Search Dental Tribune

Použití technologie Cone Beam v ortodoncii

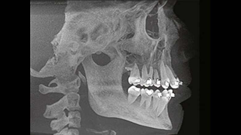
Kefalometrické pohledy konstruované z 3D skenování (obrázek publikován se svolením i-CAT)
Edward Y. Lin, DDS, MS, USA

Edward Y. Lin, DDS, MS, USA

Po. 19 srpna 2019

uložit

V době, kdy byla zubním lékařům představena výpočetní tomografie využívající kuželovitý paprsek záření (Cone Beam CT, CBCT), vstoupila v 90. letech zubní profese do nové éry radiodiagnostického zobrazování. CBCT vytvoří trojrozměrný obraz rychleji a snadněji než konvenční lékařské CT a poskytuje více informací než 2D obraz. Umožňuje přesné multiplanární trojrozměrné zobrazení, které přesně vyhovuje potřebám napříč všemi stomatologickými specializacemi (Bourgeois, 2007). I ti zubní lékaři, kteří nemají CBCT ve své praxi, posílají pacienty na CT vyšetření do nemocnic na rentgenologická oddělení. Ve srovnání s tradičním lékařským CT má CBCT zobrazování maxilofaciální oblasti četné výhody: větší přesnost, zkrácení doby skenování, nižší dávku záření i nižší náklady (Cho et al., 2008).

Základy CBCT technologie

Mezi metodou snímání obrazu u konvenčního lékařského CT a CBCT existují zásadní rozdíly. Klasická CT emitují paprsky ve tvaru vějířů a shromažďují data z jednotlivých řezů a poté je znovu sestavují. U CBCT snímá data paprsek ve tvaru kužele a skenuje celou oblast zájmu při jediné rotaci. Snímky Cone Beam mohou být provedeny za pouhých 8,9 sekund a rekonstruovány za méně než 30 sekund (obr. 1). Snímky jsou připraveny k okamžitému prohlížení, jsou rozměrově přesné a nejsou nijak zvětšeny – zobrazení je v poměru 1 : 1 (Ballrick et al., 2008).

CBCT přístroje jsou k dispozici s nabídkou několika velikostí zobrazovaného objemu. Úplný nebo rozšířený zobrazovaný objem nabízí obrazová data téměř celé lebky, zatímco středně velký objem zachycuje jednu nebo obě čelisti až do oblasti temporomandibulárního kloubu. Malý zobrazovaný objem pak zachycuje okolí několika zubů. Každá z těchto velikostí zobrazovaného objemu může být vhodnější pro určité specializace. Například ortodontisté vyžadují, aby na rentgenových snímcích byly viditelné kraniofaciální anatomické orientační body, bez kterých nelze vytvořit léčebný plán, a proto je pro tuto specializaci doporučeno využívat přístroje s celým nebo velkým polem. Při rekonstrukčních a ortognátních operacích obličeje umožňuje úplný zobrazovaný objem detailní pohled na veškeré struktury obličeje a anatomické vztahy (Howerton, 2009).

Jakmile je skenování dokončeno, 3D zobrazovací software umožní přesně replikovat polohu, tvary a měření skenovaných oblastí: horní a dolní čelisti, kloubů, nosní dutiny i vedlejších dutin nosních a dalších tkání až po krční páteř. Navíc tato zobrazovací metoda může vytvářet axiální, koronální a sagitální řezy, které dříve nebylo možno získat (obr. 2). V rámci softwaru lze tyto řezy přesně určit a rotovat v rámci diagnostiky a plánování léčby.

Data zachycená během skenování se ukládají ve formátu DICOM (Digital Imaging and Communications in Medicine), což je standard pro zpracování, ukládání, tisk a přenos informací v lékařských zobrazovacích metodách (Howerton et al., 2008). Přenositelnost těchto údajů umožňuje lékařům používat různé 3D plánovací programy (obr. 3). Ne všechna skenovaná data jsou vytvořena stejně: zachycená data mohou mít „digitální šum“ vlastní digitální informace. To může způsobit rozmazání 3D obrazů v nativních a nekompatibilních softwarových programech. Předtím, než investujete do určité technologie, zjistěte si, jak se data každého stroje objevují v softwaru třetích stran, nebo se zeptejte v laboratoři, která pracuje s mnoha datovými soubory, které z přístrojů mají nejmenší šum.

Využití CBCT skenů

Při zkoumání maxilofaciální oblasti CBCT pomáhá odhalit mnoho potenciálně patologických stavů a usnadňuje zavedení preventivních opatření před stomatologickou léčbou. Využití CBCT skenů zahrnuje:

  • posouzení horní a dolní čelisti pro možné umístění zubních implantátů
  • zhodnocení stavu existujících implantátů
  • snížení frekvence možných komplikací při zubním ošetření postihujících nervy a vedlejší nosní dutiny
  • zjištění stavu tvrdých tkání temporomandibulárního kloubu (TMJ)
  • detekce abnormalit nebo patologií ve skenované oblasti
  • stanovení rozsahu resorpce alveolárního hřebene
  • posouzení příslušných struktur před ortodontickou terapií
  • určení přesné polohy retinovaných zubů
  • stanovení symetrie obličeje přesněji, než při kefalometrii
  • hodnocení objemu dýchacích cest při studiu spánkové apnoe
  • stanovení polohy mandibulárního nervu ve vztahu k retinovaným zubům, zejména třetím dolním molárům, před jejich extrakcí (viz ConeBeam.com)
  • vytváření CAD terapeutických aparátů, u nichž je určení pozice kořenů přínosem oproti zobrazení pouze korunkových částí zubů

Trojrozměrné Cone Beam CT poskytuje podrobnější informace, které nejsou k dispozici na 2D rentgenových snímcích. Cone Beam umožňuje zubnímu lékaři přesně určit vztah retinovaných zubů k jiným anatomickým strukturám bez překrývání. Apikální resorpce může být detekována na 2D rentgenech, ale je to možné pouze na bukálních a lingválních částech kořenů. Axiální rovina CBCT skenů však umožňuje 360° pohled na celou oblast resorpce (Bourgeois, 2007). Kuželovitý CT paprsek také poskytuje lepší zhodnocení kvality kosti, než je tomu u panoramatické radiografie (Serman, 1989).

Úvahy o radiaci

Radiační dávka je při zhotovení každého rentgenového snímku prvořadým zájmem pacienta i zubního lékaře. Potenciál Cone Beam CT kolimovat rentgenové záření do oblasti zájmu umožňuje snížení expozice. Vzhledem k této jeho schopnosti je možné zobrazit celý kraniofaciální komplex v těch případech, kdy je nutné zhodnocení stavu před ortognátní operací, lékař si však také může zvolit zobrazení pouze mandibuly bez maxily, nebo zachytit specifické oblasti TM kloubů prostřednictvím kolimace přístroje – zmenšením zobrazovaného objemu podle potřeby (Bourgeois, 2007) (obr. 4).

Dávka záření u technologie CBCT byla naměřena jako ekvivalentní zhotovení statusu celých úst či „jednomu až dvěma panoramatickým rentgenovým snímkům, v závislosti na použitém nastavení“ (Ballrick et al., 2008). Zaměřením pozornosti na úroveň radiace se stomatologové spolu s dalšími zdravotníky připojují k protokolu ALARA (tak nízko, jak lze rozumně dosáhnout), který nabádá lékaře k tomu, aby vystavili pacienty co nejmenšímu množství záření a přitom stále získali adekvátní informace pro stanovení správné diagnózy.

 

Zaujala vás ukázka článku?

Celý článek můžete prostudovat v příslušném vydání časopisu Ortho CZ/SK 2/2019
stáhněte jej ve formátu PDF

 

Edward Y. Lin, DDS, MS
vystudoval bakalářský titul na University of Chicago (Illinois, USA). Pokračoval v
e vzdělávání ve stomatologii a studiu ortodoncie na Northwestern University Dental School. Dr. Lin má v Green Bay (Wisconsin, USA) soukromou praxi na plný úvazek. Přednáší na národní úrovni a také vyučuje v ortodontických rezidenčních programech na Marquette University a University of Minnesota. V letech 2008 a 2009 byl přednášejícím na mezinárodním kongresu pro 3D zubní zobrazování. Dr. Lin je členem American a Wisconsin Dental Associations, American Association of Orthodontists, Midwestern a Wisconsin Society of Orthodontics, a také World Federation of Orthodontists, jakož i místních a národních studijních klubů. Dr. Lin také dobrovolně pracuje na Community Dental Clinic na Northeast Wisconsin Technical College.

 

Štítky:
advertisement
advertisement