Search Dental Tribune

Léčba diastematu v horní čelisti: Úvod a povaha problematiky

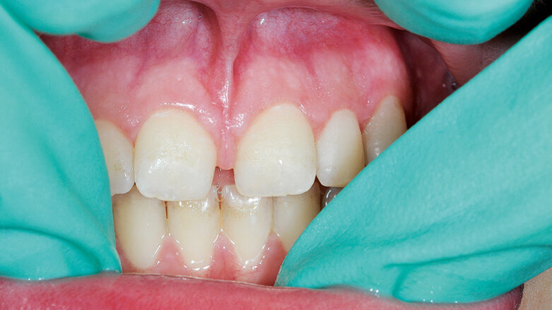
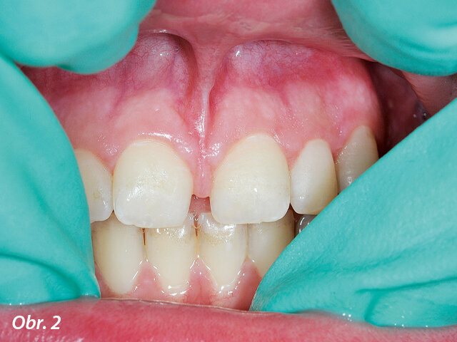
Léčba diastematu v horní čelisti (fotografie: N. Prebil)
Dr. Nataša Prebil, Slovinsko

Dr. Nataša Prebil, Slovinsko

Út. 29 června 2021

uložit

Fyziologické přechodné diastema v horní čelisti je pozorováno u dětí během erupce horních špičáků – po jejich prořezání se diastema v 96 % případů spontánně uzavře. Obecně je diastema zubů pozorováno v důsledku různých etiologických faktorů, jako jsou nadpočetné zuby, vrozená absence stálých zubů, škodlivé orální návyky, vysoký úpon frenula, čípkovité zuby, mikrodoncie a další. Měla by být stanovena správná diagnóza. Pokud je příčinou diastematu vysoký úpon frenula, je jako chirurgický zákrok indikována frenulektomie. Diastema perzistuje, pokud má maxilární labiální frenulum papilární úpon (typ III) nebo proniká do palatinální papily (typ IV).

Fyziologické přechodné diastema v horní čelisti je pozorováno u dětí během erupce horních špičáků – po jejich prořezání se diastema v 96 % případů spontánně uzavře. Obecně je diastema zubů pozorováno v důsledku různých etiologických faktorů, jako jsou nadpočetné zuby, vrozená absence stálých zubů, škodlivé orální návyky, vysoký úpon frenula, čípkovité zuby, mikrodoncie a další. Měla by být stanovena správná diagnóza. Pokud je příčinou diastematu vysoký úpon frenula, je jako chirurgický zákrok indikována frenulektomie. Diastema perzistuje, pokud má maxilární labiální frenulum papilární úpon (typ III) nebo proniká do palatinální papily (typ IV).

Optimální okamžik pro frenulektomii nastává poté, co došlo k erupci horních špičáků a nedošlo k uzavření diastematu. Tento zásah by měl být proveden v raném dětství ve věku od 7 do 9 let. V této době je v pooperačním období zotavení velmi krátké a vyžaduje minimální spolupráci pacienta. Chirurgickou korekci diastematu lze úspěšně provést bez ortodontické léčby. V pozdější fázi, kdy je aktivní erupce zubů dokončena, je uzavření diastematu s výrazným frenulem předvídatelnější s využitím frenulektomie společně s ortodontickou léčbou než při samotné frenulektomii. Jsou uváděna některá doporučení k provedení frenulektomie před ortodontickou terapií, zatímco jiná doporučují její provedení během nebo po dokončení ortodontické terapie.

Jeden z výkladů ideálního načasování frenuletomie udává, že pokud se uzdička odstraní před uzavřením diastematu, velikost jizvy bude větší – vytvoří se nadměrné množství hustého kolagenu a výsledná zjizvená tkáň ztěžuje uzávěr mezery. Optimální doba pro frenulektomii je situace, kdy je ještě dostatek místa k provedení chirurgického zákroku, ale diastema je téměř uzavřené působením ortodontického aparátu v rámci již probíhající ortodontické korekce. Síla ortodontického aparátu pak uzavře zbývající prostor při fázi hojení po chirurgickém zákroku. Tímto způsobem pomůže zhojená zjizvená tkáň zachovat dosaženou novou pozici středních řezáků. Výkon je třeba provádět obezřetně, aby byla incizální papila vylepšena, nikoli zničena.

V níže uvedeném případě se dostavila pacientka do naší zubní ordinace s horním labiálním frenulem typu IV, které zabraňovalo uzavření diastematu a ovlivňovalo frontální estetiku úst. K chirurgickému zákroku byl využit Er:YAG laser (2940 nm) – díky fototermálnímu účinku laseru na molekuly je možné jej využít k šetrnému „odpaření“ slizničních a kolagenových komponent frenula v místě zákroku. Er:YAG je zcela absorbován v povrchové vrstvě tkáně, čímž brání poškození podkladových a okolních struktur. To je zvláště důležité při odstraňování hlubších vrstev kolem nervů a cév (incizální papila).

Anamnéza a léčebný plán

Do naší ordinace přišla 16letá pacientka s labiálním frenulem typu IV, jehož úpon pronikal do palatinální papily a bránil uzavření diastematu (obr. 1–4). Pacientka byla celkově zdravá, neužívala žádné léky, netrpěla žádnými alergiemi. Stav orálního zdraví pacientky: Zuby 16, 24, 25, 34, 35, 36 a 44, 45, 46 měly zapečetěné fisury. Zub 26 měl kompozitní výplň. Třetí moláry se ještě neprořezaly. Gingivální tkáň byla zdravá. Kontrola plaku a ústní hygiena na dobré úrovni. Palpace obou temporomandibulárních kloubů (TMK) a pohyby čelistí nevykazovaly žádné známky patologie. Okluzní vztah byl diagnostikován jako Angleova I. třída.

Po topické anestezii byla aplikována lokální infiltrační anestezie do měkké tkáně obklopující frenulum a incizální papilu (0,5 ml 3% Scandonest, injekce Mepivacaine HCl, Xylocaine Spray, 50 ml lokálně). Následně byl použit laserový systém Er:YAG (LightWalker AT, Fotona) s násadcem H14 a špičatou koncovkou 12/0,5 × 1,5 mm. Laser byl nastaven na energii 155 mJ, frekvenci 15 Hz, výkon 2,3 W, hladinu vody 3, hladinu vzduchu 2, v režimu SP.

 

Zaujala Vás ukázka článku? Celý článek naleznete zde.

 

 

V roce 1996 absolvovala doktorka Nataša Prebil studium stomatologie na Univerzitě v Lublani (Slovinsko) a poté zahájila svou kariéru dětské zubní lékařky. V roce 2003 se začala zaměřovat na pacienty se speciálními potřebami. Později otevřela soukromou kliniku pro děti a dospělé v roce 2006 a další kliniku pro dospělé pacienty v roce 2013. S dentálními lasery začala pracovat v roce 2009 a absolvovala magisterský program LAÍ Dental v laserové stomatologii v roce 2018. Lasery využívá

 

To post a reply please login or register
advertisement
advertisement