Okluze, estetika a minimálně invazivní přístup jsou hlavními diskutovanými tématy v moderní stomatologii. Minimálně invazivní techniky hrají důležitou roli při dosažení optimální estetiky a předvídatelného funkčního výsledku stomatologického ošetření našich pacientů. Velmi důležitým aspektem je skutečnost, že okluzální vztahy zubů určují polohu dolní čelisti, která skrze elevační a depresní svaly zásadně ovlivňuje polohu hlavy, a ta zase podmiňuje svalový tonus a polohu krčních obratlů, ramenního pletence a pánve.
Elastodontická terapie
„Největším úspěchem ortodontické léčby je dosažení rovnováhy mezi tvarem a funkcí.“ – C. Gugino. Elastodontická terapie zjednodušuje nebo dokonce eliminuje jakékoli následné ortodontické intervence, protože zajišťuje harmonický růst, snižuje počet extrakcí zubů a také zvyšuje stabilitu během léčby. Funkční terapie umožňuje řešit všechny parafunkce jako celek a jejich neutralizací připraví podmínky pro vytvoření ideální a vhodné funkční okluze u každého rostoucího pacienta. Ideální načasování této terapie u dítěte je předškolní věk, kdy je díky pozoruhodné plasticitě skeletálních struktur léčba rychlá a její výsledek stabilní. Oproti tomu u adolescentů má funkční terapie nevyhnutelně časově omezené působení a efektivitu v závislosti na stupni anomálie a dalších dysfunkčních faktorech. I když jsou výměna chrupu a růst obličeje v zásadě dokončené, funkční terapie může stále měnit tvar působením ve třech dimenzích. Pouze čtvrtý rozměr, kterým je čas, se postupně zmenšuje; fráze „dej tomu čas“ tu neplatí.
Velmi důležitým faktorem, který je třeba vzít v úvahu a přidat k naší diagnóze, je postura, protože lidské tělo je považováno za komplexní systém, jehož podjednotky jsou anatomicky a funkčně propojeny. To vysvětluje vztah mezi kraniofaciálním komplexem, ramenním pletencem, pánevním dnem a polohou dolních končetin.
V současnosti je známo, že problémy týkající se okluze mohou způsobovat muskuloskeletální dysfunkce, které následně vyvolávají patologie podél páteře skrze definované schéma svalového řetězce (Korbmacher a kol. 2004). Elastodontická léčba proto představuje ideální techniku pro řešení skeletálních a funkčních problémů během růstu a zároveň představuje mimořádný nástroj pro obnovení výšky skusu u dospělého pacienta před protetickou terapií.
Materiál a metodika
Analýza funkčních elastodontických aparátů
Léčba bioaktivátorem A.M.C.O.P. od Micerium je překvapivě jednoduchá, inovativní a neinvazivní a lze ji považovat za jedinečnou orofaciální bioortopedii. Jde o elastický ortodontický aparát s velkou funkční terapeutickou validitou, který ovlivňuje celou orofaciální soustavu.
Harmonizuje disparalelitu skeletálních bází maxily a mandibuly a je vhodný pro vyrovnání inklinovaných či rotovaných okluzních rovin pro obnovení správné funkce a dosažení rovnováhy v ústech. Aparát je také velmi cenným pracovním nástrojem pro rozvolnění svalových kontraktur, odstranění různých dalších problémů se svalovým napětím a rehabilitaci temporomandibulárních kloubů (TMK). Je-li správně používán, je schopen nastartovat protizánětlivé a reparativní procesy, které jdou nad rámec pouhé léčby poruch okluze. Poskytuje nám tak možnost u pacienta upravit nerovnováhu symptomatické i psychologické povahy.
Rehabilitační účinek bioaktivátoru se odráží na celém stomatognátním systému: zubech, alveolárních výběžcích, žvýkacích svalech, TMK, tvářích, rtech, jazyku, měkkých tkáních, slinných žlázách, mandibule a maxile, inervaci a vaskularizaci, a tedy i systému dento-kraniofaciálním a cerviko-posturálním. Proto odstraňuje špatné návyky a kraniofaciální dysmorfie – skutečné příčiny malokluze.
Aparáty jsou také doporučovány pro pacienty trpící bruxismem a nočním chrápáním.
A.M.C.O.P. bioaktivátory od Micerium představují sloučení předností všech existujících funkčních aktivátorů a jsou vhodné pro funkční a individualizovanou léčbu pacienta. Poskytují širší a lepší možnosti terapie, protože zajišťují harmonický růst orofaciálního systému a stabilizují získaný výsledek. Tvar vychází z potřeby našeho těla vykonávat nějakou funkci. Aparát je určen ke zlepšení neurovegetativních funkcí v ústech, polykání, žvýkání, řeči a dýchání, aby se zlepšila ventilace nosu s návratem k normální funkci naso-oro-laryngo-faryngeální oblasti.
Elastodontické aparáty jsou vyrobeny z termoplastického materiálu schopného aktivně interagovat s okluzí, svaly jazyka, svalem orbikularis oris, ale zároveň jsou schopny vytvářet tzv. elastodontický prostor, který představuje ideální místo mezi svaly jazyka (odstředivá síla) a svaly rtů (dostředivá síla), ve kterém dochází k posunu zubů. Není to samotný aparát, který zajišťuje pohyb zubů, ale rovnováha mezi svaly rtů a jazyka, a díky ní vytvořený neutrální prostor, ve kterém jsou zuby postaveny.
Proto je důležitý terapeutický plán a vhodný výběr aparátu tak, aby se předešlo problémům často spojeným s nutností volit mezi standardním komerčním aparátem a individualizovaným aparátem. Na rozdíl od klasických funkčních aparátů lze elastodontické aparáty používat u pacientů již ve věku 2,5. To vše bez nutnosti pořizování otisků, pouze na základě velmi jednoduchého intraorálního měření nebo pomocí minimálně invazivní otiskovací techniky, která používá klasický vosk pro určení velikosti oblouků.
Elastodontické aparáty mohou být standardní nebo individualizované, tj. vyrobené přímo na modelu pacientových zubních oblouků – ty představují velmi důležitý nástroj v rukou ortodontisty k úpravě nejzávažnějších malokluzí i u dospělých pacientů. Elastodontické aparáty jsou založeny na mechanismu účinku aktivátorů, které se zrodily v 50. letech 20. století z myšlenky dvou ortodontistů – profesorů Souleta a Besombese. Původně byly navrženy jako retenční aparáty, ale ukázaly se i jako cenná ortopedická zařízení. Tyto aktivátory sestávají z vestibulární clony a lingvální clony z termoplastického materiálu a ve volném centrálním prostoru mezi nimi dochází k biologickému přemisťování zubů: tzv. elastodontický prostor. Aparáty mají proto schopnost simulovat správné vztahy zubních oblouků v I. třídě, které zároveň modifikují a korigují, a jednotlivé tloušťky elastodontu vyvolávají protruzní, retruzní nebo expanzní efekt.
Profesor Besombes při léčbě používal teorii reflexní mastikoterapie: protože mandibula je lebeční „konformátor“, posturální modifikace mandibuly spolu s vlivem na horní čelist vyvolává napětí v lebečních suturách, které normalizuje polohu různých kostí lebky prostřednictvím působení na sfenobazilární synchondrózu; poloha zubů je výsledkem této nastolené skeletální rovnováhy.
Elastodontická terapie je geniální v tom, že používá preformované nebo individualizované elastodontické aparáty podle léčebného protokolu, který bere v úvahu velmi časnou terapii u dítěte již od 2,5 let – je terapeutickou cestou během různých růstových fází pacienta, a představuje i možnost využití těchto aparátů u dospělých při předprotetické přípravě.
Mechanismus působení u elastodontických aparátů je takový, že prostřednictvím větší či menší elasticity materiálu je možné zasahovat trojrozměrným způsobem do vztahů v ústní dutině, která je také trojrozměrná. Oproti tomu standardní funkční aparáty pracují dvojrozměrně s okluzními vztahy, které mění pomocí deskových aparátů nebo dlah – terapie je méně biologická tím, že brání dosažení interkuspidace během samotné léčby.
Aparáty A.M.C.O.P. od Micerium
Jsou to aparáty vyrobené z termoplastického materiálu, certifikované a plně biokompatibilní se sliznicemi ústní dutiny. Konkrétní směs elastodontického materiálu umožňuje udržovat tvar, je tuhá a zároveň elastická, a poskytuje příjemný pocit pohodlí. Proto je u většiny malokluzí jejich používání příjemné, což je důležité zejména u velmi mladých pacientů. Existují v různých tvarech, velikostech a pro různé typy skusu. Jejich morfologie umožňuje navést jazyk pacienta do správné polohy v kontaktu s patrem, upřednostňovat nosní dýchání, uvolnit orofaciální svaly a navozuje zlepšení z respiračního i fonetického hlediska. Na základě plánů pro různé typy skusu klasifikujeme aparáty na:
- Plán Basic ideální pro pacienty s hlubokým skusem
- Plán Integral pro normookluzi
- Plán TC ideální pro III. třídu a pro skeletálně otevřený skus s posteriorotací okluzní roviny
Další velmi důležitá věc je možnost vybrat v rámci jedné třídy mezi 4 tvary oblouků na základě toho, který je pro pacienta nejvhodnější.
Tvary oblouku (obr. 1)
- Tvar C – široký a zaoblený zubní oblouk, nízké patro, brachycefalie
- Tvar S – oválný a harmonický tvar zubního oblouku, mesocefalie
- Tvar 0S – čtvercový tvar zubního oblouku, mesocefalie
- Tvar F – triangulární tvar zubního oblouku
Problematika dysfunkce
TMK Při komplexní problematice TMK dysfunkcí existují specifické indikace. Při extraartikulárních dysfunkcích s okluzo-dentální patogenezí je indikován aktivátor podle Shorea z velmi elastického materiálu o nízké tvrdosti (51 Shore). Mohou jej používat pacienti s fyziologickými TMK nebo patologickým poškozením TMK v prvním stadiu. U pacientů s intraartikulární patologií či s patologií diskokondylárního komplexu, u kterých je potřeba stabilizovat klouby, je možné použít pro počáteční období (asi 6–8 měsíců) aktivátor s nákusnou repoziční destičkou o vysoké tvrdosti podle Shorea s hojivým účinkem na kloubní struktury a následně použít druhý aparát s nízkou tvrdostí podle Shorea, který má myorelaxační účinek na svalové kontraktury. Tímto způsobem je možné pomocí remodelace alveolárního výběžku dosáhnout extruze zadních zubů a relativního zvýšení skusu s úpravou dysfunkce.
Držení těla
Patologie okluze – tedy malokluze – jsou často příčinou mnoha osteoartikulárních patologií. Ve skutečnosti se říká, že žvýkací svaly jsou součástí takzvaného „posturálního řetězce“. Několik studií ukazuje, že II. skeletální třída je často spojena s předsunutým držením hlavy a hyperlordózou krční páteře, zatímco III. třída je většinou spojena se zpětným držením hlavy a hyperlordózou bederní páteře. Skrze pečlivou analýzu držení těla při jednoduchém klinickém vyšetření až po rentgenové vyšetření pomocí bočního dálkového rentgenového snímku se odhalí korelace mezi malokluzí, významnými posturálními změnami a značnými rozdíly mezi pravou a levou plantární oporou. Spolu s dosažením normokluze pomocí elastodontické terapie je také možné korigovat držení těla a v některých případech jsou pro urychlení a zlepšení léčby užitečné dokonce i fyzioterapie nebo osteopatická terapie.
Kazuistiky
Případ 1
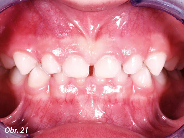
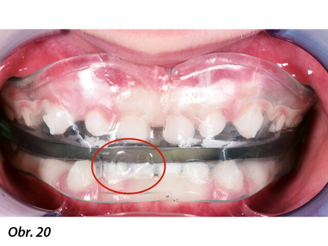
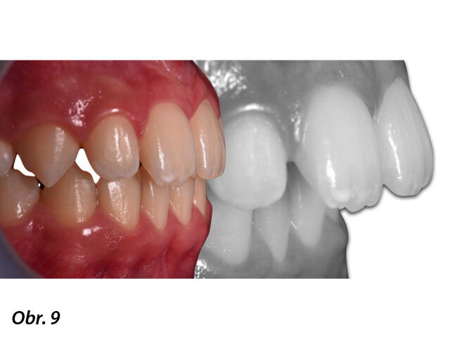
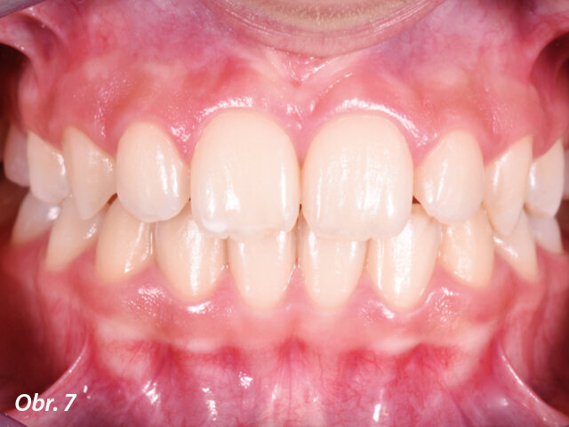
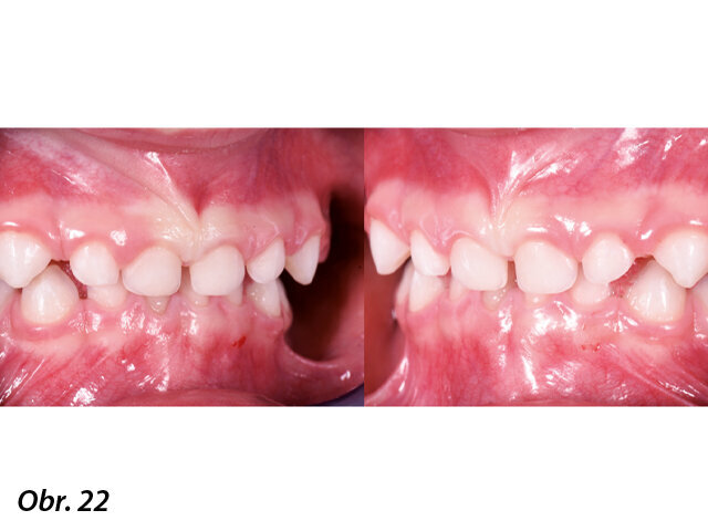
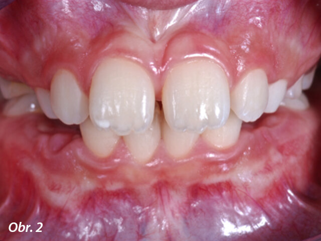
Pacient, 9,5 roku, II. skeletální třída, retrogenie, zúžení horního oblouku, předkus (9,5 mm), komprese krčních obratlů. Pacient uvedl, že trpí neustálými bolestmi hlavy. Zkoumání panoramatického a telerentgenového snímku ukázalo velkou diskrepanci mezi pravým a levým kondylem a zjevné zmenšení meziobratlového prostoru v místě prvních krčních obratlů. Pacient podstoupil elastodontickou terapii pomocí A.M.C.O.P. SC 3 pro II. třídu s cílem podpořit expanzi horního oblouku a předsunutí mandibuly. O rok později je patrné zlepšení v levém temporomandibulárním kloubu a zvětšení meziobratlového prostoru spojené s dopředným posunem mandibuly. Je také patrné zmenšení překusu a předkusu. Po 2 letech došlo ke zřetelné úpravě kondylů díky skeletálnímu působení A.M.C.O.P. a evidentnímu posturálnímu zlepšení se zvětšením prostoru mezi krčními obratli. Lze říci, že malokluze byla vyřešena, i když stav vyžaduje stabilizaci dosaženého stavu pomocí stejného aparátu (obr. 2–14).
Klinický případ ukazuje, jaké měla skeletální anomálie čelistí velké následky na držení těla a jak vyřešení této skeletální malokluze pomohlo dosáhnout vynikající rovnováhy v držení těla, jak ukazuje telerentgen.
Případ 2
Pacient, 4 roky, dentální malokluze III. třídy, jednostranně zkřížený skus vpravo. Pacient byl léčen aparátem A.M.C.O.P. TC 2, který nosil každou noc a 1 hodinu odpoledne po dobu 8 měsíců s cílem vyřešit malokluzi nastolením správného okluzního vztahu: během léčby došlo k výraznému zlepšení nosního dýchání a tím k obnovení normálních dýchacích funkcí. Aparát pacient nosil v následujících měsících pouze v noci, aby byl stabilizován dosažený stav a byl pozitivně ovlivněn další vývoj chrupu. Ve věku 6 let se pacient podrobil komplexní ortodontické prohlídce včetně panoramatického a telerentgenového snímku pro analýzu prognózy růstu a stanovení možného dalšího kroku v elastodontické terapii (obr. 15–23).
Případ 3
Dítě, 2 roky, s dlouhodobým zlozvykem dumlání prstů, atypickým polykáním, otevřeným skusem a zúžením horního oblouku. Rodiče uváděli potíže s dýcháním a opakovanými nachlazeními (obr. 24–28). Pacient byl léčen speciálním typem A.M.C.O.P. od Micerium ve tvaru „dudlíku“. Ten nevyžaduje otisk a je ideální pro pacienty s dočasným chrupem, zejména pro děti ve věku 2–3 let se zjevnou malokluzí. Výsledky byly dosaženy už za 6 měsíců terapie, kdy byl aparát nošen každou noc a 1 hodinu během dne. Po dosažení výsledku bylo nutné A.M.C.O.P. od Micerium nosit dalších 6 měsíců pouze v noci, aby byla zajištěna stabilita a obnovena funkce lingválních svalů a musculus orbicularis oris. Tento případ ukazuje, že primárním terapeutickým cílem je funkční korekce malokluze, která je u dětí v tomto věku častá.
Závěr
Cílem tohoto článku je ukázat důležitost časné elastodontické ortodontické terapie za účelem zjednodušení léčby malokluze a zamezení vzniku recidivy. Tato terapie umožňuje eliminovat nutnost extrakcí a detailní kontrolu během retenční fáze a je tedy v souladu s maximálně kon zervativními metodami ošetření. Preventivní ortodoncie využívající elastodontické aparáty proto představuje důležitý krok vpřed v oblasti ortodontické léčby během růstu, protože je schopna vyřešit většinu ortodontických problémů transformací mnoha z těchto případů na ideální okluzi z estetického, funkčního a posturálního hlediska: v některých případech na konci této terapie je třeba použít fixní aparáty (omezené na 1/3 zubů, pouze na krátkou dobu) pro drobné úpravy, jako jsou rotace distálních zubů, napřímení horních špičáků, uzavření mezer, vyrovnání nebo rotace řezáků či rozšíření maxilárního zubního oblouku.
Redakční poznámka: Článek byl publikován v Cosmetic & Endo Tribune Italian Edition, Vol. 1, issue 1/2019.
Štítky:
Medicína zaměřená proti stárnutí se zabývá prevencí, zpomalením a vedlejšími účinky stárnutí, pomáhá tedy lidem žít delší a ...
Zavedení nových technologií je ve 21. století zásadní pro každou ortodontickou praxi, která se snaží expandovat a inovovat. Rychlá reakce na ...
Koncept fóliových aparátů se začal mílovými kroky vyvíjet po představení aparátů Invisalign (Align Technology) v roce 1999. Teoretické základy...
Alignery jsou předvídatelným a efektivním ortodontickým aparátem. I když existuje mnoho komerčních značek, systém Invisalign (Align Technology) ...
V rozhovoru s Johnem Lannonem, který klade otázky, diskutují ortodontisté Dr. Luis Carriere a Dr. John Graham o „Sagittal first“ filozofii a ...
Společnost Philips Oral Healthcare uspořádala pravidelné sympozium, konající se v Amsterdamu každé dva roky s řadou mezinárodně uznávaných ...
Londýn, UK: Paměť a rychlost chůze u dospělých, kteří přišli o všechny zuby, upadá rychleji, než u ...
Fyziologické přechodné diastema v horní čelisti je pozorováno u dětí během erupce horních špičáků – po jejich prořezání se diastema v 96 ...
Zkrácení ortodontické léčby je jedním z nejběžnějších požadavků našich pacientů. Přestože jsou pro nás přání pacientů velmi ...
Od poloviny 90. let 20. století dochází k vývoji v oblasti adhezivních materiálů a technik, které značně transformovaly konzervativní přístup k...
Živý webinář
Po. 11 května 2026
6:00 (CET) Prague
Živý webinář
Po. 11 května 2026
7:00 (CET) Prague
Živý webinář
Út. 12 května 2026
7:00 (CET) Prague
Živý webinář
Čt. 14 května 2026
6:00 (CET) Prague
Živý webinář
Čt. 14 května 2026
8:00 (CET) Prague
Prof. Hani Ounsi DDS PhD FICD
Živý webinář
Út. 19 května 2026
5:00 (CET) Prague
Živý webinář
Út. 19 května 2026
7:00 (CET) Prague
Prof. Dr. med. dent. Ivo Krejci
To post a reply please login or register