Periimplantitida je jednou z výzev medicíny 21. století. Implantologové a parodontologové na celém světě neustále hledají spolehlivá a realizovatelná léčebná řešení. V této případové studii autoři prezentovali jejich preferovaný protokol léčby periimplantitidy pomocí biomimetického náhradního kostního materiálu a resorbovatelné kolagenní membrány.
Periimplantitida je definována jako lokální léze, která je asociována se ztrátou kosti kolem oseointegrovaného implantátu, zatímco periimplantátová mukositida je reverzibilní zánětlivá změna ve sliznici obklopující implantát.
Periimplantátová mukositida je diagnostikována sondáží, po které následuje krvácení. Mukositida není často klasifikována jako závažná věc a také není často brána vážně ani pacientem.
Na základě různých výzkumů má prevalence periimplantitidy výrazný rozptyl a to mezi 2 až 58 procenty všech implantátů (Koldsland a kol.). Podle zprávy Cochraneho, publikované v roce 2011, není dostatek důkazů pro v současnosti známé léčby periimplantitid. Musí být tedy ještě provedeno více výzkumů na tomto poli (Esposito a kol.).
Zkušenosti autorů s jejich preferovaným protokolem léčby periimplantitidy je prezentován krok po kroku na následujícím klinickém případu. K nahrazení ztracené kosti byl použit set pro periimplantitis Implacure® (MedTech Dental AG) a regenerativní, biomimetický náhradní kostní materiál (CERASORB® M, curasan AG).
Chirurgický protokol
- Odklopení a mobilizace mukoperiostálního laloku k získání co možná nejméně omezeného přístupu do oblasti defektu. Pokud to je možné, suprastruktura by měla být odstraněna.
- Opatrná kyretáž infikované oblasti a důkladné odstranění veškeré měkké tkáně adherující na kost.
- Dekontaminace povrchu implantátu za použití různých brousků. Jak apikální část, která bude později v kontaktu s náhradním kostním materiálem, tak krestální část, která bude později v kontaktu se sliznicí, musí být vyčištěny.
- Překrytí celého odhaleného povrchu kosti sterilní gázou a navlhčení gázy sterilním fyziologickým roztokem, aby se zlepšila její adheze ke kosti.
- Aplikace gelu sestávajícího se z 37% kyseliny fosforečné a 2% chlorhexidinu na celý odhalený povrch implantátu, aby se eliminoval veškerý zbývající biofilm.
- Po dvou minutách je gel důkladně vypláchnut fyziologickým roztokem a gáza je odstraněna.
- Obalení celého povrchu implantátu do sterilní gázy. Gáza je následně napuštěna roztokem hyaluronátu sodného / piperacillinem / tazobactamem, který se nechá působit po dobu 5 minut.
- Odstranění gázy.
- Náhradní kostní materiál je smíchán s roztokem hyaluronátu sodného / piperacillinem / tazobactamem a autologní kostí odebranou z oblasti defektu nebo s PRP (plasma bohatá na destičky) ve sterilní zkumavce a materiál je pak bez tlaku vložen do postižené oblasti. Oblast je následně překryta resorbovatelnou kolagenní membránou, která se předtím nechala nasáknout antibiotickým roztokem.
- Readaptace laloku a sutury.
Kazuistika
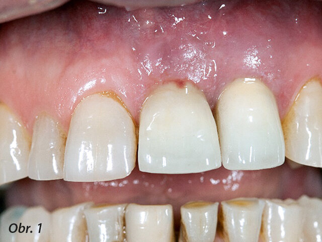
Pacient, 59 let, se dostavil do ordinace a stěžoval si na drobný exsudát u zubních implantátů ve frontální oblasti (obr. 1). Při úvodním vyšetření odhalila sondáž hluboký cirkulární chobot kolem implantátů. Mobilita implantátů však přítomna nebyla. Podezření potvrdilo radiografické vyšetření, které odhalilo pokročilou periimplantitis u nedávno zavedených implantátů (obr. 2).
Zaujala vás ukázka článku?
Celý článek můžete prostudovat v příslušném vydání časopisu Implants CZ/SK 1/2019
stáhněte jej ve formátu PDF
Štítky:
Nejdůležitějším cílem endodontického ošetření stále zůstává odstranění ...
Poslední vývoj v oblasti kompozitních materiálů a vazebných technologií umožnil jejich běžné ...
Od roku 2011 jsem ošetřil mnoho pacientů a vedl semináře o první fázi ortodontické terapie pomocí alignerů Invisalign. Proto jsem měl velká ...
Ošetření při nedostatečné nabídce kosti je pro všechny implantology známou výzvou. Tato situace je problematická pro samotné zavedení ...
Strategický přístup k prevenci ve všech zdravotnických oborech je třeba vnímat v celosvětovém měřítku a v souvislostech. V posledních letech ...
Augmentační materiál ve formě granulátu je nutno dobře stabilizovat a materiál Geistlich Mucograft je možno kombinovat se „strip štěpem“ ...
V době, kdy byla zubním lékařům představena výpočetní tomografie využívající kuželovitý paprsek záření (Cone Beam CT, CBCT), vstoupila v ...
Nedávno se sešlo devatenáct zubních techniků z celého světa a jeden zubní lékař z České ...
Termoplastické materiály se již dlouho používají v leteckém a kosmickém inženýrství. Vzhledem k jejich vysoké mechanické pevnosti a nízkému ...
Termoplastické materiály se již dlouho používají v leteckém a kosmickém inženýrství. Vzhledem k ...
Živý webinář
Čt. 30 dubna 2026
1:00 (CET) Prague
Dr. Renato Leonardo D.M.D.
Živý webinář
Čt. 30 dubna 2026
7:00 (CET) Prague
Živý webinář
Ne. 3 května 2026
6:00 (CET) Prague
Dr. Rickard Brånemark MSc, MD, PhD, Dr. Robert Gottlander DDS
Živý webinář
Po. 4 května 2026
2:00 (CET) Prague
Živý webinář
Út. 5 května 2026
4:00 (CET) Prague
Živý webinář
Út. 5 května 2026
6:00 (CET) Prague
Živý webinář
Út. 5 května 2026
7:00 (CET) Prague
Dr. Maximilian Dobbertin M.Sc