřivení kanálku, protože jsme použili taktilní přístup k prozkoumání délky kanálku po třetinách.
Je samozřejmé, že důkladný výplach dle regulérního výplachového protokolu mezi výměnami nástrojů byl stejně tak zásadní pro spolehlivý celkový výsledek. Pro chemickou irigaci mezi mechanickou preparací byl použit 5,25% chlornan sodný a 17% EDTA. Tento postup také pomáhá zasáhnout vedlejší struktury kanálků, které nelze zbavit nečistot a bakterií samotnou preparací nástroji. V tomto případě byl přítomen výrazný koronální isthmus mezi dvěma meziálními kanálky, zatímco u jiných pacientů jsou obvykle boční kanálky mnohem delikátnější a zvláště obtížně dosažitelné.
Různé anatomické výzvy
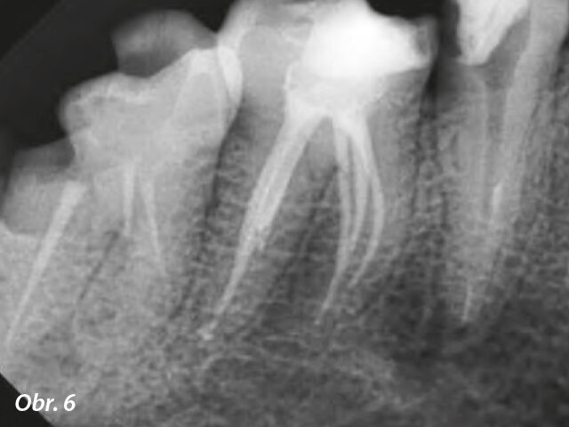
Posledním krokem bylo vytvoření správného utěsnění, které zabrání mikroorganismům v opětovném vstupu do systému kořenového kanálku a chrání kořen před případnou rekontaminací. Pro efektivní a trvanlivou obturaci jsme vybrali techniku hydraulické kondenzace GuttaFlow Bioseal (Coltene) (obr. 5). Obturační materiál „tři v jednom“ kombinuje tekutou gutaperču s vhodným sealerem a biokeramiku v injekční stříkačce Automix. Výsledkem tohoto složení je snadno manipulovatelný materiál s vynikajícími tokovými vlastnostmi a dobou zpracování od 10 do 15 minut. Gutaperča je zahřátá a může být kondenzována dolů pomocí pluggeru, pokud ještě nezačala proudit do všech (i skrytých) samostatných kanálků. Po polymeraci tvoří bioaktivní materiál na povrchu krystalky hydroxyapatitu, což výrazně zlepšuje adhezi a aktivně podporuje regeneraci kosti a dentinu. Pooperační rentgenový snímek zobrazuje mohutnou „chobotnici“ s jasně rozpoznatelnými rameny, všemi spolehlivě zaplněnými gutaperčou (obr. 6). Dlouhodobá dokumentace potvrdí, jestli se nám podařilo vytvořit trvanlivé utěsnění kanálků.
Na mezinárodních setkáních s mými kolegy z celého světa často pozoruji, že různorodost tvarů kořenových kanálků nikdy nepřestávají ohromovat endodontického odborníka. Bez ohledu na to, kolik postranních kanálků, isthmů a vedlejších struktur jste ve své kariéře viděli, vždy existuje případ, který při léčbě přináší zvláštní výzvu. Na jedné straně takové anatomické struktury vyžadují flexibilní nástroje a na straně druhé takové kořenové kanálky potřebují spolehlivý obturační materiál, který zaplní i vzdálené oblasti a proudí do částí 3D systému kořenových kanálků, kterých nelze jinak dosáhnout. V Indii mnoho pacientů čeká, dokud není zubní kaz už tak pokročilý, že hlavní část systému kořenového kanálku je nekrotická. Správná a bezpečná terapie pro revizi kořenových kanálků pomáhá lidi motivovat k tomu, aby vyhledali léčbu dříve, dokud lze mnohé problémy vyřešit nebo zvládnout mnohem lépe.
Závěr
Rozmanité anatomické struktury vyžadují flexibilní nástroje, které se přizpůsobí individuální situaci v kořenovém kanálku a spolehlivě se pohybují středem kanálku. Modulární NiTi systém, jako jsou nástroje HyFlex CM nebo EDM, umožňuje endodontickým specialistům vybrat si z řady speciálních nástrojů, od nástrojů pro glide path a nástrojů pro úpravu vstupů do kanálků až po dokončovací nástroje různých velikostí a kónicity. Speciální bioaktivní obturační materiál navíc proudí do všech druhů postranních kanálků a podporuje hojení.
Redakční poznámka: Seznam použité literatury na vyžádání u vydavatele.
Tento článek je součástí třídílné série nazvané So Many Roots to Travel iniciované společností Coltene: Endodontičtí specialisté z celého světa zde diskutují o svých nejúžasnějších případech a ukazují, jak čelili klinické výzvě pomocí moderních NiTi nástrojů.
Článek byl publikován v mezinárodním vydání časopisu roots–international magazine of endodontics, Vol. 16,
Issue 1/2020.
Dr. Vishal P. Gandhi Specialista na mikroskopickou endodoncii. Pracuje na soukromé klinice v Ahmedabadu v Indii. JAL Dental Clinic & Microscopic RCT hub, Sector 3/466, Chankyapuri, Ghatlodia, Ahmedabad – 380061 India, Vishalgandhi1234@gmail.com
Celé nejnovější vydání Dental Tribune CZ naleznete zde
To post a reply please login or register