Search Dental Tribune

Řešení bimaxilární protruze extrakcemi a lingválním aparátem

Kazuistika: Lingvální aparát (Fotografie: MUDr. et Mgr. Milada Soldánová, Ph.D.)
MUDr. et Mgr. Milada Soldánová, Ph.D.

MUDr. et Mgr. Milada Soldánová, Ph.D.

Pá. 8 března 2019

uložit

Lingvální aparáty zajišťují estetickou a komfortní ortodontickou léčbu náročných pacientů. Po zdolání počátečních komplikací, ve smyslu odlišného pracovního postupu a záludné biomechaniky, můžeme tyto aparáty indikovat pro všechny ortodontické anomálie. Dnes bychom vám chtěli představit kazuistiku pacientky s „long face“ sydromem a nutností extrakcí.

Pacientka ve věku 35 let se dostavila do naší ordinace s žádostí o diskrétní léčbu. Uvedla, že je v zaměstnání velmi vytížena a z nabízených aparátů (vestibulární zámky keramické, Invisalign a lingvální zámky) si vzhledem ke svému vytížení zvolila lingválně umístěné zámky. Byla seznámena s počátečními problémy, které přináší zmenšený ústní prostor, nicméně upřednostnila 2 zásadní výhody:

1. Veškerá obsluha aparátu závisí na ošetřujícím lékaři

2. Zajištěná diskrétnost, tedy pro okolí neviditelnost aparátu

Diagnóza: I. třída Anglea, bialveolární protruze, stěsnání v horním i dolním zubním oblouku.

Byly vyhodnoceny fotografie enface, profil a estetika úsměvu. Pacientka požadovala zlepšení bialveolární protruze (obr. 1–8).

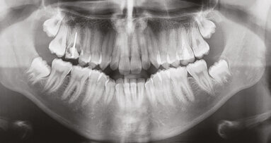
Dále byl vyhodnocen kefalometrický snímek (obr. 9), ortopantomogram (obr. 10) a provedena analýza modelů (obr. 11–15).

Po vyhodnocení dat, jsme se dohodly s pacientkou, že pro zlepšení profilu a postavení zubů bude nutná extrakce 4 premolárů.

Po naskenování modelů byl návrh léčebného plánu odeslán ke zhotovení zámků a drátěných oblouků. Protože byla plánována extrakce zubů 14, 24, 34 a 44, byly na zámky 17, 27, 37 a 47 požadovány háčky k usnadnění zavádění el. řetízků používaných ve fázi uzavírání mezer.

Byly zvoleny tyto drátěné oblouky pro jednotlivé fáze léčby:

Nivelizace NiTi .014, NiTi .016 × .022

Pro zvýšení torze před fází uzávěru mezer byl použit NiTi .017 × .025.

Pro konsolidaci zbytkových mezer byl použit ocelový oblouk .017 × .022.

Závěrečná fáze léčby proběhla na oblouku TMA .175 × .175.

Pacientka snášela léčbu velmi dobře. Aktivní fáze proběhla v nezvykle krátké době. Trvala pouze 13 měsíců. K retenci byly použity fóliové retainery k nošení přes den. Na noc byly zhotoveny deskové aparáty. Pacientce byly po třech měsících retence snímacími aparáty nalepeny fixní drátěné retainery.

Retenci snímacími aparáty volím po léčbě lingválními zámky vždy, a to z toho důvodu, že v průběhu léčby není vždy možné zcela vyloučit nakusování na lingvální zámky. Po sejmutí zámků je tak zubním obloukům umožněno, díky žvýkacím silám, dokončení správné artikulace (obr. 16–19).

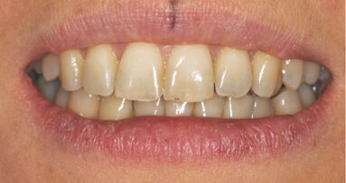
Po dokončení léčby byly zhotoveny kontrolní fotografie a snímky (obr. 20–34).

Na kontrolních fotografiích je zřejmé, že bylo dosaženo požadovaného zlepšení profilu pacientky, vyrovnání zubů a postavení zubních oblouků I. třídy Anglea.

Zaujala vás ukázka článku?

Celý článek můžete prostudovat v příslušném vydání časopisu Ortho CZ/SK 1/2019
stáhněte jej ve formátu PDF

 

MUDr. et Mgr. Milada Soldánová, Ph.D.
je specialistkou v oboru ortodoncie, provozuje úspěšné praxe v Jindřichově Hradci
i v Praze a externě spolupracuje s Ortodontickým oddělením Fakulty Palackého v Olomouci. V odborných kruzích je známa především jako odborník na lingvální ortodoncii a autorka skript o problematice orálně umístěných zámků.

Štítky:
advertisement
advertisement