Pokud v minulosti pacientova situace v ústech vyústila v kompletní ztrátu zubů, bylo ošetření omezené na totální náhradu bez jakékoliv naděje na zlepšení stavu. Největší výzvou, zejména v dolní čelisti, pak bylo zhotovení náhrady s dostatečnou stabilitou a retencí. Výsledek velmi záležel na schopnostech lékaře, ale taktéž na neuromuskulární kondici pacienta, jeho podpůrných tkáních a celkovém přístupu k problému. Ošetření bezzubých pacientů nicméně prodělalo v důsledku narůstající popularity zubních implantátů určitou revoluci, a tak je dnes standardem u ošetření mandibuly náhrada kotvená implantáty.
Spektrum protetických modalit vyvinutých od začátku příchodu nitrokostních implantátů na trh sahá od velmi jednoduchých po neuvěřitelně komplexní. V běžné praxi pak začaly metody vynikající svou reprodukovatelností a časovou nenáročností dominovat nad komplexními řešeními. Obvykle je dle finančních možností pacientům nabízena náhrada kotvená na implantátech či hybridní náhrada. I když jsou obě řešení poměrně úspěšná, mají své nedostatky.
Hybridní náhrada
Hybridní náhradu lze popsat jako protetické řešení, které pokrývá měkké tkáně a je jimi drženo a zároveň je stabilita náhrady podpořena zubním implantátem. Toto řešení je tedy chápáno jako implantátem podpořené, spíše než implantátem nesené. V bezzubé dolní čelisti je běžné zavedení dvou až tří implantátů s důrazem na vytvoření většího anteroposteriorního (AP) rozměru. Pokud jsou do malého prostoru (v rámci AP vztahu) natěsnány více jak dva implantáty, náhrada se nemůže volně pohybovat kolem jediné rotační osy a může dojít k jejímu uvolnění.
Vytvořením rotačního bodu na zadních pilířích bude náhrada při funkci rotovat, což vyústí v uvolnění protézy a předčasné opotřebení retenčních prvků. Navýšení počtu implantátů tedy nemusí nutně přinést lineární zvýšení retence a stability. Dokonce opak může být pravdou. Jelikož je náhrada držena samotnou mandibulou, resorpce podpůrných tkání povede k pohybu náhrady při funkci a k jejímu vypadnutí. K zajištění optimálního stavu si pak musí být zubní lékař spolu s pacientem dobře vědom potřeby pravidelné rebaze náhrady.
Doporučeno je tedy zavedení dvou implantátů do frontálního úseku mandibuly tak, abychom získali pouze jednu osu rotace. Tyto implantáty by taktéž měly být postaveny tak, aby se v budoucnu daly zavést i další, pokud by se pacient rozhodl pro jiné na implantátech založené řešení.
Implantáty nesená náhrada
Implantáty nesená náhrada je plně kotvena implantáty a není tedy ovlivněna resorpcí alveolárních hřebenů. Získala na popularitě díky tomu, že technicky náročné zlaté konstrukce byly nahrazeny CAD/CAM titanovými konstrukcemi, a také díky úspěchu šikmo zavedených implantátů, které rozšiřují anteroposteriorní rozměr mezi pilíři. Protože má řešení kovovou konstrukci, lze za poslední pilíř v zadním úseku navrhnout do protézy volný člen, což prodlouží funkční oblouk.
Nicméně, estetické součásti tohoto řešení – jmenovitě umělé zuby a akrylová pryskyřice – jsou poměrně málo odolné materiály, původně určené k použití u částečné snímatelné a totální náhrady, kde je funkční zatížení podstatně menší. Pokud není mezi oblouky dostatek místa, je riziko ulomení či uvolnění umělých zubů či pryskyřičné báze vysoké, jelikož materiály budou přítomny v příliš malé tloušťce na to, aby odolaly působícím silám ve funkci, zejména pak v parafunkci.
Bohužel tento jev sledujeme čím dál častěji, hlavně u ošetření maxily fixní náhradou. Nevhodně umístěné otvory pro přístup šroubu u šroubované náhrady mohou ještě více oslabit umělé zuby. Oprava zlomeného či ztraceného zubu obnáší sejmutí fixní náhrady a její úpravu v zubní laboratoři. Zubní lékař musí být připraven sundat konstrukci a po opravě ji opět nasadit. Pacient zároveň musí přijmout fakt, že než zubní technik problém odstraní, bude jistou dobu bez zubů. Pokusy předejít zlomením konstrukcí navýšením tloušťky pryskyřice jsou limitovány dostupným místem. Pokud se setkáme s nedostatečným prostorem, korekce pomocí ztluštění materiálu nemůže být provedena. Spíše bude potřeba zvolit jiný, pravděpodobně dražší, typ ošetření. Dále, pokud jsou náhrady v horní čelisti, může nastat konflikt při snaze vylepšit estetický a fonetický výsledek uložením okraje náhrady před hranici alveolárního hřebene, což navíc ztěžuje podmínky i pro ústní hygienu.
Koncept Atlantis Conus: snímatelný, implantáty kotvený můstek
Jak již bylo popsáno výše, měkkými tkáněmi kotvená náhrada vykazuje nejlepší výsledky právě se dvěma implantáty v předním úseku. Pokud jsou umístěny více jak dva implantáty, cílem by mělo být řešení plně kotvené na implantátech. Koncept Atlantis Conus (Dentsply Sirona) disponuje stejnými funkčními výhodami jako fixní náhrada, ale taky umožňuje pacientovi bezproblémovou ústní hygienu, nehledě na míru přesahu alveolárního výběžku náhradou. Vlastně se jedná o náhradu, kterou může pacient sejmout, ovšem se stabilitou fixního můstku.
Koncept je založen na individuálně zhotovených, v oblouku mezi sebou paralelních abutmentů, majících 5° kónicitu. Doporučeno je zavést alespoň čtyři implantáty do dolní a čtyři až pět implantátů do horní čelisti.
Tyto unikátně navržené kónické abutmenty jsou osazeny kovovými SynCone čepičkami (Dentsply Sirona), které jsou inkorporovány do protézy. Výsledkem je těsně padnoucí, stabilní, retenční a plně implantáty nesený můstek, který zůstává snímatelný pacientem. Nejsou potřeba žádné speciální kotevní prvky. Pacient pouze nasadí můstek vertikálním pohybem proti abutmentům a opačným pohybem jej sundá. Protože jsou abutmenty součástí Atlantis portfolia (Dentsply Sirona), jsou dostupné pro všechny hlavní implantologické systémy.
Navíc díky tomu, že jsou abutmenty zhotoveny na míru, je možná korekce šikmo zavedených implantátů až do 30 stupňů. Dva důležité předpoklady jsou však nezbytné: zubní lékař musí provést přesný otisk na úrovni implantátů a musí být zhotoven sken vyzkoušeného a odsouhlaseného modelu náhrady nebo již hotové náhrady pro její zpětné nasazení. Abutmenty Atlantis Conus jsou pak navrženy tak, aby byly optimálně usazeny v rámci mezí budoucí náhrady. Tato fixní, ale přesto snímatelná náhrada, má výhody excelentní žvýkací funkce, zlepšené estetiky, odolnosti proti zlomení (nejsou přítomny žádné otvory pro šrouby) a optimálně dotváří obličejové kontury bez toho, aniž by kompromitovala pacienta v ústní hygieně.
Kazuistika
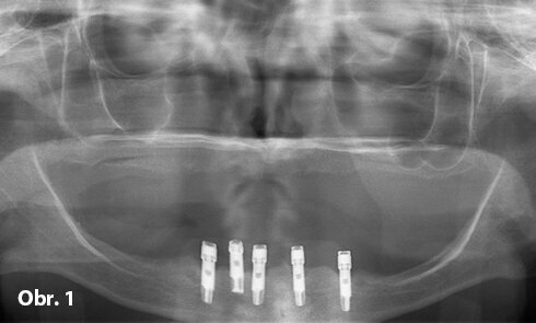
Předoperační snímek pěti stěsnaných implantátů ve frontálním úseku mandibuly
Klinický obraz pacienta. Za povšimnutí stojí opotřebení kovových abutmentů z důvodu uvolnění nylonových matric kvůli rotaci náhrady ve funkci.
Duplikát vyhovující náhrady slouží jako individuální lžíce. Pro umožnění otisku pilířů byly vypreparovány otvory patřičných rozměrů.
Otiskovací pilíře usazené na implantátech. Jeden implantát je vyřazen z návrhu a překryt vhojovacím válečkem.
Dr. Montana absolvoval School of Dentistry, University of Southern California v roce 1987 a získal certifikát z pokročilé protetiky z USC v roce 1989. Od roku 1989 spravuje privátní praxi v Tempe v Arizoně na plný úvazek s důrazem na fixní, snímatelnou a implantologickou protetiku. Během docházení na USC byl klinickým instruktorem a momentálně je klinickým instruktorem a přednášejícím v programu pokročilého vzdělávání v praktickém zubním lékařství na škole Arizona School of Dentistry and Oral Health. Je členem studijního klubu Dentsply Implants PEERS North America (Dentsply Sirona), American College of Prosthodontists, the American Academy of Fixed Prosthodontics, the Pacific Coast Society for Prosthodontics, the Academy of Osseointegration, American Dental Association a Arizona Dental Association. Rozsáhle přednášel na témata implantologické, fixní a snímatelné protetiky v celé Severní Americe.
Lze jej kontaktovat na adrese office@markmontanadds.com.
To post a reply please login or register