Search Dental Tribune

Digitální postupy pro plánování okluze se sekvenčním vedením u složitých klinických případů

CAD modelace wax-upu, autoři: Dr. Mario Perotti, Maurizio Melano, Marco Marzolla, Itálie
Dr. M. Perotti, M. Melano, M. Marzolla

Dr. M. Perotti, M. Melano, M. Marzolla

Út. 10 května 2022

uložit

Průměrná délka života lidské populace se již mnoho let prodlužuje, což má za následek nárůst počtu pacientů, u nichž se objevují různé malokluze a parafunkční návyky, které následně vedou k abrazi, případně k fraktuře zubů, což v důsledku může vést k různým ne zcela vhodným stomatologickým zákrokům a následné ztrátě zubů.

Každý, kdo se zabývá kefalometrií, ví, že morfologie lebky a stavba okluze nemají v populaci jasné průměrné hodnoty, ale naopak vykazují velké individuální rozdíly. K plánování a navrhování nové okluze je možno přistupovat podle kritérií stanovených různými názorovými směry: některé z nich vycházejí z okluzální funkce založené na dominanci špičáků, jiné jsou založeny na skupině zubů funkčního vedení, a další na oboustranně vyvážené okluzi. Gnatologická škola prof. R. Slavicka pracuje s naprogramováním okluze se sekvenčním vedením založeným na dominanci špičáků.

Ať už zubní lékař považuje pro svůj klinický případ za správné jakékoliv nastavení okluze, zůstává jeho povinností poskytnout zubnímu technikovi všechny údaje nezbytné pro její realizaci, jako je sklon okluzální roviny, vertikální rozměr okluze (výška skusu) (VRO) a hodnoty laterálních a frontálních determinant okluze, jako jsou hodnoty sagitálních sklonů kondylů, Bennettových úhlů a řezákového vedení.

Cílem tohoto článku je informovat o použití digitálních nástrojů v diagnostice, přípravné léčbě a léčbě za účelem navržení okluze se sekvenčním vedením u složitých klinických případů, které vykazovaly ztrátu VRO, ztrátu některých zubů a několikeré fraktury stávajících protetických náhrad. V tomto případě vedlo pečlivé naplánování okluzální funkce za současného respektování anatomie pacienta ke zhojení tkání, zachování neuromuskulárního zdraví a řádné a dlouhodobě funkční integraci nové protetiky.

Přesné naprogramování a vosková modelace okluze se sekvenčním vedením s dominancí špičáků vyžaduje velké odborné znalosti. Účelem tohoto článku je ukázat způsob našeho využití digitálních postupů při diagnostice vycházejících z CAD programování okluze a výroby protetických konstrukcí pomocí CAM – to vše s cílem zjednodušit mana­gement složitých výrobních procesů. Tyto postupy vedou k větší individualizaci designu okluze u nově vznikající skupiny pacientů s narušenou funkcí chrupu.

Kazuistika

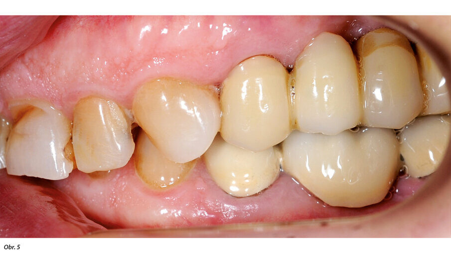
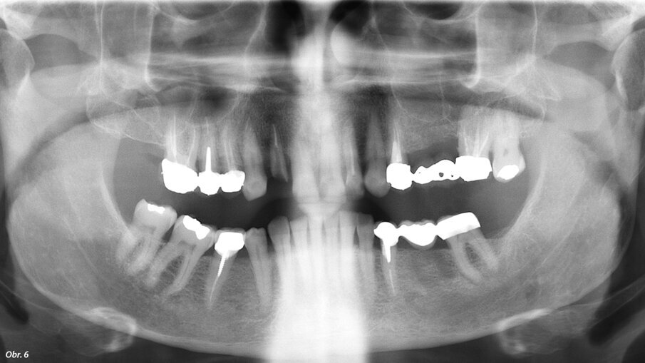
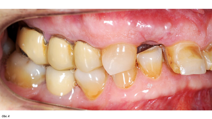
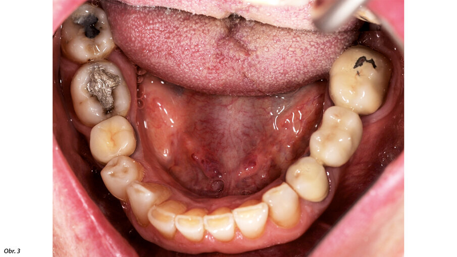
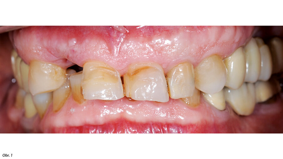
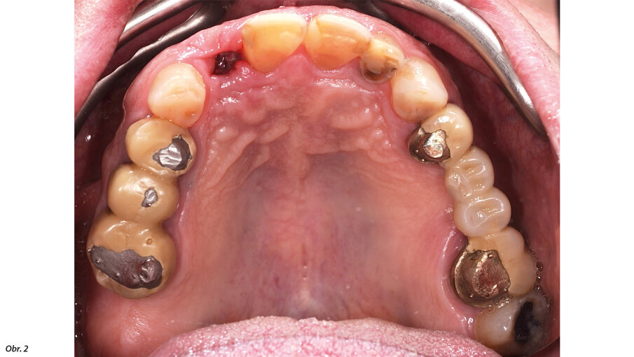
66letý pacient s non-inzulin dependentním diabetes mellitus a ischemickou chorobou srdeční se dostavil na ošetření parodontálního abscesu v oblasti radix relicta 12 a vícečetných fraktur stávajících náhrad (obr. 1–6). Během návštěvy byla zjištěna značná malokluze a ztráta VRO, abraze a fraktury stávajících náhrad i zbylých zubů a známky cervikální abfrakce. Pacient také trpěl mírnou bolestivostí svalů při palpaci, a to zejména v oblasti m. pterygoideus medialis et lateralis, sníženou schopností otevírání úst a slabými zvukovými fenomény v oblasti temporomandibulárních kloubů.

Zaujala vás ukázka článku?

Celý článek můžete prostudovat v příslušném vydání časopisu Digital CZ/SK 1/2022

Redakční poznámka: Článek byl publikován v mezinárodním vydání časopisu digital – international magazine of digital dentistry, Vol. 1, Issue 4/2020.

Dr. Mario Perotti

Dr. Mario Perotti získal titul MD a DDS na univerzitě v Turíně v Itálii a titul MSc v oboru digitální stomatologie na univerzitě v Insubrii v Itálii. Vede soukromou ordinaci v Turíně a je členem výzkumného centra pro inovativní technologie a navrhování biomateriálů na univerzitě v Insubrii. Na mezinárodní úrovni přednáší o digitální stomatologii. Dr. Perottiho můžete kontaktovat na drperotti@drperotti.it.

To post a reply please login or register
advertisement
advertisement