Loni na jaře byl Dr. Seppo Lindroos, specialista na estetickou stomatologii a implantologii, osloven mladou pacientkou s několika vrozeně chybějícími zuby a narušeným skusem. Aby se předešlo dalším problémům, které by mohly chybějící zuby pacientce způsobovat, rozhodl se Dr. Lindroos provést na své zubní klinice Medident ve Finsku rekonstrukci jejího chrupu pomocí řízené implantace. Následující kazuistika ukazuje, jak lze bezproblémově použít řešení od společnosti Planmeca pro každý krok implantologického ošetření, počínaje jeho plánováním.
U dvacetileté pacientky byla diagnostikována ageneze stálých druhých premolárů a druhých molárů. O perzistující mléčný druhý molár přišla před několika lety a nyní měla problémy s porušenou okluzí. Pro získání dalších informací o stavu pacientčina chrupu byl pořízen panoramatický snímek pomocí zobrazovacího přístroje Planmeca Promax 2D.
S pacientkou byly prodiskutovány možnosti ošetření. Vzhledem k tomu, že její věk byl dostatečný pro implantaci, bylo rozhodnuto vyplnit mezeru korunkou kotvenou implantátem. Pokud by pacientka v budoucnu přišla i o perzistující dočasný druhý molár, muselo by se stejné ošetření provést i v tomto místě.
Pro naplánování implantologického ošetření byl nejprve pořízen CBCT snímek pomocí rentgenu Planmeca Viso G7 a zuby byly oskenovány intraorálním skenerem Planmeca Emerald. CBCT snímek a intraorální sken byly zkombinovány v softwaru Planmeca Romexis. Plánování ošetření bylo provedeno v modulu Planmeca Romexis 3D Implant, který obsahuje knihovnu implantátů od více než 100 výrobců. Pro pacientku byl zvolen implantát CONELOG SCREW-LINE od společnosti CAMLOG s průměrem 4,3 mm a délkou 9,0 mm, a jeho zavedení pak bylo pečlivě naplánováno pomocí režimu náhledů na implantát, který je součástí výše uvedeného softwaru.
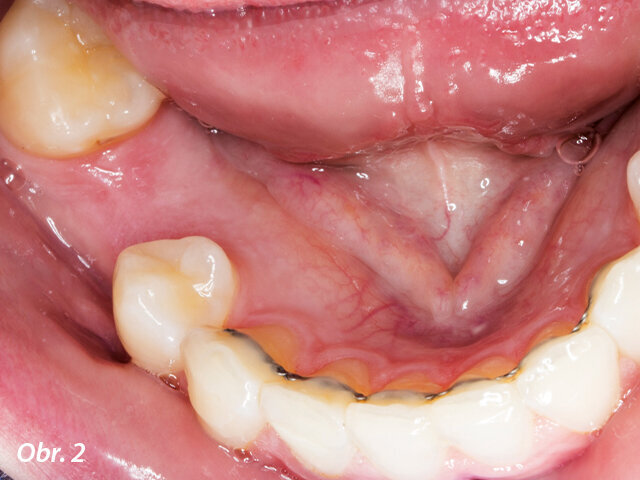
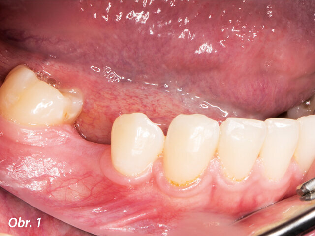
Dolní zuby pacientky před ošetřením.
Dolní zuby pacientky před ošetřením.
Panoramatický RTG snímek pořízený pomocí rentgenu Planmeca Promax 2D ukázal chybějící stálé zuby.
3D snímek postižené oblasti byl pořízen pomocí rentgenu Planmeca Viso G7.
Plánování implantátu bylo provedeno v softwaru Planmeca Romexis.
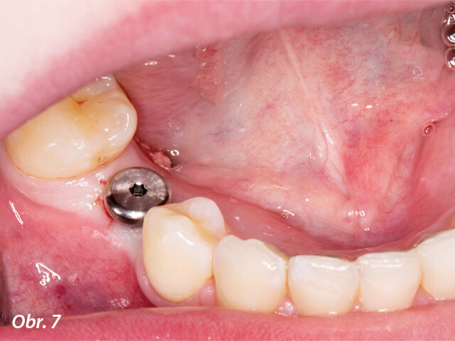
Chirurgická fáze zavádění implantátu byla provedena pomocí chirurgické šablony vytištěné na 3D tiskárně.
Na implantát byl po chirurgickém zákroku umístěn vhojovací abutment.
Za účelem navržení náhrady byl na implantát umístěn skenovací abutment.
Za účelem navržení náhrady byl na implantát umístěn skenovací abutment.
Návrh definitivní náhrady v softwaru Planmeca PlanCAD Premium.
Návrh definitivní náhrady v softwaru Planmeca PlanCAD Premium.
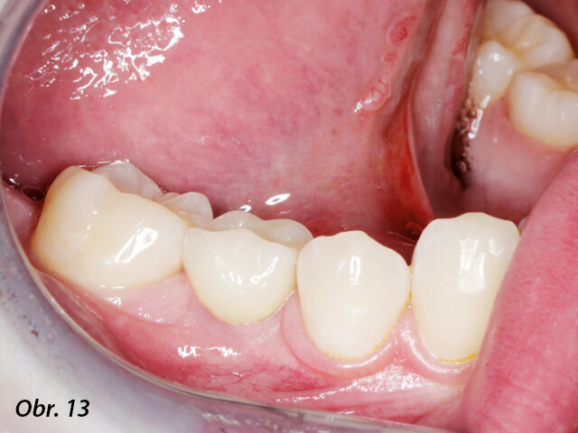
Definitivní náhrada v ústech pacientky.
Definitivní náhrada v ústech pacientky.
K dosažení přesně naplánované pozice implantátu byla zhotovena chirurgická šablona. Dr. Lindroos podle svých slov dává ve většině implantologických případů přednost řízené chirurgii, protože tak lze zaručit zavedení implantátu v optimální pozici a zkrátit dobu zákroku, stejně jako dobu hojení.
V tomto případě byla chirurgická šablona navržena pomocí modulu Planmeca Romexis 3D Implant Guide. Šablona pak byla vytištěna na 3D tiskárně Planmeca ProModel, což jsou technologie, které umožňují výrobu individualizovaných implantologických a chirurgických šablon pro náročné chirurgické procedury a plánování ošetření.
Po zavedení implantátu pomocí chirurgické šablony byl na implantát umístěn provizorní vhojovací abutment, který měl napomoci zhojení a vytvarování měkkých tkání do doby, kdy bude možné naplánovat definitivní náhradu.
Po třech měsících byl na implantát umístěn skenovací abutment a zhotoven intraorální sken situace přístrojem Planmeca Emerald za účelem navržení korunkové náhrady.
Zaujala vás ukázka článku?
Celý článek můžete prostudovat v příslušném vydání časopisu Digital CZ/SK 1/2021
stáhněte jej ve formátu PDF
Augmentační materiál ve formě granulátu je nutno dobře stabilizovat a materiál Geistlich Mucograft je možno kombinovat se „strip štěpem“ ...
V době, kdy byla zubním lékařům představena výpočetní tomografie využívající kuželovitý paprsek záření (Cone Beam CT, CBCT), vstoupila v ...
Úspěšná preparace na korunku začíná diagnostikou. Včasná detekce potřeby celoplášťové ...
Cílem endodontického ošetření je předcházet zánětu a dosáhnout prodlouženého účinku léčebného výkonu. Abychom toho dosáhli, je velmi ...
Abstrakt: Cílem studie bylo vyhodnotit tříletý výsledek u nezanořených dentálních implantátů s bukálními periimplantátovými defekty ...
Lingvální aparáty zajišťují estetickou a komfortní ortodontickou léčbu náročných pacientů. Po zdolání počátečních komplikací, ve smyslu ...
V dnešní době stále více implantujeme v místech s nedostatkem kosti pro klasickou implantaci. Nedostatek nabídky kosti často řešíme pomocí ...
Společnost Henry Schein, jeden z největších světových dodavatelů strojových NiTi kořenových nástrojů, úspěšně nabízí portfolio ...
Periimplantitida je jednou z výzev medicíny 21. století. Implantologové a parodontologové na celém světě neustále hledají spolehlivá a ...
Nejdůležitějším cílem endodontického ošetření stále zůstává odstranění ...
Živý webinář
Po. 11 května 2026
6:00 (CET) Prague
Živý webinář
Po. 11 května 2026
7:00 (CET) Prague
Živý webinář
Út. 12 května 2026
7:00 (CET) Prague
Živý webinář
Čt. 14 května 2026
6:00 (CET) Prague
Živý webinář
Čt. 14 května 2026
8:00 (CET) Prague
Prof. Hani Ounsi DDS PhD FICD
Živý webinář
Út. 19 května 2026
5:00 (CET) Prague
Živý webinář
Út. 19 května 2026
7:00 (CET) Prague
Prof. Dr. med. dent. Ivo Krejci
To post a reply please login or register