Search Dental Tribune

Možnosti akcelerace léčby průhlednými fóliovými aparáty

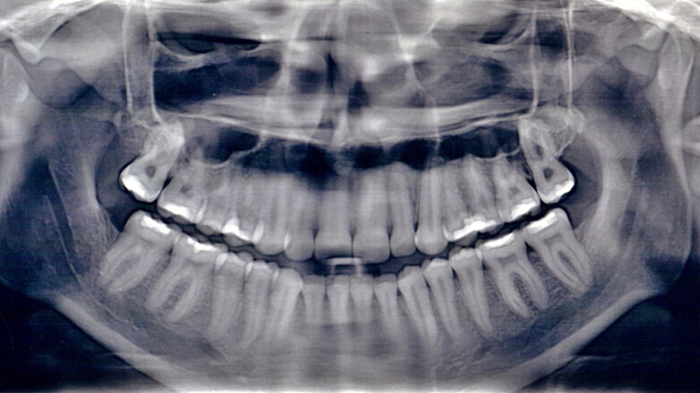
OPG snímek z průběhu léčby (Fotografie: Dr. Gary Brigham)
Dr. Gary Brigham, US

Dr. Gary Brigham, US

Pá. 31 srpna 2018

uložit

Zavedení nových technologií je ve 21. století zásadní pro každou ortodontickou praxi, která se snaží expandovat a inovovat. Rychlá reakce na vyvíjející se potřeby veřejnosti je rozhodující pro dosažení spokojenosti pacientů s léčbou a úspěchu praxe. Možnost nabízet pacientům jedinečná terapeutická řešení, která se cíleně zabývají jejich hlavními problémy, se tak může stát jednou z nejdůležitějších hnacích sil pro začlenění akceleračních technologií a doplňkových léčebných metod do každodenní praxe. Je zřejmé, že pokud se tyto technologie používají v kombinaci s moderní léčbou jako je terapie fóliovými aparáty, výsledná synergie může mít výrazně lepší a rychlejší terapeutické výsledky. Jedná se především o mikroo­steo­perforace (MOP) pro zrychlení ortodontické léčby a vysokofrekvenční vibrace (HFV) pro zlepšení dosazení fólií a snížení bolesti/nepohodlí.

Zjistil jsem, že MOP jsou klinicky efektivní při urychlování léčby a zlepšování klinických výsledků pro širokou škálu ortodontických anomálií včetně stěsnání, uzavření mezer, napřímení molárů, rotací, intruzí a extruzí. Výzkum na dospělých pacientech jasně ukázal, že většina z nich má zájem o jakékoli postupy, které by mohly účinně zkrátit čas jejich léčby.

Moje rozhodnutí začlenit MOP do svých vlastních léčebných plánů vyplývalo z rostoucích požadavků mých pacientů na dosažení jejich estetických a funkčních ortodontických cílů v časovém rámci, který odpovídal jejich očekáváním a individuálním možnostem pro dodržování vynikající spolupráce. Dokonce i se současným zkráceným terapeutickým protokolem společnosti Invisalign, kde se doporučuje fólie měnit každý sedmý den, pacienti projevili zájem o další zkrácení doby léčby. Nikdo z nich si však nepřál zhoršit bolesti, které jsou někdy spojeny s pohybem zubů. V mé praxi se MOP ukázaly být účinným řešením těchto obav. Mohou být provedeny během několika minut přímo na křesle pomocí elektrického vrtáku Powerlerator PT s jednorázovými hroty Powerlerator PT pro chirurgické účely. Uklidňuje a ujišťuje mne to, že toto zařízení je speciálně navrženo a indikováno pro provádění vícečetných mikroosteoperforací v jedné návštěvě. Tento postup lze aplikovat jak při terapii fixními, tak i snímacími ortodontickými aparáty, ale jeho efekt je obzvláště dramatický při léčbě fóliovými aparáty.

Věda, na níž MOP stojí, je založena na poznatcích z ortopedie, které jsou staré přes 100 let. V roce 1989 Harold Frost zavedl termín „Regional Acceleratory Fenomenon“ (RAP), kterým popsal tuto předvídatelnou remodelační odezvu kosti na iatrogenní podněty. Předpokládal, že narušení buněčných membrán osteocytů – nejčastějších kostních buněk – stimuluje sekreci kaskády cytokinů a chemokinů, která urychluje fyziologické tempo remodelace kostí.

Výzkumy ukazují, že rychlost pohybu zubů je závislá na intenzitě fyziologické přestavby kostí. Je tedy rozumné předpokládat, že zvýšení stupně remodelace kosti by mělo korelovat s nárůstem rychlosti, se kterou je možné měnit jednotlivé fólie. Použití přístroje Excellerator PT vytváří mikroosteoperforace kortikální lamely interseptální kosti a aktivuje přirozenou chemickou imunitní odpověď, která urychluje kostní metabolismus a následný pohyb zubů, pokud je současně aplikována ortodontická síla.

Tato procedura je prováděna při povrchové nebo lokální anestezii a pacientovi přináší minimální nepohodlí. Pro další zmírnění jakéhokoli potenciálního nepříjemného pocitu je pacient instruován, aby si vzal 1 000 mg Tylenolu jednu hodinu před výkonem. Při přípravě na MOP se na daném místě aplikuje roztírací topický anestetický gel (12,5% lidokain, 12,5% tetrakain, 3,0% prilokain a 3,0% fenylefrin), který se v případě potřeby doplňuje místní infiltrační anestézií septokainem (4,0% artikain HCL a epinefrin 1 : 100 000) bukálně a vestibulárně. Po provedení MOP pacientovi doporučuji, aby užíval 500 mg Tylenolu (acetaminofen) každých šest hodin dalších 24 hodin pro zmírnění nepříjemných pocitů spojených s touto procedurou. Většina pacientů však uvedla, že nepotřebovali jakákoliv postprocedurální analgetika.

Kazuistika 1
MOP mohou být zvláště účinně použity ve spojení s terapií fóliovými aparáty. Například na obr. 1a, b je 19letá pacientka se skeletální II. třídou s nepříznivými vertikálními parametry čtyři roky po léčbě fixními aparáty. V klinickém nálezu bylo evidentní retrogenní postavení brady, vertikálně otevřený skus frontálně s neadekvátním řezákovým vedením a tmavými bukálními koridory.

Plán terapie zahrnoval přídavnou proceduru MOP ve spojení s léčbou Invisalign Teen. Pacientka s plánem souhlasila pod podmínkou, že nebude nucena používat elastické tahy a terapie bude ukončena do 12 měsíců. Plán léčby zahrnoval prohlubování Speeovy křivky v obou obloucích pomocí intruze prvního horního moláru a druhého premoláru a prvního dolního moláru spolu s druhým premolárem podle jednoho z Dayanových protokolů pro intruzi laterálních zubů u vertikálně otevřených skusů. 9 Mechanika intruze byla naplánována tak, aby umožnila autorotaci mandibuly, což povede k lepší projekci brady a zlepšení profilu pacienta. Dalším cílem bylo vytvořit řezákové vedení beze změny pozice horních řezáků pacientky, a to vše bez použití intermaxilárních tahů.

Předpokládaná autorotace mandibuly nabízela i další výhodu – bylo možné provést stripping protrudovaných mandibulárních řezáků k vytvoření prostoru pro napřímení těchto zubů do optimální polohy a zvětšení incizálního schůdku jejich retrakcí díky adaptaci na novou pozici dolní čelisti. Kromě toho jsme indikovali rozšíření horního zubního oblouku, což vyřeší tmavé bukální koridory. To vše bez obav z dalšího otevírání skusu, díky pokrytí okluzí fóliemi a přídavné terapii MOP. Horní řezáky budou extrudovány o méně než 1 mm, aby se vytvořila estetická linie úsměvu.

Za účelem zefektivnění intruzní mechaniky byly MOP provedeny v obou zubních obloucích a intruze byla dále podpořena používáním pryžové žvýkací gumy.

 

Zaujala vás ukázka článku?

Celý článek můžete prostudovat v příslušném vydání časopisu StomaTeam
stáhněte jej ve formátu PDF

 

Dr. Gary Brigham je špičkovým elitním poskytovatelem Invisalign již od jeho založení. Přednášel po celých Spojených státech lékařům o všech aspektech léčby aparátem Invisalign od roku 2004. Vedle specializace ve stomatochirurgii a ortodoncii dosáhl doktor Brigham magisterského titulu v oboru imunologie na univerzitě Case Western Reserve v Clevelandu v Ohiu USA. Za jeho výzkum získal od Americké asociace ortodontistů cenu Harry Sicher Research Award. Je bývalým asistujícím profesorem v oboru pediatrie na Lékařském centru University of Illinois v Chicagu v USA, kde v současné době působí jako profesor.

 

Štítky:
advertisement
advertisement