Search Dental Tribune

3D technologie v diagnostice a léčbě endodontických onemocnění

Fotografie Dr. Fabio Gorni
Dr. Fabio Gorni

Dr. Fabio Gorni

Po. 8 června 2020

uložit

Technologie spjatá s endodontickou terapií prošla v posledních letech opravdovou revolucí. Po dlouhá léta byly využívány jako základ pro diagnostiku a plánování terapie kořenových kanálků intraorální rentgenové snímky, a to i přesto, že tyto snímky nemohly poskytnout věrnou reprodukci anatomie kořenového systému. Tento problém vedl k řadě komplikací při endodontickém ošetření, které, ač mohly být částečně překonány zkušenostmi operatéra, zůstávaly především v oblasti diagnostiky do určité míry poměrně dlouho nevyřešeny.

Začal jsem používat CBCT (počítačová tomografie s kuželovým paprskem) k endodontickým účelům již před více než 10 lety. Přístroje, které jsem tehdy používal, měly daleko k dokonalosti pro tento specifický účel, avšak dnešní možnosti nabízené stále sofistikovanějšími technologiemi velmi zlepšily moje diagnostické a intervenční schopnosti. Aby mohl endodontista vytvořit přesnou diagnózu, musí provést velmi detailní zhodnocení anatomie kořenových kanálků a pulpy, což vyžaduje vyšetřovací techniky s vysokým rozlišením a software, který umožňuje endodontistovi jednoduše a spolehlivě „otáčet zubem“. To může znít jako jasné a triviální, ale není. Během posledních 10 let jsem měl možnost pracovat s velkým množstvím přístrojů a desítkami softwarových programů, ale pouze několik málo z nich se ukázalo být vhodných pro endodontické účely. Nyní již po několik let používám s velmi uspokojivými výsledky ACTEON trium technologii. Zobrazení je velmi přesné a detailní, uživatelská přívětivost ACTEON Imaging Suite navíc umožňuje rozpoznat i ty nejmenší rozdíly mezi různými radiografickými řezy. Tyto rozdíly mají prvořadou důležitost pro stanovení správné endodontické diagnózy a pro rozhodování o vhodné terapii. Samotná klinická zkušenost nestačí ke zvolení vhodného postupu u všech jednotlivých případů – proto jsou často případy původně naplánované na ortográdní ošetření po vyhodnocení CBCT snímku změněny na případy vhodné pro endodontickou chirurgii a naopak. Lze tedy říci, že diagnostické možnosti, které nyní máme, drasticky snížily počet nesprávných diagnóz a následně i počet klinických omylů.

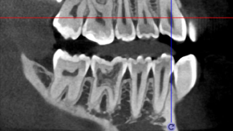
Klinický případ, kterým dále uvádím, je skvělým příkladem toho, jak obtížné je určit původ pacientových symptomů pouze na základě intraorálního snímku. Vizualizace 2D snímku selhává v jistotě určení přítomnosti léze, ještě důležitější však je, že je nemožné určit velikost, morfologii a typ léze, kterou se podaří nalézt. Analýza 3D snímku nám poskytne jasnou představu o klinické situaci: koronální a sagitální řezy odhalily přítomnost veliké léze sahající od apexu meziálního kořene tohoto moláru do furkace, zatímco axiální řezy nám umožňují provést přesnou analýzu endodontické anatomie a obzvláště pak tvaru meziálního kořene, který byl v tomto případě spojen s palatinálním kořenem. Celkový přehled o situaci ovlivňuje rozhodování o postupu a stanovení léčebného plánu zahrnujícího speciální úkony (obr. 1–4).

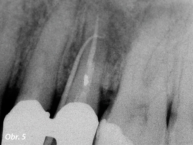
U horního premoláru na obr. 5, 6 odhalil fistulogram přítomnost apikální léze, která zasahovala koronálním směrem asi do střední třetiny kořene. Rozhodování o klinickém postupu tedy mohlo vést k ortográdní revizi endodontického ošetření. CBCT nám ale poskytlo zcela jiný pohled na situaci v porovnání s intraorálním snímkem, ukázalo totiž, že byl zub při předchozím ošetření nevratně poškozen a musí být extrahován.

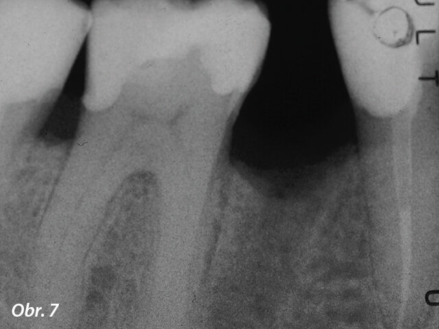
Situace byla zcela odlišná u dolního premoláru na obr. 7–9, kde si při absenci radiologických znaků léze, a i přes zdánlivě správný endodontický přístup jiného kolegy, pacient stěžoval na perzistentní bolest, která byla jak spontánní, tak vyvolaná poklepem. V tomto případě, kdy se zdála být předchozí léčba kořenových kanálků dobrá, by se jako vhodný mohl nabízet chirurgický přístup, který by v takovém případě mohl zajistit vyšší míru úspěšnosti než revize endodontického ošetření. Vzhledem k diagnostickým pochybnostem bylo rozhodnuto zhotovit 3D snímek, který odhalil endodontickou lézi způsobenou neošetřeným lingválním kanálkem. Tato správná diagnóza nám tedy umožnila provést selektivní intervenci na zbylé pulpě vedoucí k úspěšné léčbě neošetřeného kanálku.

Jednou z nejkomplikovanějších diagnóz k léčbě je bezpochyby externí invazivní resorpce kořene, kde rozsah defektu ovlivňuje možnosti léčby. Je tedy rozumné provést preoperativní zhodnocení místa a rozsahu resorpce, a tedy i potenciál ke zhojení. To záleží na správném 3D plánování výkonu, které může být provedeno jen po vyhodnocení CBCT snímků. Je velmi důležité, abychom byli schopni vidět správně jednotlivé řezy zubu ve všech třech rovinách se zvláštním zaměřením na axiální řezy, které jsou strategické z pohledu endodontické diagnostiky.

 

Zaujala vás ukázka článku?

Celý článek můžete prostudovat v příslušném vydání časopisu Roots CZ/SK 1/2020

stáhněte jej ve formátu PDF

 

Dr. Fabio Gorni je konzultujícím profesorem endodoncie pro nemocnici v Sao Paolo (Itálie) spolupracující s Milánskou univerzitou v Itálii. Je aktivním členem Italské endodontické společnosti a Italské mikrostomatologické akademie (IAM), specialistou a členem Evropské endodontické společnosti a Americké asociace endodontistů. Od roku 1994 do roku 1998 byl v přijímací komisi Italské endodontické společnosti a od roku 1998 do roku 2001 byl kulturním sekretářem této společnosti a od roku 2003 do roku 2005 byl jejím prezidentem. Vedl řadu kurzů a přednášel na kongresech v Itálii a po celém světě. Publikoval mnoho vědeckých článků v národních i mezinárodních časopisech. Ve spolupráci s Dr. C. J. Ruddle produkoval sérii vědeckých videí nazvanou The Endodontic Game, která je od té doby distribuována v Evropě, USA, Kanadě, Austrálii i Asii.

Štítky:
To post a reply please login or register
advertisement
advertisement