Cílem zubních techniků je vytvořit náhrady, které jsou v harmonii s okolními přirozenými zuby a pohyby dolní čelisti. Náhrady by se měly do těla začlenit, aniž by omezovaly stávající funkce a současně s tím by měly splňovat nároky na žvýkání a výslovnost. Aby náhrada splňovala svůj účel, je nezbytné důkladně zanalyzovat a porozumět temporomandibulárnímu kloubu ve spojitosti s pohyby dolní čelisti, tvarem kostí a morfologií každého zubu. Mezi pohyby dolní čelisti a morfologií jednotlivých zubů je, jak známo, zásadní funkční vztah. Tato interakce je důležitým základním konceptem pro rekonstrukci zubů.
Moje filozofie
Zubní technik, dobře znalý souvztažností stomatognátního aparátu, je schopen zhotovit náhrady s harmonií všech zubů ve statických i dynamických pozicích. Průběh okluze bývá v jednotlivých případech velice rozdílný a jedním z úkolů zubních techniků je rozumět principům složitého mechanismu čelistních pohybů, dráze temporomandibulárního kloubu a okluzálních ploch zubů (okluzální kompas) a reflektovat je při každodenní práci.
Mou specializací je navrhování okluze. Sám na sebe pohlížím jako na všestranného zubního technika, protože všechny zubní náhrady zahrnují okluzální povrchy. Nastudoval jsem si filozofie koncepce okluze: především techniku wax-upu od zubního technika Dietera Schulze a techniku sekvenční funkční okluze od prof. Rudolfa Slavicka (obr. 1a, b). Tyto filozofie a techniky jsou základem mé každodenní práce v naší laboratoři.
Technika wax-upu od zubního technika Dietera Schulze
Sekvenční funkční okluze od prof. Rudolfa Slavicka.
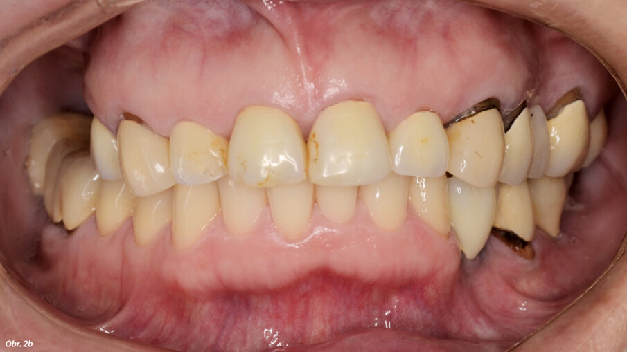
Výchozí situace se závažnou periimplantitidou.
Výchozí situace se závažnou periimplantitidou.
Pomocí obličejového oblouku bylo získáno značné množství dat, která byla přenesena do artikulátoru Artex CR.
Pomocí obličejového oblouku bylo získáno značné množství dat, která byla přenesena do artikulátoru Artex CR.
Sjednocení funkčních a estetických aspektů
Do naší laboratoře se dostavila 50letá pacientka se závažnou periimplantitidou a přáním mít funkční a estetickou náhradu (obr. 2a, b). Součástí plánu ošetření bylo vyřešit závažnou periimplantitidu, zavést nový implantát a nakonec zlepšit celkovou estetiku úsměvu. V souladu s léčebným plánem byla naším prvním krokem kompletní rekonstrukce okluze za použití materiálu Zolid FX Multilayer (Amann Girrbach), která ovšem nezahrnovala dolní frontální zuby. Pro takto rozsáhlou rekonstrukci okluze je důležité shromáždit co nejvíce informací o pacientovi. Použili jsme proto systém CADIAX (GAMMA Dental), abychom získali data o pohybech čelisti. Přenos dat z obličejového oblouku, v kombinaci s daty z artikulátoru Artex CR (Amann Girrbach) a daty ze systému CADIAX, je nezbytný pro reprodukci pohybů čelisti na virtuálním artikulátoru (obr. 3a, b).
Při navrhování náhrad se soustředím na několik klíčových bodů, které nakonec zkontroluji pomocí virtuálního artikulátoru. Nejdůležitějšími body jsou vodicí okluzální plošky důležité pro oporu při interkuspidaci a stabilizaci vertikálního rozměru. Chrání čelistní klouby před kompresí a frontální zuby před přetížením.
Zaujala vás ukázka článku?
Celý článek můžete prostudovat v příslušném vydání časopisu Digital CZ/SK 1/2022
Redakční poznámka: Článek byl publikován v mezinárodním vydání časopisu digital – international magazine of digital dentistry, Vol. 2, Issue 3/2021.
Atsushi Hasegawa získal licenci k výkonu povolání zubního technika v roce 1996 a v roce 1998 absolvoval postgraduální studium na Kanagawské stomatologické univerzitě v japonské Jokosuce. Poté pracoval 11 let v zubní laboratoři v Tokiu v Japonsku, kde získal speciální znalosti a dovednosti v oblasti okluzálních konceptů. V roce 2008 si otevřel vlastní laboratoř Organ Dental Lab v Chigasaki (Japonsko). Dnes Hasegawa předává své znalosti prostřednictvím přednášek v Japonsku i po celém světě. Můžete jej kontaktovat prostřednictvím internetových stránek www.organdental.jp.
Finsko, HELSINKI: Finští výzkumníci nedávno identifikovali marker zubních kmenových buněk. Bylo ...
Rozhovor s Richardem Janů, odborníkem na sterilizaci a hygienu ze společnosti Henry Schein Dental, o řešení ...
Digitální technologie jsou již masivně přítomny v každodenní práci zubních lékařů, a to i v případech kdy je digitální část práce ...
Rozhovor s Richardem Doležalem, manažerem systému ConnectDental, o klíčových stránkách plánování,...
Přesné umístění zámků a úspěšný bonding patří mezi nejdůležitější prvky efektivní ortodontické léčby. Umístění zámků do ...
Henry Schein uvádí na trh v České republice komplexní řešení pro digitalizaci stomatologie, které se ...
Průměrná délka života lidské populace se již mnoho let prodlužuje, což má za následek nárůst počtu pacientů, u nichž se objevují různé ...
V medicíně je široce přijímáno, že lékařské implantáty a zákroky je nutné v průběhu času revidovat. Například v ortopedické chirurgii se ...
Jednodušeji než kdykoli předtím, rychleji než kdy dříve, přesněji než bylo dosud možné – to vše přináší Primescan, nový intraorální ...
Rozhovor poskytl Dr. Wolfgang Reim, generální ředitel společnosti Amann Girrbach, a Patrick Amann, vedoucí marketingu ve společnosti Amann Girrbach. ...
Živý webinář
Po. 11 května 2026
6:00 (CET) Prague
Živý webinář
Po. 11 května 2026
7:00 (CET) Prague
Živý webinář
Út. 12 května 2026
7:00 (CET) Prague
Živý webinář
Čt. 14 května 2026
6:00 (CET) Prague
Živý webinář
Čt. 14 května 2026
8:00 (CET) Prague
Prof. Hani Ounsi DDS PhD FICD
Živý webinář
Út. 19 května 2026
5:00 (CET) Prague
Živý webinář
Út. 19 května 2026
7:00 (CET) Prague
Prof. Dr. med. dent. Ivo Krejci
To post a reply please login or register