Zavádění dentálních implantátů je stále častěji využívanou metodou náhrady chybějících zubů. Náhrady nesené implantáty je možné použít jako alternativu k tradičním můstkům nebo snímatelným náhradám, a to jak u částečně, tak zcela bezzubých pacientů. Distální úsek horní čelisti je však pro chirurgy obvykle problematický z důvodu resorpce kosti, ke které dochází po extrakci zubů. Horní čelist je navíc tvořena převážně spongiózní kostí, která je v dutině ústní jednou z kostí s nejmenší hustotou.
Za účelem kompenzace atrofie a zvětšení objemu kosti dostupné pro zavedení implantátu jsou neustále vyvíjeny nejrůznější techniky. Předvídatelnou a dobře zdokumentovanou metodou zvětšení objemu kosti pro zavedení implantátu je elevace maxilárního sinu. Tato procedura může dokonce i zlepšit kvalitu kosti, provede-li se augmentace dutiny sinu kostním štěpem, jenž dokáže kost zhutnit. Standardní metodika elevace maxilárního sinu zahrnuje vytvoření vnějšího okénka, opatrné nadzvednutí membrány sinu (Schneiderovy membrány) a zhutnění dna sinu pod zvednutou membránou pomocí kostního štěpu. Předvídatelnost a bezpečnost této metody je dokladována již od roku 1980 na základě vyhodnocování tvorby kosti, zjištěné nízké míry výskytu komplikací a vysoké míry úspěšnosti implantátů, bez ohledu na výšku zbytkové krestální kosti.
U menších a středně velkých deficiencí horizontálního hřebene zase nabízí možnost obnovy stavby kosti řízená kostní regenerace (GBR) za použití kostních štěpů ve spojení s bariérovými membránami, které stabilizují a chrání transplantované štěpy. V poslední době se ukazuje, že postup GBR s použitím vstřebatelných membrán dokáže rekonstruovat nebo augmentovat i zvlášť tenké okraje hřebenů. Základním kamenem úspěšného protokolu GBR nadále zůstává princip PASS (prvotní uzavření rány, angiogeneze, zachování prostoru a stabilizace krevní sraženiny). V případě částečně bezzubých pacientů bylo doloženo, že střednědobé až dlouhodobé zachování implantátů dokáže zajistit kombinace augmentace hřebene a sinu. Co se týče GBR i augmentace sinu, je zkoumána celá řada různých materiálů. Doposud však nebylo dosaženo žádného konsensu ohledně největšího klinického přínosu některého z těchto materiálů. Účelem tohoto článku je ukázat, jak zvládne kombinace různých technik, správné použití náhradních kostních materiálů a management měkkých tkání rekonstruovat horní oblouk a umožnit umístění fixní náhrady nesené implantáty. Poskytne rovněž vyhodnocení objemových změn použitého náhradního kostního materiálu v průběhu času.
Kazuistika 1: Chirurgický zákrok u maxilárního sinu a odložené zavedení implantátu
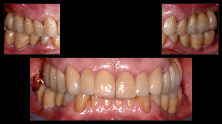
50letá pacientka se dostavila na kliniku Lake Como Institute v Itálii, protože potřebovala kompletní rehabilitaci horního oblouku. Bylo provedeno pečlivé klinické a radiologické vyšetření (konvenční a CBCT) a všechny zuby byly posouzeny jako beznadějné (obr. 1, 2). Pacientka požadovala rehabilitaci horní čelisti formou fixního protetického řešení. Plán ošetření zahrnoval čtyři chirurgické fáze: extrakci všech zbývajících zubů, oboustrannou elevaci maxilárního sinu s prvotní horizontální augmentací, zavedení implantátů s druhou horizontální augmentací a fázi odkrytí implantátů za účelem managementu měkkých tkání. Po extrakcích byla pacientce dodána celková snímatelná náhrada. Bylo rozhodnuto vyčkat po dobu čtyř měsíců, než se přikročí k další chirurgické fázi, aby se mohla zhojit postextrakční lůžka. Náhrada byla během této doby z důvodu dosažení správné adaptace dvakrát podložena.
Před provedením oboustranné elevace maxilárního sinu proběhlo klinické a radiologické vyšetření za účelem posouzení náročnosti chirurgického zákroku. Po aplikaci lokální anestezie (4% artikain s 1 : 100000 adrenalinu) do bezzubých oblastí horní čelisti byly provedeny dva krestální řezy posunuté palatinálně. Uvolňující řezy byly vedeny bukálně v oblasti špičáku a hrbolků čelisti a na bukálních stranách byly zvednuty dva laloky v plné tloušťce, které vedly k obnažení laterálních stěn maxilárních sinů. Poté byla pomocí různých čepelek v piezoelektrickém skalpelu vyříznuta dvě laterální nitrokostní okénka (obr. 3). Dbalo se na to, aby při proceduře nedošlo k perforaci membrány sinu. Membrána byla nadzvednuta pomocí speciálních sinusových kyret do té míry, aby byla k dispozici dostatečná výška pro implantáty (obr. 4). Do oblasti hrbolků čelisti byla vložena kolagenní peletka, která měla podržet membránu sinu zvednutou, a za účelem zvýšení vaskularizace a podpory regenerace kosti v ní byly vytvořeny mikrootvory. Pak byl přímo do antrostomie pravého sinu umístěn kolagenní heterologní náhradní kostní materiál sticky bone v kolagenovém matrixu (OsteoBiol GTO, Tecnoss) (obr. 5a) a do levého sinu hydratovaný heterologní náhradní kostní materiál (OsteoBiol mp3, Tecnoss) (obr. 5b), přičemž oba štěpy byly zhutněny. Nad antrostomiemi byla pomocí mikrošroubků zajištěna kolagenní membrána (OsteoBiol Evolution, Tecnoss) (obr. 6), na bukální oblast pravého sinu byla z důvodu horizontální atrofi e umístěna první vrstva náhradního kostního materiálu (OsteoBiol GTO) a membrány byly založeny pod palatinální stěnu. Před sešitím byla vrstva PRF membrán uspořádána tak, aby oblasti chránila a napomohla zhojení. Obě strany byly sešity, aby se mohly zhojit. Vzhledem k omezené výšce kosti pod dnem sinu bylo zavedení implantátů odloženo o tři měsíce do doby integrace štěpu. Byl pořízen CBCT snímek, aby se mohl zkontrolovat rozsah augmentace a na každé straně byla provedena další dvě měření, aby byl k dispozici výchozí bod pro vyhodnocování budoucích objemových změn biomateriálů.
Pacientka se vrátila po třech měsících na CBCT vyšetření, aby se rozhodlo, zda je zhojení optimální pro zavedení implantátů. Kvůli jejím zdravotním problémům bylo bohužel další ošetření odloženo. Když se pacientka mohla opět dostavit, po dalších třech měsících, byl před implantologickým zákrokem znovu pořízen CBCT snímek, na němž byly vyhodnoceny objemové změny biomateriálů a naplánován chirurgický zákrok. Za účelem vyhodnocení výsledků předchozí augmentace kosti byl zvednut lalok v plné tloušťce na pravé (obr. 7a) i na levé straně (obr. 7b). Poté bylo zavedeno osm implantátů, do bukální oblasti byla na obou stranách čelisti umístěna další vrstva náhradního kostního materiálu (OsteoBiol GTO). Díky vlastnostem tohoto kolagenního lepivého materiálu jej nebylo nutné hydratovat, protože přilnul na své místo a zabránilo se tak riziku uvolnění granulí během zákroku (obr. 8a, b). Biomateriál byl následně překryt membránou (OsteoBiol Evolution) a obě strany byly sešity.
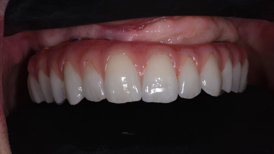
Pacientka byla objednána na poslední chirurgickou fázi za čtyři měsíce: fáze odkrytí. Před zahájením poslední fáze byl pořízen poslední CBCT snímek, na němž byly vyhodnoceny pozice implantátů a to, jak se výška nového dna sinu uzpůsobila zavedeným implantátům. Fáze odkrytí byla naplánována po oseointegraci implantátů, aby došlo k obnově keratinizovaných tkání na bukální straně a správné hloubce fornixu. Tentokrát byl lalok zvednut jen částečně, počínaje na palatinální straně (obr. 9), aby se obnažily krycí šroubky implantátů a pojivové tkáně kolem implantátů zůstaly zachovány. Krycí šroubky byly odstraněny a nahrazeny vhojovacími abutmenty požadované výšky (obr. 10). Poté byl lalok sešit, veškeré keratinizované tkáně na vestibulární straně byly zachovány a palatinální strana se mohla po sekundárním zákroku zhojit (obr. 11). Po zhojení tkání, zhruba po osmi týdnech, byl pořízen otisk a vyrobena a nasazena provizorní náhrada. Po úplném vyzrání tkání, zhruba po čtyřech měsících, byl pořízen další otisk a vyrobena a nasazena definitivní náhrada (obr. 12a, b).
Klinický výsledek
Před poslední chirurgickou fází (fáze odkrytí) zaznamenal CBCT snímek přesné pozice implantátů a výšku nového dna sinu. Výška augmentovaných oblastí kosti byla shledána vyhovující pro zavedení implantátů za dobrých podmínek. Po čtyřech měsících hojení ukázal CBCT snímek, že se obě strany dobře zhojily. Rekonvalescence byla bezproblémová a pacientka si nestěžovala na bolest, ani nebyly patrné žádné známky infekce. Stejně pozitivní výsledky bylo možné odvodit z průběžných radiologických vyšetření. Všechna měření byla shromážděna do dvou tabulek, podle použitého biomateriálu, aby se mohlo vyhodnotit, jak měnil konkrétní náhradní kostní materiál objem v průběhu času. Výšky augmentovaných sinů se snižovaly podobným tempem. Mezi pooperačním CBCT snímkem a hojením po dobu tří a šesti měsíců se v případě biomateriálu OsteoBiol GTO výška snížila z 22,20 mm na 15,61 mm (objemová změna 29,7 %) a na 12,88 mm (objemová změna 42,0 %) a z 21,61 mm na 15,40 mm (objemová změna 29,7 %) a na 13,20 mm (objemová změna 38,9 %). Podobně i na levé straně, kde byl použit biomateriál OsteoBiol mp3, se výška snížila z 21,80 mm na 17,60 mm (objemová změna 19,3 %) a na 14,60 mm (objemová změna 33,0 %) a z 25,20 mm na 17,82 mm (objemová změna 29,3 %) a na 14,82 mm (objemová změna 41,2 %). Augmentované oblasti tedy měly dostatečný objem pro zavedení implantátů. Je třeba poznamenat, že se po zavedení implantátů nezastavila remodelace kosti. Ve skutečnosti byla na posledním CBCT snímku pořízeném po deseti měsících hojení (před fází odkrytí) patrná další resorpce po hroty implantátů, odpovídající resorpci zhruba 55 % (tabulka 1, 2). Je nicméně potřeba ocenit, že oba biomateriály umožnily rekonstrukci výšky hřebene a materiál OsteoBiol GTO dokonce umožnil obnovu průměru hřebene. Morfologie těchto biomateriálů se navíc podobá přirozené kosti. V podstatě bylo obtížné poznat rozdíl mezi transplantovanými kostními štěpy a kostí pacientky. Je nicméně potřeba zdůraznit, že biomateriál OsteoBiol GTO měl o něco větší resorpci než biomateriál mp3, pravděpodobně vlivem většího množství kolagenní gelové složky.
Obr. 1: Intraorální snímek.
Obr. 2: RTG snímek před ošetřením.
Obr. 3: Antrostomie provedená pomocí piezochirurgie.
Obr. 4: Elevace Schneiderovy membrány.
Obr. 5a, b: Umístění kolagenního náhradního kostního materiálu sticky bone do antrostomie na pravé straně (a)
Obr. 5a, b: Umístění kolagenního náhradního kostního materiálu sticky bone do antrostomie na pravé straně (a) a hydratovaného heterologního náhradního
kostního materiálu do antrostomie na levé straně (b).
Obr. 6: Zajištění kolagenní membrány pomocí minišroubků.
Obr. 7a, b: Výsledek první horizontální augmentace na pravé straně (a) a na levé straně (b).
Obr. 7a, b: Výsledek první horizontální augmentace na pravé straně (a) a na levé straně (b).
Obr. 8a, b: Druhá horizontální augmentace na pravé straně (a) a na levé straně (b) s již zavedenými implantáty.
Obr. 8a, b: Druhá horizontální augmentace na pravé straně (a) a na levé straně (b) s již zavedenými implantáty.
Obr. 8a, b: Druhá horizontální augmentace na pravé straně (a) a na levé straně (b) s již zavedenými implantáty.
Obr. 10: Separovaný lalok při fázi odkrytí s nasazenými vhojovacími abutmenty.
Obr. 11: Závěrečné sešití při čtvrté chirurgické fázi.
Kazuistika 2: Chirurgický zákrok u maxilárního sinu a současné zavedení implantátů
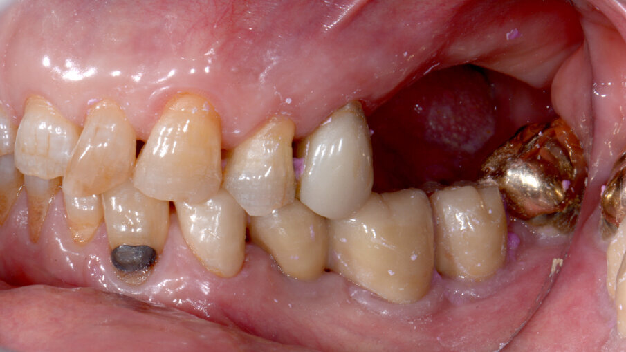
Tento pacient se také dostavil na ošetření na kliniku Lake Como Institute, kam byl odeslán kolegou, s požadavkem fixní rehabilitace bezzubých oblastí v horní čelisti. Bylo provedeno pečlivé klinické vyšetření (obr. 13a–c) a za účelem naplánování vhodného implantologického zákroku byl pořízen CBCT sken (obr. 14a, b). Pacient chtěl co nejméně chirurgických zákroků a dokončení ošetření v co nejkratší době. Pro plán ošetření byla zvolena oboustranná elevace sinu s oboustrannou horizontální augmentací a současným zavedením implantátů. Přístup byl podobný jako u prvního případu: pomocí dvou vertikálních řezů byly odklopeny dva laloky, čímž se obnažily stěny laterálního sinu a pak byly pomocí piezochirurgických čepelek otevřeny dvě antrostomie. Byly nadzvednuty membrány sinu, přičemž se dbalo na to, aby nedošlo k jejich penetraci, a do oblastí distálních recesů byly vloženy dvě kolagenní peletky, aby podržely membrány zvednuté a bylo možné provést osteotomie. Skrz antrostomie byl umístěn a následně zhutněn náhradní kostní materiál (OsteoBiol GTO). Pak byly zavedeny implantáty, protože tou dobou již byla k dispozici větší výška zbytkové kosti (obr. 15) a ke kompenzaci horizontálních atrofií byla použita vrstva náhradního kostního materiálu. K jeho stabilizaci byla použita dvojitá vrstva kolagenní membrány (Evolution), vrchní vrstva z L-PRF (fi brin bohatý na leukocyty a krevní destičky) membrány za účelem lepšího zhojení měkkých tkání a laloky byly sešity. Poté byly pořízeny CBCT snímky k vyhodnocení rozsahu vertikální a horizontální augmentace a pacient byl objednán na poslední chirurgický zákrok za čtyři měsíce.
Při fázi odkrytí byly odklopeny dva separované laloky, čímž se obnažily implantáty pod nimi a ztenčením palatinálního laloku byl odebrán štěp pojivových tkání. Krycí šroubky implantátů byly nahrazeny vhojovacími abutmenty a z vestibulární strany byl umístěn štěp pojivových tkání, aby se zvětšil průměr hřebene (obr. 16). Kolem vhojovacích abutmentů byla umístěna vrchní vrstva z L-PRF membrány a laloky byly sešity. Pacient se pak již dostavil na finalizaci ošetření ke svému zubnímu lékaři.
Klinický výsledek
Implantáty a měkké tkáně se zhojily bez problémů a pacient podstoupil jen dva chirurgické zákroky. Implantáty byly stabilní i po pěti letech zatížení (obr. 17a–c).
Obr. 13a–c: Intraorální snímky před ošetřením.
Obr. 13a–c: Intraorální snímky před ošetřením.
Obr. 14a, b: Digitální plánování implantátu: 2D (a) a 3D (b).
Obr. 14a, b: Digitální plánování implantátu: 2D (a) a 3D (b).
Obr. 15: Zavádění implantátů.
Obr. 16: Štěp pojivových tkání přišitý k periosteu s nasazenými vhojovacími válečky.
Obr. 17a–c: Klinické a radiologické vyšetření při kontrole po pěti letech. (Fotografi e P. Zappavigna DDS)
Diskuze
Tyto dva případy ukazují, jaké může být dokonalé načasování pro zavedení implantátů po první vertikální augmentaci. Jde o to nenechat náhradní kostní materiály remodelovat příliš, aby bylo možné snazší zavedení implantátů a použít delší implantáty, aby se dosáhlo správného poměru ve vztahu implantát a náhrada. Jak je patrné z tabulek 1 a 2, byly by pravděpodobně nejlepší dobou pro zavedení implantátů čtyři měsíce, protože biomateriály se chovají podobně jako přirozená kost: nejsou-li stimulovány okluzními silami, pokračují v průběhu času v remodelaci. Pokud se naopak implantáty zavedou současně s elevací sinu, vytváří „efekt stanu“, kdy slouží jako opora pro Schneiderovu membránu, čímž se zabrzdí fyziologická resorpce kosti. To je také důvod, proč je často, je-li to možné, nejlepší metodou ošetření zavedení implantátů současně s augmentací sinu. Bezzubé úseky v horní čelisti mají řadu anatomických a fyziologických omezení, jako je defi cience spongiózní horní alveolární kosti a zvýšená pneumatizace maxilárních sinů. Tyto faktory způsobují, že je rehabilitace této oblasti problematická. V uvedených dvou případech byly procedury elevace maxilárního sinu přes laterální přístup úspěšně provedeny za použití náhradního kostního materiálu OsteoBiol GTO nebo mp3. Horizontální augmentace byla úspěšně provedena jen za použití materiálu OsteoBiol GTO. Tyto materiály dokázaly zvětšit vertikální výšku kosti a horizontální průměr kosti a umožnily zavedení požadovaných implantátů. Při nasazení zubní náhrady byl pořízen kontrolní panoramatický RTG snímek, který prokázal tvorbu nové kosti v oblastech augmentace i v oblastech hrotů implantátů. Je důležité zdůraznit výhody tohoto přístupu k rekonstrukci horní čelisti pomocí GBR a augmentace sinu oproti jiným přístupům (např. transplantace autogenního štěpu): žádné komplikace v dárcovské oblasti, bez nutnosti hospitalizace a menší pooperační nepohodlí. Současné výsledky odpovídají závěrům dřívějších studií i systematických přehledů a ukazují, že míra zachování implantátu a úroveň kosti kolem implantátu s transplantovaným štěpem jsou podobné jako u implantátů zavedených do přirozené kosti. Podobné výsledky byly pozorovány u implantátů zavedených do augmentovaných sinů.
Závěr
Kompletní rekonstrukce atrofované horní čelisti lze úspěšně dosáhnout pomocí GBR, kterým lze získat horizontální a/nebo vertikální rozměr kosti, včetně oboustranné augmentace sinu za použití náhradního kostního materiálu OsteoBiol GTO a mp3. Morfologie těchto transplantovaných oblastí se v podstatě podobá anatomii přirozeného sinu, dochází k remodelaci na úrovni hrotů implantátů, a i na RTG snímku je vzhled stejný jako u přirozené kosti pacienta. Také se zdá, že nejlepší doba pro zavedení implantátů po augmentaci sinu je v rámci odloženého přístupu zhruba kolem čtyř měsíců, čímž se zajistí co nejmenší resorpce štěpu. Úroveň kosti kolem implantátů u kompletně rekonstruované horní čelisti vykazovala minimální změny. Kromě toho je pro dosažení úspěšných výsledků a prevenci potenciálních komplikací zásadní dostatek zkušeností s managementem tvrdých a měkkých tkání.
To post a reply please login or register