Zkrácení ortodontické léčby je jedním z nejběžnějších požadavků našich pacientů. Přestože jsou pro nás přání pacientů velmi důležitá, naším primárním úkolem je zajištění bezpečného pohybu zubů a stability výsledků terapie. Pozitiva zrychlení pohybu zubů a zkrácení doby léčby na minimum zahrnují: snížení rizika vzniku zubního kazu vyplývající z obtíží při udržování adekvátní ústní hygieny, snížení nároků na spolupráci pacienta, možnost dosáhnout komplexního ortodontického pohybu pomocí jednoduché biomechaniky. Z biologického hlediska dochází ke snížení zátěže na zubní kořeny v zóně tlaku a na okolní tkáně.
V lékařské literatuře byly zdokumentovány různé nechirurgické postupy pro dosažení zrychlení ortodontického pohybu, například biostimulace laserem a foto-biomodulace, použití magnetických polí, stejně jako cílená injekce prostaglandinu E2 a vitaminu D. Oproti tomu chirurgický přístup je reprezentován dentoalveolární kortikotomií, v rámci které je zrychlení pohybu zubů dosaženo v důsledku indukovaného stavu přechodné osteopenie, definované Frostem jako „regionální akcelerační fenomén“. Ten je okamžitým výsledkem chirurgického zranění kosti způsobeného kortikotomií. Další chirurgické techniky používané k vyvolání přechodné osteopenie (akcelerovaná osteogenní ortodoncie, periodontálně zrychlená osteogenní ortodoncie, kortincize, piezotomie a mikro-osteoperforace) se liší v invazivitě chirurgických výkonů, jsou však také založeny na indukci léze kortikalis.
V poslední době byly popsány přístroje (AcceleDent Optima, OrthoAccel Technologies), které mohou urychlit pohyb zubů přenosem cyklických vibračních sil nebo cyklickým zatížením 0,25 N (25 g) při nízké frekvenci (30 Hz). Součástí takového přístroje je náustek a má být používán pacientem po dobu 20 minut denně.
V randomizované klinické studii Pavlin et al. dokazují, že aplikace vibrací přístrojem AcceleDent Optima ve spojení s fixní ortodontickou léčbou výrazně zvýšila rychlost pohybu zubů. Podle jejich výsledků byl pohyb zubů u skupiny pacientů užívajících AcceleDent o 48,1 % rychlejší (1,16 mm/měsíc) než u kontrolní skupiny (0,79 mm/měsíc). Retrospektivní studie provedená Bowmanem ukázala, že vyrovnání zubů v dolní čelisti bylo rychlejší ve skupině pacientů užívajících AcceleDent (93 dní) než v kontrolní skupině (120 dní). To odpovídá 30% snížení doby léčby. Studie provedená Orton-Gibbs a Kim zjistila, že fixní ortodontická léčba v kombinaci s přístrojem AcceleDent byla o 38,2 % rychlejší a léčba fóliovým aparátem v kombinaci s AcceleDent byla o 37,2 % rychlejší.
Cílem tohoto článku je demonstrovat případ pacienta s velkým stěsnáním, jehož léčba zahrnovala interdikulární kortikotomie ve spojení s přístrojem AcceleDent.
Kazuistika
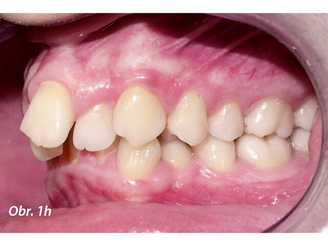
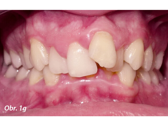
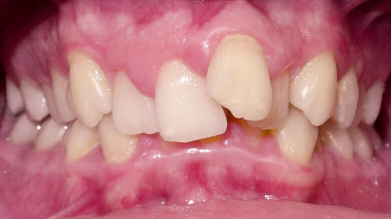
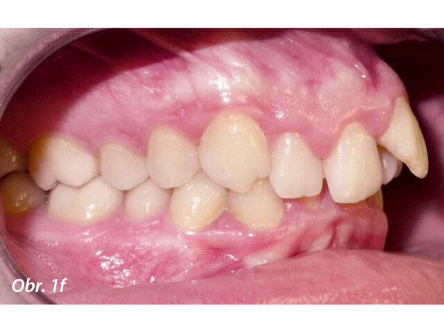
17letý chlapec přišel na konzultaci v prosinci 2014. Při intraorálním vyšetření bylo zjištěno: vztah molárů v I. třídě dle Anglea oboustranně a vztah špičáků v I. třídě vlevo a II. třídě vpravo. Šířka horního zubního oblouku v úrovni molárů byla normální, v místě premolárů však byl zubní oblouk výrazně zúžený a v mezišpičákové oblasti bylo výrazné stěsnání. V dolním zubním oblouku (úzký, tvar paraboly) bylo stěsnání s úplným deficitem místa pro zub 42, který byl v ektopické lingvální poloze. Hloubka skusu byla stoprocentní s traumatickým nákusem do gingivy v okolí dolních frontálních zubů. Zuby horního oblouku byly mírně větší než průměr, s malým nepoměrem Boltonova indexu. Objektivní extraorální vyšetření odhalilo syndrom dlouhého obličeje, vývoj střední třetiny obličeje byl normální a nazální pyramida byla široká ve spojení s mírnou mandibulární retruzí (obr. 1a–h).
Kefalometrická analýza potvrdila I. skeletální třídu (ANB úhel: 4 °), mesodivergentní obličejové parametry (SN-GoGn úhel: 35 °) s retroinklinací dolních řezáků (úhel dolních řezáků k ML (IMPA): 84 °) a protruzí horních řezáků (+1-SN úhel: 117 °, obr. 10a, 11a).
Na základě cílů léčby byly stanoveny následující možnosti terapie:
1. Jestliže jsou pro pacienta nejdůležitější dosažení obličejové harmonie a zvětšení průměru dýchacích cest, pak bude plánem léčby ortognátní chirurgie
2. Jestliže jediným cílem je vyrovnání zubů, bude ortodontická terapie kombinována s kortikotomiemi a přístrojem AcceleDent
Maxilofaciální chirurgie by byla možná až po extrakci dvou dolních premolárů a uzavření mezer, aby bylo dosaženo většího posunu mandibuly vpřed. Pacient si však tento typ terapie nepřál.
Proto bylo rozhodnuto o léčbě bez extrakcí za pomoci samoligovacích zámků, interradikulárních kortikotomií v horním zubním oblouku a použití přístroje AcceleDent pro vyrovnání dolního zubního oblouku.
Chirurgický zákrok byl proveden v lokální anestezii na horním zubním oblouku po incizi a odklopení laloku měkkých tkání v rozsahu od zubu 16 po 26. Po provedení interradikulárních kortikotomií, bylo provedeno štěpování prasečí kostí bez antigenů a celá oblast byla překryta membránou s krevními destičkami bohatými na fibrin (obr. 2a, b). Lalok byl reponován a fixován pomocí sutur.
Sedm dnů po chirurgickém zákroku došlo k odstranění stehů a byl nasazen Qadhelix pro derotaci molárů a rychlou patrovou expanzi. Současně byl v horním zubním oblouku nalepen samoligovací fixní aparát Damon Q (obr. 3a–d). Nivelizace v horním zubním oblouku bylo dosaženo pomocí sekvence nikltitanových oblouků:
0.014, 0.018, 0.016 × 0.022, 0.019 × 0.025.
Zaujala vás ukázka článku?
Celý článek můžete prostudovat v příslušném vydání časopisu Ortho CZ/SK 1/2019
stáhněte jej ve formátu PDF
Štítky:
V posledním desetiletí se léčba fóliovými aparáty (CAT – clear aligner therapy) stala velmi dobře známou variantou ortodontické terapie, a to ...
V posledních deseti letech získává ortodontická léčba pomocí průhledných alignerů na popularitě. Pacienti si chválí, jak jsou aparáty ...
LUCEMBURK: Teledentální péče zaznamenala během pandemie SARS-CoV-2 výrazný rozmach a její rostoucí využívání nadále vyvolává právní i ...
Abstrakt: Pacientem v prezentovaném případě byl 16letý chlapec se skeletální II. třídou, frontálně otevřeným skusem, stěsnáním a labiální ...
Fyziologické přechodné diastema v horní čelisti je pozorováno u dětí během erupce horních špičáků – po jejich prořezání se diastema v 96 ...
Medicína zaměřená proti stárnutí se zabývá prevencí, zpomalením a vedlejšími účinky stárnutí, pomáhá tedy lidem žít delší a ...
Okluze, estetika a minimálně invazivní přístup jsou hlavními diskutovanými tématy v moderní stomatologii. Minimálně invazivní techniky hrají ...
Jiný pohled na chirurgicky asistovaný pohyb zubů
Takřka každý člověk touží po perfektním úsměvu. Dale Carnegie řekl, že jednou z nejdůležitějších cest, jak získat přátele a působit na ...
Časová osa péče je v mnoha případech klíčem k zachování zubu při léčení dentálních traumat. Je tedy důležité, aby se všichni zubní ...
Živý webinář
Čt. 30 dubna 2026
1:00 (CET) Prague
Dr. Renato Leonardo D.M.D.
Živý webinář
Čt. 30 dubna 2026
7:00 (CET) Prague
Živý webinář
Ne. 3 května 2026
6:00 (CET) Prague
Dr. Rickard Brånemark MSc, MD, PhD, Dr. Robert Gottlander DDS
Živý webinář
Po. 4 května 2026
2:00 (CET) Prague
Živý webinář
Út. 5 května 2026
4:00 (CET) Prague
Živý webinář
Út. 5 května 2026
6:00 (CET) Prague
Živý webinář
Út. 5 května 2026
7:00 (CET) Prague
Dr. Maximilian Dobbertin M.Sc