Search Dental Tribune

Stěsnání a protruze léčené nestandardními extrakcemi

RTG vyšetření předlolženého případu (fotografie: Gianluigi Fiorillo, DDS)
Gianluigi Fiorillo, DDS

Gianluigi Fiorillo, DDS

Čt. 22 října 2020

uložit

Abstrakt: Pacientem v prezentovaném případě byl 16letý chlapec se skeletální II. třídou, frontálně otevřeným skusem, stěsnáním a labiální inklinací řezáků. V léčebném plánu byly indikovány extrakce ve všech čtyřech kvadrantech. Kvůli špatnému biologickému faktoru prvních horních molárů jsme se vyhnuli extrakcím horních premolárů – vytrženy byly horní první moláry a dolní první premoláry. TAD byly zavedeny meziálně u horních druhých molárů a byla použita obvyklá MBT mechanika s lace-backy a tie-backy pro posuny zubů. V horním zubním oblouku byl tie-back fixován od hlavy TAD k trnu na oblouku, aby byl zajištěn výlučně distální pohyb horních předních zubů. Jakmile byla získána I. třída ve špičácích, TAD byly odstraněny a tie-backy byly ukotveny k molárovým kanylám. Posunu bylo dosaženo bez obtíží a případ – po krátkém intervalu finishingu okluze – byl dokončen za 19 měsíců.

Úvod

Použití extrakcí v ortodontické léčbě je obecně indikováno při nedostatku místa v zubním oblouku a pro získání I. třídy ve špičácích a molárech. Zuby, které jsou nejčastěji extrahovány, jsou premoláry. V některých případech je však vhodné extrahovat jiné zuby, například ty destruované kazem, s endodonticky ošetřenými kořenovými kanálky, retinované nebo s poškozeným parodontem.

Výběr nestandardních zubů k extrakci vyžaduje dobrou kontrolu kotvení, která je možná díky zavedení TAD. Také je nutno použít efektivní zámky, které zajistí nízké tření při posuvné biomechanice a jsou odolné proti odlomení a debondingu.

Kazuistika

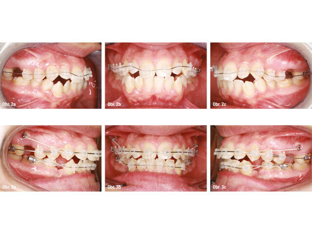
Prezentovaný případ je šestnáctiletý chlapec se skeletální II. třídou a dentální I. třídou. Intraorální klinický popis zahrnuje stěsnání, protruzi řezáků, pozitivní incizální schůdek i překus, horní první moláry se špatným biologickým faktorem a, v extraorálním aspektu, s inkompetentním retním uzávěrem a distální pozicí brady (obr. 1a–i). Prostorová analýza a vyhodnocení profilu vedly k indikaci extrakčního ošetření a navzdory počáteční úvaze o extrakci čtyř prvních premolárů bylo posléze rozhodnuto o extrakci prvních horních molárů a první dolních premolárů. Tento terapeutický plán vyžaduje věnovat velkou pozornost kotvení, a proto bylo stanoveno, že dva TAD budou použity v bukální oblasti meziálně u druhých horních molárů.

Dva týdny poté, co byly extrahovány první moláry, byly nasazeny 3M™ Clarity™ Advanced zámky s 3M™ MBT™ System preskripcí na horní čelist v kombinaci s 0.014" NiTi SE obloukem (obr. 2a–c). Nebyl použit žádný lace-back, aby nedošlo k nežádoucí mezializaci druhých molárů. Extrakce prvních dolních premolárů byly provedeny do dvou týdnů po nasazení horních zámků, ale s nasazením fixního aparátu jsme vyčkávali, aby došlo ke spontánní distalizaci špičáků. Za čtyři měsíce byly zámky nasazeny také v dolním zubním oblouku v kombinaci s lace backy a obloukem 0,014" NiTi SE; mezitím byla v horním zubním oblouku použita sekvence 0,016" NiTi SE a 0,017" × 0,025" NiTi s kotevní ligaturou od TAD ke špičákům a otevřenou pružinou mezi prvním a druhým premolárem (obr. 3a–c). Otevřená pružina vedla k distalizaci druhého premoláru a nežádoucí reciproční síla byla neutralizována kotevní ligaturou.

Po šesti měsících dosáhl druhý premolár konečné polohy s palatinálním hrbolkem v kontaktu s centrální oblastí meziodistální rýhy prvního dolního moláru.

 

Zaujala vás ukázka článku?

Celý článek můžete prostudovat v příslušném vydání časopisu Ortho CZ/SK 1/2020
stáhněte jej ve formátu PDF

 

Gianluigi Fiorillo vystudoval stomatologii na La Sapienza University v Římě (Itálie) v roce 1992 a postgraduální studium v ortodoncii ukončil v roce 2000 na University of Ferrara. Od roku 2007 je hostujícím profesorem D'Annunzio University v Chieti, od roku 2015 na Second University of Naples a od roku 2016 na University of Catania. Koordinuje (v Itálii) studijní skupinu 3M™ MBT™ Versatile + Appliance System a je autorem ortodontického blogu mbteam.co. Dr. Fiorillo žije a pracuje v Římě, kde má soukromou ordinaci, a zabývá se výhradně ortodoncií.

Štítky:
To post a reply please login or register
advertisement