Pro frontální úsek chrupu je v estetické a záchovné stomatologii k dispozici mnoho různých materiálů a možností léčby. Konvenční protokol, který zahrnuje analogové otiskování polyéterem nebo polyvinysiloxanem, hlavní model vyrobený odlitím, voskový předtvar a presování keramických materiálů, vyžaduje výjimečné schopnosti a je velmi citlivý na techniku zpracování. Intraorální skenování a sejmutí digitálního otisku nám nabízí přesnou alternativní metodu pro přenos informací z úst do zubní laboratoře. Digitální soubor je vždy na počítači a může být zpracován ihned nebo kdykoliv později, na rozdíl od konvenčních postupů.
Co se týče materiálů, různé nové produkty, jako jsou presovaná nebo frézovaná keramika, nabízí zvýšenou pevnost a funkčnost pro výrobu tenkých fazet. Dodnes je tradováno, že v tenčích vrstvách však těmto materiálům schází estetika konvenčních materiálů, jako je například živcová keramika. Jak se v posledních letech zvyšovaly nároky pacientů na lepší estetiku, tak se také zvyšovala potřeba rekonstrukčních materiálů, které věrně reprodukují přirozený chrup. Živcová keramika, která byla původně používána k výrobě keramických náhrad, se objevila jako první estetický materiál pro individuální fazetové rekonstrukce. V posledních letech bylo používání ručně vrstvené živcové keramiky ve formě prášek–tekutina opět oživeno kvůli její vysoké estetické hodnotě a malým preparačním nárokům. Minimální odstranění zubní tkáně je přesně to, co si pacient přeje. S nástupem nejmodernějších materiálů pro presování či frézování se však estetické rozdíly oproti konvenčním materiálům postupně smazávají.
Konvenční metody výroby keramických náhrad jsou popisovány jako zdlouhavé, citlivé na techniku a nepředvídatelné kvůli mnoha proměnným. CAD/CAM výroba tedy může být vhodnou alternativou jak pro zubního lékaře, tak pro laboratoř.CAD/CAM také může zkrátit výrobu vysoce pevných keramických náhrad až o 90 %.1 Navíc jsou průmyslově vyráběné bloky homogennější, s minimem vad a ve srovnání s ostatními rekonstrukčními možnostmi vycházejí v tomto ohledu CAD/CAM náhrady velmi dobře.
Co se týče optických vlastností CAD/CAM materiálů je pravdou, že fenoménu komplexní optické iluze v estetice předních zubů není možno vždy dosáhnout monochromatickými estetickými materiály bez nutnosti finální charakterizace zubním technikem. Aby se překonaly tyto estetické nevýhody monochromatických náhrad, byly vyvinuty multichromatické keramické bloky, které vytváří 3D vrstvenou strukturu. Tyto keramické bloky nabízí chroma gradient od krčku směrem k incizálním oblastem, čímž napodobují dentin a sklovinu v jednom bloku materiálu.
Cílem zde předložené případové studie je porovnat analogový versus digitální pracovní postup na keramických fazetách v horní čelisti v rámci estetického výsledku, délky výkonů a technické citlivosti postupů jak u zubního lékaře, tak u zubního technika.
Obr. 1: Úvodní fotografie předních zubů před ortodontickou léčbou.
Obr. 2a: Přední zuby po ortodontické léčbě. Obr. 2b: Extraorální fotografie po ortodontické léčbě.
Obr. 3: Digital smile design indikuje prodloužení korunek zubů 13, 12, 11 a 21 a rekonstrukci deseti předních zubů.
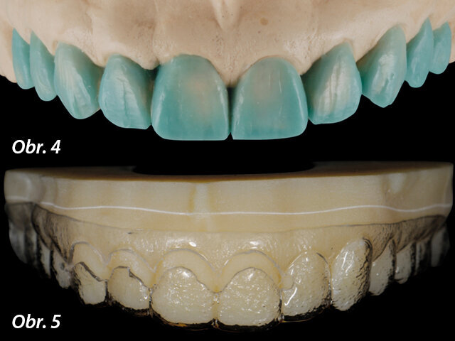
Obr. 4: Wax-up na sádrovém modelu vztahující se k rekonstrukci deseti předních zubů. Obr. 5: 3D tištěný model dle digital smile design plánování nesoucí mock-up formu. Cervikální otvor byl vytvořen kvůli chirurgickému přístupu a vedení při prodlužování korunek.
Klinický případ
Pacientka, 35 let, se dostavila do ordinace a jejím hlavním přáním bylo, aby se změnila estetika frontálního úseku chrupu (obr. 1). Byl proveden diagnostický wax-up následovaný výrobou mock-upu, abychom získali předběžnou vizualizaci finálního výsledku. Bylo navrženo ortodontické předléčení, aby se zuby srovnaly do příznivější pozice pro fazety vyžadující minimální preparaci a aby se redukoval překus. Rok po léčbě se pacientka vrátila k finální protetické rehabilitaci (obr. 2a, b).
Metody a materiály
Digital smile design byl proveden dle Coachmana a Calamity 9 a na jeho základě byl navržen plán prodlužování korunek a výroba fazet na zuby 15 až 25 (obr. 3). Byl také vyroben konvenční diagnostický wax-up (obr. 4). Jak digitální, tak konvenční mock-up byly aplikovány do úst a bylo dosaženo shody ohledně tvaru a proporce zubů. Dále bylo provedeno prodloužení korunek, které bylo naváděno digitálním mock-upem s použitím plastové transparentní šablony, na které jsou vyznačeny hranice gingivektomie a alveolektomie potřebné v parodontální chirurgii u estetické rehabilitace (obr. 5, 6).
Zaujala vás ukázka článku?
Celý článek můžete prostudovat v příslušném vydání časopisu Digital CZ/SK 1/2019 stáhněte jej ve formátu PDF
Dr. Stavros Pelekanospromoval na School of Dentistry, National and Kapodistrian University of Athens v Řecku a získal doktorandské studium na oddělení protetiky na School of Dentistry, Albert Ludwigs University of Freiburg, Německo. Byl klinickým instruktorem na oddělení protetiky na School of Dentistry, National and Kapodistrian University of Athens mezi lety 1994 a 2001. Publikoval mnoho vědeckých článků a abstraktů, jednu kapitolu v knize a v roce 2008 získal druhou cenu ve vědecké soutěži EAED v Madridu, Španělsko.
Dr. Michalis Diomataris získal titul DDS v roce 2009 na University od Athens Dental School, Řecko. V roce 2017 získal svou hlavní specializaci z postgraduálního vzdělávání v programu Operative Dentistry of the University of Athens. Od roku 2011 je supervizorem vzdělávání vysokoškolských studentů v moderních principech estetické a konzervační stomatologie. V roce 2013 získal první cenu v národní soutěži mezi postgraduálními studenty operativní stomatologie národních dentálních škol, kde prezentoval případ týkající se dostavby IV. třídy u horního středního řezáku. Od roku 2014 je členem týmu dentální kliniky Stavrose Pelekanose – AthinaSmile v Aténách, Řecko, a praktikuje estetickou a konzervační stomatologii a protetiku.
Michalis Papastamos dokončil svá studia v roce 1983 a od té doby je v oboru aktivní. Od roku 1989 je majitelem zubní laboratoře Dental Aesthetic, která se specializuje na estetické náhrady. Účastní se seminářů dobře známých zubních techniků a zubních lékařů jak v Řecku, tak v zahraničí, investuje do zlepšování svých znalostí a úrovně vzdělání. Navíc sám organizuje a pořádá semináře a demonstrace a podílel se spolu s řeckými i zahraničními zubními lékaři na kompletních živých zubních rehabilitačních programech, kde měl na starost dentální část. Spolupracuje s Dental School of the National and Kapodistrian University of Athens v oboru protetiky.